万千商家帮你免费找货
0 人在求购买到急需产品
- 详细信息
- 技术资料
- 供应商:
一研
- 库存:
25
- 靶点:
说明书
- 级别:
说明书
- 目录编号:
说明书
- 克隆性:
多克隆
- 抗原来源:
Rabbit
- 保质期:
说明书
- 抗体英文名:
LGSN
- 抗体名:
谷氨酰胺合酶结构域蛋白1抗体
- 标记物:
Unconjugated
- 宿主:
说明书
- 适应物种:
说明书
- 免疫原:
KLH conjugated synthetic peptide derived from human LGSN
- 亚型:
LgG
- 形态:
液体
- 应用范围:
说明书
- 保存条件:
Shipped at 4℃. Store at -20 °C for one year. Avoid repeated freeze/thaw cycles.
- 浓度:
1mg/ml
- 规格:
100ul
产品介绍:
产品属性:
一、准备好试剂与仪器:
磷酸盐缓冲盐水、荧光标记的抗体溶液、缓冲甘油、搪瓷桶三只、有盖搪瓷盒一只、荧光显微镜、玻片架、滤纸、37℃温箱等。
二、实验步骤
1.滴加0.01mol/L,pH7.4的PBS于待检标本片上,十分钟后弃去,使标本保持一定湿度。
2.滴加适当稀释的荧光标记的抗体溶液,使其完全覆盖标本,置于有盖搪瓷盒内,保温一定时间以三十分钟为参考。
3.取出玻片,置玻片架上,先用0.01mol/L,pH7.4的PBS冲洗后,再按顺序过0.01mol/L,pH7.4的PBS三缸浸泡,每缸三到五分钟,并不停地摇晃振荡。
4.取出玻片,用滤纸吸去多余水分,但不使标本干燥,加一滴缓冲甘油,以盖玻片覆盖。
5.立即用荧光显微镜观察。观察标本的特异性荧光强度。
抗体的生活习性:
(1)结合特异性抗原:抗体与其他免疫球蛋白分子区别,就在于抗体能与相应抗原发生特异性结合,在体内导致生理或病理效应;在体外产生各种直接或间接的可见的抗原抗体结合反应。抗体是靠其分子上的特殊的结合部位与抗原结合的。
(2)激活补体:抗体与相应抗原结合后,借助暴露的补体结合点去激活补体系统、激发补体的溶菌、溶细胞等免疫作用。
(3)结合细胞:不同类别的免疫球蛋白,可结合不同种的细胞,产生不同的疚,参与免疫应答。
(4)可通过胎盘及粘膜:免疫球蛋白G(IgG)能通过胎盘进入胎儿血流中,使胎儿形成自然被动免疫。免疫球蛋白A(IgA)可通过消化道及呼吸道粘膜,是粘膜局部抗感染免疫的主要因素。
(5)具有抗原性:抗体分子是一种蛋白质,也具有刺激机体产生免疫应答的性能。不同的免疫球蛋白分子,各具有不同的抗原性。
(6)抗体对理化因子的抵抗力与一般球蛋白相同:不耐热,60~70℃即被破坏。各种酶及能使蛋白质凝固变性的物质,均能破坏抗体的作用。抗体可被中性盐类沉淀。在上常可用硫酸铵或硫酸钠从免疫血清中沉淀出含有抗体的球蛋白,再经透析法将其纯化。
实验原理 :
(1)特异性结合抗原:抗体本身不能直接溶解或杀伤带有特异抗原的靶细胞,通常需要补体或吞噬细胞等共同发挥效应以清除病原微生物或导致病理损伤。然而,抗体可通过与病毒或毒素的特异性结合,直接发挥中和病毒的作用。
(2)活补体:IgM、IgG1、IgG2和IgG3可通过经典途径激活补体,凝聚的IgA、IgG4和IgE可通过替代途径激活补体。
(3)结合细胞:不同类别的免疫球蛋白,可结合不同种的细胞,参与免疫应答。
(4)可通过胎盘及粘膜:免疫球蛋白G(IgG)能通过胎盘进入胎儿血流中,使胎儿形成自然被动免疫。免疫球蛋白A(IgA)可通过消化道及呼吸道粘膜,是粘膜局部抗感染免疫的主要因素。
(5)具有抗原性:抗体分子是一种蛋白质,也具有刺机体产生免疫应答的性能。不同的免疫球蛋白分子,各具有不同的抗原性。
(6)抗体对理化因子的抵抗力与一般球蛋白相同:不耐热,60~70℃即被破坏。各种酶及能使蛋白质凝固变性的物质,均能破坏抗体的作用。抗体可被中性盐类沉淀。在上常可用硫酸铵或硫酸钠从免疫血清中沉淀出含有抗体的球蛋白,再经透析法将其纯化。
茶树菇Escherichia coli大鼠钙/钙调依赖性激2(CAMK 2)
赤曲霉Escherichia coli大鼠肝脂(HL)
阿维菌链霉菌*Escherichia coli大鼠肝脂(HL)
库氏野野村氏菌Escherichia coli大鼠型乙酰受体(N-AChR)
白迷孔菌Escherichia coli大鼠型乙酰受体(N-AChR)
