相关产品推荐更多 >
万千商家帮你免费找货
0 人在求购买到急需产品
- 详细信息
- 技术资料
- 抗体名:
ERα rabbit pAb抗体
- 抗体英文名:
ERα rabbit pAb
- 浓度:
1 mg/ml
- 应用范围:
ELISA, IF, IHC-P, WB
- 适应物种:
Human, Mouse, Rat
- 保质期:
6-12个月
- 抗原来源:
详询
- 目录编号:
orb765177
- 级别:
科研级
- 库存:
88
- 供应商:
biorbyt
- 标记物:
Unconjugated
- 克隆性:
Polyclonal
- 亚型:
IgG
- 免疫原:
The antiserum was produced against synthesized peptide derived from human Estrogen Receptor-alpha. AA range:501-550
- 规格:
50 ul
产品描述:Rabbit polyclonal antibody to ERalpha
别名:Anti-ESR1 antibody, anti-ESR antibody, anti-NR3A1 antibody, anti-Estrogen receptor antibody, anti-ER antibody, anti-ER-alpha antibody, anti-Estradiol receptor antibody, anti-Nuclear receptor subfamily 3 group A member 1 antibody
免疫原:The antiserum was produced against synthesized peptide derived from human Estrogen Receptor-alpha. AA range:501-550
分子量:66
应用稀释比例:Western Blot: 1/500 - 1/2000. Immunohistochemistry: 1/100 - 1/300. Immunofluorescence: 1/200 - 1/1000. ELISA: 1/10000. Not yet tested in other applications.
防腐剂:PBS with 0.02% sodium azide and 50% glycerol pH 7.4.
纯化:The antibody was affinity-purified from rabbit antiserum by affinity-chromatography using epitope-specific immunogen.
来源:Rabbit
保存说明:Maintain refrigerated at 2-8°C for up to 2 weeks. For long term storage store at -20°C in small aliquots to prevent freeze-thaw cycles.
Note:For research use only.




别名:Anti-ESR1 antibody, anti-ESR antibody, anti-NR3A1 antibody, anti-Estrogen receptor antibody, anti-ER antibody, anti-ER-alpha antibody, anti-Estradiol receptor antibody, anti-Nuclear receptor subfamily 3 group A member 1 antibody
免疫原:The antiserum was produced against synthesized peptide derived from human Estrogen Receptor-alpha. AA range:501-550
分子量:66
应用稀释比例:Western Blot: 1/500 - 1/2000. Immunohistochemistry: 1/100 - 1/300. Immunofluorescence: 1/200 - 1/1000. ELISA: 1/10000. Not yet tested in other applications.
防腐剂:PBS with 0.02% sodium azide and 50% glycerol pH 7.4.
纯化:The antibody was affinity-purified from rabbit antiserum by affinity-chromatography using epitope-specific immunogen.
来源:Rabbit
保存说明:Maintain refrigerated at 2-8°C for up to 2 weeks. For long term storage store at -20°C in small aliquots to prevent freeze-thaw cycles.
Note:For research use only.

Immunofluorescence analysis of Hela cell. 1, ERα Polyclonal Antibody (red) was diluted at 1:200 (4°C overnight). Caspase-8 Monoclonal Antibody (2G12) (green) was diluted at 1:200 (4°C overnight). 2, Goat Anti Rabbit Alexa Fluor 594 was diluted at 1:1000 (room temperature, 50min). Goat Anti Mouse Alexa Fluor 488 was diluted at 1:1000 (room temperature, 50min).

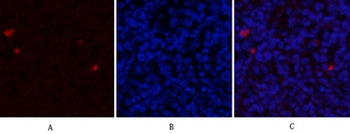
Immunofluorescence analysis of rat-lung tissue. 1, ERα Polyclonal Antibody (red) was diluted at 1:200 (4°C, overnight). 2, Cy3 labled Secondary antibody was diluted at 1:300 (room temperature, 50min). 3, Picture B: DAPI (blue) 10min. Picture A:Target. Picture B: DAPI. Picture C: merge of A + B.

Immunofluorescence analysis of rat-spleen tissue. 1, ERα Polyclonal Antibody (red) was diluted at 1:200 (4°C, overnight). 2, Cy3 labled Secondary antibody was diluted at 1:300 (room temperature, 50min). 3, Picture B: DAPI (blue) 10min. Picture A:Target. Picture B: DAPI. Picture C: merge of A + B.

Immunohistochemical analysis of paraffin-embedded Human-lung tissue. 1, ERα Polyclonal Antibody was diluted at 1:200 (4°C, overnight). 2, Sodium citrate pH 6.0 was used for antibody retrieval (>98°C, 20min). 3, Secondary antibody was diluted at 1:200 (room tempeRature, 30min). Negative control was used by secondary antibody only.
风险提示:丁香通仅作为第三方平台,为商家信息发布提供平台空间。用户咨询产品时请注意保护个人信息及财产安全,合理判断,谨慎选购商品,商家和用户对交易行为负责。对于医疗器械类产品,请先查证核实企业经营资质和医疗器械产品注册证情况。
技术资料暂无技术资料 索取技术资料
ERα rabbit pAb抗体,orb765177,biorbyt
¥3250










