万千商家帮你免费找货
0 人在求购买到急需产品
- 详细信息
- 技术资料
- 供应商:
一研
- 库存:
39
- 靶点:
说明书
- 级别:
说明书
- 目录编号:
说明书
- 克隆性:
多克隆
- 抗原来源:
Rabbit
- 保质期:
说明书
- 抗体英文名:
CDKN2B/p15 INK4b
- 抗体名:
细胞周期蛋白依赖性激酶抑制剂2B抗体
- 标记物:
Unconjugated
- 宿主:
说明书
- 适应物种:
说明书
- 免疫原:
KLH conjugated synthetic peptide derived from human CDKN2B
- 亚型:
LgG
- 形态:
液体
- 应用范围:
说明书
- 保存条件:
Shipped at 4℃. Store at -20 °C for one year. Avoid repeated freeze/thaw cycles.
- 浓度:
1mg/ml
- 规格:
100ul
产品属性:
产品介绍:
一、准备好试剂与仪器:
磷酸盐缓冲盐水、荧光标记的抗体溶液、缓冲甘油、搪瓷桶三只、有盖搪瓷盒一只、荧光显微镜、玻片架、滤纸、37℃温箱等。
二、实验步骤
1.滴加0.01mol/L,pH7.4的PBS于待检标本片上,十分钟后弃去,使标本保持一定湿度。
2.滴加适当稀释的荧光标记的抗体溶液,使其完全覆盖标本,置于有盖搪瓷盒内,保温一定时间以三十分钟为参考。
3.取出玻片,置玻片架上,先用0.01mol/L,pH7.4的PBS冲洗后,再按顺序过0.01mol/L,pH7.4的PBS三缸浸泡,每缸三到五分钟,并不停地摇晃振荡。
4.取出玻片,用滤纸吸去多余水分,但不使标本干燥,加一滴缓冲甘油,以盖玻片覆盖。
5.立即用荧光显微镜观察。观察标本的特异性荧光强度。
抗体的生活习性:
(1)结合特异性抗原:抗体与其他免疫球蛋白分子区别,就在于抗体能与相应抗原发生特异性结合,在体内导致生理或病理效应;在体外产生各种直接或间接的可见的抗原抗体结合反应。抗体是靠其分子上的特殊的结合部位与抗原结合的。
(2)激活补体:抗体与相应抗原结合后,借助暴露的补体结合点去激活补体系统、激发补体的溶菌、溶细胞等免疫作用。
(3)结合细胞:不同类别的免疫球蛋白,可结合不同种的细胞,产生不同的疚,参与免疫应答。
(4)可通过胎盘及粘膜:免疫球蛋白G(IgG)能通过胎盘进入胎儿血流中,使胎儿形成自然被动免疫。免疫球蛋白A(IgA)可通过消化道及呼吸道粘膜,是粘膜局部抗感染免疫的主要因素。
(5)具有抗原性:抗体分子是一种蛋白质,也具有刺激机体产生免疫应答的性能。不同的免疫球蛋白分子,各具有不同的抗原性。
(6)抗体对理化因子的抵抗力与一般球蛋白相同:不耐热,60~70℃即被破坏。各种酶及能使蛋白质凝固变性的物质,均能破坏抗体的作用。抗体可被中性盐类沉淀。在上常可用硫酸铵或硫酸钠从免疫血清中沉淀出含有抗体的球蛋白,再经透析法将其纯化。
Anti-Tap1/ABCB2 /FITC 荧光素标记ATP结合转运1抗体IgGMulti-class antibodies规格: 0.2ml
Anti0-EDG6/SLP4 /FITC 荧光素标记内皮的分化6抗体IgGMulti-class antibodies规格: 0.2ml
Rhesus antibody Rh CTAGE5 皮肤T淋巴相关抗原5抗体(脑膜表达抗原6) 规格 0.2ml
Melamine/KLH 三聚胺与蓝偶联物 1mg
KLF13 肠道内富含的Kruppel样13 0.1ml
Rhesus antibody Rh VEGF-C 管内皮生长C型抗体 规格 0.1ml
Anti0-EDG6/SLP4 /FITC 荧光素标记内皮的分化6抗体IgGMulti-class antibodies规格: 0.2ml
TIMP-4(Human tissue inhibitors of metalloproteinase 4) ELISA Kit 人基质金属酶抑制4Multi-class antibodies规格: 48T
Anti-Phospho-HP1(Tyr43) 异染色质1磷酸化抗体(果蝇)Multi-class antibodies规格: 1ml
Rhesus antibody Rh Mcl1/BCL2L3 髓样分化2抗体 规格 0.1ml
Syk(Human spleen tyrosine kinase) ELISA Kit 人脾脏酪酸激酶 96T
RHCE Rh型C抗原抗体 0.2ml
C1orf150 1号染色体开放阅读框150抗体 0.2ml
Anti-Phospho-HP1(Tyr43) 异染色质1磷酸化抗体(果蝇)Multi-class antibodies规格: 1ml
