万千商家帮你免费找货
0 人在求购买到急需产品
- 详细信息
- 技术资料
- 供应商:
一研
- 库存:
34
- 靶点:
说明书
- 级别:
说明书
- 目录编号:
说明书
- 克隆性:
多克隆
- 抗原来源:
Rabbit
- 保质期:
说明书
- 抗体英文名:
GPR171
- 抗体名:
G蛋白偶联受体171抗体
- 标记物:
Unconjugated
- 宿主:
说明书
- 适应物种:
说明书
- 免疫原:
KLH conjugated synthetic peptide derived from human GPR171/Platelet Activating Receptor H963
- 亚型:
LgG
- 形态:
液体
- 应用范围:
说明书
- 保存条件:
Shipped at 4℃. Store at -20 °C for one year. Avoid repeated freeze/thaw cycles.
- 浓度:
1mg/ml
- 规格:
100ul
产品介绍:
产品属性:
一、准备好试剂与仪器:
磷酸盐缓冲盐水、荧光标记的抗体溶液、缓冲甘油、搪瓷桶三只、有盖搪瓷盒一只、荧光显微镜、玻片架、滤纸、37℃温箱等。
二、实验步骤
1.滴加0.01mol/L,pH7.4的PBS于待检标本片上,十分钟后弃去,使标本保持一定湿度。
2.滴加适当稀释的荧光标记的抗体溶液,使其完全覆盖标本,置于有盖搪瓷盒内,保温一定时间以三十分钟为参考。
3.取出玻片,置玻片架上,先用0.01mol/L,pH7.4的PBS冲洗后,再按顺序过0.01mol/L,pH7.4的PBS三缸浸泡,每缸三到五分钟,并不停地摇晃振荡。
4.取出玻片,用滤纸吸去多余水分,但不使标本干燥,加一滴缓冲甘油,以盖玻片覆盖。
5.立即用荧光显微镜观察。观察标本的特异性荧光强度。
抗体的生活习性:
(1)结合特异性抗原:抗体与其他免疫球蛋白分子区别,就在于抗体能与相应抗原发生特异性结合,在体内导致生理或病理效应;在体外产生各种直接或间接的可见的抗原抗体结合反应。抗体是靠其分子上的特殊的结合部位与抗原结合的。
(2)激活补体:抗体与相应抗原结合后,借助暴露的补体结合点去激活补体系统、激发补体的溶菌、溶细胞等免疫作用。
(3)结合细胞:不同类别的免疫球蛋白,可结合不同种的细胞,产生不同的疚,参与免疫应答。
(4)可通过胎盘及粘膜:免疫球蛋白G(IgG)能通过胎盘进入胎儿血流中,使胎儿形成自然被动免疫。免疫球蛋白A(IgA)可通过消化道及呼吸道粘膜,是粘膜局部抗感染免疫的主要因素。
(5)具有抗原性:抗体分子是一种蛋白质,也具有刺激机体产生免疫应答的性能。不同的免疫球蛋白分子,各具有不同的抗原性。
(6)抗体对理化因子的抵抗力与一般球蛋白相同:不耐热,60~70℃即被破坏。各种酶及能使蛋白质凝固变性的物质,均能破坏抗体的作用。抗体可被中性盐类沉淀。在上常可用硫酸铵或硫酸钠从免疫血清中沉淀出含有抗体的球蛋白,再经透析法将其纯化。
实验原理 :
(1)特异性结合抗原:抗体本身不能直接溶解或杀伤带有特异抗原的靶细胞,通常需要补体或吞噬细胞等共同发挥效应以清除病原微生物或导致病理损伤。然而,抗体可通过与病毒或毒素的特异性结合,直接发挥中和病毒的作用。
(2)活补体:IgM、IgG1、IgG2和IgG3可通过经典途径激活补体,凝聚的IgA、IgG4和IgE可通过替代途径激活补体。
(3)结合细胞:不同类别的免疫球蛋白,可结合不同种的细胞,参与免疫应答。
(4)可通过胎盘及粘膜:免疫球蛋白G(IgG)能通过胎盘进入胎儿血流中,使胎儿形成自然被动免疫。免疫球蛋白A(IgA)可通过消化道及呼吸道粘膜,是粘膜局部抗感染免疫的主要因素。
(5)具有抗原性:抗体分子是一种蛋白质,也具有刺机体产生免疫应答的性能。不同的免疫球蛋白分子,各具有不同的抗原性。
(6)抗体对理化因子的抵抗力与一般球蛋白相同:不耐热,60~70℃即被破坏。各种酶及能使蛋白质凝固变性的物质,均能破坏抗体的作用。抗体可被中性盐类沉淀。在上常可用硫酸铵或硫酸钠从免疫血清中沉淀出含有抗体的球蛋白,再经透析法将其纯化。
LIFR ELISA Kit 大鼠白抑制受体Multi-class antibodies规格: 48T
Anti- Beta-Actin/Gold 金标记β-肌动抗体IgGMulti-class antibodies规格: 0.2ml
