相关产品推荐更多 >
万千商家帮你免费找货
0 人在求购买到急需产品
- 详细信息
- 技术资料
- 供应商:
一研
- 库存:
28
- 靶点:
说明书
- 级别:
说明书
- 目录编号:
说明书
- 克隆性:
多克隆
- 抗原来源:
Rabbit
- 保质期:
说明书
- 抗体英文名:
TMEM59
- 抗体名:
跨膜蛋白59抗体
- 标记物:
Unconjugated
- 宿主:
说明书
- 适应物种:
说明书
- 免疫原:
KLH conjugated synthetic peptide derived from human TMEM59
- 亚型:
LgG
- 形态:
液体
- 应用范围:
说明书
- 保存条件:
Shipped at 4℃. Store at -20 °C for one year. Avoid repeated freeze/thaw cycles.
- 浓度:
1mg/ml
- 规格:
100ul
产品介绍:
产品属性:
一、准备好试剂与仪器:
磷酸盐缓冲盐水、荧光标记的抗体溶液、缓冲甘油、搪瓷桶三只、有盖搪瓷盒一只、荧光显微镜、玻片架、滤纸、37℃温箱等。
二、实验步骤
1.滴加0.01mol/L,pH7.4的PBS于待检标本片上,十分钟后弃去,使标本保持一定湿度。
2.滴加适当稀释的荧光标记的抗体溶液,使其完全覆盖标本,置于有盖搪瓷盒内,保温一定时间以三十分钟为参考。
3.取出玻片,置玻片架上,先用0.01mol/L,pH7.4的PBS冲洗后,再按顺序过0.01mol/L,pH7.4的PBS三缸浸泡,每缸三到五分钟,并不停地摇晃振荡。
4.取出玻片,用滤纸吸去多余水分,但不使标本干燥,加一滴缓冲甘油,以盖玻片覆盖。
5.立即用荧光显微镜观察。观察标本的特异性荧光强度。
抗体的生活习性:
(1)结合特异性抗原:抗体与其他免疫球蛋白分子区别,就在于抗体能与相应抗原发生特异性结合,在体内导致生理或病理效应;在体外产生各种直接或间接的可见的抗原抗体结合反应。抗体是靠其分子上的特殊的结合部位与抗原结合的。
(2)激活补体:抗体与相应抗原结合后,借助暴露的补体结合点去激活补体系统、激发补体的溶菌、溶细胞等免疫作用。
(3)结合细胞:不同类别的免疫球蛋白,可结合不同种的细胞,产生不同的疚,参与免疫应答。
(4)可通过胎盘及粘膜:免疫球蛋白G(IgG)能通过胎盘进入胎儿血流中,使胎儿形成自然被动免疫。免疫球蛋白A(IgA)可通过消化道及呼吸道粘膜,是粘膜局部抗感染免疫的主要因素。
(5)具有抗原性:抗体分子是一种蛋白质,也具有刺激机体产生免疫应答的性能。不同的免疫球蛋白分子,各具有不同的抗原性。
(6)抗体对理化因子的抵抗力与一般球蛋白相同:不耐热,60~70℃即被破坏。各种酶及能使蛋白质凝固变性的物质,均能破坏抗体的作用。抗体可被中性盐类沉淀。在上常可用硫酸铵或硫酸钠从免疫血清中沉淀出含有抗体的球蛋白,再经透析法将其纯化。
实验原理 :
(1)特异性结合抗原:抗体本身不能直接溶解或杀伤带有特异抗原的靶细胞,通常需要补体或吞噬细胞等共同发挥效应以清除病原微生物或导致病理损伤。然而,抗体可通过与病毒或毒素的特异性结合,直接发挥中和病毒的作用。
(2)活补体:IgM、IgG1、IgG2和IgG3可通过经典途径激活补体,凝聚的IgA、IgG4和IgE可通过替代途径激活补体。
(3)结合细胞:不同类别的免疫球蛋白,可结合不同种的细胞,参与免疫应答。
(4)可通过胎盘及粘膜:免疫球蛋白G(IgG)能通过胎盘进入胎儿血流中,使胎儿形成自然被动免疫。免疫球蛋白A(IgA)可通过消化道及呼吸道粘膜,是粘膜局部抗感染免疫的主要因素。
(5)具有抗原性:抗体分子是一种蛋白质,也具有刺机体产生免疫应答的性能。不同的免疫球蛋白分子,各具有不同的抗原性。
(6)抗体对理化因子的抵抗力与一般球蛋白相同:不耐热,60~70℃即被破坏。各种酶及能使蛋白质凝固变性的物质,均能破坏抗体的作用。抗体可被中性盐类沉淀。在上常可用硫酸铵或硫酸钠从免疫血清中沉淀出含有抗体的球蛋白,再经透析法将其纯化。
PDIA3 ELISA Kit人二硫化物异构酶A3测定试剂盒 PDIA3 ELISA KitHuman protein disulfide-isomerase A3, PDIA3 Elisa Kit人二硫化物异构酶A3(PDIA3)elisa试剂盒人二硫化物异构酶A3ELISA检测试剂,PDIA3检测试剂盒PDIA3检测试剂人二硫化物异构酶A3ELISA试剂盒