Anti-TIMP-4/FITC 荧光素标记金属酶组织抑制-4抗体IgGMulti-class antibodies规格: 0.2ml
NOS-2 (iNOS) Nitric Oxide Synthase,Inducible 合成酶-2(抗原)Multi-class antibodies规格: 0.5mg
三碘甲狀腺素T3抗体 Anti-T3 0.2ml
SSX8 滑膜肉X断点8抗体 0.1ml
Phospho-Estrogen Receptor alpha (Ser118) 磷酸化雌激素受体α抗体 0.1ml
Rhesus antibody Rh phospho-LRP5(Thr1492) 磷酸化低密度脂受体相关5抗体 规格 0.1ml
NOS-2 (iNOS) Nitric Oxide Synthase,Inducible 合成酶-2(抗原)Multi-class antibodies规格: 0.5mg
Akt/PKC(Protein Kinase C,PKC) 激酶C(多肽抗原) 0.5mg
MDA7/IL-24/IL-17F 白介素-17F抗体 0.2ml
Rhesus antibody Rh CHRNA2(neuronal) 型乙酰受体A2(神经型)抗体 规格 0.1ml
Anti-Brucella/HRP 辣根过氧化物酶标记抗布鲁氏菌抗体IgGMulti-class antibodies规格: 0.2ml
Rhesus antibody Rh TNFRSF4/OX40/CD134 CD134抗体 规格 0.1ml
Anti-IL6R Alpha /FITC 荧光素标记白介素6受体α抗体IgGMulti-class antibodies规格: 0.2ml
细胞周期蛋白依赖性激酶抑制剂2B抗体CLEC5A/Gold胶体金标记的C型凝集素结构域家族5成员A抗体
Jaw1/Gold胶体金标记的淋巴限制膜Jaw1抗体
SNTB2/Syntrophin-3/Gold胶体金标记的互养3抗体
Phospho-HER2 (Tyr877)/Gold胶体金标记的磷酸化HER2受体抗体
YAP1/Gold胶体金标记的原基因Yes相关1抗体
EDEM1/Gold胶体金标记的EDEM1抗体
GLEPP1/Gold胶体金标记的肾小球上皮1抗体
SLC6A18/Gold胶体金标记的溶质载体家族6成员18抗体
实验原理 :
(1)特异性结合抗原:抗体本身不能直接溶解或杀伤带有特异抗原的靶细胞,通常需要补体或吞噬细胞等共同发挥效应以清除病原微生物或导致病理损伤。然而,抗体可通过与病毒或毒素的特异性结合,直接发挥中和病毒的作用。
(2)活补体:IgM、IgG1、IgG2和IgG3可通过经典途径激活补体,凝聚的IgA、IgG4和IgE可通过替代途径激活补体。
(3)结合细胞:不同类别的免疫球蛋白,可结合不同种的细胞,参与免疫应答。
(4)可通过胎盘及粘膜:免疫球蛋白G(IgG)能通过胎盘进入胎儿血流中,使胎儿形成自然被动免疫。免疫球蛋白A(IgA)可通过消化道及呼吸道粘膜,是粘膜局部抗感染免疫的主要因素。
(5)具有抗原性:抗体分子是一种蛋白质,也具有刺机体产生免疫应答的性能。不同的免疫球蛋白分子,各具有不同的抗原性。
(6)抗体对理化因子的抵抗力与一般球蛋白相同:不耐热,60~70℃即被破坏。各种酶及能使蛋白质凝固变性的物质,均能破坏抗体的作用。抗体可被中性盐类沉淀。在上常可用硫酸铵或硫酸钠从免疫血清中沉淀出含有抗体的球蛋白,再经透析法将其纯化。
| 产品名称 | 浓度 | 型号 |
| 细胞周期蛋白依赖性激酶抑制剂2B抗体 | 1mg/ml | EY-01K3205 |
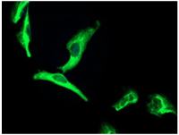
| 产品名称:细胞周期蛋白依赖性激酶抑制剂2B抗体 英文名称:CDKN2B/p15 INK4b 英文别名:CDK inhibitory protein; CDK4B Inhibitor; CDKN2B; Cyclin dependent kinase 4 inhibitor B; Cyclin Dependent Kinase Inhibitor 2B; Cyclin dependent kinase inhibitor 2B p15 inhibits CDK4; Cyclin-dependent kinases 4 and 6 binding protein; INK4B; MTS 2; MTS2; Multiple Tumor Supressor 2; p14 CDK inhibitor; p14 INK4b; P15; p15 CDK inhibitor; p15 inhibits CDK4; p15 INK4b; P15(INK4B); p15INK4B; TP 15; TP15. 