Rhesus antibody Rh FGFR5/FGFRL1 成纤维生长受体5抗体 规格 0.1ml
NT-3 ELISA Kit 人神经营养3 96T
Muc2 粘-2/上皮膜抗原2抗体 0.1ml
ARP3 骨架肌动样3抗体 0.2ml
Anti- Beta-Actin/Gold 金标记β-肌动抗体IgGMulti-class antibodies规格: 0.2ml
E3/UBPL(Human E3/ubiquitin-protein ligase) ELISA Kit 人泛素连接酶Multi-class antibodies规格: 48T
Anti-NR2A/NMDAR2A 受体2A抗体Multi-class antibodies规格: 0.2ml
Rhesus antibody Rh IGFBP3 胰岛素样生长结合3抗体 规格 0.1ml
Jo1/HRS(Human Jo-1 Antibody) ELISA Kit 人Jo1抗体/抗组酰tRNA合成酶抗体 96T
PRDM1 B淋巴诱导成熟1抗体 0.1ml
CDK7 周期素依赖性激酶7抗体 0.1ml
Anti-NR2A/NMDAR2A 受体2A抗体Multi-class antibodies规格: 0.2ml
DHEA-S7 ELISA Kit 大鼠脱氢表雄酮S7Multi-class antibodies规格: 48T
Anti- Beta-Amyloid(25-35)/FITC 荧光素标记β淀粉样肽(25-35)抗体IgGMulti-class antibodies规格: 0.2ml
Rhesus antibody Rh FOXN1 叉头N1抗体 规格 0.2ml
ADRA1A(Mouse adrenergic alpha-1A receptor) ELISA Kit 小鼠能a1A受体 96T
NIPP1 核抑制磷酸酶1抗体 0.2ml
ADAMTS15 整合素样金属酶与15型抗体 0.2ml
Anti- Beta-Amyloid(25-35)/FITC 荧光素标记β淀粉样肽(25-35)抗体IgGMulti-class antibodies规格: 0.2ml
CA199 胰腺相关抗原 96T
MURF2 肌肉特异性环指2抗体 0.2ml
Rhesus antibody Rh DPEP3 膜二肽酶3抗体 规格 0.2ml
PI(Mouse Proinsulin) ELISA Kit 小鼠胰岛素原Multi-class antibodies规格: 48T
AKR1A1 乙醇脱氢酶1抗体 0.2ml
Anti-B7-1/CD80 /FITC 荧光素标记抗刺激分子B7-1抗体IgGMulti-class antibodies规格: 0.2ml
G蛋白偶联受体171抗体ENPP2/AP碱性磷酸酶(AP)标记的核苷酸焦磷酸酶2抗体
lysozyme/AP碱性磷酸酶(AP)标记的溶菌酶抗体
phospho-PDCD4 (Ser67)/AP碱性磷酸酶(AP)标记的磷酸化凋亡相关4抗体
LXR alpha/AP碱性磷酸酶(AP)标记的肝脏X受体抗体
PCDHGB5/AP碱性磷酸酶(AP)标记的原钙粘γB5抗体
Phospho-MDM2 (Ser186)/AP碱性磷酸酶(AP)标记的磷酸化双微体2基因抗体
C1orf192/AP碱性磷酸酶(AP)标记的1号染色体开放阅读框192抗体
FAM3D/AP碱性磷酸酶(AP)标记的FAM3D抗体
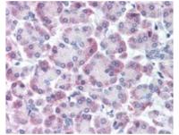
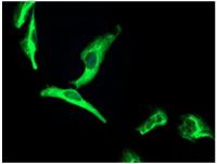
| 产品名称:G蛋白偶联受体171抗体 英文名称:GPR171 英文别名:G protein coupled receptor 171; G protein coupled receptor H963; GPR 171; GPR171; H963; Platelet activating receptor homolog; GP171_HUMAN. 