万千商家帮你免费找货
0 人在求购买到急需产品
- 详细信息
- 技术资料
- 供应商:
一研
- 库存:
24
- 靶点:
说明书
- 级别:
说明书
- 目录编号:
说明书
- 克隆性:
多克隆
- 抗原来源:
Rabbit
- 保质期:
说明书
- 抗体英文名:
Nm23-H2/NME2
- 抗体名:
肿瘤抑制基因NME2抗体
- 标记物:
Unconjugated
- 宿主:
说明书
- 适应物种:
说明书
- 免疫原:
KLH conjugated synthetic peptide derived from human Nm23
- 亚型:
LgG
- 形态:
液体
- 应用范围:
说明书
- 保存条件:
Shipped at 4℃. Store at -20 °C for one year. Avoid repeated freeze/thaw cycles.
- 浓度:
1mg/ml
- 规格:
100ul
产品属性:
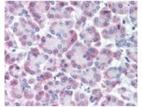
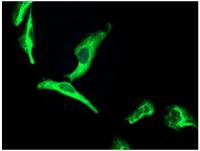
产品名称:肿瘤抑制基因NME2抗体
英文名称:Nm23-H2/NME2
英文别名:nucleoside dIPhosphatase kinase B; C myc purine binding transcription factor PUF; NDK B; NDKB; NDP kinase B; NDPKB; NM23 H2; NM23B; Nucleoside diphosphate kinase B; nm23-M2; NME2; Nucleoside diphosphate kinase alpha, p18-12d; puf; MGC107562; MGC107563; MGC111212; non-metastatic cells 2, protein (NM23B)expressed in; NDKB_HUMAN; C-myc purine-binding transcription factor PUF; Histidine protein kinase NDKB; nm23-H2.
交叉反应: Human, Mouse, Rat, Chicken, Dog, Pig, Cow, Horse, Rabbit, GuineaPig
标记: Unconjugated
抗体来源: Rabbit
抗体类型: Polyclonal
免疫原: KLH conjugated synthetic peptide derived from human Nm23
蛋白细胞定位: 细胞核,细胞浆
纯化方法: affinity purified by Protein A
亚型: IgG
性状: Liquid
浓度: 1mg/ml
储存液: 0.01M TBS(pH7.4) with 1% BSA, 0.03% Proclin300 and 50% Glycerol.
保存条件: Shipped at 4℃. Store at -20 °C for one year. Avoid repeated freeze/thaw cycles.
背景资料: NM23 is a heterodimeric protein functioning as a nucleoside diphosphate (NDP) kinase. NME1 and NME2 comprise the 152 amino acid A and B polypeptide chains of the NM23 enzyme, respectively. NME2 is identical to the beta subunit of human erythrocyte NDP kinase. NDP kinases are involved in the synthesis of nucleoside triphosphates, and NM23 may act in the regulation of signal transduction by complexing with G proteins, causing activation/inactivation of developmental pathways. NEM2 has been identified as a putative tumor suppressor. High expression of mouse NME2 is detected in heart, liver, and kidney, with moderate expression in skeletal muscle, and negligible expression in other mouse tissues examined.
