万千商家帮你免费找货
0 人在求购买到急需产品
- 详细信息
- 技术资料
- 供应商:
一研
- 库存:
47
- 靶点:
说明书
- 级别:
说明书
- 目录编号:
说明书
- 克隆性:
多克隆
- 抗原来源:
Rabbit
- 保质期:
说明书
- 抗体英文名:
KCTD19
- 抗体名:
钾离子通道多聚体结构域蛋白19抗体
- 标记物:
Unconjugated
- 宿主:
说明书
- 适应物种:
说明书
- 免疫原:
KLH conjugated synthetic peptide derived from human KCTD19
- 亚型:
LgG
- 形态:
液体
- 应用范围:
说明书
- 保存条件:
Shipped at 4℃. Store at -20 °C for one year. Avoid repeated freeze/thaw cycles.
- 浓度:
1mg/ml
- 规格:
100ul
产品属性:
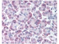
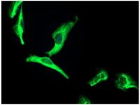
产品名称:钾离子通道多聚体结构域蛋白19抗体
英文名称:KCTD19
英文别名:BTB/POZ domain-containing protein KCTD19;
FLJ40162;
KCD19_HUMAN;
KCTD19;
potassium channel tetramerisation domain containing 19.
交叉反应: Human, Mouse, Rat, Dog, Pig, Cow, Horse, Rabbit, Sheep
标记: Unconjugated
抗体来源: Rabbit
抗体类型: Polyclonal
免疫原: KLH conjugated synthetic peptide derived from human KCTD19
蛋白细胞定位: 细胞核
纯化方法: affinity purified by Protein A
亚型: IgG
性状: Liquid
浓度: 1mg/ml
储存液: 0.01M TBS(pH7.4) with 1% BSA, 0.03% Proclin300 and 50% Glycerol.
保存条件: Shipped at 4℃. Store at -20 °C for one year. Avoid repeated freeze/thaw cycles.
抗体制备过程:
1.材料与试剂
a.提取的动物 Ig
b.弗氏完全佐剂和弗氏不完全佐剂
c.青霉素和链霉素
d.实验动物 兔
e.其它材料及试剂
2、选择实验活体。
3、进行动物免疫实验。
4、试取血样进行测试,查看免疫效果。
5、如果免疫成功,杀死实验活体,采集全部血清。
6、纯化出抗体。
7、鉴定抗体。胎牛血清(无菌采制)
抗体分子标记技术:
(一)原理
当应用化学氧化法时(NaI)遇强氧化剂,离子被氧化为分子,所生成的自由分子可与某些基团进行卤化反应。蛋白质分子可进行卤化反应的基团主要为酪氨酸残基,某些组氨酸残基也可能进行化。在应用胺T( Chloramine T)法的实验中,所用的氧化剂(1,3,4,6- tetrachloro-3a,6adipheny l-glucoluril)强挥发性的有机溶剂中。该溶剂加入试管后,先让其挥发(即让氧化剂将试管包被),然后把Na125I和蛋白质液加入包被好的试管中,反应完成即将混合液移入他管终止反应。
(二)准备
1.试剂
经亲和层析纯化的多克隆抗体或单克隆抗体;0.5mol/L磷酸钠缓冲液,pH7.5;无载体的Na125I3.7GBq/ml(100mCi/ml)的NaOH液;100g/L三醋酸;70%乙醇;新鲜制备的含2mg/m1络胺T的0.5mol/L磷酸钠缓冲液(pH7.5);胺T反应终止缓冲液;
2.仪器
凝胶过滤柱;¥-记数器;玻璃纤维滤。
(三)操作要点
1.用胺T法进行化,也可在大约pH7.0的缓冲液中进行;
2.如果氧化反应损伤蛋白质,可将抗体与异硫酸荧光素(FITC)偶联)胺T量减少到0.02mg/m,并将偏重亚硫酸液的浓度降到0.024mg/ml;
3. Iodogen-包被的试管可在干燥器中,于室温下保存多年;
4.1251标记的抗体,在制备后六周内均可使用(1251的半衰期为59.6天);
5.要注意保证所用的Na1251是新鲜的,陈旧制剂的比活性低;