SDH ELISA Kit人山梨醇脱氢酶免费代测试剂盒 SDH ELISA KitHuman sorbitol dehydrogenase, SDH Elisa Kit人山梨醇脱氢酶(SDH)elisa试剂盒人山梨醇脱氢酶ELISA检测试剂,SDH检测试剂盒SDH检测试剂人山梨醇脱氢酶ELISA试剂盒
PPI ELISA Kit人肽基脯氨酰顺反异构酶ELISA试剂盒 PPI ELISA KitHuman Peptidyl prolyl cis/trans isomerase, PPI Elisa Kit人肽基脯氨酰顺反异构酶(PPI)elisa试剂盒人肽基脯氨酰顺反异构酶ELISA检测试剂,PPI检测试剂盒PPI检测试剂人肽基脯氨酰顺反异构酶ELISA试剂盒
OCT ELISA Kit人鸟氨酸氨基甲酰转移酶检测试剂盒 OCT ELISA KitHuman ornithine carbamoyl transferase, OCT Elisa Kit人鸟氨酸氨基甲酰转移酶(OCT)elisa试剂盒人鸟氨酸氨基甲酰转移酶ELISA检测试剂,OCT检测试剂盒OCT检测试剂人鸟氨酸氨基甲酰转移酶ELISA试剂盒
vaspin ELISA Kit人内脏脂肪特异性丝氨酸酶剂测定试剂盒 vaspin ELISA KitHuman Visceral adipose-specific serine protease inhibitor, vaspin Elisa Kit人内脏脂肪特异性丝氨酸酶剂(vaspin)elisa试剂盒人内脏脂肪特异性丝氨酸酶剂ELISA检测试剂,vaspin检测试剂盒vaspin检测试剂人内脏脂肪特异性丝氨酸酶剂ELISA试剂盒
跨膜蛋白59抗体phospho-TGF beta Receptor II (Tyr259)/AP碱性磷酸酶(AP)标记的磷酸化转移生长β受体2抗体
OMPC/AP碱性磷酸酶(AP)标记的大肠杆菌外膜孔道C抗体
MTERFD2/AP碱性磷酸酶(AP)标记的线粒体转录终止2抗体
AMBRA1/AP碱性磷酸酶(AP)标记的自噬相关基因AMBRA1抗体
NDUFB10/AP碱性磷酸酶(AP)标记的NDUFB10抗体
MUSK/AP碱性磷酸酶(AP)标记的抗肌肉骨骼受体酪氨酸激酶单克隆抗体
KRG2/DDX11/AP碱性磷酸酶(AP)标记的角质生长调节2抗体
LACE1/AP碱性磷酸酶(AP)标记的泌乳升高1抗体
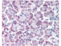
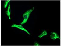
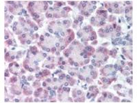
| 产品名称:跨膜蛋白59抗体 英文名称:TMEM59 英文别名:C1orf8; HSPC001; Liver membrane-bound protein; TMEM59; TMEM59 transmembrane protein 59; TMM59_HUMAN; Transmembrane protein 59. 交叉反应: Human, Mouse, Rat, Dog, Pig, Cow, Rabbit 标记: Unconjugated 抗体来源: Rabbit 抗体类型: Polyclonal 免疫原: KLH conjugated synthetic peptide derived from human TMEM59 蛋白细胞定位: 细胞浆,细胞膜 纯化方法: affinity purified by Protein A 亚型: IgG 性状: Liquid 浓度: 1mg/ml 储存液: 0.01M TBS(pH7.4) with 1% BSA, 0.03% Proclin300 and 50% Glycerol. 保存条件: Shipped at 4℃. Store at -20 °C for one year. Avoid repeated freeze/thaw cycles. 