相关产品推荐更多 >
万千商家帮你免费找货
0 人在求购买到急需产品
- 详细信息
- 文献和实验
- 技术资料
- 品系:
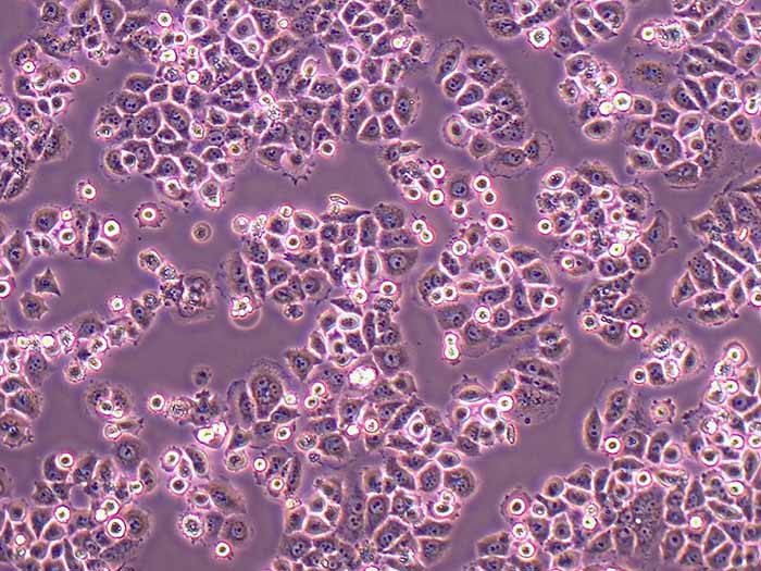
细胞系
- 细胞类型:
详见说明书
- 肿瘤类型:
详见说明书
- 供应商:
上海博尔森生物科技有限公司
- 库存:
大量
- 英文名:
SBC-2
- 生长状态:
贴壁生长
- 年限:
永久
- 运输方式:
干冰或常温
- 器官来源:
肺
- 是否是肿瘤细胞:
详见说明书
- 细胞形态:
上皮细胞样
- 免疫类型:
详见说明书
- 物种来源:
人
- 相关疾病:
详见说明书
- 组织来源:
肺
- 规格:
株
培养基:89% RPMI-1640+10% FBS+1%PS
传代比例:1:2至1:3,每周3次
培养环境:气相:95%空气+5%二氧化碳;温度:37℃


| 一、细胞基本属性 | ||||
| 细胞名称 | SBC-2人小细胞肺癌细胞(STR鉴定正确) | |||
| 细胞别称 | SBC-2;人小细胞肺癌 | |||
| 种属来源 | 人 | |||
| 组织来源 | 肺 | |||
| 生长特性 | 贴壁生长 | |||
| 细胞形态 | 上皮细胞样 | |||
| 细胞代数 | 10代以内 | |||
| 细胞规格 | 1×106cells/T25或1mL冻存管 | |||
| 支原体检测 | 无 | |||
| 培养基 | 89% RPMI-1640+10% FBS+1%PS | |||
| 培养条件 | 气相:95%空气+5%二氧化碳;温度:37℃ | |||
| 冻存条件 | 无血清冻存液,液氮储存 | |||
| 细胞货期 | 现货,1周左右 | |||
| 运输方式 | 复苏发货(T25瓶免运输费用)/ 冻存发货(需加干冰运输费用) 顺丰快递 | |||
| 供应限制 | 仅限于科学研究,绝不可作为动物或人类疾病的治疗产品使用 | |||
| 特别说明 | 以下细胞培养冻存处理仅供参考,具体操作步骤以随货产品说明书为 | |||
| 二、细胞培养操作 | ||||
| 收货方式 | T25瓶 | 冻存管 | ||
| 收货处理 | 观察好细胞状态后,75%酒精消毒瓶壁,将T25瓶置于37度培养箱放置2-4h,以便稳定细胞状态 | 收到细胞后,需立即转入液氮冻存或直接复苏 | ||
| 传代密度 | 细胞密度达80%-90%,即可进行传代培养 | 第二天换液并检查细胞密度 | ||
| 传代比例 | 首次传代建议1:2传代 1:2传代就是1个T25瓶传2个T25瓶或者2个6cm皿。不是1个T25瓶传2个10cm皿 |
一管细胞建议接种到10cm培养皿或者T25瓶 | ||
| 传代方法 | a、弃去培养上清,用不含钙、镁离子的PBS润洗细胞1-2次。 b、加1 mL消化液(0.25%Trypsin-0.53mM EDTA)于培养瓶中,使消化液浸润所有细胞,弃去消化液,将培养瓶置于37℃培养箱中消化1 min,然后在显微镜下观察细胞消化情况,若细胞大部分变圆并脱落,迅速拿回操作台,轻敲几下培养瓶后加少量培养基终止消化。 c、按6-8 mL/瓶补加培养基,轻轻打匀后装入无菌离心管中,1000 rpm离心4 min,弃去上清液,补加1-2 mL培养液后吹匀。 d、将细胞悬液按1:2比例分到新的含8 mL培养基的新皿中或者瓶中,置于培养箱中培养。 |