6.酪氨酸的碘化偶尔会对抗原的抗体结合位点有干扰,因此降低其结合能力,但这种情况很少见。
Botryosphaeria parva Paenibacillus macerans猪高铁红(MHB)
酿酒酵母Bacillus subtilis subsp. subtilis猪Ⅲ型前胶原基端肽(PⅢNT)
栖植物潘亚碱湖杆菌Geobacillus stearothermophilus猪Ⅲ型前胶原基端肽(PⅢNT)
法布里德巴酵母Geobacillus stearothermophilus猪低分子肝(LMWH)
产棒杆菌Paenibacillus polymyxa猪低分子肝(LMWH)
根菌Paenibacillus polymyxa猪单核增多性李斯特菌O((LLO)
粘着剑菌*Geobacillus stearothermophilus猪单核增多性李斯特菌O((LLO)
球孢白僵菌Geobacillus stearothermophilus猪瘟抗体
核盘菌Geobacillus stearothermophilus猪瘟抗体
平脐蠕孢菌Paenibacillus macerans猪瘟抗原2板
酿酒酵母Brevibacillus laterosporus猪瘟抗原2板
雅致曲霉Geobacillus stearothermophilus植物磷脂酰甘油(PG)
败波氏菌Paenibacillus macerans植物磷脂酰甘油(PG)
少孢酵母Bacillus subtilis subsp. subtilis植物玉米索核苷(ZR )
Bacillus tequilensis Bacillus licheniformis植物玉米索核苷(ZR )
豌豆根菌Paenibacillus polymyxa植物赤霉(GA)
5-脂氧合抗体突斯叶杆菌口蹄疫毒(A2亚型)
2,4-二氧乙除草剂单克抗体嗜糖克布特里氏菌口蹄疫毒(A3亚型)
核突触-α抗体N端抗生溶杆菌(抗生溶杆菌)绵羊痘毒
信号传导抑制2抗体梭状梭菌伪狂犬毒
钾离子通道多聚体结构域蛋白19抗体N-乙酰β-D-氨基葡萄糖苷酶(NAGase)酶联免疫试剂盒Anti-GMFB Antibody锌指300(抗原)
中期(MK)酶联免疫试剂盒Anti-GM-CSF(CSF2) Antibody锌指脂-1a(抗原)
β内啡肽受体(β-EPR)酶联免疫试剂盒Anti-GMFG Antibody锌指脂-1b(抗原)
磷酸二酯酶4D(PDE4D)酶联免疫试剂盒Anti-GNA14 Antibody锌指脂-1c(抗原)
钙调素(CAM)酶联免疫试剂盒 Anti-GNAI3 Antibody干扰素-γ多肽抗原(大、)
内皮C受体(EPCR)酶联免疫试剂盒Anti-GNA14 Antibody干扰素-β抗原
弹性(ELN)酶联免疫试剂盒 Anti-GNAL Antibody干扰素-β抗原
Rac-GTP酶激活1(RACGAP1)检测酶联免疫试剂盒Human SIGLEC9 ELISA Kit包装5g正二十九烷
BTG3关联核(BANP)检测酶联免疫试剂盒Human SIGMAR1 ELISA Kit包装1g芝麻林素(标准品)
重肽铁(FTH)检测酶联免疫试剂盒Human SIKE1 ELISA Kit包装250mg芝麻素(标准品)
生长关联43(GAP43)检测酶联免疫试剂盒Human SIL1 ELISA Kit包装5g知母(标准品)
乙二酶Ⅰ(GLO1)检测酶联免疫试剂盒Human SHOX ELISA Kit包装1g知母皂苷A1
衰老关键2(FBLN2)检测酶联免疫试剂盒Human SH3GL2 ELISA Kit包装250mg知母皂苷A3(标准品)
外周(PRPH)检测酶联免疫试剂盒Human SIM2 ELISA Kit包装100g知母皂苷BII(标准品)
芳烃受体抑制(AHRR)检测酶联免疫试剂盒Human MUC20(Mucin-20) ELISA Kit包装25g知母皂苷E(标准品)
| 产品名称 | 钾离子通道多聚体结构域蛋白19抗体 |
| 浓度 | 1mg/ml |
| 型号 | EY-01K3654 |
英文名称:KCTD19
英文别名:BTB/POZ domain-containing protein KCTD19;
FLJ40162;
KCD19_HUMAN;
KCTD19;
potassium channel tetramerisation domain containing 19.