交叉反应: Human, Mouse, Rat, Chicken, Dog, Cow, Rabbit 标记: Unconjugated 抗体来源: Rabbit 抗体类型: Polyclonal 免疫原: KLH conjugated synthetic peptide derived from human CDKN2B 蛋白细胞定位: 细胞浆 纯化方法: affinity purified by Protein A 亚型: IgG 性状: Liquid 浓度: 1mg/ml 储存液: 0.01M TBS(pH7.4) with 1% BSA, 0.03% Proclin300 and 50% Glycerol. 保存条件: Shipped at 4℃. Store at -20 °C for one year. Avoid repeated freeze/thaw cycles. 背景资料: p15 INK4b / MTS 2 (Mitotic Inhibitor / Suppressor Protein) is a specific inhibitor of cdk 4 / cdk 6 and is periodically expressed during the cell cycle. Reportedly, p15 INK4b expression is induced approximately 30 fold in human keratinocytes by treatment with TGF beta, suggesting that p15 INK4b may act as an effector of TGF beta mediated cell cycle arrest. p15 INK4b is mapped to chromosome 9p21, a region of frequent loss in a wide variety of cancers. |




一、准备好试剂与仪器:
磷酸盐缓冲盐水、荧光标记的抗体溶液、缓冲甘油、搪瓷桶三只、有盖搪瓷盒一只、荧光显微镜、玻片架、滤纸、37℃温箱等。
二、实验步骤
1.滴加0.01mol/L,pH7.4的PBS于待检标本片上,十分钟后弃去,使标本保持一定湿度。
2.滴加适当稀释的荧光标记的抗体溶液,使其完全覆盖标本,置于有盖搪瓷盒内,保温一定时间以三十分钟为参考。
3.取出玻片,置玻片架上,先用0.01mol/L,pH7.4的PBS冲洗后,再按顺序过0.01mol/L,pH7.4的PBS三缸浸泡,每缸三到五分钟,并不停地摇晃振荡。
4.取出玻片,用滤纸吸去多余水分,但不使标本干燥,加一滴缓冲甘油,以盖玻片覆盖。
5.立即用荧光显微镜观察。观察标本的特异性荧光强度。
抗体的生活习性:
(1)结合特异性抗原:抗体与其他免疫球蛋白分子区别,就在于抗体能与相应抗原发生特异性结合,在体内导致生理或病理效应;在体外产生各种直接或间接的可见的抗原抗体结合反应。抗体是靠其分子上的特殊的结合部位与抗原结合的。
(2)激活补体:抗体与相应抗原结合后,借助暴露的补体结合点去激活补体系统、激发补体的溶菌、溶细胞等免疫作用。
(3)结合细胞:不同类别的免疫球蛋白,可结合不同种的细胞,产生不同的疚,参与免疫应答。
(4)可通过胎盘及粘膜:免疫球蛋白G(IgG)能通过胎盘进入胎儿血流中,使胎儿形成自然被动免疫。免疫球蛋白A(IgA)可通过消化道及呼吸道粘膜,是粘膜局部抗感染免疫的主要因素。
(5)具有抗原性:抗体分子是一种蛋白质,也具有刺激机体产生免疫应答的性能。不同的免疫球蛋白分子,各具有不同的抗原性。
(6)抗体对理化因子的抵抗力与一般球蛋白相同:不耐热,60~70℃即被破坏。各种酶及能使蛋白质凝固变性的物质,均能破坏抗体的作用。抗体可被中性盐类沉淀。在上常可用硫酸铵或硫酸钠从免疫血清中沉淀出含有抗体的球蛋白,再经透析法将其纯化。
Anti-Tap1/ABCB2 /FITC 荧光素标记ATP结合转运1抗体IgGMulti-class antibodies规格: 0.2ml
Anti0-EDG6/SLP4 /FITC 荧光素标记内皮的分化6抗体IgGMulti-class antibodies规格: 0.2ml
Rhesus antibody Rh CTAGE5 皮肤T淋巴相关抗原5抗体(脑膜表达抗原6) 规格 0.2ml
Melamine/KLH 三聚胺与蓝偶联物 1mg
KLF13 肠道内富含的Kruppel样13 0.1ml
Rhesus antibody Rh VEGF-C 管内皮生长C型抗体 规格 0.1ml
Anti0-EDG6/SLP4 /FITC 荧光素标记内皮的分化6抗体IgGMulti-class antibodies规格: 0.2ml