背景资料: TMEM59 is a 144 amino acid protein encoded by a gene mapping to human chromosome 1. Chromosome 1 is the largest human chromosome spanning about 260 million base pairs and making up 8% of the human genome. There are about 3,000 genes on chromosome 1, and considering the great number of genes there are also a large number of diseases associated with chromosome 1. Notably, the rare aging disease Hutchinson-Gilford progeria is associated with the LMNA gene which encodes lamin A. When defective, the LMNA gene product can build up in the nucleus and cause characteristic nuclear blebs. The mechanism of rapidly enhanced aging is unclear and is a topic of continuing exploration. The MUTYH gene is located on chromosome 1 and is partially responsible for familial adenomatous polyposis. Stickler syndrome, Parkinsons, Gaucher disease and Usher syndrome are also associated with chromosome 1. A breakpoint has been identified in 1q which disrupts the DISC1 gene and is linked to schizophrenia. Aberrations in chromosome 1 are found in a variety of cancers including head and neck cancer, malignant melanoma and multiple myeloma. |
| 产品名称 | 浓度 | 型号 |
| 跨膜蛋白59抗体 | 1mg/ml | EY-01K5293 |




一、准备好试剂与仪器:
磷酸盐缓冲盐水、荧光标记的抗体溶液、缓冲甘油、搪瓷桶三只、有盖搪瓷盒一只、荧光显微镜、玻片架、滤纸、37℃温箱等。
二、实验步骤
1.滴加0.01mol/L,pH7.4的PBS于待检标本片上,十分钟后弃去,使标本保持一定湿度。
2.滴加适当稀释的荧光标记的抗体溶液,使其完全覆盖标本,置于有盖搪瓷盒内,保温一定时间以三十分钟为参考。
3.取出玻片,置玻片架上,先用0.01mol/L,pH7.4的PBS冲洗后,再按顺序过0.01mol/L,pH7.4的PBS三缸浸泡,每缸三到五分钟,并不停地摇晃振荡。
4.取出玻片,用滤纸吸去多余水分,但不使标本干燥,加一滴缓冲甘油,以盖玻片覆盖。
5.立即用荧光显微镜观察。观察标本的特异性荧光强度。
抗体的生活习性:
(1)结合特异性抗原:抗体与其他免疫球蛋白分子区别,就在于抗体能与相应抗原发生特异性结合,在体内导致生理或病理效应;在体外产生各种直接或间接的可见的抗原抗体结合反应。抗体是靠其分子上的特殊的结合部位与抗原结合的。
(2)激活补体:抗体与相应抗原结合后,借助暴露的补体结合点去激活补体系统、激发补体的溶菌、溶细胞等免疫作用。
(3)结合细胞:不同类别的免疫球蛋白,可结合不同种的细胞,产生不同的疚,参与免疫应答。
(4)可通过胎盘及粘膜:免疫球蛋白G(IgG)能通过胎盘进入胎儿血流中,使胎儿形成自然被动免疫。免疫球蛋白A(IgA)可通过消化道及呼吸道粘膜,是粘膜局部抗感染免疫的主要因素。
(5)具有抗原性:抗体分子是一种蛋白质,也具有刺激机体产生免疫应答的性能。不同的免疫球蛋白分子,各具有不同的抗原性。
(6)抗体对理化因子的抵抗力与一般球蛋白相同:不耐热,60~70℃即被破坏。各种酶及能使蛋白质凝固变性的物质,均能破坏抗体的作用。抗体可被中性盐类沉淀。在上常可用硫酸铵或硫酸钠从免疫血清中沉淀出含有抗体的球蛋白,再经透析法将其纯化。