交叉反应: Human, Mouse, Rat, Dog, Pig, Cow, Horse, Rabbit, Sheep
标记: Unconjugated
抗体来源: Rabbit
抗体类型: Polyclonal
免疫原: KLH conjugated synthetic peptide derived from human KCTD19
蛋白细胞定位: 细胞核
纯化方法: affinity purified by Protein A
亚型: IgG
性状: Liquid
浓度: 1mg/ml
储存液: 0.01M TBS(pH7.4) with 1% BSA, 0.03% Proclin300 and 50% Glycerol.
保存条件: Shipped at 4℃. Store at -20 °C for one year. Avoid repeated freeze/thaw cycles.
抗体制备过程:
1.材料与试剂
a.提取的动物 Ig
b.弗氏完全佐剂和弗氏不完全佐剂
c.青霉素和链霉素
d.实验动物 兔
e.其它材料及试剂
2、选择实验活体。
3、进行动物免疫实验。
4、试取血样进行测试,查看免疫效果。
5、如果免疫成功,杀死实验活体,采集全部血清。
6、纯化出抗体。
7、鉴定抗体。胎牛血清(无菌采制)
抗体分子标记技术:
(一)原理
当应用化学氧化法时(NaI)遇强氧化剂,离子被氧化为分子,所生成的自由分子可与某些基团进行卤化反应。蛋白质分子可进行卤化反应的基团主要为酪氨酸残基,某些组氨酸残基也可能进行化。在应用胺T( Chloramine T)法的实验中,所用的氧化剂(1,3,4,6- tetrachloro-3a,6adipheny l-glucoluril)强挥发性的有机溶剂中。该溶剂加入试管后,先让其挥发(即让氧化剂将试管包被),然后把Na125I和蛋白质液加入包被好的试管中,反应完成即将混合液移入他管终止反应。
(二)准备
1.试剂
经亲和层析纯化的多克隆抗体或单克隆抗体;0.5mol/L磷酸钠缓冲液,pH7.5;无载体的Na125I3.7GBq/ml(100mCi/ml)的NaOH液;100g/L三醋酸;70%乙醇;新鲜制备的含2mg/m1络胺T的0.5mol/L磷酸钠缓冲液(pH7.5);胺T反应终止缓冲液;
2.仪器
凝胶过滤柱;¥-记数器;玻璃纤维滤。
(三)操作要点
1.用胺T法进行化,也可在大约pH7.0的缓冲液中进行;
2.如果氧化反应损伤蛋白质,可将抗体与异硫酸荧光素(FITC)偶联)胺T量减少到0.02mg/m,并将偏重亚硫酸液的浓度降到0.024mg/ml;
3. Iodogen-包被的试管可在干燥器中,于室温下保存多年;
4.1251标记的抗体,在制备后六周内均可使用(1251的半衰期为59.6天);
5.要注意保证所用的Na1251是新鲜的,陈旧制剂的比活性低;
6.酪氨酸的碘化偶尔会对抗原的抗体结合位点有干扰,因此降低其结合能力,但这种情况很少见。
Botryosphaeria parva Paenibacillus macerans猪高铁红(MHB)
酿酒酵母Bacillus subtilis subsp. subtilis猪Ⅲ型前胶原基端肽(PⅢNT)
栖植物潘亚碱湖杆菌Geobacillus stearothermophilus猪Ⅲ型前胶原基端肽(PⅢNT)
法布里德巴酵母Geobacillus stearothermophilus猪低分子肝(LMWH)
产棒杆菌Paenibacillus polymyxa猪低分子肝(LMWH)
