相关产品推荐更多 >
万千商家帮你免费找货
0 人在求购买到急需产品
- 详细信息
- 文献和实验
- 技术资料
- 靶点:
MYOM2
- 应用范围:
WB IHC
- 宿主:
Rabbit
- 适应物种:
Human
- 保质期:
一年
- 供应商:
北京索莱宝科技有限公司
- 克隆性:
Polyclonal Antibody
- 保存条件:
Store at -20℃. Avoid freeze / thaw cycles.
- 亚型:
IgG
- 免疫原:
A synthetic peptide of Human MYOM2
- 规格:
50ul
产品简介
| 中文名称 | 肌间蛋白2抗体 |
| 靶标 | MYOM2 |
| 别名 | 165 kDa connectin associated protein; 165 kDa connectin-associated protein; 165 kDa titin associated protein; 165 kDa titin-associated protein; M band protein; M protein; M-protein; MYOM 2; MYOM2; MYOM2_HUMAN; Myomesin (M protein) 2 (165kD); Myomesin (M protein) 2 165kDa; Myomesin (M protein) 2; Myomesin 2; Myomesin family member 2; Myomesin-2; Titin associated protein 165 kD; Titin associated protein; TTNAP |
| 背景资料 | The giant protein titin, together with its associated proteins, interconnects the major structure of sarcomeres, the M bands and Z discs. The C-terminal end of the titin string extends into the M line, where it binds tightly to M-band constituents of apparent molecular masses of 190 kD and 165 kD. The predicted MYOM2 protein contains 1,465 amino acids. Like MYOM1, MYOM2 has a unique N-terminal domain followed by 12 repeat domains with strong homology to either fibronectin type III or immunoglobulin C2 domains. Protein sequence comparisons suggested that the MYOM2 protein and bovine M protein are identical. |
| Swiss Prot | P54296 |
| Gene ID | 9172 |
| 亚细胞定位 | Cytoplasm |
| 宿主 | Rabbit |
| 克隆类型 | Polyclonal Antibody |
| 亚型 | IgG |
| 蛋白分子量 | 164kDa |
| 实际分子量 | 190kDa |
| 稀释比例 | WB 1:1000-3000. IHC 1:50-200. |
| 免疫原 | A synthetic peptide of Human MYOM2 |
| Public Immunogen Range | 605-655/1465aa |
| 纯化方法 | Affinity purification |
| 储存液 | Buffer: PBS with 0.03% Proclin300, 50% glycerol, pH7.3. |
| 保存 | Store at -20℃. Avoid freeze / thaw cycles. |
| 交叉反应 | Human |
| 应用 | WB IHC |
| 规格 | 50ul 100ul |
| 单位 | 支 |
备注:
以上数据均来自公开文献, Solarbio暂未进行独立验证, 仅供参考。
These protocols are for reference only. Solarbio does not independently validate these methods.
