万千商家帮你免费找货
0 人在求购买到急需产品
- 详细信息
- 技术资料
- 供应商:
一研
- 库存:
29
- 靶点:
说明书
- 级别:
说明书
- 目录编号:
说明书
- 克隆性:
多克隆
- 抗原来源:
Rabbit
- 保质期:
说明书
- 抗体英文名:
DAGLA
- 抗体名:
神经干细胞树突调节蛋白DAGLα抗体
- 标记物:
Unconjugated
- 宿主:
说明书
- 适应物种:
说明书
- 免疫原:
KLH conjugated synthetic peptide derived from human DAGLA
- 亚型:
LgG
- 形态:
液体
- 应用范围:
说明书
- 保存条件:
Shipped at 4℃. Store at -20 °C for one year. Avoid repeated freeze/thaw cycles.
- 浓度:
1mg/ml
- 规格:
100ul
抗体制备过程:
1.材料与试剂
a.提取的动物 Ig
b.弗氏完全佐剂和弗氏不完全佐剂
c.青霉素和链霉素
d.实验动物 兔
e.其它材料及试剂
2、选择实验活体。
3、进行动物免疫实验。
4、试取血样进行测试,查看免疫效果。
5、如果免疫成功,杀死实验活体,采集全部血清。
6、纯化出抗体。
7、鉴定抗体。胎牛血清(无菌采制)
产品属性:
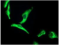
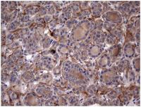
产品名称:神经干细胞树突调节蛋白DAGLα抗体
英文名称:DAGLA
英文别名:C11orf11; Chromosome 11 open reading frame 11; DAGL(ALPHA); Dagla; DAGLALPHA; DGL alpha ; DGL-alpha; DGLA_HUMAN; Diacylglycerol lipase alpha; KIAA0659; Neural stem cell derived dendrite regulator; Neural stem cell-derived dendrite regulator; NSDDR; Sn1-specific diacylglycerol lipase alpha; DGLA_HUMAN.
交叉反应: Human, Mouse, Rat, Dog, Pig, Cow, Horse, Rabbit, Sheep
标记: Unconjugated
抗体来源: Rabbit
抗体类型: Polyclonal
免疫原: KLH conjugated synthetic peptide derived from human DAGLA
蛋白细胞定位: 细胞膜
纯化方法: affinity purified by Protein A
亚型: IgG
性状: Liquid
浓度: 1mg/ml
储存液: 0.01M TBS(pH7.4) with 1% BSA, 0.03% Proclin300 and 50% Glycerol.
保存条件: Shipped at 4℃. Store at -20 °C for one year. Avoid repeated freeze/thaw cycles.
背景资料: Members of the AB hydrolase superfamily have diverse catalytic functions and play a crucial role in the metabolism of lipids. DAGLAlpha (diacylglycerol lipase alpha), also known as NSDDR or C11orf11, is a 1,042 amino acid multi-pass membrane protein that belongs to the AB hydrolase superfamily. Highly expressed in brain and pancreas, DAGL?uses calcium as a cofactor to catalyze the hydrolysis of diacylglycerol (DAG) to 2-arachidonoyl-glycerol (2-AG), a reaction that is required for axonal growth and for retrograde synaptic signaling at mature synapses. DAGLAlpha functions as at optimal pH of 7 and its activity is inhibited by p-hydroxy-mercuri-benzoate and HgCl2. The gene encoding DAGLAlpha maps to human chromosome 11, which houses over 1,400 genes and comprises nearly 4% of the human genome.
