万千商家帮你免费找货
0 人在求购买到急需产品
- 详细信息
- 技术资料
- 供应商:
一研
- 库存:
51
- 靶点:
说明书
- 级别:
说明书
- 目录编号:
说明书
- 克隆性:
多克隆
- 抗原来源:
Rabbit
- 保质期:
说明书
- 抗体英文名:
PMCA3
- 抗体名:
ATP酶钙离子转运蛋白PMCA3抗体
- 标记物:
Unconjugated
- 宿主:
说明书
- 适应物种:
说明书
- 免疫原:
KLH conjugated synthetic peptide derived from human PMCA3/ATP2B1
- 亚型:
LgG
- 形态:
液体
- 应用范围:
说明书
- 保存条件:
Shipped at 4℃. Store at -20 °C for one year. Avoid repeated freeze/thaw cycles.
- 浓度:
1mg/ml
- 规格:
100ul




| 产品名称:ATP酶钙离子转运蛋白PMCA3抗体 英文名称:PMCA3 英文别名:ATP2B3; ATP2B3 protein; Calcium Pump PMCA3 ATPase; ATPase Ca++ transporting plasma membrane 3; Plasma membrane calcium ATPase 3; Plasma membrane calcium ATPase isoform 3; Plasma membrane calcium pump isoform 3; Plasma membrane calcium transporting ATPase 3; PMCA 3; PMCA3; PMCA3a; AT2B3_HUMAN. 交叉反应: Human, Mouse, Rat, Chicken, Dog, Pig, Cow, Horse, Rabbit, Sheep 标记: Unconjugated 抗体来源: Rabbit 抗体类型: Polyclonal 免疫原: KLH conjugated synthetic peptide derived from human PMCA3/ATP2B1 蛋白细胞定位: 细胞膜 纯化方法: affinity purified by Protein A 亚型: IgG 性状: Liquid 浓度: 1mg/ml 储存液: 0.01M TBS(pH7.4) with 1% BSA, 0.03% Proclin300 and 50% Glycerol. 保存条件: Shipped at 4℃. Store at -20 °C for one year. Avoid repeated freeze/thaw cycles. 背景资料: Plasma membrane-type Ca2+-ATPases (PMCAs) mediate the export of bivalent calcium ions from eukaryotic cells. As members of the P class of ion-motive ATPases, PMCAs are a functionally diverse group of proteins that are derived from alternatively spliced transcripts originating from four distinct genes, PMCA1, 2, 3, and 4. The expression of different PMCA isoforms and splice variants is regulated in a developmental, tissue- and cell type-specific manner, and with respect to the physiological needs of specific cell and tissue types. Spatial and temporal rates of resting intracellular Ca2+ concentrations and Ca2+ signaling in eukaryotic cells are dependent on the array of PMCA isoforms that are expressed in concert with the rate of Ca2+ export. PMCA3 expression is confined to brain and skeletal muscle. The PMCA4 gene is located on human chromosome 1q25 and is ubiquitously expressed. |
