万千商家帮你免费找货
0 人在求购买到急需产品
- 详细信息
- 技术资料
- 供应商:
一研
- 库存:
39
- 靶点:
说明书
- 级别:
说明书
- 目录编号:
说明书
- 克隆性:
多克隆
- 抗原来源:
Rabbit
- 保质期:
说明书
- 抗体英文名:
C9orf93
- 抗体名:
9号染色体开放阅读框93抗体
- 标记物:
Unconjugated
- 宿主:
说明书
- 适应物种:
说明书
- 免疫原:
KLH conjugated synthetic peptide derived from human C9orf93
- 亚型:
LgG
- 形态:
液体
- 应用范围:
说明书
- 保存条件:
Shipped at 4℃. Store at -20 °C for one year. Avoid repeated freeze/thaw cycles.
- 浓度:
1mg/ml
- 规格:
100ul
产品介绍:
产品属性:
一、准备好试剂与仪器:
磷酸盐缓冲盐水、荧光标记的抗体溶液、缓冲甘油、搪瓷桶三只、有盖搪瓷盒一只、荧光显微镜、玻片架、滤纸、37℃温箱等。
二、实验步骤
1.滴加0.01mol/L,pH7.4的PBS于待检标本片上,十分钟后弃去,使标本保持一定湿度。
2.滴加适当稀释的荧光标记的抗体溶液,使其完全覆盖标本,置于有盖搪瓷盒内,保温一定时间以三十分钟为参考。
3.取出玻片,置玻片架上,先用0.01mol/L,pH7.4的PBS冲洗后,再按顺序过0.01mol/L,pH7.4的PBS三缸浸泡,每缸三到五分钟,并不停地摇晃振荡。
4.取出玻片,用滤纸吸去多余水分,但不使标本干燥,加一滴缓冲甘油,以盖玻片覆盖。
5.立即用荧光显微镜观察。观察标本的特异性荧光强度。
抗体的生活习性:
(1)结合特异性抗原:抗体与其他免疫球蛋白分子区别,就在于抗体能与相应抗原发生特异性结合,在体内导致生理或病理效应;在体外产生各种直接或间接的可见的抗原抗体结合反应。抗体是靠其分子上的特殊的结合部位与抗原结合的。
(2)激活补体:抗体与相应抗原结合后,借助暴露的补体结合点去激活补体系统、激发补体的溶菌、溶细胞等免疫作用。
(3)结合细胞:不同类别的免疫球蛋白,可结合不同种的细胞,产生不同的疚,参与免疫应答。
(4)可通过胎盘及粘膜:免疫球蛋白G(IgG)能通过胎盘进入胎儿血流中,使胎儿形成自然被动免疫。免疫球蛋白A(IgA)可通过消化道及呼吸道粘膜,是粘膜局部抗感染免疫的主要因素。
(5)具有抗原性:抗体分子是一种蛋白质,也具有刺激机体产生免疫应答的性能。不同的免疫球蛋白分子,各具有不同的抗原性。
(6)抗体对理化因子的抵抗力与一般球蛋白相同:不耐热,60~70℃即被破坏。各种酶及能使蛋白质凝固变性的物质,均能破坏抗体的作用。抗体可被中性盐类沉淀。在上常可用硫酸铵或硫酸钠从免疫血清中沉淀出含有抗体的球蛋白,再经透析法将其纯化。
实验原理 :
(1)特异性结合抗原:抗体本身不能直接溶解或杀伤带有特异抗原的靶细胞,通常需要补体或吞噬细胞等共同发挥效应以清除病原微生物或导致病理损伤。然而,抗体可通过与病毒或毒素的特异性结合,直接发挥中和病毒的作用。
(2)活补体:IgM、IgG1、IgG2和IgG3可通过经典途径激活补体,凝聚的IgA、IgG4和IgE可通过替代途径激活补体。
(3)结合细胞:不同类别的免疫球蛋白,可结合不同种的细胞,参与免疫应答。
(4)可通过胎盘及粘膜:免疫球蛋白G(IgG)能通过胎盘进入胎儿血流中,使胎儿形成自然被动免疫。免疫球蛋白A(IgA)可通过消化道及呼吸道粘膜,是粘膜局部抗感染免疫的主要因素。
(5)具有抗原性:抗体分子是一种蛋白质,也具有刺机体产生免疫应答的性能。不同的免疫球蛋白分子,各具有不同的抗原性。
(6)抗体对理化因子的抵抗力与一般球蛋白相同:不耐热,60~70℃即被破坏。各种酶及能使蛋白质凝固变性的物质,均能破坏抗体的作用。抗体可被中性盐类沉淀。在上常可用硫酸铵或硫酸钠从免疫血清中沉淀出含有抗体的球蛋白,再经透析法将其纯化。
大肠埃希氏菌Pantoea agglomerans
果生链核盘菌Delftia acidovorans
香菇Escherichia coli
枯草芽孢杆菌Halococcus qingdaonensis
鸡伤菌Halovivax asiaticus
猪霍乱沙门氏菌Natronorubrum aibiense
阿木吉氏链霉菌Bacillus subtilis subsp. subtilis
根异茎点霉Achromobacter xylosoxidans
胶韧革菌(榆耳,榆蘑)Serratia marcescens
酿酒酵母Providencia stuartii
