相关产品推荐更多 >
万千商家帮你免费找货
0 人在求购买到急需产品
- 详细信息
- 文献和实验
- 技术资料
- 靶点:
MINK1
- 应用范围:
IHC
- 宿主:
Rabbit
- 适应物种:
Human;Mouse;Rat
- 保质期:
一年
- 供应商:
北京索莱宝科技有限公司
- 克隆性:
Polyclonal Antibody
- 保存条件:
Store at -20℃. Avoid freeze / thaw cycles.
- 亚型:
IgG
- 免疫原:
A synthetic peptide of Human MINK1
- 规格:
50ul/100ul
| 规格: | 50ul | 产品价格: | ¥960.0 |
|---|---|---|---|
| 规格: | 100ul | 产品价格: | ¥1600.0 |
产品简介
| 中文名称 | 丝裂原活化蛋白激酶MAP4K6抗体 |
| 靶标 | MINK1 |
| 别名 | B55; GCK family kinase MiNK; hMINK; Map4k6; MAPK/ERK kinase kinase kinase 6; MEK (MAP/ERK) kinase kinase 6; MEK kinase kinase 6; MEKKK6; MGC21111; MINK 1; MINK; MINK1; Misshapen like kinase 1; Misshapen NIKs Related kinase; Misshapen/NIK related kinase; Mitogen activated protein kinase kinase kinase kinase 6; RP23-122P1.6; Ysk2; ZC3 |
| 背景资料 | Serine/threonine kinase which acts as a negative regulator of Ras-related Rap2-mediated signal transduction to control neuronal structure and AMPA receptor trafficking. Required for normal synaptic density, dendrite complexity, as well as surface AMPA receptor expression in hippocampal neurons. Can activate the JNK and MAPK14/p38 pathways and mediates stimulation of the stress-activated protein kinase MAPK14/p38 MAPK downstream of the Raf/ERK pathway. Phosphorylates: TANC1 upon stimulation by RAP2A, MBP and SMAD1. Has an essential function in negative selection of thymocytes, perhaps by coupling NCK1 to activation of JNK1. Isoform 4 can activate the JNK pathway. Involved in the regulation of actin cytoskeleton reorganization, cell-matrix adhesion, cell-cell adhesion and cell migration. |
| Swiss Prot | Q8N4C8 |
| Gene ID | 50488 |
| 亚细胞定位 | Cytoplasm |
| 宿主 | Rabbit |
| 克隆类型 | Polyclonal Antibody |
| 亚型 | IgG |
| 蛋白分子量 | 144/146/147/148/150kDa |
| 稀释比例 | IHC 1:50-200. |
| 免疫原 | A synthetic peptide of Human MINK1 |
| Public Immunogen Range | 885-935/1332aa |
| 纯化方法 | Affinity purification |
| 储存液 | Buffer: PBS with 0.03% Proclin300, 50% glycerol, pH7.3. |
| 保存 | Store at -20℃. Avoid freeze / thaw cycles. |
| 交叉反应 | Human;Mouse;Rat |
| 应用 | IHC |
| 规格 | 50ul 100ul |
| 单位 | 支 |
备注:
以上数据均来自公开文献, Solarbio暂未进行独立验证, 仅供参考。
These protocols are for reference only. Solarbio does not independently validate these methods.
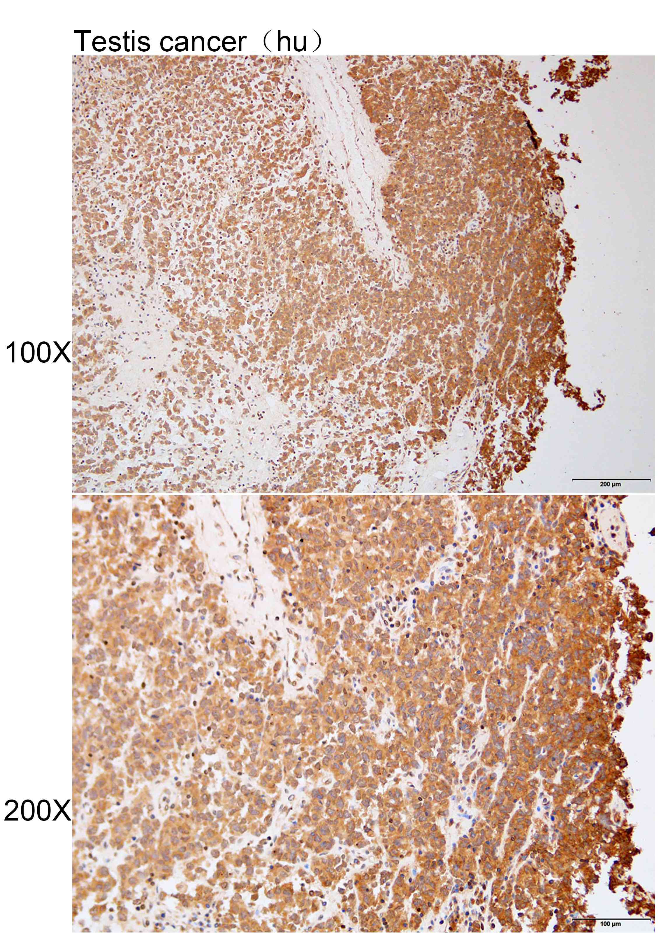
实验图
Immunohistochemistry of paraffin-embedded human testis cancer with MINK1 antibody diluted at 1:100.
风险提示:丁香通仅作为第三方平台,为商家信息发布提供平台空间。用户咨询产品时请注意保护个人信息及财产安全,合理判断,谨慎选购商品,商家和用户对交易行为负责。对于医疗器械类产品,请先查证核实企业经营资质和医疗器械产品注册证情况。
文献和实验Polyclonal Antibody Production
, if desired this is best accomplished by Protein A Affinity Chromatography. 上一篇:make an Antibody against a Peptides 下一篇:Immunization Protocol for Monoclonal Antibody Production
Polyclonal Antibody Production
Polyclonal Antibody Production Very useful for rapid and simple generation of antibodies for western blots, ELISA assays, and immunoprecipitation. Rabbit Immunization Initial Preparation Your antigen
a simple ELISA method to detect human anti-antibody response.
技术资料暂无技术资料 索取技术资料









