万千商家帮你免费找货
0 人在求购买到急需产品
- 详细信息
- 技术资料
- 供应商:
一研
- 库存:
22
- 靶点:
说明书
- 级别:
说明书
- 目录编号:
说明书
- 克隆性:
多克隆
- 抗原来源:
Rabbit
- 保质期:
说明书
- 抗体英文名:
ZNF84
- 抗体名:
锌指蛋白84抗体
- 标记物:
Unconjugated
- 宿主:
说明书
- 适应物种:
说明书
- 免疫原:
KLH conjugated synthetic peptide derived from human ZNF84
- 亚型:
LgG
- 形态:
液体
- 应用范围:
说明书
- 保存条件:
Shipped at 4℃. Store at -20 °C for one year. Avoid repeated freeze/thaw cycles.
- 浓度:
1mg/ml
- 规格:
100ul




| 产品名称:锌指蛋白84抗体 英文名称:ZNF84 英文别名:HPF 2; HPF2; Zinc finger protein 84; ZNF 84; ZNF84. 交叉反应: Human 标记: Unconjugated 抗体来源: Rabbit 抗体类型: Polyclonal 免疫原: KLH conjugated synthetic peptide derived from human ZNF84 蛋白细胞定位: 细胞核 纯化方法: affinity purified by Protein A 亚型: IgG 性状: Liquid 浓度: 1mg/ml 储存液: 0.01M TBS(pH7.4) with 1% BSA, 0.03% Proclin300 and 50% Glycerol. 保存条件: Shipped at 4℃. Store at -20 °C for one year. Avoid repeated freeze/thaw cycles. 背景资料: ZNF84, a gene located on chromosome 12, encodes a zinc finger protein whose function is undescribed. |
| 产品名称 | 浓度 | 型号 |
| 锌指蛋白84抗体 | 1mg/ml | EY-01K3872 |
(1)结合特异性抗原:抗体与其他免疫球蛋白分子区别,就在于抗体能与相应抗原发生特异性结合,在体内导致生理或病理效应;在体外产生各种直接或间接的可见的抗原抗体结合反应。抗体是靠其分子上的特殊的结合部位与抗原结合的。
(2)激活补体:抗体与相应抗原结合后,借助暴露的补体结合点去激活补体系统、激发补体的溶菌、溶细胞等免疫作用。
(3)结合细胞:不同类别的免疫球蛋白,可结合不同种的细胞,产生不同的疚,参与免疫应答。
(4)可通过胎盘及粘膜:免疫球蛋白G(IgG)能通过胎盘进入胎儿血流中,使胎儿形成自然被动免疫。免疫球蛋白A(IgA)可通过消化道及呼吸道粘膜,是粘膜局部抗感染免疫的主要因素。
(5)具有抗原性:抗体分子是一种蛋白质,也具有刺激机体产生免疫应答的性能。不同的免疫球蛋白分子,各具有不同的抗原性。
(6)抗体对理化因子的抵抗力与一般球蛋白相同:不耐热,60~70℃即被破坏。各种酶及能使蛋白质凝固变性的物质,均能破坏抗体的作用。抗体可被中性盐类沉淀。在上常可用硫酸铵或硫酸钠从免疫血清中沉淀出含有抗体的球蛋白,再经透析法将其纯化。
实验原理 :
(1)特异性结合抗原:抗体本身不能直接溶解或杀伤带有特异抗原的靶细胞,通常需要补体或吞噬细胞等共同发挥效应以清除病原微生物或导致病理损伤。然而,抗体可通过与病毒或毒素的特异性结合,直接发挥中和病毒的作用。
(2)活补体:IgM、IgG1、IgG2和IgG3可通过经典途径激活补体,凝聚的IgA、IgG4和IgE可通过替代途径激活补体。
(3)结合细胞:不同类别的免疫球蛋白,可结合不同种的细胞,参与免疫应答。
(4)可通过胎盘及粘膜:免疫球蛋白G(IgG)能通过胎盘进入胎儿血流中,使胎儿形成自然被动免疫。免疫球蛋白A(IgA)可通过消化道及呼吸道粘膜,是粘膜局部抗感染免疫的主要因素。
