相关产品推荐更多 >
万千商家帮你免费找货
0 人在求购买到急需产品
- 详细信息
- 技术资料
- 供应商:
一研
- 库存:
28
- 靶点:
说明书
- 级别:
说明书
- 目录编号:
说明书
- 克隆性:
单克隆
- 抗原来源:
Mouse
- 保质期:
说明书
- 抗体英文名:
Calpain 2
- 抗体名:
钙激活的中性蛋白酶2单克隆抗体
- 标记物:
Unconjugated
- 宿主:
说明书
- 适应物种:
说明书
- 免疫原:
KLH conjugated synthetic peptide derived from human Calpain 2
- 亚型:
LgG
- 形态:
液体
- 应用范围:
说明书
- 保存条件:
Shipped at 4℃. Store at -20 °C for one year. Avoid repeated freeze/thaw cycles.
- 浓度:
1mg/ml
- 规格:
100ul




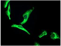
| 产品名称:钙激活的中性蛋白酶2单克隆抗体 英文名称:Calpain 2 英文别名:Calcium activated neutral proteinase 2; Calcium activated neutral proteinase; CALP80; Calpain 2 (m/II) large subunit; Calpain 2 catalytic subunit; Calpain 2 large catalytic subunit; Calpain 2 large subunit; Calpain large polypeptide L2; Calpain M type; Calcium-activated neutral proteinase 2; CALP80; Calpain 2, large [catalytic] subunit; Calpain M-type; Calpain-2 catalytic subunit; Calpain-2 large subunit; CAN2_MOUSE; M-calpain; Millimolar-calpain; Calpain2; CANP 2; CANP L2; CANP2; CANPL 2; CANPL2; CANPml; Capa2; CAPN 2; CAPN2; FLJ39928; M calpain; M calpin; M type; mCANP; Millimolar calpain. 交叉反应: Human 标记: Unconjugated 抗体来源: Mouse 抗体类型: Monoclonal 克隆号: D2S3 免疫原: KLH conjugated synthetic peptide derived from human Calpain 2 蛋白细胞定位: 细胞浆,细胞膜 纯化方法: Affinity purified by Protein G 亚型: IgG2b 性状: Liquid 浓度: 1mg/ml 储存液: 0.01M TBS(pH7.4) with 1% BSA, 0.03% Proclin300 and 50% Glycerol. 保存条件: Shipped at 4℃. Store at -20 °C for one year. Avoid repeated freeze/thaw cycles. 背景资料: Calpain, and m calpain, also known as Calpain 2, are intracellular, calcium dependent cysteine proteases. Mu calpain has a micromolar sensitivity (thus the mu) as compared to the millimolar calcium sensitivity of m calpain. Both Calpains 1 and 2 are composed of an 80 kD subunit and a 30 kD subunit. Whereas the 30 kDa subunit is shared by both enzymes, the larger catalytic subunits are different and exhibit the distinct Ca++ requirements that are suggested by their names. The calpains have papain like activity, thus the pain nomenclature. Both Calpain 1 and Calpain 2 are ubiquitously expressed, and are countered by the endogenous calpain inhibitor, calpastatin. Other calpain family members (calpain 94, ncl2, ncl3, etc) have more limited tissue distribution, and perhaps different functions. The calpain family members consist of a common small subunit (Calpain 4), and a large variable subunit. It is not clear that all calpains contain a small subunit. Domains in the large subunit include the amino terminal domain I, the proteinase domain II, domain III, and the EF hand domain IV. The calpains appear to serve multiple physiological roles, and ideas concerning the functions of these enzymes are in a state of rapid flux. |