抗体制备过程:
1.材料与试剂
a.提取的动物 Ig
b.弗氏完全佐剂和弗氏不完全佐剂
c.青霉素和链霉素
d.实验动物 兔
e.其它材料及试剂
2、选择实验活体。
3、进行动物免疫实验。
4、试取血样进行测试,查看免疫效果。
5、如果免疫成功,杀死实验活体,采集全部血清。
6、纯化出抗体。
7、鉴定抗体。胎牛血清(无菌采制)
抗体分子标记技术:
(一)原理
当应用化学氧化法时(NaI)遇强氧化剂,离子被氧化为分子,所生成的自由分子可与某些基团进行卤化反应。蛋白质分子可进行卤化反应的基团主要为酪氨酸残基,某些组氨酸残基也可能进行化。在应用胺T( Chloramine T)法的实验中,所用的氧化剂(1,3,4,6- tetrachloro-3a,6adipheny l-glucoluril)强挥发性的有机溶剂中。该溶剂加入试管后,先让其挥发(即让氧化剂将试管包被),然后把Na125I和蛋白质液加入包被好的试管中,反应完成即将混合液移入他管终止反应。
(二)准备
1.试剂
经亲和层析纯化的多克隆抗体或单克隆抗体;0.5mol/L磷酸钠缓冲液,pH7.5;无载体的Na125I3.7GBq/ml(100mCi/ml)的NaOH液;100g/L三醋酸;70%乙醇;新鲜制备的含2mg/m1络胺T的0.5mol/L磷酸钠缓冲液(pH7.5);胺T反应终止缓冲液;
2.仪器
凝胶过滤柱;¥-记数器;玻璃纤维滤。
(三)操作要点
1.用胺T法进行化,也可在大约pH7.0的缓冲液中进行;
2.如果氧化反应损伤蛋白质,可将抗体与异硫酸荧光素(FITC)偶联)胺T量减少到0.02mg/m,并将偏重亚硫酸液的浓度降到0.024mg/ml;
3. Iodogen-包被的试管可在干燥器中,于室温下保存多年;
4.1251标记的抗体,在制备后六周内均可使用(1251的半衰期为59.6天);
5.要注意保证所用的Na1251是新鲜的,陈旧制剂的比活性低;
6.酪氨酸的碘化偶尔会对抗原的抗体结合位点有干扰,因此降低其结合能力,但这种情况很少见。
F VII (Human coagulation factor VII ) ELISA Kit 人ⅦMulti-class antibodies规格: 48T
Anti-Phospho-Progesterone Receptor (Ser190) 磷酸化孕激素受体抗体Multi-class antibodies规格: 0.1ml
Rhesus antibody Rh HDLBP/vigilin 高密度脂结合抗体 规格 0.2ml
INH-A ELISA Kit 大鼠抑制素A 96T
AMPKγ2 腺苷单磷酸活化激酶γ2抗体 0.2ml
C2orf49 2号染色体开放阅读框49抗体 0.2ml
Anti-Phospho-Progesterone Receptor (Ser190) 磷酸化孕激素受体抗体Multi-class antibodies规格: 0.1ml
Anti-Tubulin- Beta/FITC 荧光素标记微管抗体IgGMulti-class antibodies规格: 0.2ml
TSHR (Thyroid stimulating hormone receptor)(CT) 促甲状腺素受体(抗原)Multi-class antibodies规格: 0.5mg
胞质紧密粘连1抗体 anti-ZO-1 0.2ml
SH2D2A 管内皮生长受体相关抗体 0.1ml
EpCAM 上皮粘附分子抗体 0.1ml
Rhesus antibody Rh phospho-IGF1R(Tyr1280) 磷酸化胰岛素样生长1受体抗体 规格 0.1ml
TSHR (Thyroid stimulating hormone receptor)(CT) 促甲状腺素受体(抗原)Multi-class antibodies规格: 0.5mg
Emp1 (epithelial membrane protein 1) 表皮膜1抗原Multi-class antibodies规格: 0.5ml
钙离子ATP酶通道抗体 Anti-ATP2c1/Ca++ ATPase 0.1ml
Rhesus antibody Rh Phospho-EGFR(Ser991) 磷酸化表皮生长受体抗体 规格 0.1ml
D-Hanks缓冲液(HBSS) 250ml 国产
ZNF217 锌指217抗体 0.2ml
DLX4 DLX4抗体 0.2ml
钙离子ATP酶通道抗体 Anti-ATP2c1/Ca++ ATPase 0.1ml
ZNF804A 锌指804A抗体 0.2ml
DBC2 基因删除2抗体 0.2ml
β淀粉样肽(1-16)抗体 Anti-β-Amyloid 0.1ml
Anti-ZCWCC1/FITC 荧光素标记ZCWCC1抗体IgGMulti-class antibodies规格: 0.2ml
Rhesus antibody Rh Phospho-FADD(Ser191) 磷酸化Fas相关死亡结构域抗体 规格 0.1ml
Cyclin B1 周期素B1抗原Multi-class antibodies规格: 0.5mg
肿瘤抑制基因NME2抗体HLA-DR/FITC 荧光标记HLA-DR抗原IgG0.5mm四氟板 0.5mm厚度
HLA-E/FITC 荧光标记类白抗原EIgG化锰 ,99.0%
HLA-G/FITC 荧光标记类白抗原G/组织相容性白抗原GIgG碳锰 99.95% metals basis
HMGA1/FITC 荧光标记高迁移率族A1IgG碳锰 CP,Mn >44%
HMGA2/FITC 荧光标记高迁移率族A2IgG硝锰溶液 CP,50 wt. % in H2O
HMGB1/FITC 荧光标记高迁移率族B1IgG化锰,四水 AR,99.0%
HMGB4/FITC 荧光标记高迁移率族B4IgG化锰,四水 昆虫培养级,≥99%
HNF-1 Alpha/FITC 荧光标记肝核1αIgG苯并咪唑 AR,98.5%
| 产品名称 | 肿瘤抑制基因NME2抗体 |
| 浓度 | 1mg/ml |
| 型号 | EY-01K4074 |
英文名称:Nm23-H2/NME2
英文别名:nucleoside dIPhosphatase kinase B; C myc purine binding transcription factor PUF; NDK B; NDKB; NDP kinase B; NDPKB; NM23 H2; NM23B; Nucleoside diphosphate kinase B; nm23-M2; NME2; Nucleoside diphosphate kinase alpha, p18-12d; puf; MGC107562; MGC107563; MGC111212; non-metastatic cells 2, protein (NM23B)expressed in; NDKB_HUMAN; C-myc purine-binding transcription factor PUF; Histidine protein kinase NDKB; nm23-H2.