光滑青霉Escherichia coli大鼠蕈碱型乙酰受体(M-AChR)
孟氏假单胞菌Escherichia coli大鼠蕈碱型乙酰受体(M-AChR)
苏云金芽孢杆菌加拿大亚种Escherichia coli大鼠活化C(APC)
鸭疫里氏杆菌Escherichia coli大鼠活化C(APC)
冷海水黄杆菌Escherichia coli大鼠/甘(GAL)
金龟子绿僵菌Escherichia coli大鼠/甘(GAL)
球形赖芽孢杆菌Escherichia coli大鼠α葡萄糖苷(a-Glu)
海洋海源菌Escherichia coli大鼠α葡萄糖苷(a-Glu)
鲁氏酵母Escherichia coli大鼠破骨分化(ODF)
克罗诺杆菌属Escherichia coli大鼠破骨分化(ODF)
斯氏假单胞菌Escherichia coli大鼠Toll样受体9(TLR-9/CD289)
胰脂肪相关1抗体青孢链霉菌人肺转化
相关浆A抗体尖孢链霉菌SK-GT-2
磷化酪抗体绒盖干酪菌G418抗性的小鼠胚胎成纤维(干库保藏)
C抑制抗体绿盖粉孢牛肝菌小鼠Mo-MuLv感染的3T3
谷氨酰胺合酶结构域蛋白1抗体纤维肽A(FPA)试剂盒 Anti-CDC42EP4 Antibody激分子B7-1抗原
粘20(MUC20)试剂盒Anti-CDC42EP5 Antibody肿转移抑制1抗原
胰岛素样生长酸不稳定亚基(IGFALS)试剂盒 Anti-CDC42EP4 AntibodyCD86抗原
防御素α5(DEFα5)试剂盒Anti-CDC7 Antibody周期素依赖激酶1抗原
ras同源物基因家族成员b(RHOB)试剂盒Anti-CDCA2 Antibody周期调控34抗原
胰腺再生1β(REG1β)试剂盒Anti-CDC6 Antibody周期素依赖性激酶1抗原
染色盒同源物3(CBX3)试剂盒Anti-CDC73 Antibody周期素依赖性激酶5抗原
白介素4(IL4)检测试剂盒Human MT2A(Metallothionein-2) ELISA Kit包装25g间(标准品)
白介素6(IL6)检测试剂盒Human NRG-1(Neuregulin 1) ELISA Kit包装5g间羟基苯甲酸(标准品)
白介素8(IL8)检测试剂盒Human TUBB(Tubulin beta chain) ELISA Kit包装1ml交沙霉素(标准品)
表皮生长(EGF)检测试剂盒Human MUCL1(Mucin-like protein 1) ELISA Kit包装25ml金O(标准品)
促生长释放(GHRH)检测试剂盒Human CD3E(T-cell surface glycoprotein CD3 epsilon chain) ELISA Kit包装5ml金橙II(标准品)
干扰素γ(IFNγ)检测试剂盒Human ERCC1(DNA excision repair protein ERCC-1) ELISA Kit包装1g金刚烷(标准品)
基质金属酶9(MMP9)检测试剂盒Human NRP1(Neuropilin-1) ELISA Kit包装25g金诺芬(标准品)
内皮素1(EDN1)检测试剂盒Human VLDL(Very low-density lipoprotein) ELISA Kit包装5g伐伦克林(标准品)
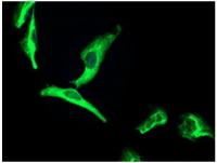
| 产品名称:谷氨酰胺合酶结构域蛋白1抗体 英文名称:LGSN 英文别名:GLULD1; Glutamate ammonia ligase domain containing protein 1; Lengsin; lengsin, lens protein with glutamine synthetase domain; Lens glutamine synthase like; LGS; LGSN; LGSN_HUMAN. 交叉反应: Human, Mouse, Rat, Dog, Pig, Cow, Horse, Sheep 标记: Unconjugated 抗体来源: Rabbit 抗体类型: Polyclonal 免疫原: KLH conjugated synthetic peptide derived from human LGSN 蛋白细胞定位: 细胞浆 纯化方法: affinity purified by Protein A 亚型: IgG 性状: Liquid 浓度: 1mg/ml 储存液: 0.01M TBS(pH7.4) with 1% BSA, 0.03% Proclin300 and 50% Glycerol. 