相关产品推荐更多 >
万千商家帮你免费找货
0 人在求购买到急需产品
- 详细信息
- 技术资料
- 靶点:
MEOX1
- 应用范围:
WB;IHC
- 宿主:
Rabbit
- 适应物种:
Human;Mouse
- 保质期:
一年
- 供应商:
北京索莱宝科技有限公司
- 克隆性:
Polyclonal Antibody
- 保存条件:
Store at -20℃. Avoid freeze / thaw cycles.
- 亚型:
IgG
- 免疫原:
Recombinant protein of human MEOX1
- 规格:
50ul
产品简介
备注:
以上数据均来自公开文献, Solarbio暂未进行独立验证, 仅供参考。
These protocols are for reference only. Solarbio does not independently validate these methods.
温馨提示:
使用前请离心。如有问题请及时联系我们。
Quick spin before use. If you have any questions, please contact us.
实验图
Western blot analysis with MEOX1 antibody diluted at 1:2000;Lane: Mouse lung.
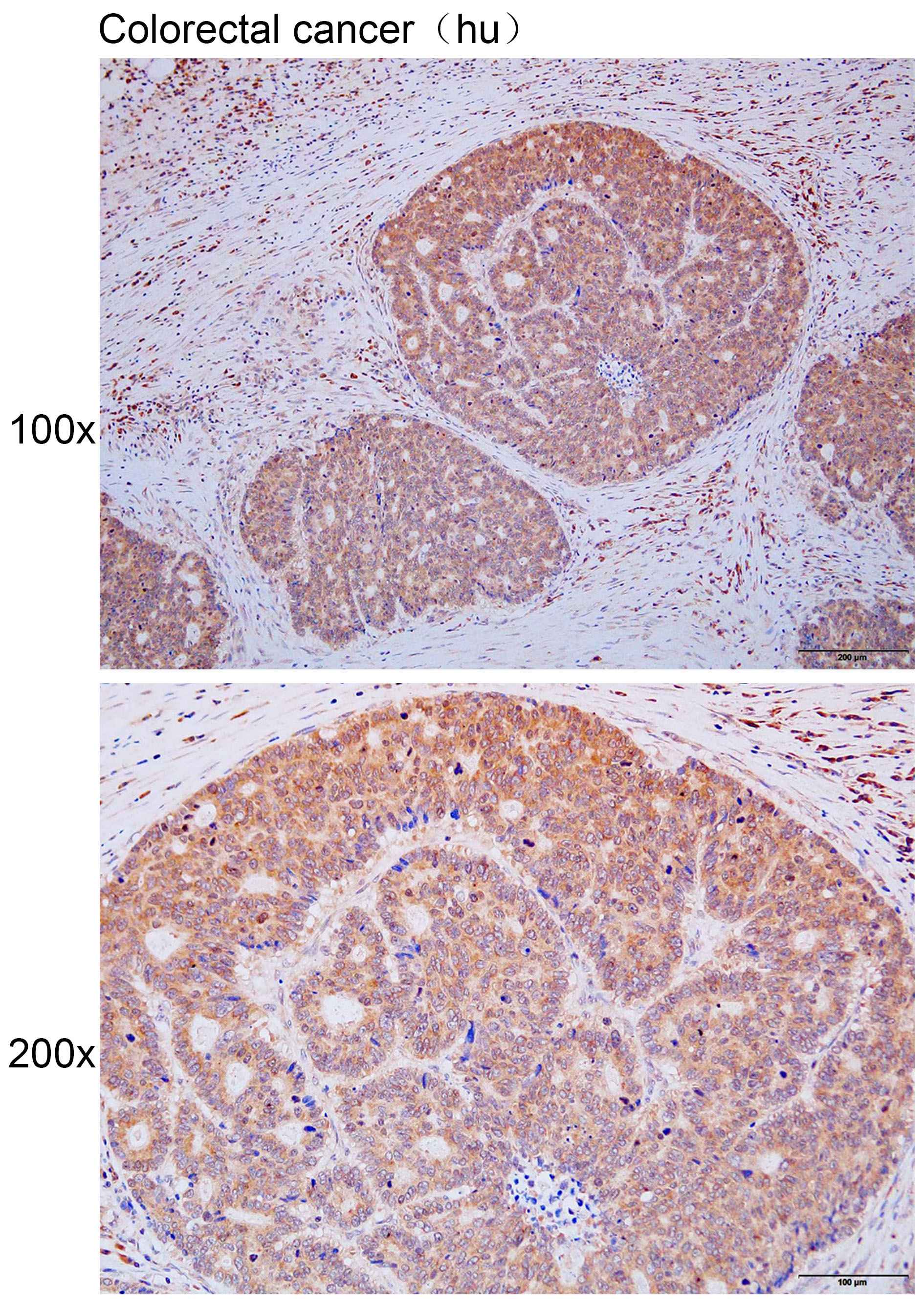
Immunohistochemistry of paraffin-embedded Human colorectal cancer with MEOX1 antibody diluted at 1:200.