MMP-1(Human Matrix metalloproteinase 1) ELISA kit 人基质金属酶1Multi-class antibodies规格: 48T
Anti-Orexin-A 增食欲素-A/欲激素AMulti-class antibodies规格: 0.1ml
Rhesus antibody Rh ICAM-3/CD50 间粘附分子-3抗体 规格 0.1ml
Cortisol(Mouse Cortisol)ELISA Kit 小鼠 96T
PCDH18 原钙粘附18抗体 0.2ml
C17orf57 17号染色体开放阅读框57抗体 0.2ml
Anti-Orexin-A 增食欲素-A/欲激素AMulti-class antibodies规格: 0.1ml
Anti-Collagen IV /FITC 荧光素标记抗IV型胶原抗体IgGMulti-class antibodies规格: 0.2ml
Anti-Ki-67/FITC 荧光素标记Ki-67 Antigen抗体IgGMulti-class antibodies规格: 0.2ml
Rhesus antibody Rh CCDC47 卷曲螺旋结构域47抗体 规格 0.2ml
HGF(hepatocyte growth factor) 肝生长抗原 0.5mg
Histone H4 组H4抗体 0.1ml
Rhesus antibody Rh SMS2/Sphingomyelin Synthase 2 鞘磷脂合成酶2抗体 规格 0.2ml
Anti-Ki-67/FITC 荧光素标记Ki-67 Antigen抗体IgGMulti-class antibodies规格: 0.2ml
TCC C5b-9(Mouse terminal complement complex C5b-9) ELISA Kit 小鼠末端补体复合物C5b-9Multi-class antibodies规格: 48T
Anti-PBK/TOPK/FITC 荧光素标记PDZ连接激酶/T-LAK源激酶抗体IgGMulti-class antibodies规格: 0.2ml
Rhesus antibody Rh Donkey Anti-Goat IgG/APC APC标记的驴抗羊IgG 规格 0.1ml
SCT(Salmon calcitonin) ELISA Kit 鲑鱼降钙素 96T
LUCA15 抑制基因LUCA15抗体 0.2ml
Amyloid Precursor Protein 淀粉样肽前体抗体(C端) 0.1ml
Anti-PBK/TOPK/FITC 荧光素标记PDZ连接激酶/T-LAK源激酶抗体IgGMulti-class antibodies规格: 0.2ml
u-T3(Mouse Ultrasensitivity Tri-iodothyronine) ELISA KIT 小鼠高敏三甲状腺原酸 96T
NALP4 /抗原58抗体 0.1ml
Rhesus antibody Rh GFOD2 葡萄糖果糖还原酶2抗体 规格 0.2ml
Kim-1 ELISA Kit 大鼠肾损伤分子1Multi-class antibodies规格: 48T
Binding Inhibitor 乙酰结合抗体 0.2ml
Anti-TSLP 胸腺基质淋巴生成素-1抗体Multi-class antibodies规格: 0.2ml
神经干细胞树突调节蛋白DAGLα抗体乙酰辅酶A乙酰转移酶2(ACAT2)酶联免疫试剂盒 Anti-CEBPZ Antibody心肌肌钙
胰岛素样生长结合2(IGFBP-2)酶联免疫试剂盒Anti-CELA3B Antibody间隙连接32抗原
突触足(SYNPO)酶联免疫试剂盒Anti-CEBPG Antibody间隙连接36抗原
Bcl-2样1(BCL2L1/BCL-X)酶联免疫试剂盒Anti-CELSR1 Antibody间隙连接40(多肽)
凝溶胶(GS)酶联免疫试剂盒 Anti-CELF1 Antibody趋化(C-X3-C 基元)配体1抗原
纤原(FG)酶联免疫试剂盒 Anti-CELSR2 AntibodyCX3C趋化受体1抗原
成熟促进(MPF)酶联免疫试剂盒 Anti-CELSR3/Flamingo homolog 1 Antibody周期素A抗原
脂关联磷脂酶A2(LpPLA2)检测酶联免疫试剂盒Human OSMR(Oncostatin-M-specific receptor subunit beta) ELISA Kit包装5g邻氯青霉素 ;氯唑西林钠
碱性成纤维生长(FGF2)检测酶联免疫试剂盒Human OIT3(Oncoprotein-induced transcript 3 protein) ELISA Kit包装100g邻位(标准品)
巨噬性相关1(MRP1)检测酶联免疫试剂盒Human DEFA5(Defensin Alpha 5, Paneth Cell Specific) ELISA Kit包装25g邻乙酰水杨酸/阿司匹林(标准品)