保存条件: Shipped at 4℃. Store at -20 °C for one year. Avoid repeated freeze/thaw cycles. 背景资料: This gene encodes a protein with similarity to the GS I members of the glutamine synthetase superfamily. The encoded protein is referred to as a pseudo-glutamine synthetase because it has no glutamine synthesis activity and may function as a chaperone protein. This protein is localized to the lens and may be associated with cataract disease. Alternative splicing results in multiple transcript variants. [provided by RefSeq, Jan 2009] |
| 产品名称 | 浓度 | 型号 |
| 谷氨酰胺合酶结构域蛋白1抗体 | 1mg/ml | EY-01K6003 |




一、准备好试剂与仪器:
磷酸盐缓冲盐水、荧光标记的抗体溶液、缓冲甘油、搪瓷桶三只、有盖搪瓷盒一只、荧光显微镜、玻片架、滤纸、37℃温箱等。
二、实验步骤
1.滴加0.01mol/L,pH7.4的PBS于待检标本片上,十分钟后弃去,使标本保持一定湿度。
2.滴加适当稀释的荧光标记的抗体溶液,使其完全覆盖标本,置于有盖搪瓷盒内,保温一定时间以三十分钟为参考。
3.取出玻片,置玻片架上,先用0.01mol/L,pH7.4的PBS冲洗后,再按顺序过0.01mol/L,pH7.4的PBS三缸浸泡,每缸三到五分钟,并不停地摇晃振荡。
4.取出玻片,用滤纸吸去多余水分,但不使标本干燥,加一滴缓冲甘油,以盖玻片覆盖。
5.立即用荧光显微镜观察。观察标本的特异性荧光强度。
抗体的生活习性:
(1)结合特异性抗原:抗体与其他免疫球蛋白分子区别,就在于抗体能与相应抗原发生特异性结合,在体内导致生理或病理效应;在体外产生各种直接或间接的可见的抗原抗体结合反应。抗体是靠其分子上的特殊的结合部位与抗原结合的。
(2)激活补体:抗体与相应抗原结合后,借助暴露的补体结合点去激活补体系统、激发补体的溶菌、溶细胞等免疫作用。
(3)结合细胞:不同类别的免疫球蛋白,可结合不同种的细胞,产生不同的疚,参与免疫应答。
(4)可通过胎盘及粘膜:免疫球蛋白G(IgG)能通过胎盘进入胎儿血流中,使胎儿形成自然被动免疫。免疫球蛋白A(IgA)可通过消化道及呼吸道粘膜,是粘膜局部抗感染免疫的主要因素。
(5)具有抗原性:抗体分子是一种蛋白质,也具有刺激机体产生免疫应答的性能。不同的免疫球蛋白分子,各具有不同的抗原性。
(6)抗体对理化因子的抵抗力与一般球蛋白相同:不耐热,60~70℃即被破坏。各种酶及能使蛋白质凝固变性的物质,均能破坏抗体的作用。抗体可被中性盐类沉淀。在上常可用硫酸铵或硫酸钠从免疫血清中沉淀出含有抗体的球蛋白,再经透析法将其纯化。
实验原理 :
(1)特异性结合抗原:抗体本身不能直接溶解或杀伤带有特异抗原的靶细胞,通常需要补体或吞噬细胞等共同发挥效应以清除病原微生物或导致病理损伤。然而,抗体可通过与病毒或毒素的特异性结合,直接发挥中和病毒的作用。
(2)活补体:IgM、IgG1、IgG2和IgG3可通过经典途径激活补体,凝聚的IgA、IgG4和IgE可通过替代途径激活补体。
(3)结合细胞:不同类别的免疫球蛋白,可结合不同种的细胞,参与免疫应答。
(4)可通过胎盘及粘膜:免疫球蛋白G(IgG)能通过胎盘进入胎儿血流中,使胎儿形成自然被动免疫。免疫球蛋白A(IgA)可通过消化道及呼吸道粘膜,是粘膜局部抗感染免疫的主要因素。
(5)具有抗原性:抗体分子是一种蛋白质,也具有刺机体产生免疫应答的性能。不同的免疫球蛋白分子,各具有不同的抗原性。
