万千商家帮你免费找货
0 人在求购买到急需产品
- 详细信息
- 技术资料
- 供应商:
一研
- 库存:
59
- 靶点:
说明书
- 级别:
说明书
- 目录编号:
说明书
- 克隆性:
多克隆
- 抗原来源:
Rabbit
- 保质期:
说明书
- 抗体英文名:
Dab1
- 抗体名:
磷脂蛋白受体Dab1抗体
- 标记物:
Unconjugated
- 宿主:
说明书
- 适应物种:
说明书
- 免疫原:
KLH conjugated synthetic peptide derived from human Dab1
- 亚型:
LgG
- 形态:
液体
- 应用范围:
说明书
- 保存条件:
Shipped at 4℃. Store at -20 °C for one year. Avoid repeated freeze/thaw cycles.
- 浓度:
1mg/ml
- 规格:
100ul
产品属性:
产品介绍:
一、准备好试剂与仪器:
磷酸盐缓冲盐水、荧光标记的抗体溶液、缓冲甘油、搪瓷桶三只、有盖搪瓷盒一只、荧光显微镜、玻片架、滤纸、37℃温箱等。
二、实验步骤
1.滴加0.01mol/L,pH7.4的PBS于待检标本片上,十分钟后弃去,使标本保持一定湿度。
2.滴加适当稀释的荧光标记的抗体溶液,使其完全覆盖标本,置于有盖搪瓷盒内,保温一定时间以三十分钟为参考。
3.取出玻片,置玻片架上,先用0.01mol/L,pH7.4的PBS冲洗后,再按顺序过0.01mol/L,pH7.4的PBS三缸浸泡,每缸三到五分钟,并不停地摇晃振荡。
4.取出玻片,用滤纸吸去多余水分,但不使标本干燥,加一滴缓冲甘油,以盖玻片覆盖。
5.立即用荧光显微镜观察。观察标本的特异性荧光强度。
抗体的生活习性:
(1)结合特异性抗原:抗体与其他免疫球蛋白分子区别,就在于抗体能与相应抗原发生特异性结合,在体内导致生理或病理效应;在体外产生各种直接或间接的可见的抗原抗体结合反应。抗体是靠其分子上的特殊的结合部位与抗原结合的。
(2)激活补体:抗体与相应抗原结合后,借助暴露的补体结合点去激活补体系统、激发补体的溶菌、溶细胞等免疫作用。
(3)结合细胞:不同类别的免疫球蛋白,可结合不同种的细胞,产生不同的疚,参与免疫应答。
(4)可通过胎盘及粘膜:免疫球蛋白G(IgG)能通过胎盘进入胎儿血流中,使胎儿形成自然被动免疫。免疫球蛋白A(IgA)可通过消化道及呼吸道粘膜,是粘膜局部抗感染免疫的主要因素。
(5)具有抗原性:抗体分子是一种蛋白质,也具有刺激机体产生免疫应答的性能。不同的免疫球蛋白分子,各具有不同的抗原性。
(6)抗体对理化因子的抵抗力与一般球蛋白相同:不耐热,60~70℃即被破坏。各种酶及能使蛋白质凝固变性的物质,均能破坏抗体的作用。抗体可被中性盐类沉淀。在上常可用硫酸铵或硫酸钠从免疫血清中沉淀出含有抗体的球蛋白,再经透析法将其纯化。
HSP-70(Mouse Heat Shock Protein 70) ELISA Kit 小鼠热休克70Multi-class antibodies规格: 48T
Anti-nectin 2/CD112/FITC 荧光素标记黏附分子CD112抗体IgGMulti-class antibodies规格: 0.2ml
Rhesus antibody Rh Donkey Anti-rabbit IgG/Cy7 Cy7标记的驴抗兔IgG 规格 0.1ml
TSH 人清促甲状腺素(TSH) 96T
MDMX MDM2样P53结合抗体 0.1ml
ABHD1 肺α/β水解酶1抗体 0.2ml
Anti-nectin 2/CD112/FITC 荧光素标记黏附分子CD112抗体IgGMulti-class antibodies规格: 0.2ml
ST1(Human Stromelysin-1) ELISA Kit 人基质裂解素Multi-class antibodies规格: 48T
Anti-PEA3 促活化3抗体Multi-class antibodies规格: 0.2ml
Rhesus antibody Rh HIV1 p55+p24+p17 艾滋毒抗体 规格 0.2ml
Glp-1 ELISA Kit 大鼠胰高糖素样肽1 96T
PITX3 3抗体(穿透素) 0.2ml
Transferrin receptor 转铁受体抗体 0.1ml
Anti-PEA3 促活化3抗体Multi-class antibodies规格: 0.2ml
Human Proinsulin,PI ELISA Kit 人胰岛素原Multi-class antibodies规格: 48T
