相关产品推荐更多 >
万千商家帮你免费找货
0 人在求购买到急需产品
- 详细信息
- 技术资料
- 免疫原:
A synthetic peptide of human HLA-DOA
- 亚型:
IgG
- 形态:
液体
- 保存条件:
-20℃
- 克隆性:
Polyclonal Antibody
- 适应物种:
Human
- 保质期:
1年
- 库存:
888
- 供应商:
北京索莱宝科技有限公司
- 宿主:
Rabbit
- 应用范围:
IHC
- 靶点:
HLA-DOA
- 规格:
50ul
产品简介
| 英文名称 | Anti-HLA-DOA Polyclonal Antibody |
| 中文名称 | 组织相容性复合体2DOA抗体 |
| 靶标 | HLA-DOA |
| 别名 | HLA-DNA;HLA-DZA;HLADZ;major histocompatibility complex;class II;DO alpha; |
| 背景资料 | Important modulator in the HLA class II restricted antigen presentation pathway by interaction with the HLA-DM molecule in B-cells. Modifies peptide exchange activity of HLA-DM. |
| Swiss Prot | P06340 |
| Gene ID | 3111 |
| 亚细胞定位 | Cytoplasm |
| 宿主 | Rabbit |
| 克隆类型 | Polyclonal Antibody |
| 亚型 | IgG |
| 蛋白分子量 | 28kDa |
| 稀释比例 | IHC 1:50-200. |
| 免疫原 | A synthetic peptide of human HLA-DOA |
| Public Immunogen Range | 10-60/250aa |
| 纯化方法 | Affinity purification |
| 储存液 | Buffer: PBS with 0.03% Proclin300, 50% glycerol, pH7.3. |
| 保存 | Store at -20°C. Avoid freeze / thaw cycles. |
| 交叉反应 | Human |
| 应用 | IHC |
| 规格 | 50ul 100ul |
| 单位 | 支 |
备注:
以上数据均来自公开文献, Solarbio暂未进行独立验证, 仅供参考。
These protocols are for reference only. Solarbio does not independently validate these methods.
温馨提示:
使用前请离心。如有问题请及时联系我们。
Quick spin before use. If you have any questions, please contact us.
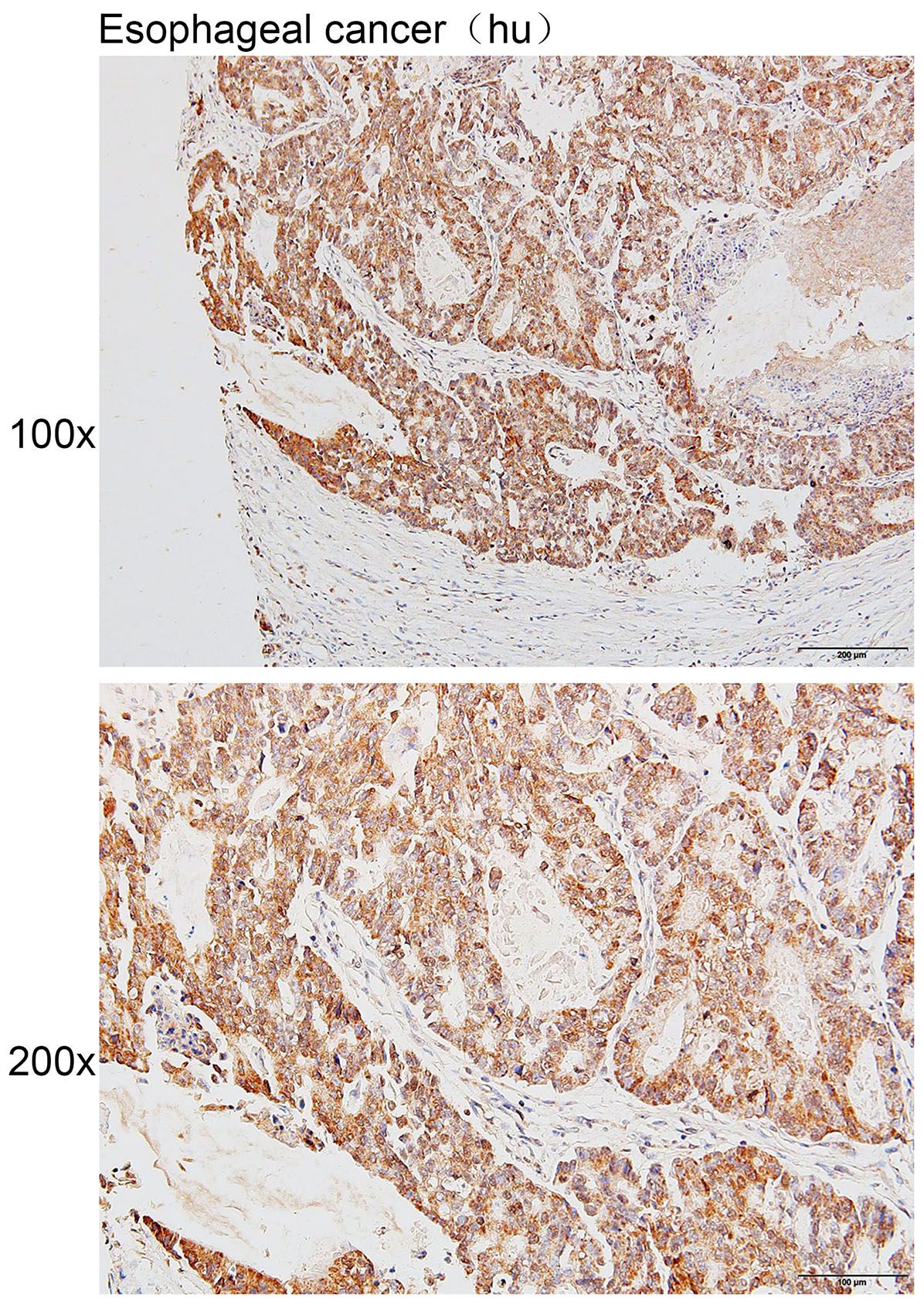
实验图
Immunohistochemistry of paraffin-embedded Human esophageal cancer with HLA-DOA antibody diluted at 1:100.
风险提示:丁香通仅作为第三方平台,为商家信息发布提供平台空间。用户咨询产品时请注意保护个人信息及财产安全,合理判断,谨慎选购商品,商家和用户对交易行为负责。对于医疗器械类产品,请先查证核实企业经营资质和医疗器械产品注册证情况。
技术资料暂无技术资料 索取技术资料
Anti-HLA-DOA Polyclonal Antibody
¥960