(5)具有抗原性:抗体分子是一种蛋白质,也具有刺机体产生免疫应答的性能。不同的免疫球蛋白分子,各具有不同的抗原性。
(6)抗体对理化因子的抵抗力与一般球蛋白相同:不耐热,60~70℃即被破坏。各种酶及能使蛋白质凝固变性的物质,均能破坏抗体的作用。抗体可被中性盐类沉淀。在上常可用硫酸铵或硫酸钠从免疫血清中沉淀出含有抗体的球蛋白,再经透析法将其纯化。
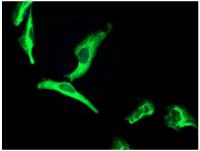
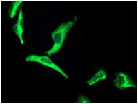
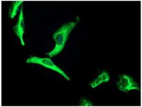
免疫荧光技术的实验步骤:
一、准备好试剂与仪器:
磷酸盐缓冲盐水、荧光标记的抗体溶液、缓冲甘油、搪瓷桶三只、有盖搪瓷盒一只、荧光显微镜、玻片架、滤纸、37℃温箱等。
二、实验步骤
1.滴加0.01mol/L,pH7.4的PBS于待检标本片上,十分钟后弃去,使标本保持一定湿度。
2.滴加适当稀释的荧光标记的抗体溶液,使其完全覆盖标本,置于有盖搪瓷盒内,保温一定时间以三十分钟为参考。
3.取出玻片,置玻片架上,先用0.01mol/L,pH7.4的PBS冲洗后,再按顺序过0.01mol/L,pH7.4的PBS三缸浸泡,每缸三到五分钟,并不停地摇晃振荡。
4.取出玻片,用滤纸吸去多余水分,但不使标本干燥,加一滴缓冲甘油,以盖玻片覆盖。
5.立即用荧光显微镜观察。观察标本的特异性荧光强度。
CRT ELISA Kit 人钙网ELISA试剂盒 CRT ELISA Kit Human Calreticulin, CRT Elisa Kit 人钙网(CRT)elisa试剂盒人钙网ELISA检测试剂,CRT检测试剂盒 CRT检测试剂 人钙网ELISA试剂盒
omentin ELISA Kit人网膜素检测试剂盒 omentin ELISA KitHuman omentin Elisa Kit人网膜素(omentin)elisa试剂盒人网膜素ELISA检测试剂, omentin检测试剂盒 omentin检测试剂人网膜素ELISA试剂盒
MGP ELISA Kit人基质γ羧基谷氨酸测定试剂盒 MGP ELISA KitHuman Matrix Gla Protein, MGP Elisa Kit人基质γ羧基谷氨酸(MGP)elisa试剂盒 人基质γ羧基谷氨酸ELISA检测试剂,MGP检测试剂盒MGP检测试剂人基质γ羧基谷氨酸ELISA试剂盒
MAT ELISA Kit人基质裂解/基质溶素免费代测试剂盒 MAT ELISA KitHuman matrilysin, MAT Elisa Kit人基质裂解/基质溶素(MAT)elisa试剂盒 人基质裂解/基质溶素ELISA检测试剂,MAT检测试剂盒MAT检测试剂人基质裂解/基质溶素ELISA试剂盒
THP ELISA Kit人螺旋肽ELISA试剂盒 THP ELISA KitHuman triple-helical peptide, THP Elisa Kit人螺旋肽(THP)elisa试剂盒人螺旋肽ELISA检测试剂,THP检测试剂盒THP检测试剂人螺旋肽ELISA试剂盒
锌指蛋白84抗体IL-11/PE-Cy7PE-Cy7标记的白介素11抗体
human CD3-APC/PE-Cy7PE-Cy7标记的APC标记抗CD3单克隆抗体
ZRANB3/PE-Cy7PE-Cy7标记的ZRANB3抗体
RNF13/PE-Cy7PE-Cy7标记的环指13抗体
TNRC6C/PE-Cy7PE-Cy7标记的TNRC6C
Phospho-Histone H3 (Thr3)/PE-Cy7PE-Cy7标记的磷酸化组H3抗体
RAB11FIP5/PE-Cy7PE-Cy7标记的Rab11家族相互作用5抗体
CSFV E2/PE-Cy7PE-Cy7标记的猪瘟毒E2抗体
风险提示:丁香通仅作为第三方平台,为商家信息发布提供平台空间。用户咨询产品时请注意保护个人信息及财产安全,合理判断,谨慎选购商品,商家和用户对交易行为负责。对于医疗器械类产品,请先查证核实企业经营资质和医疗器械产品注册证情况。
技术资料暂无技术资料 索取技术资料
锌指蛋白84抗体
¥1080 - 3200