Anti-SGK1 糖皮质激素调节激酶1抗体Multi-class antibodies规格: 0.2ml
Rhesus antibody Rh GPR124 G偶联受体124抗体(管内皮标记物) 规格 0.2ml
ATR ELISA Kit 大鼠抗受体 96T
OVCA1 卵巢相关基因1抗体 0.2ml
Phospho-Bcr (Tyr360) 磷酸化T淋巴受体抗体 0.1ml
Anti-SGK1 糖皮质激素调节激酶1抗体Multi-class antibodies规格: 0.2ml
Monkey IgM/PE 荧光素PE标记猴IgM 0.1ml
LPPR1 脂质磷酸磷酸酶相关1/可塑性相关基因3抗体 0.2ml
Rhesus antibody Rh DBH 多巴胺β羟化酶抗体 规格 0.1ml
Hpt/HP (Rabbit Haptoglobin) ELISA Kit 兔结合珠/触珠Multi-class antibodies规格: 96T
Rhesus antibody Rh β-Amyloid(1-28) β淀粉样肽(1-28)抗体 规格 0.1ml
Anti-CXCR3/CD183/FITC 荧光素标记表面趋化受体3抗体/G偶联受体IgGMulti-class antibodies规格: 0.2ml
磷脂蛋白受体Dab1抗体FANCC/AF647AF647标记的范可尼综合征相关FANCC抗体
MMP20/AF647AF647标记的基质金属酶20
BAFFR/AF647AF647标记的B活化受体抗体
Gasdermin D/DFNA5L/AF647AF647标记的Gasdermin D抗体
phospho-MST4 + MST3 + STK25 (Thr178 + Thr190 + Thr174)/AF647AF647标记的磷酸化丝氨酸/苏氨酸激酶MST4,MST3,STK25抗体
Complement component C9a/AF647AF647标记的补体C9a抗体
Macrophage mannose receptor 1/AF647AF647标记的巨噬甘露糖受体CD206抗体
NEI3/AF647AF647标记的DNA糖基化酶FPG2抗体
实验原理 :
(1)特异性结合抗原:抗体本身不能直接溶解或杀伤带有特异抗原的靶细胞,通常需要补体或吞噬细胞等共同发挥效应以清除病原微生物或导致病理损伤。然而,抗体可通过与病毒或毒素的特异性结合,直接发挥中和病毒的作用。
(2)活补体:IgM、IgG1、IgG2和IgG3可通过经典途径激活补体,凝聚的IgA、IgG4和IgE可通过替代途径激活补体。
(3)结合细胞:不同类别的免疫球蛋白,可结合不同种的细胞,参与免疫应答。
(4)可通过胎盘及粘膜:免疫球蛋白G(IgG)能通过胎盘进入胎儿血流中,使胎儿形成自然被动免疫。免疫球蛋白A(IgA)可通过消化道及呼吸道粘膜,是粘膜局部抗感染免疫的主要因素。
(5)具有抗原性:抗体分子是一种蛋白质,也具有刺机体产生免疫应答的性能。不同的免疫球蛋白分子,各具有不同的抗原性。
(6)抗体对理化因子的抵抗力与一般球蛋白相同:不耐热,60~70℃即被破坏。各种酶及能使蛋白质凝固变性的物质,均能破坏抗体的作用。抗体可被中性盐类沉淀。在上常可用硫酸铵或硫酸钠从免疫血清中沉淀出含有抗体的球蛋白,再经透析法将其纯化。
| 产品名称 | 浓度 | 型号 |
| 磷脂蛋白受体Dab1抗体 | 1mg/ml | EY-01K4395 |
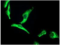
| 产品名称:磷脂蛋白受体Dab1抗体 英文名称:Dab1 英文别名:Dab 1; Disabled homolog 1; Disabled homolog 1 Drosophila; Scm; Scr; Scrambler; Yot; Yotari; Dab, reelin signal transducer, homolog 1 (Drosophila); Dab1; DAB1_HUMAN. 交叉反应: Human, Mouse, Rat, Chicken, Dog, Pig, Cow, Horse, Rabbit, Sheep 标记: Unconjugated 抗体来源: Rabbit 抗体类型: Polyclonal 免疫原: KLH conjugated synthetic peptide derived from human Dab1 蛋白细胞定位: 细胞浆 纯化方法: affinity purified by Protein A 亚型: IgG 性状: Liquid 浓度: 1mg/ml 储存液: 0.01M TBS(pH7.4) with 1% BSA, 0.03% Proclin300 and 50% Glycerol. 