相关产品推荐更多 >
万千商家帮你免费找货
0 人在求购买到急需产品
- 详细信息
- 技术资料
- 免疫原:
A synthetic peptide of human MC1R
- 亚型:
IgG
- 形态:
液体
- 保存条件:
-20℃
- 克隆性:
Polyclonal Antibody
- 适应物种:
Human;Mouse
- 保质期:
1年
- 库存:
888
- 供应商:
北京索莱宝科技有限公司
- 宿主:
Rabbit
- 应用范围:
WB
- 靶点:
MC1R
- 规格:
50ul
产品简介
| 英文名称 | Anti-MC1R Polyclonal Antibody |
| 靶标 | MC1R |
| 别名 | MSH-R;Melanocortin receptor 1;MC1-R;MSHR; |
| 背景资料 | Receptor for MSH (alpha, beta and gamma) and ACTH (PubMed:1325670, PubMed:8463333, PubMed:1516719, PubMed:11442765, PubMed:11707265). The activity of this receptor is mediated by G proteins which activate adenylate cyclase (PubMed:1325670, PubMed:11707265, PubMed:16463023, PubMed:19737927). Mediates melanogenesis, the production of eumelanin (black/brown) and phaeomelanin (red/yellow), via regulation of cAMP signaling in melanocytes (PubMed:31097585). |
| Swiss Prot | Q01726 |
| Gene ID | 4157 |
| 亚细胞定位 | Cell membrane |
| 宿主 | Rabbit |
| 克隆类型 | Polyclonal Antibody |
| 亚型 | IgG |
| 预测交叉反应 | Chimpanzee;Guinea pig;Monkey;Baboon;Snake;Murine leukemia virus;Lizard;Bacteria;Fish;Turtle;Deer;Chicken |
| 蛋白分子量 | 35kDa |
| 稀释比例 | WB 1:1000-3000. |
| 免疫原 | A synthetic peptide of human MC1R |
| Public Immunogen Range | 267-317/317aa |
| 纯化方法 | Affinity purification |
| 储存液 | Buffer: PBS with 0.03% Proclin300, 50% glycerol, pH7.3. |
| 保存 | Store at -20°C. Avoid freeze / thaw cycles. |
| 交叉反应 | Human;Mouse |
| 应用 | WB |
| 规格 | 50ul 100ul |
| 单位 | 支 |
备注:
以上数据均来自公开文献, Solarbio暂未进行独立验证, 仅供参考。
These protocols are for reference only. Solarbio does not independently validate these methods.
温馨提示:
使用前请离心。如有问题请及时联系我们。
Quick spin before use. If you have any questions, please contact us.
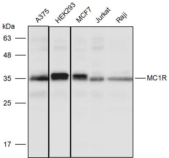
实验图
Western blot analysis with MC1R antibody diluted at 1:2000;Lane: A375,HEK293,MCF7,Jurkat,Raji.
风险提示:丁香通仅作为第三方平台,为商家信息发布提供平台空间。用户咨询产品时请注意保护个人信息及财产安全,合理判断,谨慎选购商品,商家和用户对交易行为负责。对于医疗器械类产品,请先查证核实企业经营资质和医疗器械产品注册证情况。
技术资料暂无技术资料 索取技术资料
Anti-MC1R Polyclonal Antibody
¥960