交叉反应: Human, Mouse, Rat, Dog, Cow, Horse, Sheep 标记: Unconjugated 抗体来源: Rabbit 抗体类型: Polyclonal 免疫原: KLH conjugated synthetic peptide derived from human GPR171/Platelet Activating Receptor H963 蛋白细胞定位: 细胞膜 纯化方法: affinity purified by Protein A 亚型: IgG 性状: Liquid 浓度: 1mg/ml 储存液: 0.01M TBS(pH7.4) with 1% BSA, 0.03% Proclin300 and 50% Glycerol. 保存条件: Shipped at 4℃. Store at -20 °C for one year. Avoid repeated freeze/thaw cycles. 背景资料: Platelet Activating Receptor H963 is an orphan receptor that is a member of the Platelet Activating Factor Receptor subfamily. ESTs have been isolated from normal human blood (activated), liver, and testis libraries, and from a human uterine adenocarcinoma library. |
| 产品名称 | 浓度 | 型号 |
| G蛋白偶联受体171抗体 | 1mg/ml | EY-01K4849 |




一、准备好试剂与仪器:
磷酸盐缓冲盐水、荧光标记的抗体溶液、缓冲甘油、搪瓷桶三只、有盖搪瓷盒一只、荧光显微镜、玻片架、滤纸、37℃温箱等。
二、实验步骤
1.滴加0.01mol/L,pH7.4的PBS于待检标本片上,十分钟后弃去,使标本保持一定湿度。
2.滴加适当稀释的荧光标记的抗体溶液,使其完全覆盖标本,置于有盖搪瓷盒内,保温一定时间以三十分钟为参考。
3.取出玻片,置玻片架上,先用0.01mol/L,pH7.4的PBS冲洗后,再按顺序过0.01mol/L,pH7.4的PBS三缸浸泡,每缸三到五分钟,并不停地摇晃振荡。
4.取出玻片,用滤纸吸去多余水分,但不使标本干燥,加一滴缓冲甘油,以盖玻片覆盖。
5.立即用荧光显微镜观察。观察标本的特异性荧光强度。
抗体的生活习性:
(1)结合特异性抗原:抗体与其他免疫球蛋白分子区别,就在于抗体能与相应抗原发生特异性结合,在体内导致生理或病理效应;在体外产生各种直接或间接的可见的抗原抗体结合反应。抗体是靠其分子上的特殊的结合部位与抗原结合的。
(2)激活补体:抗体与相应抗原结合后,借助暴露的补体结合点去激活补体系统、激发补体的溶菌、溶细胞等免疫作用。
(3)结合细胞:不同类别的免疫球蛋白,可结合不同种的细胞,产生不同的疚,参与免疫应答。
(4)可通过胎盘及粘膜:免疫球蛋白G(IgG)能通过胎盘进入胎儿血流中,使胎儿形成自然被动免疫。免疫球蛋白A(IgA)可通过消化道及呼吸道粘膜,是粘膜局部抗感染免疫的主要因素。
(5)具有抗原性:抗体分子是一种蛋白质,也具有刺激机体产生免疫应答的性能。不同的免疫球蛋白分子,各具有不同的抗原性。
(6)抗体对理化因子的抵抗力与一般球蛋白相同:不耐热,60~70℃即被破坏。各种酶及能使蛋白质凝固变性的物质,均能破坏抗体的作用。抗体可被中性盐类沉淀。在上常可用硫酸铵或硫酸钠从免疫血清中沉淀出含有抗体的球蛋白,再经透析法将其纯化。
实验原理 :
(1)特异性结合抗原:抗体本身不能直接溶解或杀伤带有特异抗原的靶细胞,通常需要补体或吞噬细胞等共同发挥效应以清除病原微生物或导致病理损伤。然而,抗体可通过与病毒或毒素的特异性结合,直接发挥中和病毒的作用。
(2)活补体:IgM、IgG1、IgG2和IgG3可通过经典途径激活补体,凝聚的IgA、IgG4和IgE可通过替代途径激活补体。
(3)结合细胞:不同类别的免疫球蛋白,可结合不同种的细胞,参与免疫应答。
(4)可通过胎盘及粘膜:免疫球蛋白G(IgG)能通过胎盘进入胎儿血流中,使胎儿形成自然被动免疫。免疫球蛋白A(IgA)可通过消化道及呼吸道粘膜,是粘膜局部抗感染免疫的主要因素。
(5)具有抗原性:抗体分子是一种蛋白质,也具有刺机体产生免疫应答的性能。不同的免疫球蛋白分子,各具有不同的抗原性。