| 产品名称 | 浓度 | 型号 |
| ATP酶钙离子转运蛋白PMCA3抗体 | 1mg/ml | EY-01K5204 |
(1)结合特异性抗原:抗体与其他免疫球蛋白分子区别,就在于抗体能与相应抗原发生特异性结合,在体内导致生理或病理效应;在体外产生各种直接或间接的可见的抗原抗体结合反应。抗体是靠其分子上的特殊的结合部位与抗原结合的。
(2)激活补体:抗体与相应抗原结合后,借助暴露的补体结合点去激活补体系统、激发补体的溶菌、溶细胞等免疫作用。
(3)结合细胞:不同类别的免疫球蛋白,可结合不同种的细胞,产生不同的疚,参与免疫应答。
(4)可通过胎盘及粘膜:免疫球蛋白G(IgG)能通过胎盘进入胎儿血流中,使胎儿形成自然被动免疫。免疫球蛋白A(IgA)可通过消化道及呼吸道粘膜,是粘膜局部抗感染免疫的主要因素。
(5)具有抗原性:抗体分子是一种蛋白质,也具有刺激机体产生免疫应答的性能。不同的免疫球蛋白分子,各具有不同的抗原性。
(6)抗体对理化因子的抵抗力与一般球蛋白相同:不耐热,60~70℃即被破坏。各种酶及能使蛋白质凝固变性的物质,均能破坏抗体的作用。抗体可被中性盐类沉淀。在上常可用硫酸铵或硫酸钠从免疫血清中沉淀出含有抗体的球蛋白,再经透析法将其纯化。
实验原理 :
(1)特异性结合抗原:抗体本身不能直接溶解或杀伤带有特异抗原的靶细胞,通常需要补体或吞噬细胞等共同发挥效应以清除病原微生物或导致病理损伤。然而,抗体可通过与病毒或毒素的特异性结合,直接发挥中和病毒的作用。
(2)活补体:IgM、IgG1、IgG2和IgG3可通过经典途径激活补体,凝聚的IgA、IgG4和IgE可通过替代途径激活补体。
(3)结合细胞:不同类别的免疫球蛋白,可结合不同种的细胞,参与免疫应答。
(4)可通过胎盘及粘膜:免疫球蛋白G(IgG)能通过胎盘进入胎儿血流中,使胎儿形成自然被动免疫。免疫球蛋白A(IgA)可通过消化道及呼吸道粘膜,是粘膜局部抗感染免疫的主要因素。
(5)具有抗原性:抗体分子是一种蛋白质,也具有刺机体产生免疫应答的性能。不同的免疫球蛋白分子,各具有不同的抗原性。
(6)抗体对理化因子的抵抗力与一般球蛋白相同:不耐热,60~70℃即被破坏。各种酶及能使蛋白质凝固变性的物质,均能破坏抗体的作用。抗体可被中性盐类沉淀。在上常可用硫酸铵或硫酸钠从免疫血清中沉淀出含有抗体的球蛋白,再经透析法将其纯化。
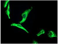
免疫荧光技术的实验步骤:
一、准备好试剂与仪器:
磷酸盐缓冲盐水、荧光标记的抗体溶液、缓冲甘油、搪瓷桶三只、有盖搪瓷盒一只、荧光显微镜、玻片架、滤纸、37℃温箱等。
二、实验步骤
1.滴加0.01mol/L,pH7.4的PBS于待检标本片上,十分钟后弃去,使标本保持一定湿度。
2.滴加适当稀释的荧光标记的抗体溶液,使其完全覆盖标本,置于有盖搪瓷盒内,保温一定时间以三十分钟为参考。
3.取出玻片,置玻片架上,先用0.01mol/L,pH7.4的PBS冲洗后,再按顺序过0.01mol/L,pH7.4的PBS三缸浸泡,每缸三到五分钟,并不停地摇晃振荡。
4.取出玻片,用滤纸吸去多余水分,但不使标本干燥,加一滴缓冲甘油,以盖玻片覆盖。
5.立即用荧光显微镜观察。观察标本的特异性荧光强度。
OSM (Rabbit Oncostatin-M) ELISA Kit 兔抑素MMulti-class antibodies规格: 96T
Anti-phospho-Cyclin E(Thr62) /FITC 荧光素标记兔抗人、大、小鼠磷酸化周期素E抗体IgGMulti-class antibodies规格: 0.2ml
Rhesus antibody Rh DAO1/ABP1 阿米洛利结合1抗体 规格 0.2ml
Mouse IgG/PE 荧光素PE标记小鼠IgG(流式同型对照) 0.1ml
LRP12 低密度脂受体相关12抗体(抑制7) 0.2ml
Rhesus antibody Rh ZNRF2 锌指/环指2抗体 规格 0.2ml
Anti-phospho-Cyclin E(Thr62) /FITC 荧光素标记兔抗人、大、小鼠磷酸化周期素E抗体IgGMulti-class antibodies规格: 0.2ml
GATA4Mouse GATA binding protein 4) ELISA Kit 小鼠GATA结合4Multi-class antibodies规格: 48T
Anti-Phospho-cdc25A (Ser76) /FITC 荧光素标记兔抗人、大、小鼠磷酸化分裂周期25抗体IgGMulti-class antibodies规格: 0.2ml
Rhesus antibody Rh Donkey Anti-Guinea pig IgG/FITC FITC标记的驴抗豚鼠IgG 规格 0.3ml
