相关产品推荐更多 >
万千商家帮你免费找货
0 人在求购买到急需产品
- 详细信息
- 技术资料
- 靶点:
DYRK3
- 应用范围:
WB;IHC
- 宿主:
Rabbit
- 适应物种:
Human;Mouse;Rat
- 保质期:
一年
- 供应商:
北京索莱宝科技有限公司
- 克隆性:
Polyclonal Antibody
- 保存条件:
Store at -20℃. Avoid freeze / thaw cycles.
- 亚型:
IgG
- 免疫原:
Recombinant protein of human DYRK3
- 规格:
50ul
产品简介
备注:
以上数据均来自公开文献, Solarbio暂未进行独立验证, 仅供参考。
These protocols are for reference only. Solarbio does not independently validate these methods.
温馨提示:
使用前请离心。如有问题请及时联系我们。
Quick spin before use. If you have any questions, please contact us.
实验图
Western blot analysis with DYRK3 antibody diluted at 1:3000;Lane: Raji.
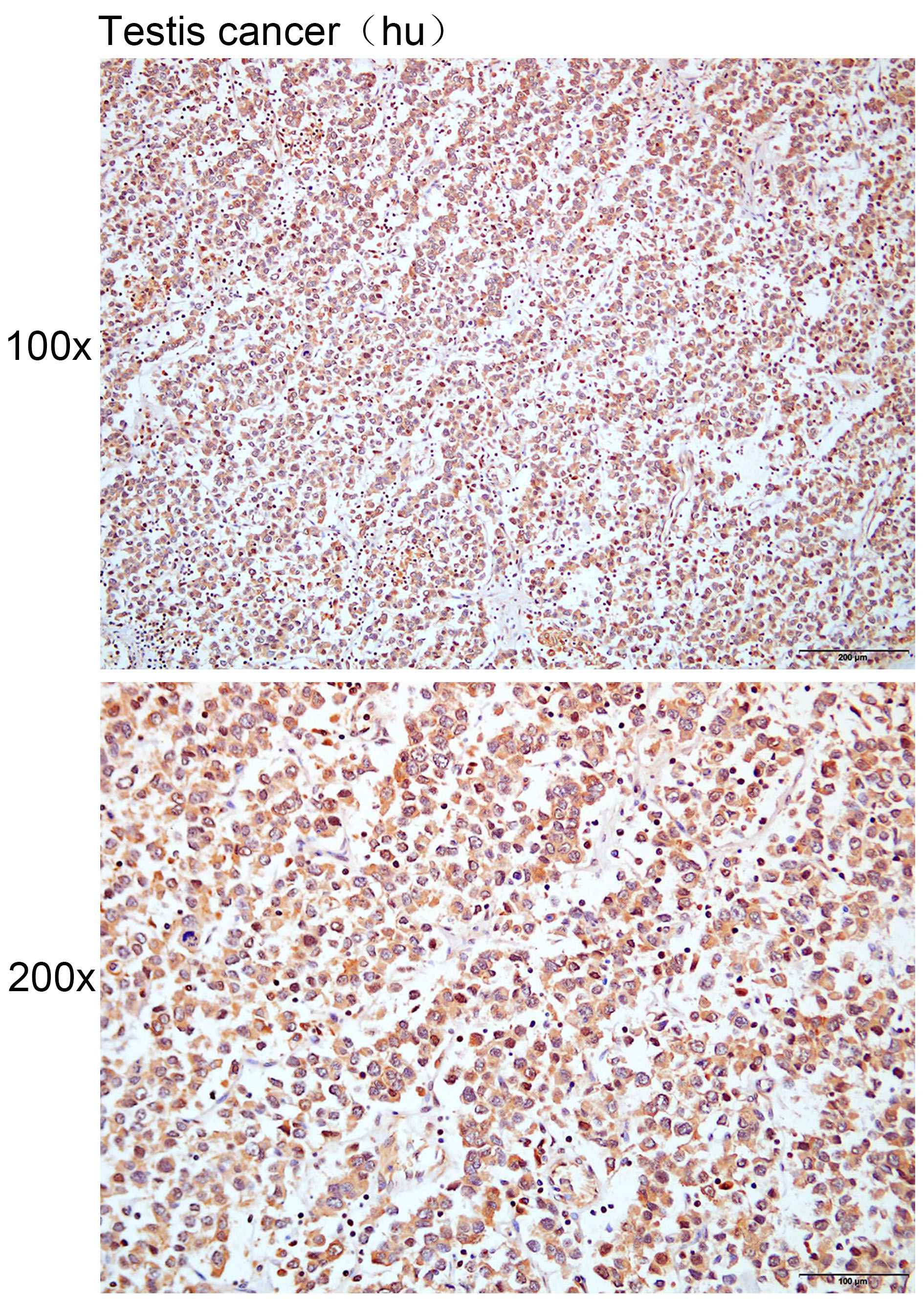
Immunohistochemistry of paraffin-embedded human testis cancer with DYRK3 antibody diluted at 1:100.