(6)抗体对理化因子的抵抗力与一般球蛋白相同:不耐热,60~70℃即被破坏。各种酶及能使蛋白质凝固变性的物质,均能破坏抗体的作用。抗体可被中性盐类沉淀。在上常可用硫酸铵或硫酸钠从免疫血清中沉淀出含有抗体的球蛋白,再经透析法将其纯化。
LIFR ELISA Kit 大鼠白抑制受体Multi-class antibodies规格: 48T
Anti- Beta-Actin/Gold 金标记β-肌动抗体IgGMulti-class antibodies规格: 0.2ml
Rhesus antibody Rh FGFR5/FGFRL1 成纤维生长受体5抗体 规格 0.1ml
NT-3 ELISA Kit 人神经营养3 96T
Muc2 粘-2/上皮膜抗原2抗体 0.1ml
ARP3 骨架肌动样3抗体 0.2ml
Anti- Beta-Actin/Gold 金标记β-肌动抗体IgGMulti-class antibodies规格: 0.2ml
E3/UBPL(Human E3/ubiquitin-protein ligase) ELISA Kit 人泛素连接酶Multi-class antibodies规格: 48T
Anti-NR2A/NMDAR2A 受体2A抗体Multi-class antibodies规格: 0.2ml
Rhesus antibody Rh IGFBP3 胰岛素样生长结合3抗体 规格 0.1ml
Jo1/HRS(Human Jo-1 Antibody) ELISA Kit 人Jo1抗体/抗组酰tRNA合成酶抗体 96T
PRDM1 B淋巴诱导成熟1抗体 0.1ml
CDK7 周期素依赖性激酶7抗体 0.1ml
Anti-NR2A/NMDAR2A 受体2A抗体Multi-class antibodies规格: 0.2ml
DHEA-S7 ELISA Kit 大鼠脱氢表雄酮S7Multi-class antibodies规格: 48T
Anti- Beta-Amyloid(25-35)/FITC 荧光素标记β淀粉样肽(25-35)抗体IgGMulti-class antibodies规格: 0.2ml
Rhesus antibody Rh FOXN1 叉头N1抗体 规格 0.2ml
ADRA1A(Mouse adrenergic alpha-1A receptor) ELISA Kit 小鼠能a1A受体 96T
NIPP1 核抑制磷酸酶1抗体 0.2ml
ADAMTS15 整合素样金属酶与15型抗体 0.2ml
Anti- Beta-Amyloid(25-35)/FITC 荧光素标记β淀粉样肽(25-35)抗体IgGMulti-class antibodies规格: 0.2ml
CA199 胰腺相关抗原 96T
MURF2 肌肉特异性环指2抗体 0.2ml
Rhesus antibody Rh DPEP3 膜二肽酶3抗体 规格 0.2ml
PI(Mouse Proinsulin) ELISA Kit 小鼠胰岛素原Multi-class antibodies规格: 48T
AKR1A1 乙醇脱氢酶1抗体 0.2ml
Anti-B7-1/CD80 /FITC 荧光素标记抗刺激分子B7-1抗体IgGMulti-class antibodies规格: 0.2ml
G蛋白偶联受体171抗体ENPP2/AP碱性磷酸酶(AP)标记的核苷酸焦磷酸酶2抗体
lysozyme/AP碱性磷酸酶(AP)标记的溶菌酶抗体
phospho-PDCD4 (Ser67)/AP碱性磷酸酶(AP)标记的磷酸化凋亡相关4抗体
LXR alpha/AP碱性磷酸酶(AP)标记的肝脏X受体抗体
PCDHGB5/AP碱性磷酸酶(AP)标记的原钙粘γB5抗体
Phospho-MDM2 (Ser186)/AP碱性磷酸酶(AP)标记的磷酸化双微体2基因抗体
C1orf192/AP碱性磷酸酶(AP)标记的1号染色体开放阅读框192抗体
FAM3D/AP碱性磷酸酶(AP)标记的FAM3D抗体
风险提示:丁香通仅作为第三方平台,为商家信息发布提供平台空间。用户咨询产品时请注意保护个人信息及财产安全,合理判断,谨慎选购商品,商家和用户对交易行为负责。对于医疗器械类产品,请先查证核实企业经营资质和医疗器械产品注册证情况。
技术资料暂无技术资料 索取技术资料
G蛋白偶联受体171抗体
¥1080 - 3200