将含有1 mL细胞悬液的冻存管在 37℃水浴中迅速摇晃解冻,加4 mL培养基混合均匀。在1000 rpm条件下离心3 min,弃去上清液,加1-2 mL培养基后吹匀。然后将所有细胞悬液加入含适量培养基的培养瓶中培养过夜(或将细胞悬液加入10 cm皿中,加入约8 mL培养基,培养过夜)。第二天换液并检查细胞密度。 | ||
| 注意事项 | 1.运输用的培养基(灌液培养基)不能再用来培养细胞,请换用按照说明书细胞培养条件新配制的完全培养基来培养细胞。 2.因运输问题,部分细胞由于温度变化及剧烈碰撞死亡破碎形成碎片,是正常现象。 |
1.收货时若发现干冰化完,检查冻存管是否融化,若已融化需直接离心细胞接种观察,若未融化可以将细胞按正常步骤保存; 2.为保证细胞的高存活率,收到产品后,请立即解冻复苏细胞。 |
||
| 到货须知 | 1.收到细胞后,首先观察并拍照记录细胞瓶是否完好,培养液是否有漏液、浑浊等现象,干冰运输的细胞检查干冰是否完全挥发,细胞是否解冻,若有上述现象发生请及时和我们联系。 2.静置完成后,取出细胞培养瓶,镜检、拍照(当天以及第 2,3 天请拍照),记录细胞状态 (所拍照片将作为后续服务依据);建议细胞传代培养后,定期拍照、记录细胞生长状态。 3.由于运输的原因,个别敏感细胞会出现不稳定的情况,请及时和我们联系,告知细胞的具体情况,以便我们的技术人员跟踪回访直至问题解决。 4.仔细阅读细胞说明书,了解细胞相关信息,如细胞形态、所用培养基、血清比例、所需细胞因子等,确保细胞培养条件一致,若由于培养条件不一致而导致细胞出现问题,责任由客户自行承担。 |
|||
| 备注:客户在细胞培养过程中,有任何技术问题可以拨打技术服务电话:13166061152,我们随时给予解答。 | ||||
| 三、细胞冻存操作 | ||||
| 冻存液配方 | 无血清冻存液,液氮储存 | |||
| 细胞密度 | 待细胞生长状态良好时,可进行细胞冻存。下面 T25 瓶为例 | |||
| 冻存方法 | a、收集细胞及细胞培养液,装入无菌离心管中,1000 rpm条件下离心4 min,弃去上清液,用PBS清洗一遍,弃尽PBS,加 1 mL血清重悬细胞,进行细胞计数。 b、根据细胞数量加入无血清细胞冻存液,使细胞密度5x106~1x107/mL,轻轻混匀,每支冻存管冻存1mL细胞悬液,注意冻存管做好标识。 c、将冻存管放入-80℃冰箱,24 h后转入液氮灌储存。记录冻存管位置以便下次拿取。 |
|||
| 注意事项 | 冻存细胞转入液氮后及时复苏一管检查细胞冻存活性,若有异常,及时调整实验方案 | |||
| 四、售后服务 | ||||