| 英文名称 | Anti-MEOX1 Polyclonal Antibody |
| 中文名称 | 间充质同源框1抗体 |
| 靶标 | MEOX1 |
| 别名 | Homeobox protein MOX-1, MEOX1, MEOX1_HUMAN, Mesenchyme homeo box 1, Mesenchyme homeobox 1, MOX 1, MOX1 |
| 背景资料 | Mesodermal transcription factor that plays a key role in somitogenesis and is specifically required for sclerotome development. Required for maintenance of the sclerotome polarity and formation of the cranio-cervical joints (PubMed:23290072, PubMed:24073994). Binds specifically to the promoter of target genes and regulates their expression. Activates expression of NKX3-2 in the sclerotome. Activates expression of CDKN1A and CDKN2A in endothelial cells, acting as a regulator of vascular cell proliferation. While it activates CDKN1A in a DNA-dependent manner, it activates CDKN2A in a DNA-independent manner. Required for hematopoietic stem cell (HSCs) induction via its role in somitogenesis: specification of HSCs occurs via the deployment of a specific endothelial precursor population, which arises within a sub-compartment of the somite named endotome. |
| Swiss Prot | P50221 |
| Gene ID | 4222 |
| 亚细胞定位 | Cytoplasm Nucleus |
| 宿主 | Rabbit |
| 克隆类型 | Polyclonal Antibody |
| 亚型 | IgG |
| 预测交叉反应 | Zebrafish;Chimpanzee |
| 蛋白分子量 | 16/20/28kDa |
| 稀释比例 | WB 1:1000-3000;IHC 1:100-300. |
| 免疫原 | Recombinant protein of human MEOX1 |
| Public Immunogen Range | 1-255aa |
| 纯化方法 | Affinity purification |
| 储存液 | Buffer: PBS with 0.03% Proclin300, 50% glycerol, pH7.3. |
| 保存 | Store at -20°C. Avoid freeze / thaw cycles. |
| 规格 | 50ul 100ul |
| 单位 | 支 |
备注:
以上数据均来自公开文献, Solarbio暂未进行独立验证, 仅供参考。
These protocols are for reference only. Solarbio does not independently validate these methods.
温馨提示:
使用前请离心。如有问题请及时联系我们。
Quick spin before use. If you have any questions, please contact us.
实验图
Western blot analysis with MEOX1 antibody diluted at 1:2000;Lane: Mouse lung.
Immunohistochemistry of paraffin-embedded Human colorectal cancer with MEOX1 antibody diluted at 1:200.
风险提示:丁香通仅作为第三方平台,为商家信息发布提供平台空间。用户咨询产品时请注意保护个人信息及财产安全,合理判断,谨慎选购商品,商家和用户对交易行为负责。对于医疗器械类产品,请先查证核实企业经营资质和医疗器械产品注册证情况。
技术资料暂无技术资料 索取技术资料
Anti-MEOX1 Polyclonal Antibody
¥960