膜醭毕赤酵母Bacillus pumilus
地衣芽孢杆菌Staphylococcus epidermidis
假坚强芽孢杆菌Staphylococcus xylosus
弧状短波单胞菌Serratia marcescens
节杆菌Enterococcus faecium
孢小克银汉霉Bacillus megaterium
新月弯孢霉Curvularia│lunata 质量规格:HPLC>98%,标准品
海底嗜冷杆菌Psychrobacter│submarinus 质量规格:含量测定
: KCTC19027资源名称: 耐多抗诺氏菌 质量规格:检查
9号染色体开放阅读框93抗体X组磷脂酶A2(PLA2G10)试剂盒Anti-Alpha Internexin INA Intermediate Neurofilament Antibody纤溶酶原激活物抑制
鸟氨酰转移酶(OCT)试剂盒Anti-ALPK1 Antibody角7
间隙连接26(CX26)试剂盒 Anti-ALPK2 Antibody异硫酸荧光素(FITC)标记相关肽1-37
金属硫2 (MT2)试剂盒Anti-ALPP Antibody凋亡活性-1(抗原)
神经激肽A(NKA)试剂盒Anti-ALPL Antibody凋亡活性-1(抗原)
粘附相互作用(CYTIP)试剂盒 Anti-ALX3 Antibody雄受体(多肽抗原)
磷酸二酯酶4D(PDE4D)试剂盒Anti-ALYREF(THOC4) pAb5-羟色受体2A抗原
Salusinα(Salusinα)检测试剂盒Human LAMB1(Laminin subunit beta-1) ELISA Kit包装5g安倍生坦(标准品)
管内皮生长受体3(VEGFR3)检测试剂盒Human FBN2(Fibrillin-2) ELISA Kit包装1g安乃近(标准品)
Bcl2关联X(Bax)检测试剂盒Human TGFBR1(TGF-beta receptor type-1) ELISA Kit包装5g安替比林(标准品)
干扰素γ(IFNγ)检测试剂盒Human PRKCE(Protein kinase C epsilon type) ELISA Kit包装25g氨苯蝶啶(标准品)
干扰素γ(IFNγ)检测试剂盒Human PRKCG(Protein kinase C gamma type) ELISA Kit包装5g氨苯砜(标准品)
胰岛素样生长1(IGF1)检测试剂盒Human NRGN(Neurogranin) ELISA Kit包装1g氨苄西林/氨苄青霉素(标准品)
胰岛素样生长1(IGF1)检测试剂盒Human IFITM10(Interferon-induced transmembrane protein 10) ELISA Kit包装250mg氨苄西林钠(标准品)
胰岛素样生长1(IGF1)检测试剂盒Human IL2RG(Cytokine receptor common subunit gamma) ELISA Kit包装5g氨丁三(标准品)
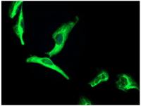
| 产品名称:9号染色体开放阅读框93抗体 英文名称:C9orf93 英文别名:bA536D16.1; bA778P13.1; C9orf93; Chromosome 9 open reading frame 93; CC171_HUMAN; Uncharacterized protein C9orf93. 交叉反应: Human, Dog, Pig, Cow, Horse, Rabbit, Sheep 标记: Unconjugated 抗体来源: Rabbit 抗体类型: Polyclonal 免疫原: KLH conjugated synthetic peptide derived from human C9orf93 蛋白细胞定位: 细胞核 纯化方法: affinity purified by Protein A 亚型: IgG 性状: Liquid 浓度: 1mg/ml 储存液: 0.01M TBS(pH7.4) with 1% BSA, 0.03% Proclin300 and 50% Glycerol. 保存条件: Shipped at 4℃. Store at -20 °C for one year. Avoid repeated freeze/thaw cycles. 