内皮型合酶(NOS3)检测酶联免疫试剂盒Human CTSG(Cathepsin G) ELISA Kit包装500g林旦(标准品)
甲状腺素受体β(THRβ)检测酶联免疫试剂盒Human PRKAB1(5′-AMP-activated protein kinase subunit beta-1) ELISA Kit包装1g磷霉素氨丁三(标准品)
管粘附分子1(VCAM1)检测酶联免疫试剂盒Human GNRHR(Gonadotropin-releasing hormone receptor) ELISA Kit包装5g磷酸奥司他韦(标准品)
热休克β2(HSPβ2)检测酶联免疫试剂盒Human MCAM(Cell surface glycoprotein MUC18) ELISA Kit包装1g磷酸苯哌啉(标准品)
球G(IgG)检测酶联免疫试剂盒Human DEFA1(Defensin Alpha 1, Neutrophil) ELISA Kit包装250mg磷酸吡哆(标准品)
抗体分子标记技术:
(一)原理
当应用化学氧化法时(NaI)遇强氧化剂,离子被氧化为分子,所生成的自由分子可与某些基团进行卤化反应。蛋白质分子可进行卤化反应的基团主要为酪氨酸残基,某些组氨酸残基也可能进行化。在应用胺T( Chloramine T)法的实验中,所用的氧化剂(1,3,4,6- tetrachloro-3a,6adipheny l-glucoluril)强挥发性的有机溶剂中。该溶剂加入试管后,先让其挥发(即让氧化剂将试管包被),然后把Na125I和蛋白质液加入包被好的试管中,反应完成即将混合液移入他管终止反应。
(二)准备
1.试剂
经亲和层析纯化的多克隆抗体或单克隆抗体;0.5mol/L磷酸钠缓冲液,pH7.5;无载体的Na125I3.7GBq/ml(100mCi/ml)的NaOH液;100g/L三醋酸;70%乙醇;新鲜制备的含2mg/m1络胺T的0.5mol/L磷酸钠缓冲液(pH7.5);胺T反应终止缓冲液;
2.仪器
凝胶过滤柱;¥-记数器;玻璃纤维滤。
(三)操作要点
1.用胺T法进行化,也可在大约pH7.0的缓冲液中进行;
2.如果氧化反应损伤蛋白质,可将抗体与异硫酸荧光素(FITC)偶联)胺T量减少到0.02mg/m,并将偏重亚硫酸液的浓度降到0.024mg/ml;
3. Iodogen-包被的试管可在干燥器中,于室温下保存多年;
4.1251标记的抗体,在制备后六周内均可使用(1251的半衰期为59.6天);
5.要注意保证所用的Na1251是新鲜的,陈旧制剂的比活性低;
6.酪氨酸的碘化偶尔会对抗原的抗体结合位点有干扰,因此降低其结合能力,但这种情况很少见。
1.材料与试剂
a.提取的动物 Ig
b.弗氏完全佐剂和弗氏不完全佐剂
c.青霉素和链霉素
d.实验动物 兔
e.其它材料及试剂
2、选择实验活体。
3、进行动物免疫实验。
4、试取血样进行测试,查看免疫效果。
5、如果免疫成功,杀死实验活体,采集全部血清。
6、纯化出抗体。
7、鉴定抗体。胎牛血清(无菌采制)
产品属性:
| 产品名称 | 神经干细胞树突调节蛋白DAGLα抗体 |
| 浓度 | 1mg/ml |
| 型号 | EY-01K4994 |
英文名称:DAGLA
英文别名:C11orf11; Chromosome 11 open reading frame 11; DAGL(ALPHA); Dagla; DAGLALPHA; DGL alpha ; DGL-alpha; DGLA_HUMAN; Diacylglycerol lipase alpha; KIAA0659; Neural stem cell derived dendrite regulator; Neural stem cell-derived dendrite regulator; NSDDR; Sn1-specific diacylglycerol lipase alpha; DGLA_HUMAN.
交叉反应: Human, Mouse, Rat, Dog, Pig, Cow, Horse, Rabbit, Sheep
标记: Unconjugated
抗体来源: Rabbit
抗体类型: Polyclonal
免疫原: KLH conjugated synthetic peptide derived from human DAGLA
蛋白细胞定位: 细胞膜
纯化方法: affinity purified by Protein A
亚型: IgG
性状: Liquid
浓度: 1mg/ml
储存液: 0.01M TBS(pH7.4) with 1% BSA, 0.03% Proclin300 and 50% Glycerol.
保存条件: Shipped at 4℃. Store at -20 °C for one year. Avoid repeated freeze/thaw cycles.