| 重发标准 | 1.细胞运输途中遭遇的各种问题,细胞丢失、瓶身破损、培养液严重漏液等,重发; 2.收到细胞未开封,如出现污染状况,重发; 3.收到细胞3天内,发现污染问题,经核实后,重发; 4.常温发货的细胞静置 2 小时后,干冰冻存发货的细胞复苏 2 天后,绝大多数细胞未存活,经核实后,重发; 5.常温发货的细胞静置 22 小时并且未开封或干冰冻存发货的细胞复苏 2 天后,出现污染,经核实后,重发; 6.细胞活性问题,请在收到产品 3 天内给我们提出真实的实验结果,用台盼蓝染色法鉴定细胞活力,经核实后,重发; 7.视具体情况而定。 |
|||
| 不予重发 | 1.客户操作造成细胞污染,不重发; 2.客户严重操作失误致细胞状态不好,不重发; 3.非我们推荐细胞培养体系致的细胞状态不好,不重发; 4.细胞状态不好,未提供真实清晰的培养前 3 天的细胞状态照片,不重发; 5.细胞培养时经其它处理导致细胞出现问题的,不重发; 6.收到细胞发现问题与客服人员沟通的时间证明大于3天的,不重发; 7.视具体情况而定。 |
|||

特别提示:本公司的所有产品仅可用于科研实验,严禁用于临床医疗及其他非科研用途!
风险提示:丁香通仅作为第三方平台,为商家信息发布提供平台空间。用户咨询产品时请注意保护个人信息及财产安全,合理判断,谨慎选购商品,商家和用户对交易行为负责。对于医疗器械类产品,请先查证核实企业经营资质和医疗器械产品注册证情况。
文献和实验第二十六期全国“快速TALEN技术”培训班上海开班开始报名!
学员可在培训班上针对自己感兴趣的基因,自主构建TALEN并带走! TALEN是一种源于植物致病菌Xanthomonas的崭新的靶向基因操作技术。目前已在人、斑马鱼、水稻、小鼠、大鼠、猪、羊、果蝇、爪蟾、拟南芥及酵母等所有检测的物种得到成功应用。 TALEN技术特点: 1.任意敲除,无基因序列、细胞、物种限制,永久失活 2.打靶率高,在保证脂转或电转效率的前提下,有效性可达95%以上 3.脱靶率低,特异性高,脱靶效应很少
第二十三、二十四期全国“快速TALEN技术”培训班北京开班开始报名!
学员可在培训班上针对自己感兴趣的基因,自主构建TALEN并带走! TALEN是一种源于植物致病菌Xanthomonas的崭新的靶向基因操作技术。目前已在人、斑马鱼、水稻、小鼠、大鼠、猪、羊、果蝇、爪蟾、拟南芥及酵母等所有检测的物种得到成功应用。 TALEN技术特点: 1.任意敲除,无基因序列、细胞、物种限制,永久失活 2.打靶率高,在保证脂转或电转效率的前提下,有效性可达95%以上 3.脱靶率低,特异性高,脱靶效应很少
全国“快速TALEN技术”培训班——第二十一期、第二十二期 北京开班
学员可在培训班上针对自己感兴趣的基因,自主构建TALEN并带走! TALEN是一种源于植物致病菌Xanthomonas的崭新的靶向基因操作技术。目前已在人、斑马鱼、水稻、小鼠、大鼠、猪、羊、果蝇、爪蟾、拟南芥及酵母等所有检测的物种得到成功应用。 TALEN技术特点: 1.任意敲除,无基因序列、细胞、物种限制,永久失活 2.打靶率高,在保证脂转或电转效率的前提下,有效性可达95%以上 3.脱靶率低,特异性高,脱靶效应很少