背景资料: Chromosome 9 consists of about 145 million bases and 4% of the human genome and encodes nearly 900 genes. Considered to play a role in gender determination, deletion of the distal portion of 9p can lead to development of male to female sex reversal, the phenotype of a female with a male X,Y genotype. Hereditary hemorrhagic telangiectasia, which is characterized by harmful vascular defects, is associated with the chromosome 9 gene encoding endoglin protein, ENG. Familial dysautonomia is also associated with chromosome 9 though through the gene IKBKAP. Notably, chromosome 9 encompasses the largest interferon family gene cluster. Chromosome 9 is partnered with chromosome 22 in the translocation leading to the aberrant production of BCR-ABL fusion protein often found in leukemias. The C9orf93 gene product has been provisionally designated C9orf93 pending further characterization. There are two isoforms of C9orf93 that are produced as a result of alternative splicing events. |
| 产品名称 | 浓度 | 型号 |
| 9号染色体开放阅读框93抗体 | 1mg/ml | EY-01K6058 |




一、准备好试剂与仪器:
磷酸盐缓冲盐水、荧光标记的抗体溶液、缓冲甘油、搪瓷桶三只、有盖搪瓷盒一只、荧光显微镜、玻片架、滤纸、37℃温箱等。
二、实验步骤
1.滴加0.01mol/L,pH7.4的PBS于待检标本片上,十分钟后弃去,使标本保持一定湿度。
2.滴加适当稀释的荧光标记的抗体溶液,使其完全覆盖标本,置于有盖搪瓷盒内,保温一定时间以三十分钟为参考。
3.取出玻片,置玻片架上,先用0.01mol/L,pH7.4的PBS冲洗后,再按顺序过0.01mol/L,pH7.4的PBS三缸浸泡,每缸三到五分钟,并不停地摇晃振荡。
4.取出玻片,用滤纸吸去多余水分,但不使标本干燥,加一滴缓冲甘油,以盖玻片覆盖。
5.立即用荧光显微镜观察。观察标本的特异性荧光强度。
抗体的生活习性:
(1)结合特异性抗原:抗体与其他免疫球蛋白分子区别,就在于抗体能与相应抗原发生特异性结合,在体内导致生理或病理效应;在体外产生各种直接或间接的可见的抗原抗体结合反应。抗体是靠其分子上的特殊的结合部位与抗原结合的。
(2)激活补体:抗体与相应抗原结合后,借助暴露的补体结合点去激活补体系统、激发补体的溶菌、溶细胞等免疫作用。
(3)结合细胞:不同类别的免疫球蛋白,可结合不同种的细胞,产生不同的疚,参与免疫应答。
(4)可通过胎盘及粘膜:免疫球蛋白G(IgG)能通过胎盘进入胎儿血流中,使胎儿形成自然被动免疫。免疫球蛋白A(IgA)可通过消化道及呼吸道粘膜,是粘膜局部抗感染免疫的主要因素。
(5)具有抗原性:抗体分子是一种蛋白质,也具有刺激机体产生免疫应答的性能。不同的免疫球蛋白分子,各具有不同的抗原性。
(6)抗体对理化因子的抵抗力与一般球蛋白相同:不耐热,60~70℃即被破坏。各种酶及能使蛋白质凝固变性的物质,均能破坏抗体的作用。抗体可被中性盐类沉淀。在上常可用硫酸铵或硫酸钠从免疫血清中沉淀出含有抗体的球蛋白,再经透析法将其纯化。
实验原理 :
(1)特异性结合抗原:抗体本身不能直接溶解或杀伤带有特异抗原的靶细胞,通常需要补体或吞噬细胞等共同发挥效应以清除病原微生物或导致病理损伤。然而,抗体可通过与病毒或毒素的特异性结合,直接发挥中和病毒的作用。
(2)活补体:IgM、IgG1、IgG2和IgG3可通过经典途径激活补体,凝聚的IgA、IgG4和IgE可通过替代途径激活补体。
(3)结合细胞:不同类别的免疫球蛋白,可结合不同种的细胞,参与免疫应答。
