相关产品推荐更多 >
万千商家帮你免费找货
0 人在求购买到急需产品
- 详细信息
- 技术资料
- 靶点:
TRPC4AP
- 应用范围:
IHC
- 宿主:
Rabbit
- 适应物种:
Human;Mouse
- 保质期:
一年
- 供应商:
北京索莱宝科技有限公司
- 克隆性:
Polyclonal Antibody
- 保存条件:
Store at -20℃. Avoid freeze / thaw cycles.
- 亚型:
IgG
- 免疫原:
Recombinant protein of human TRPC4AP
- 规格:
50ul
产品简介
| 中文名称 | 瞬时受体电位阳离子通道C亚家族成员4相关蛋白抗体 |
| 靶标 | TRPC4AP |
| 别名 | C20orf188; TRPC4AP; Chromosome 20 open reading frame 188; Protein TAP1; Protein TRUSS; Short transient receptor potential channel 4 associated protein; Short transient receptor potential channel 4-associated protein; TAP1 protein; TNF receptor ubiquitous scaffolding/signaling protein; TNF-receptor ubiquitous scaffolding/signaling protein; TP4AP_HUMAN; Transient receptor potential cation channel, subfamily C, member 4 associated protein; Trp4 associated protein; Trp4-associated protein; Trpc4 associated protein; Trpc4-associated protein; TRPC4AP; TRRP4AP; TRUSS; Tumor necrosis factor receptor-associated ubiquitous scaffolding and signaling protein; |
| 背景资料 | Substrate-recognition component of a DCX (DDB1-CUL4-X-box) E3 ubiquitin-protein ligase complex required for cell cycle control (PubMed:20551172, PubMed:29779948). The DCX(TRPC4AP) complex specifically mediates the polyubiquitination and subsequent degradation of MYC as part of the DesCEND (destruction via C-end degrons) pathway (PubMed:20551172, PubMed:29779948). The DesCEND (destruction via C-end degrons) pathway recognizes a C-degron located at the extreme C terminus of target proteins, leading to their ubiquitination and degradation (PubMed:29779948). The DCX(TRPC4AP) complex specifically recognizes proteins with an arginine at the minus 3 position (R-3 motif) at the C-terminus, such as MYC, leading to their ubiquitination and degradation (PubMed:29779948). Also participates in the activation of NFKB1 in response to ligation of TNFRSF1A, possibly by linking TNFRSF1A to the IKK signalosome (By similarity). Involved in JNK activation via its interaction with TRAF2 (By similarity). Also involved in elevation of endoplasmic reticulum Ca2+ storage reduction in response to CHRM1 (By similarity). |
| Swiss Prot | Q8TEL6 |
| Gene ID | 26133 |
| 亚细胞定位 | Cell membrane Cytoplasm |
| 宿主 | Rabbit |
| 克隆类型 | Polyclonal Antibody |
| 亚型 | IgG |
| 蛋白分子量 | 60/90/91kDa |
| 稀释比例 | IHC 1:25-100. |
| 免疫原 | Recombinant protein of human TRPC4AP |
| Public Immunogen Range | 1-350aa |
| 纯化方法 | Affinity purification |
| 储存液 | Buffer: PBS with 0.03% Proclin300, 50% glycerol, pH7.3. |
| 保存 | Store at -20℃. Avoid freeze / thaw cycles. |
| 交叉反应 | Human;Mouse |
| 应用 | IHC |
| 规格 | 50ul 100ul |
| 单位 | 支 |
备注:
以上数据均来自公开文献, Solarbio暂未进行独立验证, 仅供参考。
These protocols are for reference only. Solarbio does not independently validate these methods.
温馨提示:
使用前请离心。如有问题请及时联系我们。
Quick spin before use. If you have any questions, please contact us.
