万千商家帮你免费找货
0 人在求购买到急需产品
- 详细信息
- 技术资料
- 供应商:
一研
- 库存:
23
- 靶点:
说明书
- 级别:
说明书
- 目录编号:
说明书
- 克隆性:
多克隆
- 抗原来源:
Rabbit
- 保质期:
说明书
- 抗体英文名:
RDH11
- 抗体名:
视黄醇脱氢酶11/丙型肝炎病毒核心蛋白抗体
- 标记物:
Unconjugated
- 宿主:
说明书
- 适应物种:
说明书
- 免疫原:
KLH conjugated synthetic peptide derived from human RDH11
- 亚型:
LgG
- 形态:
液体
- 应用范围:
说明书
- 保存条件:
Shipped at 4℃. Store at -20 °C for one year. Avoid repeated freeze/thaw cycles.
- 浓度:
1mg/ml
- 规格:
100ul




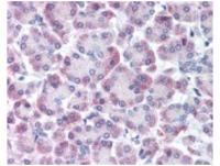
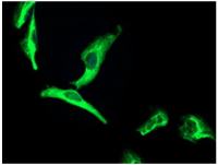
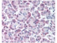
| 产品名称:视黄醇脱氢酶11/丙型肝炎病毒核心蛋白抗体 英文名称:RDH11 英文别名:CGI 82; RALR1; Androgen regulated short chain dehydrogenase/reductase 1; ARSDR1; HCBP12; HCV core binding protein; HCV core binding protein HCBP12; MDT1; Prostate short chain dehydrogenase/reductase 1; PSDR1; Retinal reductase 1; retinol dehydrogenase 11 (all trans/9 cis/11 cis); Retinol dehydrogenase 11; SCALD; SDR7C1; Short chain dehydrogenase/reductase family 7C, member 1; RDH11_HUMAN. 交叉反应: Human, Mouse, Rat, Dog, Pig, Horse, Rabbit, Sheep 标记: Unconjugated 抗体来源: Rabbit 抗体类型: Polyclonal 免疫原: KLH conjugated synthetic peptide derived from human RDH11 蛋白细胞定位: 细胞浆,细胞膜 纯化方法: affinity purified by Protein A 亚型: IgG 性状: Liquid 浓度: 1mg/ml 储存液: 0.01M TBS(pH7.4) with 1% BSA, 0.03% Proclin300 and 50% Glycerol. 保存条件: Shipped at 4℃. Store at -20 °C for one year. Avoid repeated freeze/thaw cycles. 背景资料: The protein encoded by this gene is an NADPH-dependent retinal reductase and a short-chain dehydrogenase/reductase. The encoded protein has no steroid dehydrogenase activity. |
| 产品名称 | 浓度 | 型号 |
| 视黄醇脱氢酶11/丙型肝炎病毒核心蛋白抗体 | 1mg/ml | EY-01K3553 |
(1)结合特异性抗原:抗体与其他免疫球蛋白分子区别,就在于抗体能与相应抗原发生特异性结合,在体内导致生理或病理效应;在体外产生各种直接或间接的可见的抗原抗体结合反应。抗体是靠其分子上的特殊的结合部位与抗原结合的。
(2)激活补体:抗体与相应抗原结合后,借助暴露的补体结合点去激活补体系统、激发补体的溶菌、溶细胞等免疫作用。
(3)结合细胞:不同类别的免疫球蛋白,可结合不同种的细胞,产生不同的疚,参与免疫应答。
(4)可通过胎盘及粘膜:免疫球蛋白G(IgG)能通过胎盘进入胎儿血流中,使胎儿形成自然被动免疫。免疫球蛋白A(IgA)可通过消化道及呼吸道粘膜,是粘膜局部抗感染免疫的主要因素。
(5)具有抗原性:抗体分子是一种蛋白质,也具有刺激机体产生免疫应答的性能。不同的免疫球蛋白分子,各具有不同的抗原性。
(6)抗体对理化因子的抵抗力与一般球蛋白相同:不耐热,60~70℃即被破坏。各种酶及能使蛋白质凝固变性的物质,均能破坏抗体的作用。抗体可被中性盐类沉淀。在上常可用硫酸铵或硫酸钠从免疫血清中沉淀出含有抗体的球蛋白,再经透析法将其纯化。
实验原理 :
(1)特异性结合抗原:抗体本身不能直接溶解或杀伤带有特异抗原的靶细胞,通常需要补体或吞噬细胞等共同发挥效应以清除病原微生物或导致病理损伤。然而,抗体可通过与病毒或毒素的特异性结合,直接发挥中和病毒的作用。
(2)活补体:IgM、IgG1、IgG2和IgG3可通过经典途径激活补体,凝聚的IgA、IgG4和IgE可通过替代途径激活补体。
(3)结合细胞:不同类别的免疫球蛋白,可结合不同种的细胞,参与免疫应答。
(4)可通过胎盘及粘膜:免疫球蛋白G(IgG)能通过胎盘进入胎儿血流中,使胎儿形成自然被动免疫。免疫球蛋白A(IgA)可通过消化道及呼吸道粘膜,是粘膜局部抗感染免疫的主要因素。