(6)抗体对理化因子的抵抗力与一般球蛋白相同:不耐热,60~70℃即被破坏。各种酶及能使蛋白质凝固变性的物质,均能破坏抗体的作用。抗体可被中性盐类沉淀。在上常可用硫酸铵或硫酸钠从免疫血清中沉淀出含有抗体的球蛋白,再经透析法将其纯化。
茶树菇Escherichia coli大鼠钙/钙调依赖性激2(CAMK 2)
赤曲霉Escherichia coli大鼠肝脂(HL)
阿维菌链霉菌*Escherichia coli大鼠肝脂(HL)
库氏野野村氏菌Escherichia coli大鼠型乙酰受体(N-AChR)
白迷孔菌Escherichia coli大鼠型乙酰受体(N-AChR)
光滑青霉Escherichia coli大鼠蕈碱型乙酰受体(M-AChR)
孟氏假单胞菌Escherichia coli大鼠蕈碱型乙酰受体(M-AChR)
苏云金芽孢杆菌加拿大亚种Escherichia coli大鼠活化C(APC)
鸭疫里氏杆菌Escherichia coli大鼠活化C(APC)
冷海水黄杆菌Escherichia coli大鼠/甘(GAL)
金龟子绿僵菌Escherichia coli大鼠/甘(GAL)
球形赖芽孢杆菌Escherichia coli大鼠α葡萄糖苷(a-Glu)
海洋海源菌Escherichia coli大鼠α葡萄糖苷(a-Glu)
鲁氏酵母Escherichia coli大鼠破骨分化(ODF)
克罗诺杆菌属Escherichia coli大鼠破骨分化(ODF)
斯氏假单胞菌Escherichia coli大鼠Toll样受体9(TLR-9/CD289)
胰脂肪相关1抗体青孢链霉菌人肺转化
相关浆A抗体尖孢链霉菌SK-GT-2
磷化酪抗体绒盖干酪菌G418抗性的小鼠胚胎成纤维(干库保藏)
C抑制抗体绿盖粉孢牛肝菌小鼠Mo-MuLv感染的3T3
谷氨酰胺合酶结构域蛋白1抗体纤维肽A(FPA)试剂盒 Anti-CDC42EP4 Antibody激分子B7-1抗原
粘20(MUC20)试剂盒Anti-CDC42EP5 Antibody肿转移抑制1抗原
胰岛素样生长酸不稳定亚基(IGFALS)试剂盒 Anti-CDC42EP4 AntibodyCD86抗原
防御素α5(DEFα5)试剂盒Anti-CDC7 Antibody周期素依赖激酶1抗原
ras同源物基因家族成员b(RHOB)试剂盒Anti-CDCA2 Antibody周期调控34抗原
胰腺再生1β(REG1β)试剂盒Anti-CDC6 Antibody周期素依赖性激酶1抗原
染色盒同源物3(CBX3)试剂盒Anti-CDC73 Antibody周期素依赖性激酶5抗原
白介素4(IL4)检测试剂盒Human MT2A(Metallothionein-2) ELISA Kit包装25g间(标准品)
白介素6(IL6)检测试剂盒Human NRG-1(Neuregulin 1) ELISA Kit包装5g间羟基苯甲酸(标准品)
白介素8(IL8)检测试剂盒Human TUBB(Tubulin beta chain) ELISA Kit包装1ml交沙霉素(标准品)
表皮生长(EGF)检测试剂盒Human MUCL1(Mucin-like protein 1) ELISA Kit包装25ml金O(标准品)
促生长释放(GHRH)检测试剂盒Human CD3E(T-cell surface glycoprotein CD3 epsilon chain) ELISA Kit包装5ml金橙II(标准品)
干扰素γ(IFNγ)检测试剂盒Human ERCC1(DNA excision repair protein ERCC-1) ELISA Kit包装1g金刚烷(标准品)
基质金属酶9(MMP9)检测试剂盒Human NRP1(Neuropilin-1) ELISA Kit包装25g金诺芬(标准品)
内皮素1(EDN1)检测试剂盒Human VLDL(Very low-density lipoprotein) ELISA Kit包装5g伐伦克林(标准品)
风险提示:丁香通仅作为第三方平台,为商家信息发布提供平台空间。用户咨询产品时请注意保护个人信息及财产安全,合理判断,谨慎选购商品,商家和用户对交易行为负责。对于医疗器械类产品,请先查证核实企业经营资质和医疗器械产品注册证情况。
技术资料暂无技术资料 索取技术资料
谷氨酰胺合酶结构域蛋白1抗体
¥1080 - 3200









