相关产品推荐更多 >
万千商家帮你免费找货
0 人在求购买到急需产品
- 详细信息
- 技术资料
- 靶点:
MED17
- 应用范围:
WB
- 宿主:
Rabbit
- 适应物种:
Human;Mouse;Rat
- 保质期:
一年
- 供应商:
北京索莱宝科技有限公司
- 克隆性:
Polyclonal Antibody
- 保存条件:
Store at -20℃. Avoid freeze / thaw cycles.
- 亚型:
IgG
- 免疫原:
Recombinant protein of human MED17
- 规格:
50ul
产品简介
| 靶标 | MED17 |
| 别名 | 77-KD subunit; Activator recruited cofactor 77 kDa component; Activator-recruited cofactor 77 kDa component; ARC77; Cofactor required for Sp1 transcriptional activation subunit 6; cofactor required for Sp1 transcriptional activation, subunit 6, 77kDa; CRSP complex subunit 6; CRSP6; CRSP77; DRIP80; med17; MED17_HUMAN; Mediator complex subunit 17; Mediator of RNA polymerase II transcription subunit 17; Mediator of RNA polymerase II transcription subunit 17, S cerevisiae, homolog of; Thyroid hormone receptor-associated protein complex 80 kDa component; Thyroid hormone receptor-associated protein, 80-KD subunit; Transcriptional coactivator CRSP77; Trap80; VITAMIN D RECEPTOR-INTERACTING PROTEIN, 80-KD; Vitamin D3 receptor-interacting protein complex 80 kDa component; |
| 背景资料 | The activation of gene transcription is a multistep process that is triggered by factors that recognize transcriptional enhancer sites in DNA. These factors work with co-activators to direct transcriptional initiation by the RNA polymerase II apparatus. The protein encoded by this gene is a subunit of the CRSP (cofactor required for SP1 activation) complex, which, along with TFIID, is required for efficient activation by SP1. This protein is also a component of other multisubunit complexes e.g. thyroid hormone receptor-(TR-) associated proteins which interact with TR and facilitate TR function on DNA templates in conjunction with initiation factors and cofactors. |
| Swiss Prot | Q9NVC6 |
| Gene ID | 9440 |
| 亚细胞定位 | Nucleus |
| 宿主 | Rabbit |
| 克隆类型 | Polyclonal Antibody |
| 亚型 | IgG |
| 预测交叉反应 | Bovine;Fruit fly;Zebrafish;Chicken |
| 蛋白分子量 | 16/73kDa |
| 实际分子量 | 72kDa |
| 稀释比例 | WB 1:1000-3000. |
| 免疫原 | Recombinant protein of human MED17 |
| Public Immunogen Range | 1-350aa |
| 纯化方法 | Affinity purification |
| 储存液 | Buffer: PBS with 0.03% Proclin300, 50% glycerol, pH7.3. |
| 保存 | Store at -20℃. Avoid freeze / thaw cycles. |
| 交叉反应 | Human Mouse Rat |
| 应用 | WB |
| 规格 | 50ul 100ul |
| 单位 | 支 |
备注:
以上数据均来自公开文献, Solarbio暂未进行独立验证, 仅供参考。
These protocols are for reference only. Solarbio does not independently validate these methods.
温馨提示:
使用前请离心。如有问题请及时联系我们。
Quick spin before use. If you have any questions, please contact us.
实验图
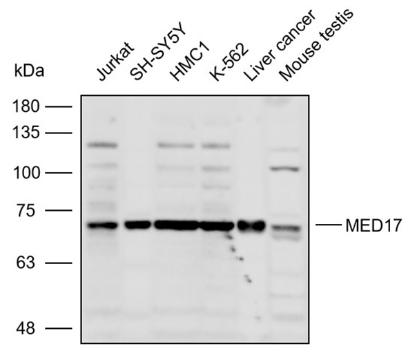
Western blot analysis with MED17 antibody diluted at 1:2000;Lane: Jurkat,SH-SY5Y,HMC1,K-562,Liver cancer,Mouse testis.
风险提示:丁香通仅作为第三方平台,为商家信息发布提供平台空间。用户咨询产品时请注意保护个人信息及财产安全,合理判断,谨慎选购商品,商家和用户对交易行为负责。对于医疗器械类产品,请先查证核实企业经营资质和医疗器械产品注册证情况。
技术资料暂无技术资料 索取技术资料
Anti-MED17 Polyclonal Antibody
¥960