TIMP-4(Human tissue inhibitors of metalloproteinase 4) ELISA Kit 人基质金属酶抑制4Multi-class antibodies规格: 48T
Anti-Phospho-HP1(Tyr43) 异染色质1磷酸化抗体(果蝇)Multi-class antibodies规格: 1ml
Rhesus antibody Rh Mcl1/BCL2L3 髓样分化2抗体 规格 0.1ml
Syk(Human spleen tyrosine kinase) ELISA Kit 人脾脏酪酸激酶 96T
RHCE Rh型C抗原抗体 0.2ml
C1orf150 1号染色体开放阅读框150抗体 0.2ml
Anti-Phospho-HP1(Tyr43) 异染色质1磷酸化抗体(果蝇)Multi-class antibodies规格: 1ml
Anti-TIMP-4/FITC 荧光素标记金属酶组织抑制-4抗体IgGMulti-class antibodies规格: 0.2ml
NOS-2 (iNOS) Nitric Oxide Synthase,Inducible 合成酶-2(抗原)Multi-class antibodies规格: 0.5mg
三碘甲狀腺素T3抗体 Anti-T3 0.2ml
SSX8 滑膜肉X断点8抗体 0.1ml
Phospho-Estrogen Receptor alpha (Ser118) 磷酸化雌激素受体α抗体 0.1ml
Rhesus antibody Rh phospho-LRP5(Thr1492) 磷酸化低密度脂受体相关5抗体 规格 0.1ml
NOS-2 (iNOS) Nitric Oxide Synthase,Inducible 合成酶-2(抗原)Multi-class antibodies规格: 0.5mg
Akt/PKC(Protein Kinase C,PKC) 激酶C(多肽抗原) 0.5mg
MDA7/IL-24/IL-17F 白介素-17F抗体 0.2ml
Rhesus antibody Rh CHRNA2(neuronal) 型乙酰受体A2(神经型)抗体 规格 0.1ml
Anti-Brucella/HRP 辣根过氧化物酶标记抗布鲁氏菌抗体IgGMulti-class antibodies规格: 0.2ml
Rhesus antibody Rh TNFRSF4/OX40/CD134 CD134抗体 规格 0.1ml
Anti-IL6R Alpha /FITC 荧光素标记白介素6受体α抗体IgGMulti-class antibodies规格: 0.2ml
细胞周期蛋白依赖性激酶抑制剂2B抗体CLEC5A/Gold胶体金标记的C型凝集素结构域家族5成员A抗体
Jaw1/Gold胶体金标记的淋巴限制膜Jaw1抗体
SNTB2/Syntrophin-3/Gold胶体金标记的互养3抗体
Phospho-HER2 (Tyr877)/Gold胶体金标记的磷酸化HER2受体抗体
YAP1/Gold胶体金标记的原基因Yes相关1抗体
EDEM1/Gold胶体金标记的EDEM1抗体
GLEPP1/Gold胶体金标记的肾小球上皮1抗体
SLC6A18/Gold胶体金标记的溶质载体家族6成员18抗体
实验原理 :
(1)特异性结合抗原:抗体本身不能直接溶解或杀伤带有特异抗原的靶细胞,通常需要补体或吞噬细胞等共同发挥效应以清除病原微生物或导致病理损伤。然而,抗体可通过与病毒或毒素的特异性结合,直接发挥中和病毒的作用。
(2)活补体:IgM、IgG1、IgG2和IgG3可通过经典途径激活补体,凝聚的IgA、IgG4和IgE可通过替代途径激活补体。
(3)结合细胞:不同类别的免疫球蛋白,可结合不同种的细胞,参与免疫应答。
(4)可通过胎盘及粘膜:免疫球蛋白G(IgG)能通过胎盘进入胎儿血流中,使胎儿形成自然被动免疫。免疫球蛋白A(IgA)可通过消化道及呼吸道粘膜,是粘膜局部抗感染免疫的主要因素。
(5)具有抗原性:抗体分子是一种蛋白质,也具有刺机体产生免疫应答的性能。不同的免疫球蛋白分子,各具有不同的抗原性。
(6)抗体对理化因子的抵抗力与一般球蛋白相同:不耐热,60~70℃即被破坏。各种酶及能使蛋白质凝固变性的物质,均能破坏抗体的作用。抗体可被中性盐类沉淀。在上常可用硫酸铵或硫酸钠从免疫血清中沉淀出含有抗体的球蛋白,再经透析法将其纯化。
风险提示:丁香通仅作为第三方平台,为商家信息发布提供平台空间。用户咨询产品时请注意保护个人信息及财产安全,合理判断,谨慎选购商品,商家和用户对交易行为负责。对于医疗器械类产品,请先查证核实企业经营资质和医疗器械产品注册证情况。
技术资料暂无技术资料 索取技术资料
细胞周期蛋白依赖性激酶抑制剂2B抗体
¥1080 - 3200