交叉反应: Human, Mouse, Rat, Chicken, Dog, Pig, Cow, Horse, Rabbit, GuineaPig
标记: Unconjugated
抗体来源: Rabbit
抗体类型: Polyclonal
免疫原: KLH conjugated synthetic peptide derived from human Nm23
蛋白细胞定位: 细胞核,细胞浆
纯化方法: affinity purified by Protein A
亚型: IgG
性状: Liquid
浓度: 1mg/ml
储存液: 0.01M TBS(pH7.4) with 1% BSA, 0.03% Proclin300 and 50% Glycerol.
保存条件: Shipped at 4℃. Store at -20 °C for one year. Avoid repeated freeze/thaw cycles.
背景资料: NM23 is a heterodimeric protein functioning as a nucleoside diphosphate (NDP) kinase. NME1 and NME2 comprise the 152 amino acid A and B polypeptide chains of the NM23 enzyme, respectively. NME2 is identical to the beta subunit of human erythrocyte NDP kinase. NDP kinases are involved in the synthesis of nucleoside triphosphates, and NM23 may act in the regulation of signal transduction by complexing with G proteins, causing activation/inactivation of developmental pathways. NEM2 has been identified as a putative tumor suppressor. High expression of mouse NME2 is detected in heart, liver, and kidney, with moderate expression in skeletal muscle, and negligible expression in other mouse tissues examined.
抗体制备过程:
1.材料与试剂
a.提取的动物 Ig
b.弗氏完全佐剂和弗氏不完全佐剂
c.青霉素和链霉素
d.实验动物 兔
e.其它材料及试剂
2、选择实验活体。
3、进行动物免疫实验。
4、试取血样进行测试,查看免疫效果。
5、如果免疫成功,杀死实验活体,采集全部血清。
6、纯化出抗体。
7、鉴定抗体。胎牛血清(无菌采制)
抗体分子标记技术:
(一)原理
当应用化学氧化法时(NaI)遇强氧化剂,离子被氧化为分子,所生成的自由分子可与某些基团进行卤化反应。蛋白质分子可进行卤化反应的基团主要为酪氨酸残基,某些组氨酸残基也可能进行化。在应用胺T( Chloramine T)法的实验中,所用的氧化剂(1,3,4,6- tetrachloro-3a,6adipheny l-glucoluril)强挥发性的有机溶剂中。该溶剂加入试管后,先让其挥发(即让氧化剂将试管包被),然后把Na125I和蛋白质液加入包被好的试管中,反应完成即将混合液移入他管终止反应。
(二)准备
1.试剂
经亲和层析纯化的多克隆抗体或单克隆抗体;0.5mol/L磷酸钠缓冲液,pH7.5;无载体的Na125I3.7GBq/ml(100mCi/ml)的NaOH液;100g/L三醋酸;70%乙醇;新鲜制备的含2mg/m1络胺T的0.5mol/L磷酸钠缓冲液(pH7.5);胺T反应终止缓冲液;
2.仪器
凝胶过滤柱;¥-记数器;玻璃纤维滤。
(三)操作要点
1.用胺T法进行化,也可在大约pH7.0的缓冲液中进行;
2.如果氧化反应损伤蛋白质,可将抗体与异硫酸荧光素(FITC)偶联)胺T量减少到0.02mg/m,并将偏重亚硫酸液的浓度降到0.024mg/ml;
3. Iodogen-包被的试管可在干燥器中,于室温下保存多年;
4.1251标记的抗体,在制备后六周内均可使用(1251的半衰期为59.6天);