| 产品名称 | 浓度 | 型号 |
| 钙激活的中性蛋白酶2单克隆抗体 | 1mg/ml | EY-01K4364 |
(1)结合特异性抗原:抗体与其他免疫球蛋白分子区别,就在于抗体能与相应抗原发生特异性结合,在体内导致生理或病理效应;在体外产生各种直接或间接的可见的抗原抗体结合反应。抗体是靠其分子上的特殊的结合部位与抗原结合的。
(2)激活补体:抗体与相应抗原结合后,借助暴露的补体结合点去激活补体系统、激发补体的溶菌、溶细胞等免疫作用。
(3)结合细胞:不同类别的免疫球蛋白,可结合不同种的细胞,产生不同的疚,参与免疫应答。
(4)可通过胎盘及粘膜:免疫球蛋白G(IgG)能通过胎盘进入胎儿血流中,使胎儿形成自然被动免疫。免疫球蛋白A(IgA)可通过消化道及呼吸道粘膜,是粘膜局部抗感染免疫的主要因素。
(5)具有抗原性:抗体分子是一种蛋白质,也具有刺激机体产生免疫应答的性能。不同的免疫球蛋白分子,各具有不同的抗原性。
(6)抗体对理化因子的抵抗力与一般球蛋白相同:不耐热,60~70℃即被破坏。各种酶及能使蛋白质凝固变性的物质,均能破坏抗体的作用。抗体可被中性盐类沉淀。在上常可用硫酸铵或硫酸钠从免疫血清中沉淀出含有抗体的球蛋白,再经透析法将其纯化。
实验原理 :
(1)特异性结合抗原:抗体本身不能直接溶解或杀伤带有特异抗原的靶细胞,通常需要补体或吞噬细胞等共同发挥效应以清除病原微生物或导致病理损伤。然而,抗体可通过与病毒或毒素的特异性结合,直接发挥中和病毒的作用。
(2)活补体:IgM、IgG1、IgG2和IgG3可通过经典途径激活补体,凝聚的IgA、IgG4和IgE可通过替代途径激活补体。
(3)结合细胞:不同类别的免疫球蛋白,可结合不同种的细胞,参与免疫应答。
(4)可通过胎盘及粘膜:免疫球蛋白G(IgG)能通过胎盘进入胎儿血流中,使胎儿形成自然被动免疫。免疫球蛋白A(IgA)可通过消化道及呼吸道粘膜,是粘膜局部抗感染免疫的主要因素。
(5)具有抗原性:抗体分子是一种蛋白质,也具有刺机体产生免疫应答的性能。不同的免疫球蛋白分子,各具有不同的抗原性。
(6)抗体对理化因子的抵抗力与一般球蛋白相同:不耐热,60~70℃即被破坏。各种酶及能使蛋白质凝固变性的物质,均能破坏抗体的作用。抗体可被中性盐类沉淀。在上常可用硫酸铵或硫酸钠从免疫血清中沉淀出含有抗体的球蛋白,再经透析法将其纯化。
免疫荧光技术的实验步骤:
一、准备好试剂与仪器:
磷酸盐缓冲盐水、荧光标记的抗体溶液、缓冲甘油、搪瓷桶三只、有盖搪瓷盒一只、荧光显微镜、玻片架、滤纸、37℃温箱等。
二、实验步骤
1.滴加0.01mol/L,pH7.4的PBS于待检标本片上,十分钟后弃去,使标本保持一定湿度。
2.滴加适当稀释的荧光标记的抗体溶液,使其完全覆盖标本,置于有盖搪瓷盒内,保温一定时间以三十分钟为参考。
3.取出玻片,置玻片架上,先用0.01mol/L,pH7.4的PBS冲洗后,再按顺序过0.01mol/L,pH7.4的PBS三缸浸泡,每缸三到五分钟,并不停地摇晃振荡。
4.取出玻片,用滤纸吸去多余水分,但不使标本干燥,加一滴缓冲甘油,以盖玻片覆盖。
5.立即用荧光显微镜观察。观察标本的特异性荧光强度。
HPV-IgG ELISA Kit人乳头状毒抗体IgG检测试剂盒 HPV-IgG ELISA Kithuman papillomavirus IgG, HPV-IgG Elisa Kit人乳头状毒抗体IgG(HPV-IgG)elisa试剂盒 人乳头状毒抗体IgGELISA检测试剂,HPV-IgG检测试剂盒HPV-IgG检测试剂人乳头状毒抗体IgGELISA试剂盒
HSV-Ag2 ELISA Kit人单纯毒抗原2测定试剂盒 HSV-Ag2 ELISA KitHuman Herpes simplex virus 2, HSV-Ag2 Elisa Kit人单纯毒抗原2(HSV-Ag2)elisa试剂盒 人单纯毒抗原2ELISA检测试剂,HSV-Ag2检测试剂盒HSV-Ag2检测试剂人单纯毒抗原2ELISA试剂盒
fPSA ELISA Kit人游离特异性抗原免费代测试剂盒 fPSA ELISA KitHuman Free Prostate Specific Antigen, fPSA Elisa Kit人游离特异性抗原(fPSA)elisa试剂盒人游离特异性抗原ELISA检测试剂,fPSA检测试剂盒fPSA检测试剂人游离特异性抗原ELISA试剂盒
PSA ELISA Kit人特异性抗原ELISA试剂盒 PSA ELISA KitHuman prostate specific antigen, PSA Elisa Kit人特异性抗原(PSA)elisa试剂盒人特异性抗原ELISA检测试剂,PSA检测试剂盒PSA检测试剂人特异性抗原ELISA试剂盒
PS ELISA Kit人磷脂酰丝氨酸检测试剂盒 PS ELISA KitHuman phosphatidylserine, PS Elisa Kit人磷脂酰丝氨酸(PS)elisa试剂盒人磷脂酰丝氨酸ELISA检测试剂,PS检测试剂盒PS检测试剂人磷脂酰丝氨酸ELISA试剂盒
钙激活的中性蛋白酶2单克隆抗体MAP4K1/APCAPC标记的造祖激酶1抗体
KIAA1467/APCAPC标记的KIAA1467抗体
FBXO36/APCAPC标记的FBXO36 F-box相关36抗体
PIWIL1/APCAPC标记的piwi样1抗体
NSP3/APCAPC标记的SH2结构域3A抗体
Eph receptor A1/APCAPC标记的酪氨酸激酶受体A1抗体
RIP5/APCAPC标记的受体结合丝氨酸苏氨酸激酶5抗体
IL12 p40/APCAPC标记的白介素12p40抗体
风险提示:丁香通仅作为第三方平台,为商家信息发布提供平台空间。用户咨询产品时请注意保护个人信息及财产安全,合理判断,谨慎选购商品,商家和用户对交易行为负责。对于医疗器械类产品,请先查证核实企业经营资质和医疗器械产品注册证情况。
技术资料暂无技术资料 索取技术资料
钙激活的中性蛋白酶2单克隆抗体
¥1080 - 3200