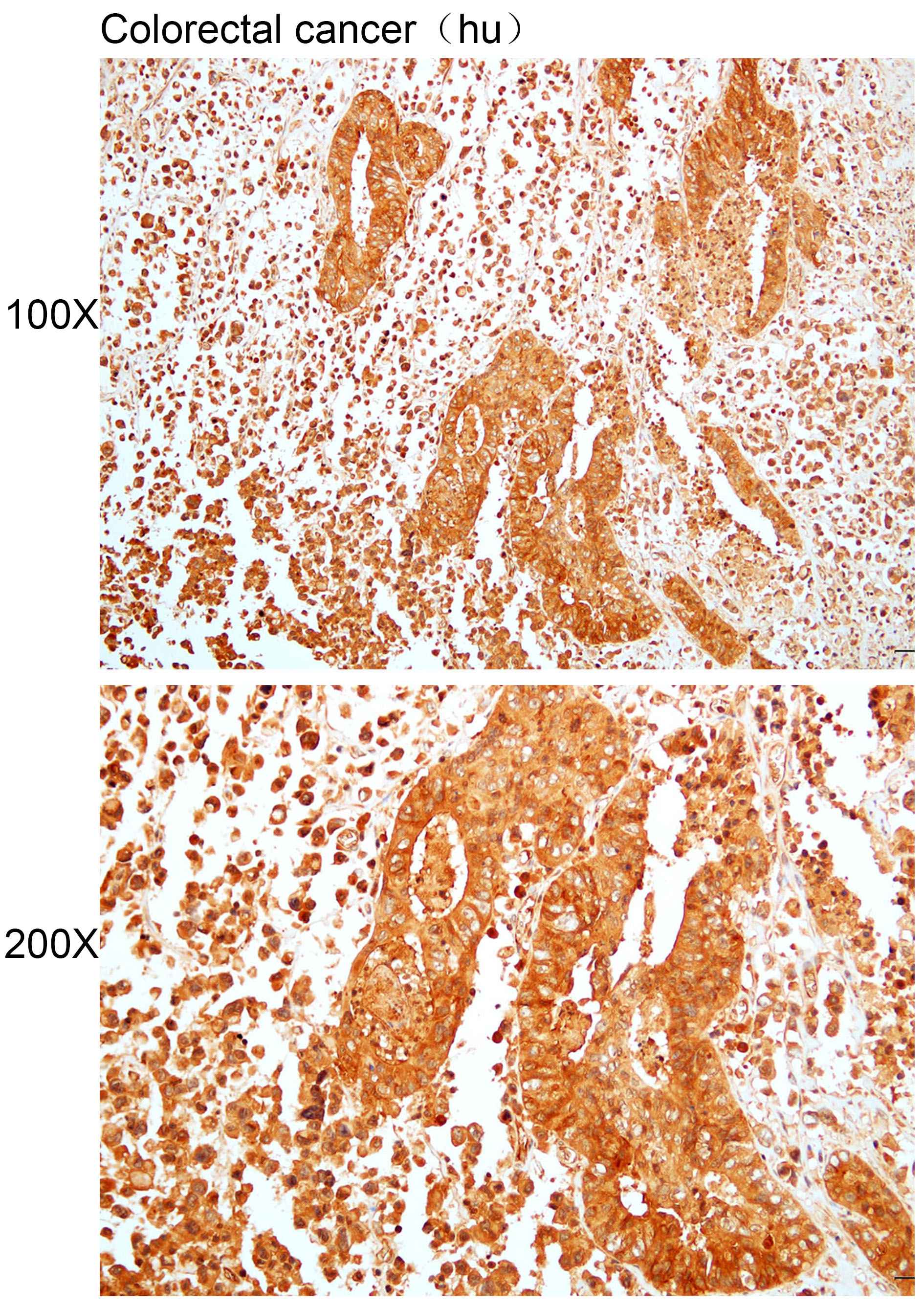
实验图
Immunohistochemistry of paraffin-embedded human colorectal cancer with TRPC4AP antibody diluted at 1:50.
Immunohistochemistry of paraffin-embedded human renal cancer with TRPC4AP antibody diluted at 1:50.
风险提示:丁香通仅作为第三方平台,为商家信息发布提供平台空间。用户咨询产品时请注意保护个人信息及财产安全,合理判断,谨慎选购商品,商家和用户对交易行为负责。对于医疗器械类产品,请先查证核实企业经营资质和医疗器械产品注册证情况。
技术资料暂无技术资料 索取技术资料
Anti-TRPC4AP Polyclonal Antibody
¥960