| 中文名称 | 双特异性酪氨酸-(Y)-磷酸化调节激酶3抗体 |
| 靶标 | DYRK3 |
| 别名 | Dual specificity tyrosine (Y) phosphorylation regulated kinase 3; Dual specificity tyrosine phosphorylation-regulated kinase 3; Dual specificity tyrosine-phosphorylation-regulated kinase 3; Dyrk3; DYRK3_HUMAN; DYRK5; hYAK3 2; Protein kinase Dyrk3; RED; REDK; Regulatory erythroid kinase; |
| 背景资料 | Dual-specificity protein kinase that promotes disassembly of several types of membraneless organelles during mitosis, such as stress granules, nuclear speckles and pericentriolar material (PubMed:29973724). Dual-specificity tyrosine-regulated kinases (DYRKs) autophosphorylate a critical tyrosine residue in their activation loop and phosphorylate their substrate on serine and threonine residues (PubMed:9748265, PubMed:29634919). Acts as a central dissolvase of membraneless organelles during the G2-to-M transition, after the nuclear-envelope breakdown: acts by mediating phosphorylation of multiple serine and threonine residues in unstructured domains of proteins, such as SRRM1 and PCM1 (PubMed:29973724). Does not mediate disassembly of all membraneless organelles: disassembly of P-body and nucleolus is not regulated by DYRK3 (PubMed:29973724). Dissolution of membraneless organelles at the onset of mitosis is also required to release mitotic regulators, such as ZNF207, from liquid-unmixed organelles where they are sequestered and keep them dissolved during mitosis (PubMed:29973724). Regulates mTORC1 by mediating the dissolution of stress granules: during stressful conditions, DYRK3 partitions from the cytosol to the stress granule, together with mTORC1 components, which prevents mTORC1 signaling (PubMed:23415227). When stress signals are gone, the kinase activity of DYRK3 is required for the dissolution of stress granule and mTORC1 relocation to the cytosol: acts by mediating the phosphorylation of the mTORC1 inhibitor AKT1S1, allowing full reactivation of mTORC1 signaling (PubMed:23415227). Also acts as a negative regulator of EPO-dependent erythropoiesis: may place an upper limit on red cell production during stress erythropoiesis (PubMed:10779429). Inhibits cell death due to cytokine withdrawal in hematopoietic progenitor cells (PubMed:10779429). Promotes cell survival upon genotoxic stress through phosphorylation of SIRT1: this in turn inhibits p53/TP53 activity and apoptosis (PubMed:20167603). |
| Swiss Prot | O43781 |
| 亚细胞定位 | Cytoplasm Nucleus |
| 宿主 | Rabbit |
| 克隆类型 | Polyclonal Antibody |
| 亚型 | IgG |
| 预测交叉反应 | Monkey |
| 蛋白分子量 | 64/66kDa |
| 实际分子量 | 66kDa |
| 稀释比例 | WB 1:2000-5000. IHC 1:50-200. |
| 免疫原 | Recombinant protein of human DYRK3 |
| Public Immunogen Range | 200-523aa |
| 纯化方法 | Affinity purification |
| 储存液 | Buffer: PBS with 0.03% Proclin300, 50% glycerol, pH7.3. |
| 保存 | Store at -20℃. Avoid freeze / thaw cycles. |
| 交叉反应 | Human;Mouse;Rat |
| 应用 | WB;IHC |
| 规格 | 50ul 100ul |
| 单位 | 支 |
备注:
以上数据均来自公开文献, Solarbio暂未进行独立验证, 仅供参考。
These protocols are for reference only. Solarbio does not independently validate these methods.
温馨提示:
使用前请离心。如有问题请及时联系我们。
Quick spin before use. If you have any questions, please contact us.
实验图
Western blot analysis with DYRK3 antibody diluted at 1:3000;Lane: Raji.
Immunohistochemistry of paraffin-embedded human testis cancer with DYRK3 antibody diluted at 1:100.
风险提示:丁香通仅作为第三方平台,为商家信息发布提供平台空间。用户咨询产品时请注意保护个人信息及财产安全,合理判断,谨慎选购商品,商家和用户对交易行为负责。对于医疗器械类产品,请先查证核实企业经营资质和医疗器械产品注册证情况。
技术资料暂无技术资料 索取技术资料
Anti-DYRK3 Polyclonal Antibody
¥960