(4)可通过胎盘及粘膜:免疫球蛋白G(IgG)能通过胎盘进入胎儿血流中,使胎儿形成自然被动免疫。免疫球蛋白A(IgA)可通过消化道及呼吸道粘膜,是粘膜局部抗感染免疫的主要因素。
(5)具有抗原性:抗体分子是一种蛋白质,也具有刺机体产生免疫应答的性能。不同的免疫球蛋白分子,各具有不同的抗原性。
(6)抗体对理化因子的抵抗力与一般球蛋白相同:不耐热,60~70℃即被破坏。各种酶及能使蛋白质凝固变性的物质,均能破坏抗体的作用。抗体可被中性盐类沉淀。在上常可用硫酸铵或硫酸钠从免疫血清中沉淀出含有抗体的球蛋白,再经透析法将其纯化。
大肠埃希氏菌Pantoea agglomerans
果生链核盘菌Delftia acidovorans
香菇Escherichia coli
枯草芽孢杆菌Halococcus qingdaonensis
鸡伤菌Halovivax asiaticus
猪霍乱沙门氏菌Natronorubrum aibiense
阿木吉氏链霉菌Bacillus subtilis subsp. subtilis
根异茎点霉Achromobacter xylosoxidans
胶韧革菌(榆耳,榆蘑)Serratia marcescens
酿酒酵母Providencia stuartii
膜醭毕赤酵母Bacillus pumilus
地衣芽孢杆菌Staphylococcus epidermidis
假坚强芽孢杆菌Staphylococcus xylosus
弧状短波单胞菌Serratia marcescens
节杆菌Enterococcus faecium
孢小克银汉霉Bacillus megaterium
新月弯孢霉Curvularia│lunata 质量规格:HPLC>98%,标准品
海底嗜冷杆菌Psychrobacter│submarinus 质量规格:含量测定
: KCTC19027资源名称: 耐多抗诺氏菌 质量规格:检查
9号染色体开放阅读框93抗体X组磷脂酶A2(PLA2G10)试剂盒Anti-Alpha Internexin INA Intermediate Neurofilament Antibody纤溶酶原激活物抑制
鸟氨酰转移酶(OCT)试剂盒Anti-ALPK1 Antibody角7
间隙连接26(CX26)试剂盒 Anti-ALPK2 Antibody异硫酸荧光素(FITC)标记相关肽1-37
金属硫2 (MT2)试剂盒Anti-ALPP Antibody凋亡活性-1(抗原)
神经激肽A(NKA)试剂盒Anti-ALPL Antibody凋亡活性-1(抗原)
粘附相互作用(CYTIP)试剂盒 Anti-ALX3 Antibody雄受体(多肽抗原)
磷酸二酯酶4D(PDE4D)试剂盒Anti-ALYREF(THOC4) pAb5-羟色受体2A抗原
Salusinα(Salusinα)检测试剂盒Human LAMB1(Laminin subunit beta-1) ELISA Kit包装5g安倍生坦(标准品)
管内皮生长受体3(VEGFR3)检测试剂盒Human FBN2(Fibrillin-2) ELISA Kit包装1g安乃近(标准品)
Bcl2关联X(Bax)检测试剂盒Human TGFBR1(TGF-beta receptor type-1) ELISA Kit包装5g安替比林(标准品)
干扰素γ(IFNγ)检测试剂盒Human PRKCE(Protein kinase C epsilon type) ELISA Kit包装25g氨苯蝶啶(标准品)
干扰素γ(IFNγ)检测试剂盒Human PRKCG(Protein kinase C gamma type) ELISA Kit包装5g氨苯砜(标准品)
胰岛素样生长1(IGF1)检测试剂盒Human NRGN(Neurogranin) ELISA Kit包装1g氨苄西林/氨苄青霉素(标准品)
胰岛素样生长1(IGF1)检测试剂盒Human IFITM10(Interferon-induced transmembrane protein 10) ELISA Kit包装250mg氨苄西林钠(标准品)
胰岛素样生长1(IGF1)检测试剂盒Human IL2RG(Cytokine receptor common subunit gamma) ELISA Kit包装5g氨丁三(标准品)
风险提示:丁香通仅作为第三方平台,为商家信息发布提供平台空间。用户咨询产品时请注意保护个人信息及财产安全,合理判断,谨慎选购商品,商家和用户对交易行为负责。对于医疗器械类产品,请先查证核实企业经营资质和医疗器械产品注册证情况。
技术资料暂无技术资料 索取技术资料
9号染色体开放阅读框93抗体
¥1080 - 3200