实验图
"Western blot analysis with MYOM2 antibody diluted at 1:2000;Lane: Mouse heart
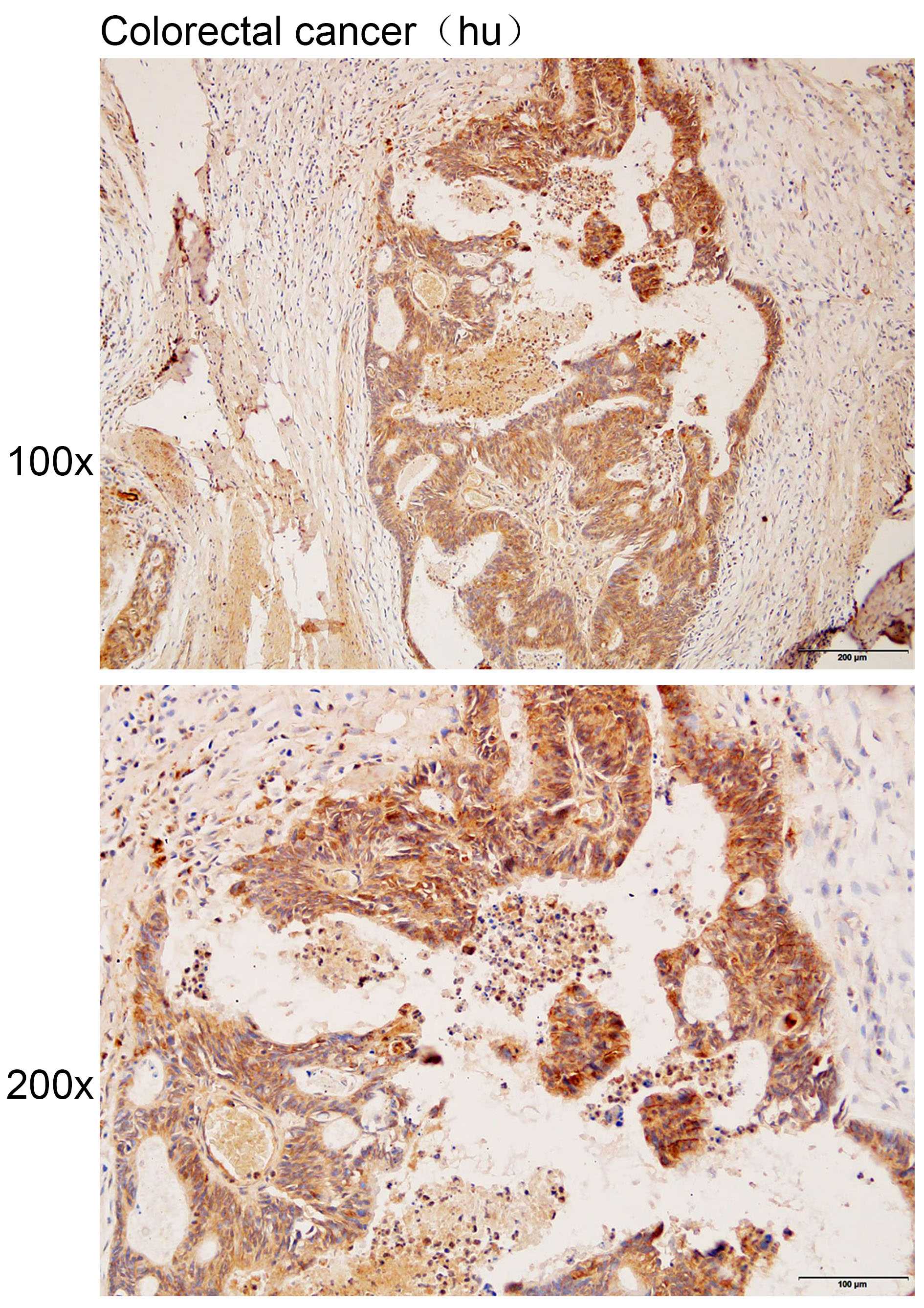
Immunohistochemistry of paraffin-embedded human colorectal cancer with MYOM2 antibody diluted at 1:100.
Immunohistochemistry of paraffin-embedded human thyroid cancer with MYOM2 antibody diluted at 1:100.
风险提示:丁香通仅作为第三方平台,为商家信息发布提供平台空间。用户咨询产品时请注意保护个人信息及财产安全,合理判断,谨慎选购商品,商家和用户对交易行为负责。对于医疗器械类产品,请先查证核实企业经营资质和医疗器械产品注册证情况。
文献和实验Polyclonal Antibody Production
, if desired this is best accomplished by Protein A Affinity Chromatography. 上一篇:make an Antibody against a Peptides 下一篇:Immunization Protocol for Monoclonal Antibody Production
Polyclonal Antibody Production
Polyclonal Antibody Production Very useful for rapid and simple generation of antibodies for western blots, ELISA assays, and immunoprecipitation. Rabbit Immunization Initial Preparation Your antigen
a simple ELISA method to detect human anti-antibody response.
技术资料暂无技术资料 索取技术资料