保存条件: Shipped at 4℃. Store at -20 °C for one year. Avoid repeated freeze/thaw cycles. 背景资料: The laminar organization of multiple neuronal types in the cerebral cortex is required for normal cognitive function. In mice, the disabled-1 gene plays a central role in brain development, directing the migration of cortical neurons past previously formed neurons to reach their proper layer. This gene is similar to disabled-1, and the protein encoded by this gene is thought to be a signal transducer that interacts with protein kinase pathways to regulate neuronal positioning in the developing brain. Alternatively spliced transcript variants of this gene have been reported, but their full length nature has not been determined. [provided by RefSeq, Jul 2008] |




一、准备好试剂与仪器:
磷酸盐缓冲盐水、荧光标记的抗体溶液、缓冲甘油、搪瓷桶三只、有盖搪瓷盒一只、荧光显微镜、玻片架、滤纸、37℃温箱等。
二、实验步骤
1.滴加0.01mol/L,pH7.4的PBS于待检标本片上,十分钟后弃去,使标本保持一定湿度。
2.滴加适当稀释的荧光标记的抗体溶液,使其完全覆盖标本,置于有盖搪瓷盒内,保温一定时间以三十分钟为参考。
3.取出玻片,置玻片架上,先用0.01mol/L,pH7.4的PBS冲洗后,再按顺序过0.01mol/L,pH7.4的PBS三缸浸泡,每缸三到五分钟,并不停地摇晃振荡。
4.取出玻片,用滤纸吸去多余水分,但不使标本干燥,加一滴缓冲甘油,以盖玻片覆盖。
5.立即用荧光显微镜观察。观察标本的特异性荧光强度。
抗体的生活习性:
(1)结合特异性抗原:抗体与其他免疫球蛋白分子区别,就在于抗体能与相应抗原发生特异性结合,在体内导致生理或病理效应;在体外产生各种直接或间接的可见的抗原抗体结合反应。抗体是靠其分子上的特殊的结合部位与抗原结合的。
(2)激活补体:抗体与相应抗原结合后,借助暴露的补体结合点去激活补体系统、激发补体的溶菌、溶细胞等免疫作用。
(3)结合细胞:不同类别的免疫球蛋白,可结合不同种的细胞,产生不同的疚,参与免疫应答。
(4)可通过胎盘及粘膜:免疫球蛋白G(IgG)能通过胎盘进入胎儿血流中,使胎儿形成自然被动免疫。免疫球蛋白A(IgA)可通过消化道及呼吸道粘膜,是粘膜局部抗感染免疫的主要因素。
(5)具有抗原性:抗体分子是一种蛋白质,也具有刺激机体产生免疫应答的性能。不同的免疫球蛋白分子,各具有不同的抗原性。
(6)抗体对理化因子的抵抗力与一般球蛋白相同:不耐热,60~70℃即被破坏。各种酶及能使蛋白质凝固变性的物质,均能破坏抗体的作用。抗体可被中性盐类沉淀。在上常可用硫酸铵或硫酸钠从免疫血清中沉淀出含有抗体的球蛋白,再经透析法将其纯化。
HSP-70(Mouse Heat Shock Protein 70) ELISA Kit 小鼠热休克70Multi-class antibodies规格: 48T
Anti-nectin 2/CD112/FITC 荧光素标记黏附分子CD112抗体IgGMulti-class antibodies规格: 0.2ml
Rhesus antibody Rh Donkey Anti-rabbit IgG/Cy7 Cy7标记的驴抗兔IgG 规格 0.1ml
TSH 人清促甲状腺素(TSH) 96T
MDMX MDM2样P53结合抗体 0.1ml
ABHD1 肺α/β水解酶1抗体 0.2ml
Anti-nectin 2/CD112/FITC 荧光素标记黏附分子CD112抗体IgGMulti-class antibodies规格: 0.2ml