5.要注意保证所用的Na1251是新鲜的,陈旧制剂的比活性低;
6.酪氨酸的碘化偶尔会对抗原的抗体结合位点有干扰,因此降低其结合能力,但这种情况很少见。
F VII (Human coagulation factor VII ) ELISA Kit 人ⅦMulti-class antibodies规格: 48T
Anti-Phospho-Progesterone Receptor (Ser190) 磷酸化孕激素受体抗体Multi-class antibodies规格: 0.1ml
Rhesus antibody Rh HDLBP/vigilin 高密度脂结合抗体 规格 0.2ml
INH-A ELISA Kit 大鼠抑制素A 96T
AMPKγ2 腺苷单磷酸活化激酶γ2抗体 0.2ml
C2orf49 2号染色体开放阅读框49抗体 0.2ml
Anti-Phospho-Progesterone Receptor (Ser190) 磷酸化孕激素受体抗体Multi-class antibodies规格: 0.1ml
Anti-Tubulin- Beta/FITC 荧光素标记微管抗体IgGMulti-class antibodies规格: 0.2ml
TSHR (Thyroid stimulating hormone receptor)(CT) 促甲状腺素受体(抗原)Multi-class antibodies规格: 0.5mg
胞质紧密粘连1抗体 anti-ZO-1 0.2ml
SH2D2A 管内皮生长受体相关抗体 0.1ml
EpCAM 上皮粘附分子抗体 0.1ml
Rhesus antibody Rh phospho-IGF1R(Tyr1280) 磷酸化胰岛素样生长1受体抗体 规格 0.1ml
TSHR (Thyroid stimulating hormone receptor)(CT) 促甲状腺素受体(抗原)Multi-class antibodies规格: 0.5mg
Emp1 (epithelial membrane protein 1) 表皮膜1抗原Multi-class antibodies规格: 0.5ml
钙离子ATP酶通道抗体 Anti-ATP2c1/Ca++ ATPase 0.1ml
Rhesus antibody Rh Phospho-EGFR(Ser991) 磷酸化表皮生长受体抗体 规格 0.1ml
D-Hanks缓冲液(HBSS) 250ml 国产
ZNF217 锌指217抗体 0.2ml
DLX4 DLX4抗体 0.2ml
钙离子ATP酶通道抗体 Anti-ATP2c1/Ca++ ATPase 0.1ml
ZNF804A 锌指804A抗体 0.2ml
DBC2 基因删除2抗体 0.2ml
β淀粉样肽(1-16)抗体 Anti-β-Amyloid 0.1ml
Anti-ZCWCC1/FITC 荧光素标记ZCWCC1抗体IgGMulti-class antibodies规格: 0.2ml
Rhesus antibody Rh Phospho-FADD(Ser191) 磷酸化Fas相关死亡结构域抗体 规格 0.1ml
Cyclin B1 周期素B1抗原Multi-class antibodies规格: 0.5mg
肿瘤抑制基因NME2抗体HLA-DR/FITC 荧光标记HLA-DR抗原IgG0.5mm四氟板 0.5mm厚度
HLA-E/FITC 荧光标记类白抗原EIgG化锰 ,99.0%
HLA-G/FITC 荧光标记类白抗原G/组织相容性白抗原GIgG碳锰 99.95% metals basis
HMGA1/FITC 荧光标记高迁移率族A1IgG碳锰 CP,Mn >44%
HMGA2/FITC 荧光标记高迁移率族A2IgG硝锰溶液 CP,50 wt. % in H2O
HMGB1/FITC 荧光标记高迁移率族B1IgG化锰,四水 AR,99.0%
HMGB4/FITC 荧光标记高迁移率族B4IgG化锰,四水 昆虫培养级,≥99%
HNF-1 Alpha/FITC 荧光标记肝核1αIgG苯并咪唑 AR,98.5%
风险提示:丁香通仅作为第三方平台,为商家信息发布提供平台空间。用户咨询产品时请注意保护个人信息及财产安全,合理判断,谨慎选购商品,商家和用户对交易行为负责。对于医疗器械类产品,请先查证核实企业经营资质和医疗器械产品注册证情况。
技术资料暂无技术资料 索取技术资料
肿瘤抑制基因NME2抗体
¥1080 - 3200









