Anti-SKAP1 Polyclonal Antibody

Anti-SKAP1 Polyclonal Antibody

收藏
  • ¥960
  • Solarbio已认证
  • 北京
  • 2025年07月13日
  • IHC
  • Rabbit
  • Human;Mouse;Rat
avatar
品牌商
13钻石会员
  • 企业认证

    点击 QQ 联系

    • 详细信息
    • 技术资料
    • 靶点

      SKAP1

    • 应用范围

      IHC

    • 宿主

      Rabbit

    • 适应物种

      Human;Mouse;Rat

    • 保质期

      一年

    • 供应商

      北京索莱宝科技有限公司

    • 克隆性

      Polyclonal Antibody

    • 保存条件

      Store at -20℃. Avoid freeze / thaw cycles.

    • 亚型

      IgG

    • 免疫原

      Recombinant protein of human SKAP1

    • 规格

      50ul


    产品简介
    中文名称 src激酶相关磷蛋白1抗体
    靶标 SKAP1
    别名 pp55; SCAP 1; SCAP1; SKAP 1; SKAP 55; SKAP-55; Skap1; SKAP1_HUMAN; SKAP55 adaptor protein; SRC family associated phosphoprotein 1; Src family-associated phosphoprotein 1; Src kinase associated phosphoprotein 1;
    背景资料 This gene encodes a T cell adaptor protein, a class of intracellular molecules with modular domains capable of recruiting additional proteins but that exhibit no intrinsic enzymatic activity. The encoded protein contains a unique N-terminal region followed by a PH domain and C-terminal SH3 domain. Along with the adhesion and degranulation-promoting adaptor protein, the encoded protein plays a critical role in inside-out signaling by coupling T-cell antigen receptor stimulation to the activation of integrins.
    Swiss Prot Q86WV1
    亚细胞定位 Cytoplasm Nucleus
    宿主 Rabbit
    克隆类型 Polyclonal Antibody
    亚型 IgG
    蛋白分子量 41kDa
    稀释比例 IHC 1:50-200.
    免疫原 Recombinant protein of human SKAP1
    Public Immunogen Range 1-350aa
    纯化方法 Octanoic acid-ammonium sulfate precipitation
    储存液 Buffer: PBS with 0.03% Proclin300, 50% glycerol, pH7.3.
    保存 Store at -20℃. Avoid freeze / thaw cycles.
    交叉反应 Human;Mouse;Rat
    应用 IHC
    规格 50ul 100ul
    单位

