相关产品推荐更多 >
万千商家帮你免费找货
0 人在求购买到急需产品
- 详细信息
- 技术资料
- 抗体名:
Fibronectin (1E2) Mouse mAb抗体
- 抗体英文名:
Fibronectin (1E2) Mouse mAb
- 靶点:
FN1
- 浓度:
2.5 mg/ml
- 应用范围:
ICC, IF, IHC-Fr, IHC-P, WB
- 适应物种:
Human, Mouse, Rat
- 保质期:
6-12个月
- 抗原来源:
详询
- 目录编号:
orb1562968
- 级别:
科研级
- 库存:
88
- 供应商:
biorbyt
- 标记物:
Unconjugated
- 克隆性:
Monoclonal
- 保存条件:
参考说明书
- 形态:
Liquid
- 亚型:
IgG1
- 免疫原:
Synthetic Peptide of Fibronectin
- 规格:
20 ul
产品描述:Fibronectin (1E2) Mouse mAb
别名:FN1; FN; Fibronectin; FN; Cold-insoluble globulin; CIG
免疫原:Synthetic Peptide of Fibronectin
克隆性:1E2-6G1-3E10
分子量:Calculated MW: 272 kDa; Observed MW: 285 kDa
应用稀释比例:WB: 1/500-1/1000 IHC: 1/50-1/100 IF: 1/50-1/200
防腐剂:Liquid in PBS containing 50% glycerol, 0.5% rAlbumin and 0.02% sodium azide, pH 7.3.
纯化:Affinity Purified
保存说明:Maintain refrigerated at 2-8°C for up to 2 weeks. For long term storage store at -20°C in small aliquots to prevent freeze-thaw cycles.
UniProt ID:P02751
Note:For research use only.


别名:FN1; FN; Fibronectin; FN; Cold-insoluble globulin; CIG
免疫原:Synthetic Peptide of Fibronectin
克隆性:1E2-6G1-3E10
分子量:Calculated MW: 272 kDa; Observed MW: 285 kDa
应用稀释比例:WB: 1/500-1/1000 IHC: 1/50-1/100 IF: 1/50-1/200
防腐剂:Liquid in PBS containing 50% glycerol, 0.5% rAlbumin and 0.02% sodium azide, pH 7.3.
纯化:Affinity Purified
保存说明:Maintain refrigerated at 2-8°C for up to 2 weeks. For long term storage store at -20°C in small aliquots to prevent freeze-thaw cycles.
UniProt ID:P02751
Note:For research use only.

Western blot analysis of Fibronectin (1E2) in MCF-7 and Hela lysates using Fibronectin antibody.

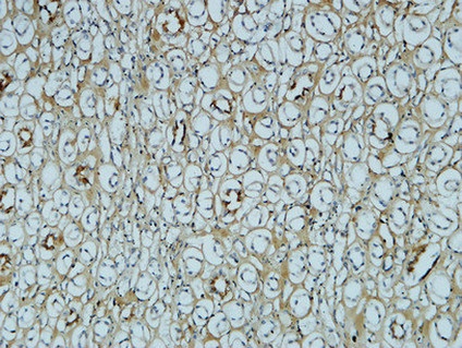
Immunohistochemistry analysis of paraffin-embedded Human kidney using Fibronectin antibody. High-pressure and temperature Sodium Citrate pH 6.0 was used for antigen retrieval.
风险提示:丁香通仅作为第三方平台,为商家信息发布提供平台空间。用户咨询产品时请注意保护个人信息及财产安全,合理判断,谨慎选购商品,商家和用户对交易行为负责。对于医疗器械类产品,请先查证核实企业经营资质和医疗器械产品注册证情况。
技术资料暂无技术资料 索取技术资料
Fibronectin (1E2) Mouse mAb抗体,orb1562968,biorbyt
¥1560