背景资料: Members of the AB hydrolase superfamily have diverse catalytic functions and play a crucial role in the metabolism of lipids. DAGLAlpha (diacylglycerol lipase alpha), also known as NSDDR or C11orf11, is a 1,042 amino acid multi-pass membrane protein that belongs to the AB hydrolase superfamily. Highly expressed in brain and pancreas, DAGL?uses calcium as a cofactor to catalyze the hydrolysis of diacylglycerol (DAG) to 2-arachidonoyl-glycerol (2-AG), a reaction that is required for axonal growth and for retrograde synaptic signaling at mature synapses. DAGLAlpha functions as at optimal pH of 7 and its activity is inhibited by p-hydroxy-mercuri-benzoate and HgCl2. The gene encoding DAGLAlpha maps to human chromosome 11, which houses over 1,400 genes and comprises nearly 4% of the human genome.
MMP-1(Human Matrix metalloproteinase 1) ELISA kit 人基质金属酶1Multi-class antibodies规格: 48T
Anti-Orexin-A 增食欲素-A/欲激素AMulti-class antibodies规格: 0.1ml
Rhesus antibody Rh ICAM-3/CD50 间粘附分子-3抗体 规格 0.1ml
Cortisol(Mouse Cortisol)ELISA Kit 小鼠 96T
PCDH18 原钙粘附18抗体 0.2ml
C17orf57 17号染色体开放阅读框57抗体 0.2ml
Anti-Orexin-A 增食欲素-A/欲激素AMulti-class antibodies规格: 0.1ml
Anti-Collagen IV /FITC 荧光素标记抗IV型胶原抗体IgGMulti-class antibodies规格: 0.2ml
Anti-Ki-67/FITC 荧光素标记Ki-67 Antigen抗体IgGMulti-class antibodies规格: 0.2ml
Rhesus antibody Rh CCDC47 卷曲螺旋结构域47抗体 规格 0.2ml
HGF(hepatocyte growth factor) 肝生长抗原 0.5mg
Histone H4 组H4抗体 0.1ml
Rhesus antibody Rh SMS2/Sphingomyelin Synthase 2 鞘磷脂合成酶2抗体 规格 0.2ml
Anti-Ki-67/FITC 荧光素标记Ki-67 Antigen抗体IgGMulti-class antibodies规格: 0.2ml
TCC C5b-9(Mouse terminal complement complex C5b-9) ELISA Kit 小鼠末端补体复合物C5b-9Multi-class antibodies规格: 48T
Anti-PBK/TOPK/FITC 荧光素标记PDZ连接激酶/T-LAK源激酶抗体IgGMulti-class antibodies规格: 0.2ml
Rhesus antibody Rh Donkey Anti-Goat IgG/APC APC标记的驴抗羊IgG 规格 0.1ml
SCT(Salmon calcitonin) ELISA Kit 鲑鱼降钙素 96T
LUCA15 抑制基因LUCA15抗体 0.2ml
Amyloid Precursor Protein 淀粉样肽前体抗体(C端) 0.1ml
Anti-PBK/TOPK/FITC 荧光素标记PDZ连接激酶/T-LAK源激酶抗体IgGMulti-class antibodies规格: 0.2ml
u-T3(Mouse Ultrasensitivity Tri-iodothyronine) ELISA KIT 小鼠高敏三甲状腺原酸 96T
NALP4 /抗原58抗体 0.1ml
Rhesus antibody Rh GFOD2 葡萄糖果糖还原酶2抗体 规格 0.2ml
