相关产品推荐更多 >
万千商家帮你免费找货
0 人在求购买到急需产品
- 详细信息
- 文献和实验
- 技术资料
- 免疫原:
A synthetic peptide of human ADAM17(Cleaved-Arg215)
- 亚型:
IgG
- 形态:
液体
- 保存条件:
-20℃
- 克隆性:
Polyclonal Antibody
- 适应物种:
Human
- 保质期:
1年
- 库存:
888
- 供应商:
北京索莱宝科技有限公司
- 宿主:
Rabbit
- 应用范围:
IHC
- 靶点:
ADAM17(Cleaved-Arg215)
- 规格:
50ul
产品简介
| 英文名称 | Anti-ADAM17(Cleaved-Arg215) Polyclonal Antibody |
| 中文名称 | 肿瘤坏死因子α转换酶抗体 |
| 靶标 | ADAM17(Cleaved-Arg215) |
| 别名 | ADAM 17;CD156b;CSVP;TACE;TNF-alpha convertase;TNF-alpha-converting enzyme;Snake venom-like protease; |
| 背景资料 | Cleaves the membrane-bound precursor of TNF-alpha to its mature soluble form (PubMed:9034191). Responsible for the proteolytical release of soluble JAM3 from endothelial cells surface (PubMed:20592283). Responsible for the proteolytic release of several other cell-surface proteins, including p75 TNF-receptor, interleukin 1 receptor type II, p55 TNF-receptor, transforming growth factor-alpha, L-selectin, growth hormone receptor, MUC1 and the amyloid precursor protein (PubMed:12441351). Acts as an activator of Notch pathway by mediating cleavage of Notch, generating the membrane-associated intermediate fragment called Notch extracellular truncation (NEXT) (PubMed:24226769). Plays a role in the proteolytic processing of ACE2 (PubMed:24227843). Plays a role in hemostasis through shedding of GP1BA, the platelet glycoprotein Ib alpha chain (By similarity). Mediates the proteolytic cleavage of LAG3, leading to release the secreted form of LAG3 (By similarity). Mediates the proteolytic cleavage of IL6R, leading to the release of secreted form of IL6R (PubMed:26876177, PubMed:28060820). |
| Swiss Prot | P78536 |
| Gene ID | 6868 |
| 亚细胞定位 | Cytoplasm Cell membrane |
| 宿主 | Rabbit |
| 克隆类型 | Polyclonal Antibody |
| 亚型 | IgG |
| 蛋白分子量 | 79/93kDa |
| 稀释比例 | IHC 1:100-300. |
| 免疫原 | A synthetic peptide of human ADAM17(Cleaved-Arg215) |
| Public Immunogen Range | 200-250/824aa |
| 纯化方法 | Affinity purification |
| 储存液 | Buffer: PBS with 0.03% Proclin300, 50% glycerol, pH7.3. |
| 保存 | Store at -20°C. Avoid freeze / thaw cycles. |
| 交叉反应 | Human |
| 应用 | IHC |
| 规格 | 50ul 100ul |
| 单位 | 支 |
备注:
以上数据均来自公开文献, Solarbio暂未进行独立验证, 仅供参考。
These protocols are for reference only. Solarbio does not independently validate these methods.
温馨提示:
使用前请离心。如有问题请及时联系我们。
Quick spin before use. If you have any questions, please contact us.
实验图
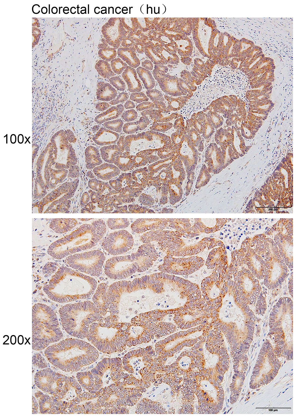
Immunohistochemistry of paraffin-embedded Human colorectal cancer with ADAM17(Cleaved-Arg215) antibody diluted at 1:200.
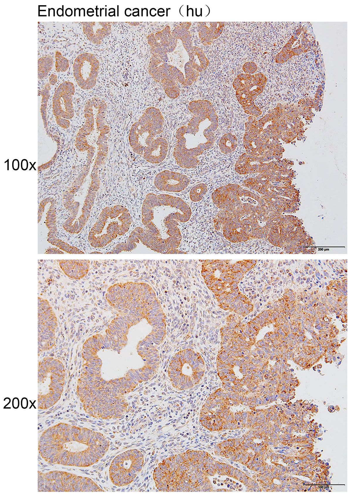
Immunohistochemistry of paraffin-embedded Human endometrial cancer with ADAM17(Cleaved-Arg215) antibody diluted at 1:200.
风险提示:丁香通仅作为第三方平台,为商家信息发布提供平台空间。用户咨询产品时请注意保护个人信息及财产安全,合理判断,谨慎选购商品,商家和用户对交易行为负责。对于医疗器械类产品,请先查证核实企业经营资质和医疗器械产品注册证情况。
文献和实验Polyclonal Antibody Production
, if desired this is best accomplished by Protein A Affinity Chromatography. 上一篇:make an Antibody against a Peptides 下一篇:Immunization Protocol for Monoclonal Antibody Production
Polyclonal Antibody Production
Polyclonal Antibody Production Very useful for rapid and simple generation of antibodies for western blots, ELISA assays, and immunoprecipitation. Rabbit Immunization Initial Preparation Your antigen
a simple ELISA method to detect human anti-antibody response.
技术资料暂无技术资料 索取技术资料









