相关产品推荐更多 >
万千商家帮你免费找货
0 人在求购买到急需产品
- 详细信息
- 技术资料
- 靶点:
LRRN3
- 应用范围:
WB;IHC
- 宿主:
Rabbit
- 适应物种:
Human;Mouse;Rat
- 保质期:
一年
- 供应商:
北京索莱宝科技有限公司
- 克隆性:
Polyclonal Antibody
- 保存条件:
Store at -20℃. Avoid freeze / thaw cycles.
- 亚型:
IgG
- 免疫原:
Recombinant protein of human LRRN3
- 规格:
50ul
产品简介
| 中文名称 | 富含亮氨酸重复序列神经元3抗体 |
| 靶标 | LRRN3 |
| 别名 | fibronectin type III;immunoglobulin and leucine rich repeat domains 5; FIGLER5; leucine rich repeat neuronal 3; leucine rich repeat protein, neuronal 3; Leucine-rich repeat neuronal protein 3; Lrrn3; LRRN3_HUMAN; Neuronal leucine-rich repeat protein 3; NLRR 3; NLRR-3; NLRR3 |
| Swiss Prot | Q9H3W5 |
| Gene ID | 54674 |
| 亚细胞定位 | Secreted |
| 宿主 | Rabbit |
| 克隆类型 | Polyclonal Antibody |
| 亚型 | IgG |
| 预测交叉反应 | Chimpanzee |
| 蛋白分子量 | 79kDa |
| 实际分子量 | 73kDa |
| 稀释比例 | WB 1:1000-3000. IHC 1:50-200. |
| 免疫原 | Recombinant protein of human LRRN3 |
| Public Immunogen Range | 1-350aa |
| 纯化方法 | Octanoic acid-ammonium sulfate precipitation |
| 储存液 | Buffer: PBS with 0.03% Proclin300, 50% glycerol, pH7.3. |
| 保存 | Store at -20℃. Avoid freeze / thaw cycles. |
| 交叉反应 | Human;Mouse;Rat |
| 应用 | WB;IHC |
| 规格 | 50ul 100ul |
| 单位 | 支 |
备注:
以上数据均来自公开文献, Solarbio暂未进行独立验证, 仅供参考。
These protocols are for reference only. Solarbio does not independently validate these methods.
温馨提示:
使用前请离心。如有问题请及时联系我们。
Quick spin before use. If you have any questions, please contact us.
实验图
"Western blot analysis with LRRN3 antibody diluted at 1:2000;Lane: 293T
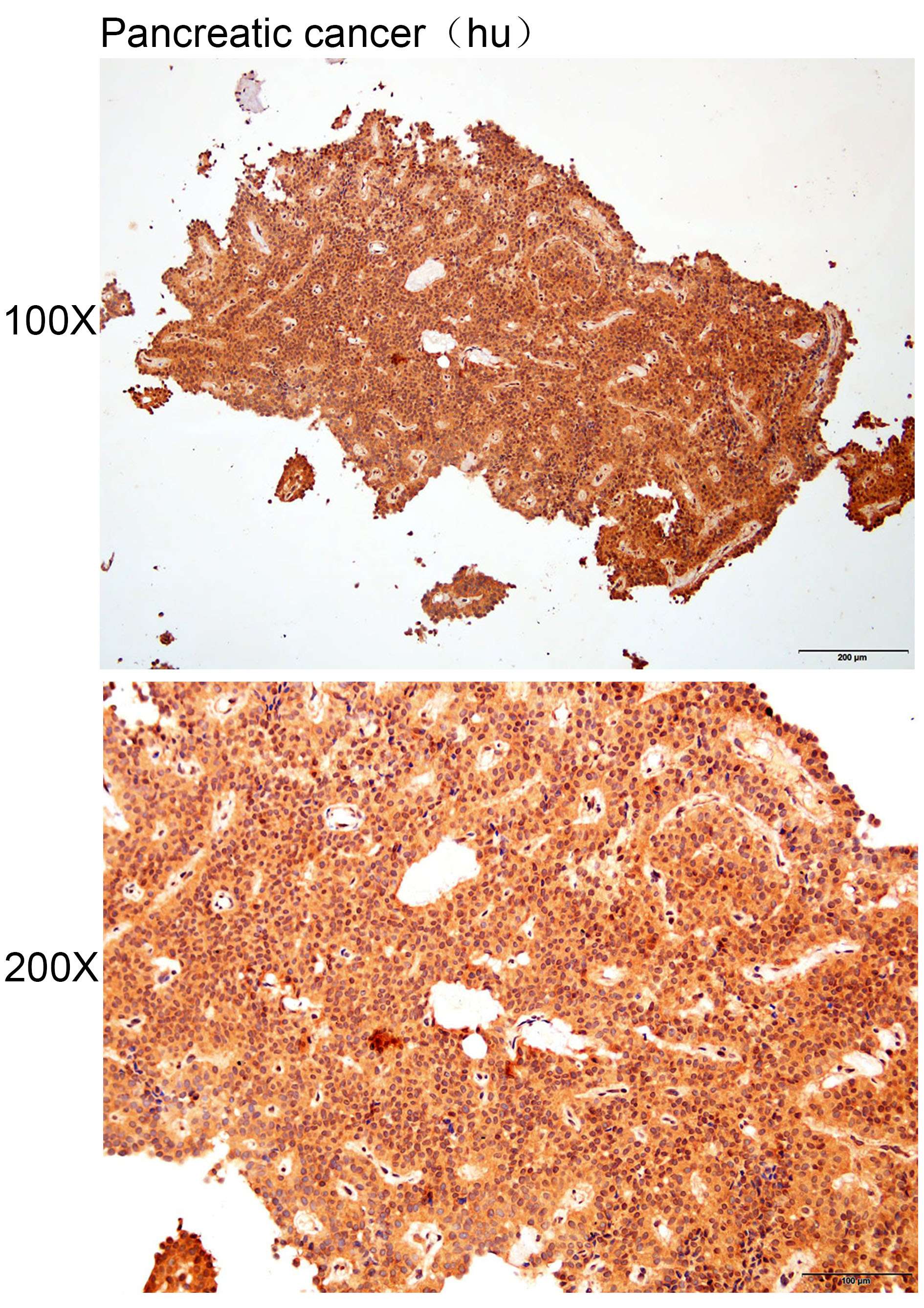
Immunohistochemistry of paraffin-embedded human pancreatic cancer with LRRN3 antibody diluted at 1:100.
风险提示:丁香通仅作为第三方平台,为商家信息发布提供平台空间。用户咨询产品时请注意保护个人信息及财产安全,合理判断,谨慎选购商品,商家和用户对交易行为负责。对于医疗器械类产品,请先查证核实企业经营资质和医疗器械产品注册证情况。
技术资料暂无技术资料 索取技术资料
Anti-LRRN3 Polyclonal Antibody
¥960