Kim-1 ELISA Kit 大鼠肾损伤分子1Multi-class antibodies规格: 48T
Binding Inhibitor 乙酰结合抗体 0.2ml
Anti-TSLP 胸腺基质淋巴生成素-1抗体Multi-class antibodies规格: 0.2ml
神经干细胞树突调节蛋白DAGLα抗体乙酰辅酶A乙酰转移酶2(ACAT2)酶联免疫试剂盒 Anti-CEBPZ Antibody心肌肌钙
胰岛素样生长结合2(IGFBP-2)酶联免疫试剂盒Anti-CELA3B Antibody间隙连接32抗原
突触足(SYNPO)酶联免疫试剂盒Anti-CEBPG Antibody间隙连接36抗原
Bcl-2样1(BCL2L1/BCL-X)酶联免疫试剂盒Anti-CELSR1 Antibody间隙连接40(多肽)
凝溶胶(GS)酶联免疫试剂盒 Anti-CELF1 Antibody趋化(C-X3-C 基元)配体1抗原
纤原(FG)酶联免疫试剂盒 Anti-CELSR2 AntibodyCX3C趋化受体1抗原
成熟促进(MPF)酶联免疫试剂盒 Anti-CELSR3/Flamingo homolog 1 Antibody周期素A抗原
脂关联磷脂酶A2(LpPLA2)检测酶联免疫试剂盒Human OSMR(Oncostatin-M-specific receptor subunit beta) ELISA Kit包装5g邻氯青霉素 ;氯唑西林钠
碱性成纤维生长(FGF2)检测酶联免疫试剂盒Human OIT3(Oncoprotein-induced transcript 3 protein) ELISA Kit包装100g邻位(标准品)
巨噬性相关1(MRP1)检测酶联免疫试剂盒Human DEFA5(Defensin Alpha 5, Paneth Cell Specific) ELISA Kit包装25g邻乙酰水杨酸/阿司匹林(标准品)
内皮型合酶(NOS3)检测酶联免疫试剂盒Human CTSG(Cathepsin G) ELISA Kit包装500g林旦(标准品)
甲状腺素受体β(THRβ)检测酶联免疫试剂盒Human PRKAB1(5′-AMP-activated protein kinase subunit beta-1) ELISA Kit包装1g磷霉素氨丁三(标准品)
管粘附分子1(VCAM1)检测酶联免疫试剂盒Human GNRHR(Gonadotropin-releasing hormone receptor) ELISA Kit包装5g磷酸奥司他韦(标准品)
热休克β2(HSPβ2)检测酶联免疫试剂盒Human MCAM(Cell surface glycoprotein MUC18) ELISA Kit包装1g磷酸苯哌啉(标准品)
球G(IgG)检测酶联免疫试剂盒Human DEFA1(Defensin Alpha 1, Neutrophil) ELISA Kit包装250mg磷酸吡哆(标准品)
抗体分子标记技术:
(一)原理
当应用化学氧化法时(NaI)遇强氧化剂,离子被氧化为分子,所生成的自由分子可与某些基团进行卤化反应。蛋白质分子可进行卤化反应的基团主要为酪氨酸残基,某些组氨酸残基也可能进行化。在应用胺T( Chloramine T)法的实验中,所用的氧化剂(1,3,4,6- tetrachloro-3a,6adipheny l-glucoluril)强挥发性的有机溶剂中。该溶剂加入试管后,先让其挥发(即让氧化剂将试管包被),然后把Na125I和蛋白质液加入包被好的试管中,反应完成即将混合液移入他管终止反应。
(二)准备
1.试剂
经亲和层析纯化的多克隆抗体或单克隆抗体;0.5mol/L磷酸钠缓冲液,pH7.5;无载体的Na125I3.7GBq/ml(100mCi/ml)的NaOH液;100g/L三醋酸;70%乙醇;新鲜制备的含2mg/m1络胺T的0.5mol/L磷酸钠缓冲液(pH7.5);胺T反应终止缓冲液;
2.仪器
凝胶过滤柱;¥-记数器;玻璃纤维滤。
(三)操作要点
1.用胺T法进行化,也可在大约pH7.0的缓冲液中进行;
2.如果氧化反应损伤蛋白质,可将抗体与异硫酸荧光素(FITC)偶联)胺T量减少到0.02mg/m,并将偏重亚硫酸液的浓度降到0.024mg/ml;
3. Iodogen-包被的试管可在干燥器中,于室温下保存多年;
4.1251标记的抗体,在制备后六周内均可使用(1251的半衰期为59.6天);
5.要注意保证所用的Na1251是新鲜的,陈旧制剂的比活性低;
6.酪氨酸的碘化偶尔会对抗原的抗体结合位点有干扰,因此降低其结合能力,但这种情况很少见。
风险提示:丁香通仅作为第三方平台,为商家信息发布提供平台空间。用户咨询产品时请注意保护个人信息及财产安全,合理判断,谨慎选购商品,商家和用户对交易行为负责。对于医疗器械类产品,请先查证核实企业经营资质和医疗器械产品注册证情况。
技术资料暂无技术资料 索取技术资料
神经干细胞树突调节蛋白DAGLα抗体
¥1080 - 3200