M-CSFR(Human Macrophage Colony-Stimulating Factor Receptor,M-CSFR) ELISA Kit 人巨噬集落刺激受体 96T
Mast Cell Chymase 肥大类1抗体 0.1ml
AGPHD1 基糖苷类磷酸结构域抗体 0.2ml
Anti-Phospho-cdc25A (Ser76) /FITC 荧光素标记兔抗人、大、小鼠磷酸化分裂周期25抗体IgGMulti-class antibodies规格: 0.2ml
GP-BB(Human Glycogen phosphorylase BB) ELISA Kit 人糖原磷酸化酶同工酶BBMulti-class antibodies规格: 48T
Anti-MIP-1 Beta 巨噬1β 抗体Multi-class antibodies规格: 0.1ml
Rhesus antibody Rh IRAK1 白介素-1受体相关激酶1抗体 规格 0.1ml
AAV(Human adeno-associated virus) ELISA Kit 人腺相关毒 96T
PCDHGA4 原钙粘γA4抗体 0.2ml
Beta crystallin S γS-crystallin抗体 0.2ml
Anti-MIP-1 Beta 巨噬1β 抗体Multi-class antibodies规格: 0.1ml
GABA/BSA γ1基丁酸偶联清白 1mg
KMT6 抑EZH2抗体 0.2ml
Rhesus antibody Rh CRLF2 胸腺基质淋巴生成素受体抗体 规格 0.2ml
Anti-ADAM-TS7/FITC 荧光素标记整合素样金属酶与1型-7抗体IgGMulti-class antibodies规格: 0.2ml
Rhesus antibody Rh USP10 去泛素酶10抗体 规格 0.2ml
Anti-E.coli O6 (Escherichia coli O6)/HRP 辣根过氧化物酶标记抗大肠埃希杆菌O6抗体IgGMulti-class antibodies规格: 0.1ml
ATP酶钙离子转运蛋白PMCA3抗体乳酸脱氢酶C(LDHC)酶联免疫试剂盒 Anti-SAMHD1 Antibody生物素标记的驴抗IgG
多巴受体D4(D4R/DRD4)酶联免疫试剂盒Anti-SAG Antibody生物素标记的羊抗IgG
富含半胱61(Cyr61)酶联免疫试剂盒 Anti-SATB1 Antibody生物素标记的驴抗羊IgG
胃粘液素(GM)酶联免疫试剂盒 Anti-SATB1 Antibody生物素标记的羊抗IgG
白分化抗原28(CD28)酶联免疫试剂盒Anti-SCEL AntibodyPE-CY5标记的抗IgM
甲状旁腺受体2(PTHR2)酶联免疫试剂盒Anti-SBCAD/ACADSB AntibodyPE标记的羊抗IgG
重组激活基因1(RAG-1)酶联免疫试剂盒 Anti-SATB1 AntibodyPE-Cy7标记的羊抗IgG
磷脂酰肌特异性磷酯酶Cβ3(PLCβ3)检测酶联免疫试剂盒Human LIPH(Lipase H) ELISA Kit包装1g克罗拉滨/氯法拉滨
糖磷脂酰肌(GPI)检测酶联免疫试剂盒Human MT(Melatonin) ELISA Kit包装5g拉帕替尼
胸肾表达趋化(BRAK)检测酶联免疫试剂盒Human LOX(Lysyl Oxidase) ELISA Kit包装1g来那替尼
皮肤T-虏获趋化(CTACK)检测酶联免疫试剂盒Human LTA(lipoteichoic acids) ELISA Kit包装25g雷帕霉素/西罗莫司
D-二聚体(D2D)检测酶联免疫试剂盒Human LOXL4(Lysyl Oxidase Like Protein 4) ELISA Kit包装5g雷替曲塞
抑制素βC(INHβC)检测酶联免疫试剂盒Human LpPLA2(Phospholipase A2, Lipoprotein Associated) ELISA Kit包装25g硫酸长春碱
Endoglin(ENG)检测酶联免疫试剂盒Human LTA4H(Leukotriene A4 Hydrolase) ELISA Kit包装5g硫酸长春新碱/硫酸基长春碱
肝脂酶(LIPC)检测酶联免疫试剂盒Human LACTβ(β-Lactamase) ELISA Kit包装100g硫酸长春质碱
风险提示:丁香通仅作为第三方平台,为商家信息发布提供平台空间。用户咨询产品时请注意保护个人信息及财产安全,合理判断,谨慎选购商品,商家和用户对交易行为负责。对于医疗器械类产品,请先查证核实企业经营资质和医疗器械产品注册证情况。
技术资料暂无技术资料 索取技术资料
ATP酶钙离子转运蛋白PMCA3抗体
¥1080 - 3200