实验原理 :
(1)特异性结合抗原:抗体本身不能直接溶解或杀伤带有特异抗原的靶细胞,通常需要补体或吞噬细胞等共同发挥效应以清除病原微生物或导致病理损伤。然而,抗体可通过与病毒或毒素的特异性结合,直接发挥中和病毒的作用。
(2)活补体:IgM、IgG1、IgG2和IgG3可通过经典途径激活补体,凝聚的IgA、IgG4和IgE可通过替代途径激活补体。
(3)结合细胞:不同类别的免疫球蛋白,可结合不同种的细胞,参与免疫应答。
(4)可通过胎盘及粘膜:免疫球蛋白G(IgG)能通过胎盘进入胎儿血流中,使胎儿形成自然被动免疫。免疫球蛋白A(IgA)可通过消化道及呼吸道粘膜,是粘膜局部抗感染免疫的主要因素。
(5)具有抗原性:抗体分子是一种蛋白质,也具有刺机体产生免疫应答的性能。不同的免疫球蛋白分子,各具有不同的抗原性。
(6)抗体对理化因子的抵抗力与一般球蛋白相同:不耐热,60~70℃即被破坏。各种酶及能使蛋白质凝固变性的物质,均能破坏抗体的作用。抗体可被中性盐类沉淀。在上常可用硫酸铵或硫酸钠从免疫血清中沉淀出含有抗体的球蛋白,再经透析法将其纯化。
PDIA3 ELISA Kit人二硫化物异构酶A3测定试剂盒 PDIA3 ELISA KitHuman protein disulfide-isomerase A3, PDIA3 Elisa Kit人二硫化物异构酶A3(PDIA3)elisa试剂盒人二硫化物异构酶A3ELISA检测试剂,PDIA3检测试剂盒PDIA3检测试剂人二硫化物异构酶A3ELISA试剂盒
SDH ELISA Kit人山梨醇脱氢酶免费代测试剂盒 SDH ELISA KitHuman sorbitol dehydrogenase, SDH Elisa Kit人山梨醇脱氢酶(SDH)elisa试剂盒人山梨醇脱氢酶ELISA检测试剂,SDH检测试剂盒SDH检测试剂人山梨醇脱氢酶ELISA试剂盒
PPI ELISA Kit人肽基脯氨酰顺反异构酶ELISA试剂盒 PPI ELISA KitHuman Peptidyl prolyl cis/trans isomerase, PPI Elisa Kit人肽基脯氨酰顺反异构酶(PPI)elisa试剂盒人肽基脯氨酰顺反异构酶ELISA检测试剂,PPI检测试剂盒PPI检测试剂人肽基脯氨酰顺反异构酶ELISA试剂盒
OCT ELISA Kit人鸟氨酸氨基甲酰转移酶检测试剂盒 OCT ELISA KitHuman ornithine carbamoyl transferase, OCT Elisa Kit人鸟氨酸氨基甲酰转移酶(OCT)elisa试剂盒人鸟氨酸氨基甲酰转移酶ELISA检测试剂,OCT检测试剂盒OCT检测试剂人鸟氨酸氨基甲酰转移酶ELISA试剂盒
vaspin ELISA Kit人内脏脂肪特异性丝氨酸酶剂测定试剂盒 vaspin ELISA KitHuman Visceral adipose-specific serine protease inhibitor, vaspin Elisa Kit人内脏脂肪特异性丝氨酸酶剂(vaspin)elisa试剂盒人内脏脂肪特异性丝氨酸酶剂ELISA检测试剂,vaspin检测试剂盒vaspin检测试剂人内脏脂肪特异性丝氨酸酶剂ELISA试剂盒
跨膜蛋白59抗体phospho-TGF beta Receptor II (Tyr259)/AP碱性磷酸酶(AP)标记的磷酸化转移生长β受体2抗体
OMPC/AP碱性磷酸酶(AP)标记的大肠杆菌外膜孔道C抗体
MTERFD2/AP碱性磷酸酶(AP)标记的线粒体转录终止2抗体
AMBRA1/AP碱性磷酸酶(AP)标记的自噬相关基因AMBRA1抗体
NDUFB10/AP碱性磷酸酶(AP)标记的NDUFB10抗体
MUSK/AP碱性磷酸酶(AP)标记的抗肌肉骨骼受体酪氨酸激酶单克隆抗体
KRG2/DDX11/AP碱性磷酸酶(AP)标记的角质生长调节2抗体
LACE1/AP碱性磷酸酶(AP)标记的泌乳升高1抗体
风险提示:丁香通仅作为第三方平台,为商家信息发布提供平台空间。用户咨询产品时请注意保护个人信息及财产安全,合理判断,谨慎选购商品,商家和用户对交易行为负责。对于医疗器械类产品,请先查证核实企业经营资质和医疗器械产品注册证情况。
技术资料暂无技术资料 索取技术资料
跨膜蛋白59抗体
¥1080 - 3200