根菌Paenibacillus polymyxa猪单核增多性李斯特菌O((LLO)
粘着剑菌*Geobacillus stearothermophilus猪单核增多性李斯特菌O((LLO)
球孢白僵菌Geobacillus stearothermophilus猪瘟抗体
核盘菌Geobacillus stearothermophilus猪瘟抗体
平脐蠕孢菌Paenibacillus macerans猪瘟抗原2板
酿酒酵母Brevibacillus laterosporus猪瘟抗原2板
雅致曲霉Geobacillus stearothermophilus植物磷脂酰甘油(PG)
败波氏菌Paenibacillus macerans植物磷脂酰甘油(PG)
少孢酵母Bacillus subtilis subsp. subtilis植物玉米索核苷(ZR )
Bacillus tequilensis Bacillus licheniformis植物玉米索核苷(ZR )
豌豆根菌Paenibacillus polymyxa植物赤霉(GA)
5-脂氧合抗体突斯叶杆菌口蹄疫毒(A2亚型)
2,4-二氧乙除草剂单克抗体嗜糖克布特里氏菌口蹄疫毒(A3亚型)
核突触-α抗体N端抗生溶杆菌(抗生溶杆菌)绵羊痘毒
信号传导抑制2抗体梭状梭菌伪狂犬毒
钾离子通道多聚体结构域蛋白19抗体N-乙酰β-D-氨基葡萄糖苷酶(NAGase)酶联免疫试剂盒Anti-GMFB Antibody锌指300(抗原)
中期(MK)酶联免疫试剂盒Anti-GM-CSF(CSF2) Antibody锌指脂-1a(抗原)
β内啡肽受体(β-EPR)酶联免疫试剂盒Anti-GMFG Antibody锌指脂-1b(抗原)
磷酸二酯酶4D(PDE4D)酶联免疫试剂盒Anti-GNA14 Antibody锌指脂-1c(抗原)
钙调素(CAM)酶联免疫试剂盒 Anti-GNAI3 Antibody干扰素-γ多肽抗原(大、)
内皮C受体(EPCR)酶联免疫试剂盒Anti-GNA14 Antibody干扰素-β抗原
弹性(ELN)酶联免疫试剂盒 Anti-GNAL Antibody干扰素-β抗原
Rac-GTP酶激活1(RACGAP1)检测酶联免疫试剂盒Human SIGLEC9 ELISA Kit包装5g正二十九烷
BTG3关联核(BANP)检测酶联免疫试剂盒Human SIGMAR1 ELISA Kit包装1g芝麻林素(标准品)
重肽铁(FTH)检测酶联免疫试剂盒Human SIKE1 ELISA Kit包装250mg芝麻素(标准品)
生长关联43(GAP43)检测酶联免疫试剂盒Human SIL1 ELISA Kit包装5g知母(标准品)
乙二酶Ⅰ(GLO1)检测酶联免疫试剂盒Human SHOX ELISA Kit包装1g知母皂苷A1
衰老关键2(FBLN2)检测酶联免疫试剂盒Human SH3GL2 ELISA Kit包装250mg知母皂苷A3(标准品)
外周(PRPH)检测酶联免疫试剂盒Human SIM2 ELISA Kit包装100g知母皂苷BII(标准品)
芳烃受体抑制(AHRR)检测酶联免疫试剂盒Human MUC20(Mucin-20) ELISA Kit包装25g知母皂苷E(标准品)
风险提示:丁香通仅作为第三方平台,为商家信息发布提供平台空间。用户咨询产品时请注意保护个人信息及财产安全,合理判断,谨慎选购商品,商家和用户对交易行为负责。对于医疗器械类产品,请先查证核实企业经营资质和医疗器械产品注册证情况。
技术资料暂无技术资料 索取技术资料
钾离子通道多聚体结构域蛋白19抗体
¥1080 - 3200









