相关产品推荐更多 >
万千商家帮你免费找货
0 人在求购买到急需产品
- 详细信息
- 技术资料
- 抗体名:
嗜酸性粒细胞过氧化物酶抗体
- 抗体英文名:
Anti-EPX Polyclonal Antibody
- 靶点:
EPX
- 浓度:
现询
- 应用范围:
IHC
- 宿主:
Rabbit
- 适应物种:
Human
- 保质期:
现询
- 抗原来源:
详询
- 目录编号:
K106760P
- 级别:
详询
- 库存:
999
- 供应商:
北京索莱宝科技有限公司
- 标记物:
详询
- 克隆性:
Polyclonal Antibody
- 保存条件:
Store at -20℃. Avoid freeze / thaw cycles.
- 形态:
液体
- 亚型:
IgG
- 免疫原:
A synthetic peptide of human EPX
- 规格:
50ul/100ul
| 规格: | 50ul | 产品价格: | ¥960.0 |
|---|---|---|---|
| 规格: | 100ul | 产品价格: | ¥1600.0 |
Anti-EPX Polyclonal Antibody
产品简介
|
英文名称
|
Anti-EPX Polyclonal Antibody
|
|
中文名称
|
嗜酸性粒细胞过氧化物酶抗体
|
|
靶标
|
EPX
|
|
别名
|
EPER;EPO;EPP
|
|
背景资料
|
Mediates tyrosine nitration of secondary granule proteins in mature resting eosinophils. Shows significant inhibitory activity towards Mycobac*terium tuber*culosis H37Rv by inducing bacterial fragmentation and lysis.
|
|
Swiss Prot
|
P11678
|
|
Gene ID
|
8288
|
|
亚细胞定位
|
Cytoplasm Cell membrane
|
|
宿主
|
Rabbit
|
|
克隆类型
|
Polyclonal Antibody
|
|
亚型
|
IgG
|
|
交叉反应
|
Human
|
|
蛋白分子量
|
81kDa
|
|
应用
|
IHC
|
|
稀释比例
|
IHC 1:25-100.
|
|
免疫原
|
A synthetic peptide of human EPX
|
|
Public Immunogen Range
|
260-310/715aa
|
|
纯化方法
|
Affinity purification
|
|
储存液
|
Buffer: PBS with 50% Glycerol, 0.03% Proclin300, 0.5% BSA, pH 7.3.
|
|
保存
|
Store at -20°C. Avoid freeze / thaw cycles.
|
|
规格
|
100ul ; 50ul
|
|
单位
|
支
|
以上数据均来自公开文献, Solarbio暂未进行独立验证, 仅供参考。
These protocols are for reference only. Solarbio does not independently validate these methods.
使用前请离心。如有问题请及时联系我们。
Quick spin before use. If you have any questions, please contact us.
实验图
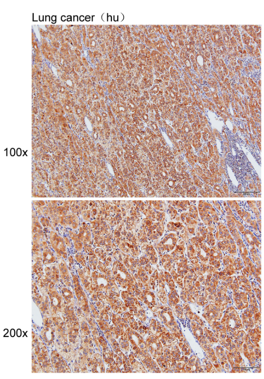
Immunohistochemistry of paraffin-embedded human lung cancer using EPX at dilution of 1:50.
风险提示:丁香通仅作为第三方平台,为商家信息发布提供平台空间。用户咨询产品时请注意保护个人信息及财产安全,合理判断,谨慎选购商品,商家和用户对交易行为负责。对于医疗器械类产品,请先查证核实企业经营资质和医疗器械产品注册证情况。
Anti-EPX Polyclonal Antibody
¥960 - 1600