    备注:
    以上数据均来自公开文献, Solarbio暂未进行独立验证, 仅供参考。
    These protocols are for reference only. Solarbio does not independently validate these methods.
    温馨提示:
    使用前请离心。如有问题请及时联系我们。
    Quick spin before use. If you have any questions, please contact us.
    实验图
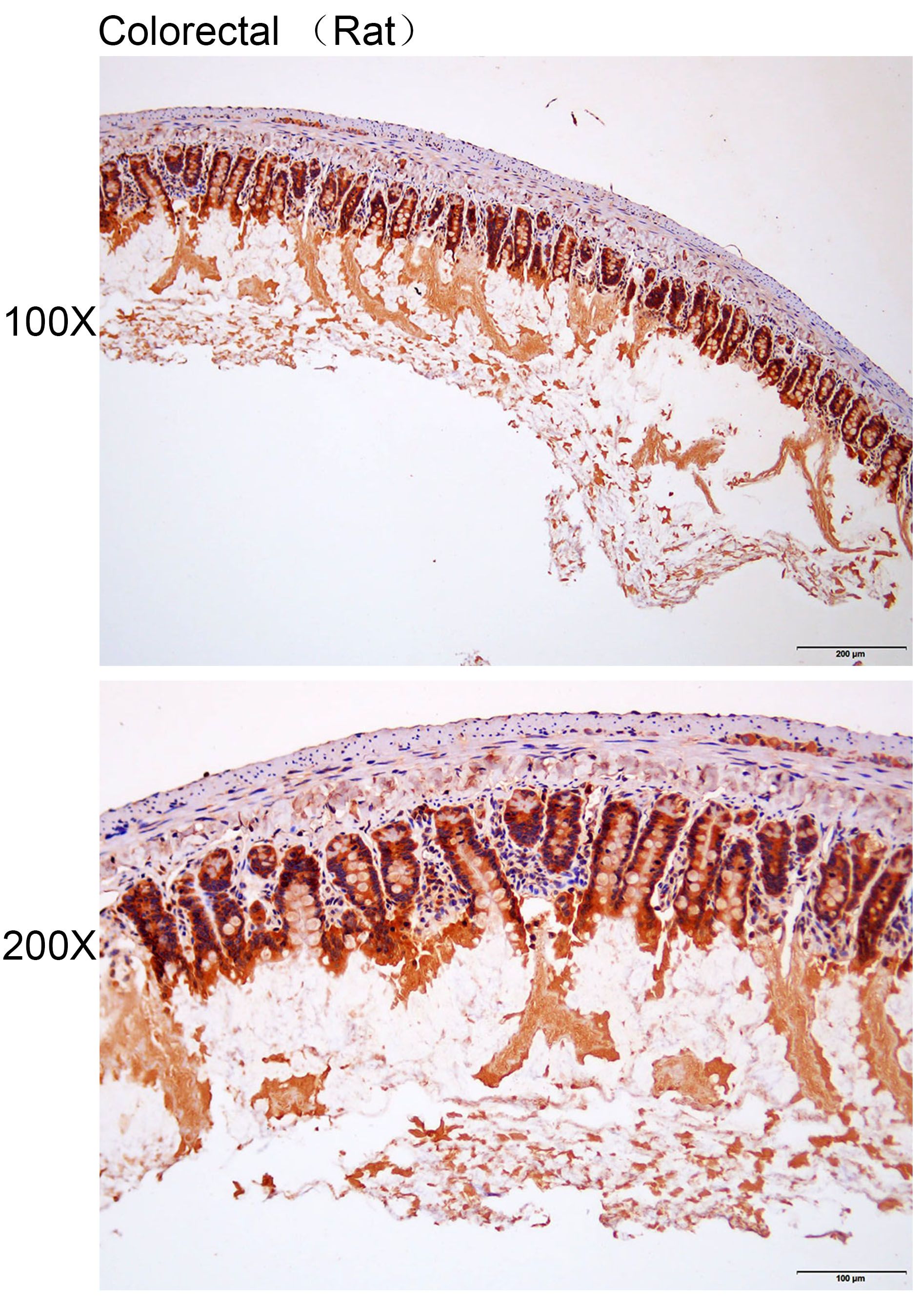
    Anti-SKAP1 Polyclonal Antibody
    Immunohistochemistry of paraffin-embedded rat colorectal with SKAP1 antibody diluted at 1:100.

    风险提示:丁香通仅作为第三方平台,为商家信息发布提供平台空间。用户咨询产品时请注意保护个人信息及财产安全,合理判断,谨慎选购商品,商家和用户对交易行为负责。对于医疗器械类产品,请先查证核实企业经营资质和医疗器械产品注册证情况。

    图标技术资料

    暂无技术资料 索取技术资料

    同类产品报价

    产品名称
    产品价格
    公司名称
    报价日期
    ¥960
    北京索莱宝科技有限公司
    2024年04月07日询价
    $332
    上海瑶韵生物科技有限公司
    2025年07月02日询价
    ¥3841
    瑞博奥(广州)生物科技股份有限公司
    2025年07月12日询价
    ¥1500
    杭州华安生物技术有限公司
    2025年07月16日询价
    ¥7866
    武汉博欧特生物科技有限公司
    2025年07月13日询价
    Anti-SKAP1 Polyclonal Antibody
    ¥960