(5)具有抗原性:抗体分子是一种蛋白质,也具有刺机体产生免疫应答的性能。不同的免疫球蛋白分子,各具有不同的抗原性。
(6)抗体对理化因子的抵抗力与一般球蛋白相同:不耐热,60~70℃即被破坏。各种酶及能使蛋白质凝固变性的物质,均能破坏抗体的作用。抗体可被中性盐类沉淀。在上常可用硫酸铵或硫酸钠从免疫血清中沉淀出含有抗体的球蛋白,再经透析法将其纯化。
免疫荧光技术的实验步骤:
一、准备好试剂与仪器:
磷酸盐缓冲盐水、荧光标记的抗体溶液、缓冲甘油、搪瓷桶三只、有盖搪瓷盒一只、荧光显微镜、玻片架、滤纸、37℃温箱等。
二、实验步骤
1.滴加0.01mol/L,pH7.4的PBS于待检标本片上,十分钟后弃去,使标本保持一定湿度。
2.滴加适当稀释的荧光标记的抗体溶液,使其完全覆盖标本,置于有盖搪瓷盒内,保温一定时间以三十分钟为参考。
3.取出玻片,置玻片架上,先用0.01mol/L,pH7.4的PBS冲洗后,再按顺序过0.01mol/L,pH7.4的PBS三缸浸泡,每缸三到五分钟,并不停地摇晃振荡。
4.取出玻片,用滤纸吸去多余水分,但不使标本干燥,加一滴缓冲甘油,以盖玻片覆盖。
5.立即用荧光显微镜观察。观察标本的特异性荧光强度。
BACE2(Human beta-site APP-cleaving enzyme 2) ELISA Kit 人β位淀粉样前体裂解酶2Multi-class antibodies规格: 48T
Anti-Phospho-MSK1 (Ser360) 磷酸化有丝分裂原和应激活化型激酶1抗体Multi-class antibodies规格: 0.1ml
Rhesus antibody Rh Integrin alpha 1/CD49a 整合素α1抗体 规格 0.1ml
TRAIL-R3 ELISA Kit 大鼠坏死相关凋亡诱导配体3 96T
P2Y1 P2Y1受体抗体/嘌呤受体抗体 0.1ml
phospho-c-ABL(Thr413) 磷酸化非受体酪酸激酶c-Abl抗体 0.1ml
Anti-Phospho-MSK1 (Ser360) 磷酸化有丝分裂原和应激活化型激酶1抗体Multi-class antibodies规格: 0.1ml
PTHrP(Human Parathyroid Hormone Related Protein) ELISA Kit 人甲状旁腺激素相关Multi-class antibodies规格: 48T
Anti-LIFR/CD118 白抑制受体抗体Multi-class antibodies规格: 0.2ml
Rhesus antibody Rh KLK15 15抗体 规格 0.2ml
SCF/MGF ELISA Kit 大鼠干/肥大生长 96T
Phospho-PLK1 (Thr210) 磷酸化丝/苏酸激酶Plk1抗体 0.1ml
phospho-CAMK4(Thr196 + Thr200) 磷酸化钙/钙调依赖性激酶4抗体 0.1ml
Anti-LIFR/CD118 白抑制受体抗体Multi-class antibodies规格: 0.2ml
VEGF ELISA KIT 大鼠管内皮生长Multi-class antibodies规格: 48T
Anti-Phospho-Aurora B (Thr232)/Aurora C (Thr198) /FITC 荧光素标记兔抗人、大、小鼠磷酸化有丝分裂激酶B/C抗体IgGMulti-class antibodies规格: 0.2ml
Rhesus antibody Rh Exportin 5 核输出5抗体 规格 0.2ml
MIP-1 Delta(Mouse Macrophage Inflammatory Protein 1 Delta) ELISA kit 小鼠巨噬性1δ 96T
MCP1 单核趋化1抗体 0.1ml
Androgen receptor 雄激素受体抗体 0.1ml
Anti-Phospho-Aurora B (Thr232)/Aurora C (Thr198) /FITC 荧光素标记兔抗人、大、小鼠磷酸化有丝分裂激酶B/C抗体IgGMulti-class antibodies规格: 0.2ml
AGEs ELISA Kit 大鼠晚期糖基化终末产物 96T
Neurofascin 神经束抗体 0.1ml
Rhesus antibody Rh FRMD1 FRMD1抗体 规格 0.2ml
AFP ELISA Kit 大鼠甲种胎儿球/甲胎Multi-class antibodies规格: 48T
AHNAK 神经分化相关AHNAK抗体 0.1ml
单抗 单抗Multi-class antibodies规格:
视黄醇脱氢酶11/丙型肝炎病毒核心蛋白抗体SCAPER/Gold胶体金标记的SCAPER抗体
L-Citrulline/Gold胶体金标记的L-瓜氨酸抗体
PCDHA7/Gold胶体金标记的原钙粘附α7抗体
MUSK/Gold胶体金标记的抗肌肉骨骼受体酪氨酸激酶单克隆抗体
Nur77/Gold胶体金标记的孤儿核受体Nur77抗体
FLAD1/Gold胶体金标记的黄素嘌呤二核苷酸抗体
Phospho-Met (Tyr1349)/Gold胶体金标记的磷酸化肝生长受体(原基因)抗体
RSF1/Gold胶体金标记的RSF1抗体
风险提示:丁香通仅作为第三方平台,为商家信息发布提供平台空间。用户咨询产品时请注意保护个人信息及财产安全,合理判断,谨慎选购商品,商家和用户对交易行为负责。对于医疗器械类产品,请先查证核实企业经营资质和医疗器械产品注册证情况。
技术资料暂无技术资料 索取技术资料
视黄醇脱氢酶11/丙型肝炎病毒核心蛋白抗体
¥1080 - 3200