ST1(Human Stromelysin-1) ELISA Kit 人基质裂解素Multi-class antibodies规格: 48T
Anti-PEA3 促活化3抗体Multi-class antibodies规格: 0.2ml
Rhesus antibody Rh HIV1 p55+p24+p17 艾滋毒抗体 规格 0.2ml
Glp-1 ELISA Kit 大鼠胰高糖素样肽1 96T
PITX3 3抗体(穿透素) 0.2ml
Transferrin receptor 转铁受体抗体 0.1ml
Anti-PEA3 促活化3抗体Multi-class antibodies规格: 0.2ml
Human Proinsulin,PI ELISA Kit 人胰岛素原Multi-class antibodies规格: 48T
Anti-SGK1 糖皮质激素调节激酶1抗体Multi-class antibodies规格: 0.2ml
Rhesus antibody Rh GPR124 G偶联受体124抗体(管内皮标记物) 规格 0.2ml
ATR ELISA Kit 大鼠抗受体 96T
OVCA1 卵巢相关基因1抗体 0.2ml
Phospho-Bcr (Tyr360) 磷酸化T淋巴受体抗体 0.1ml
Anti-SGK1 糖皮质激素调节激酶1抗体Multi-class antibodies规格: 0.2ml
Monkey IgM/PE 荧光素PE标记猴IgM 0.1ml
LPPR1 脂质磷酸磷酸酶相关1/可塑性相关基因3抗体 0.2ml
Rhesus antibody Rh DBH 多巴胺β羟化酶抗体 规格 0.1ml
Hpt/HP (Rabbit Haptoglobin) ELISA Kit 兔结合珠/触珠Multi-class antibodies规格: 96T
Rhesus antibody Rh β-Amyloid(1-28) β淀粉样肽(1-28)抗体 规格 0.1ml
Anti-CXCR3/CD183/FITC 荧光素标记表面趋化受体3抗体/G偶联受体IgGMulti-class antibodies规格: 0.2ml
磷脂蛋白受体Dab1抗体FANCC/AF647AF647标记的范可尼综合征相关FANCC抗体
MMP20/AF647AF647标记的基质金属酶20
BAFFR/AF647AF647标记的B活化受体抗体
Gasdermin D/DFNA5L/AF647AF647标记的Gasdermin D抗体
phospho-MST4 + MST3 + STK25 (Thr178 + Thr190 + Thr174)/AF647AF647标记的磷酸化丝氨酸/苏氨酸激酶MST4,MST3,STK25抗体
Complement component C9a/AF647AF647标记的补体C9a抗体
Macrophage mannose receptor 1/AF647AF647标记的巨噬甘露糖受体CD206抗体
NEI3/AF647AF647标记的DNA糖基化酶FPG2抗体
实验原理 :
(1)特异性结合抗原:抗体本身不能直接溶解或杀伤带有特异抗原的靶细胞,通常需要补体或吞噬细胞等共同发挥效应以清除病原微生物或导致病理损伤。然而,抗体可通过与病毒或毒素的特异性结合,直接发挥中和病毒的作用。
(2)活补体:IgM、IgG1、IgG2和IgG3可通过经典途径激活补体,凝聚的IgA、IgG4和IgE可通过替代途径激活补体。
(3)结合细胞:不同类别的免疫球蛋白,可结合不同种的细胞,参与免疫应答。
(4)可通过胎盘及粘膜:免疫球蛋白G(IgG)能通过胎盘进入胎儿血流中,使胎儿形成自然被动免疫。免疫球蛋白A(IgA)可通过消化道及呼吸道粘膜,是粘膜局部抗感染免疫的主要因素。
(5)具有抗原性:抗体分子是一种蛋白质,也具有刺机体产生免疫应答的性能。不同的免疫球蛋白分子,各具有不同的抗原性。
(6)抗体对理化因子的抵抗力与一般球蛋白相同:不耐热,60~70℃即被破坏。各种酶及能使蛋白质凝固变性的物质,均能破坏抗体的作用。抗体可被中性盐类沉淀。在上常可用硫酸铵或硫酸钠从免疫血清中沉淀出含有抗体的球蛋白,再经透析法将其纯化。
风险提示:丁香通仅作为第三方平台,为商家信息发布提供平台空间。用户咨询产品时请注意保护个人信息及财产安全,合理判断,谨慎选购商品,商家和用户对交易行为负责。对于医疗器械类产品,请先查证核实企业经营资质和医疗器械产品注册证情况。
技术资料暂无技术资料 索取技术资料
磷脂蛋白受体Dab1抗体
¥1080 - 3200









