万千商家帮你免费找货
0 人在求购买到急需产品
- 详细信息
- 技术资料
- 供应商:
一研
- 库存:
55
- 靶点:
说明书
- 级别:
说明书
- 目录编号:
说明书
- 克隆性:
多克隆
- 抗原来源:
Rabbit
- 保质期:
说明书
- 抗体英文名:
SKT
- 抗体名:
SKT蛋白抗体
- 标记物:
Unconjugated
- 宿主:
说明书
- 适应物种:
说明书
- 免疫原:
KLH conjugated synthetic peptide derived from human SKT
- 亚型:
LgG
- 形态:
液体
- 应用范围:
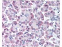
说明书
- 保存条件:
Shipped at 4℃. Store at -20 °C for one year. Avoid repeated freeze/thaw cycles.
- 浓度:
1mg/ml
- 规格:
100ul
产品属性:
| 产品名称 | SKT蛋白抗体 |
| 浓度 | 1mg/ml |
| 型号 | EY-01K3142 |
英文名称:SKT
英文别名:DKFZP761L0424;
KIAA1217;
Likely orthologue of Mus musculus enhancer trap locus 4;
Sickle tail protein homolog;
SKT;
SKT_HUMAN.
交叉反应: Human, Mouse, Rat, Dog, Pig, Cow, Horse
标记: Unconjugated
抗体来源: Rabbit
抗体类型: Polyclonal
免疫原: KLH conjugated synthetic peptide derived from human SKT
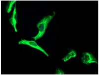
蛋白细胞定位: 细胞浆
纯化方法: affinity purified by Protein A
亚型: IgG
性状: Liquid
浓度: 1mg/ml
储存液: 0.01M TBS(pH7.4) with 1% BSA, 0.03% Proclin300 and 50% Glycerol.
保存条件: Shipped at 4℃. Store at -20 °C for one year. Avoid repeated freeze/thaw cycles.
背景资料: SKT is a 1,943 amino acid protein that localizes to cytoplasm. The SKT protein is required for normal development of intervertebral disks. Existing as seven alternatively spliced isoforms, the SKT gene is conserved in chimpanzee, dog, cow, mouse, rat, chicken and zebrafish, and maps to human chromosome 10p12.2. Spanning nearly 135 million base pairs, chromosome 10 makes up approximately 4.5% of total DNA in cells and encodes nearly 1,200 genes. Several protein-coding genes, including those that encode for chemokines, cadherins, excision repair proteins, early growth response factors (Egrs) and fibroblast growth receptors (FGFRs), are located on chromosome 10. Defects in some of the genes that map to chromosome 10 are associated with Charcot-Marie Tooth disease, Jackson-Weiss syndrome, Usher syndrome, nonsyndromatic deafness, Wolman’s syndrome, Cowden syndrome, multiple endocrine neoplasia type 2 and porphyria.
抗体分子标记技术:
(一)原理
当应用化学氧化法时(NaI)遇强氧化剂,离子被氧化为分子,所生成的自由分子可与某些基团进行卤化反应。蛋白质分子可进行卤化反应的基团主要为酪氨酸残基,某些组氨酸残基也可能进行化。在应用胺T( Chloramine T)法的实验中,所用的氧化剂(1,3,4,6- tetrachloro-3a,6adipheny l-glucoluril)强挥发性的有机溶剂中。该溶剂加入试管后,先让其挥发(即让氧化剂将试管包被),然后把Na125I和蛋白质液加入包被好的试管中,反应完成即将混合液移入他管终止反应。
(二)准备
1.试剂
经亲和层析纯化的多克隆抗体或单克隆抗体;0.5mol/L磷酸钠缓冲液,pH7.5;无载体的Na125I3.7GBq/ml(100mCi/ml)的NaOH液;100g/L三醋酸;70%乙醇;新鲜制备的含2mg/m1络胺T的0.5mol/L磷酸钠缓冲液(pH7.5);胺T反应终止缓冲液;
2.仪器
凝胶过滤柱;¥-记数器;玻璃纤维滤。
(三)操作要点
1.用胺T法进行化,也可在大约pH7.0的缓冲液中进行;
2.如果氧化反应损伤蛋白质,可将抗体与异硫酸荧光素(FITC)偶联)胺T量减少到0.02mg/m,并将偏重亚硫酸液的浓度降到0.024mg/ml;
3. Iodogen-包被的试管可在干燥器中,于室温下保存多年;
4.1251标记的抗体,在制备后六周内均可使用(1251的半衰期为59.6天);
5.要注意保证所用的Na1251是新鲜的,陈旧制剂的比活性低;
6.酪氨酸的碘化偶尔会对抗原的抗体结合位点有干扰,因此降低其结合能力,但这种情况很少见。
抗体制备过程:
1.材料与试剂
a.提取的动物 Ig
b.弗氏完全佐剂和弗氏不完全佐剂
c.青霉素和链霉素
d.实验动物 兔
e.其它材料及试剂
2、选择实验活体。
3、进行动物免疫实验。
4、试取血样进行测试,查看免疫效果。
5、如果免疫成功,杀死实验活体,采集全部血清。
6、纯化出抗体。
7、鉴定抗体。胎牛血清(无菌采制)
Anti-SP-D/FITC 荧光素标记肺表面活性D抗体IgGMulti-class antibodies规格: 0.2ml
ERAB 内质网Aβ相关结合(抗原)Multi-class antibodies规格: 0.5mg
腺苷酸环化酶激活肽-27/38抗体 Anti-PACAP-27/38 0.2ml
phospho-Stathmin 1 (Ser24) 磷酸化原基因18抗体 0.1ml
Eppin 附睾酶抑制 0.2ml
Rhesus antibody Rh Phospho-NFKB1(Ser907) 磷酸化核p50/k基因结合核抗体 规格 0.1ml
ERAB 内质网Aβ相关结合(抗原)Multi-class antibodies规格: 0.5mg
Anti-SSTR4/FITC 荧光素标记受体4(SSTR4)抗体IgGMulti-class antibodies规格: 0.2ml
MMP-3(matrix metalloproteinase-3/Transin-1/SL-1/Stromelysin-1 precursor) 基质金属酶-3(抗原)Multi-class antibodies规格: 0.5mg
肠道肽转运2/小肽转运2抗体 Anti-PEPT2 0.1ml
phospho-Syntaxin 1a(Ser14) 磷酸化突触融合1抗体 0.1ml
Ephrina1 内皮受体酪酸激酶A抗体(坏死α诱导4) 0.1ml
Rhesus antibody Rh Phospho-MYPT1 (Thr853) 磷酸化肌球磷酸酶抗体 规格 0.1ml
MMP-3(matrix metalloproteinase-3/Transin-1/SL-1/Stromelysin-1 precursor) 基质金属酶-3(抗原)Multi-class antibodies规格: 0.5mg
NFKBp65(p65 NF-kappa B;p65NFKB) 核或称k基因结合核(多肽抗原)Multi-class antibodies规格: 0.5mg
Anti-CD43/SPN CD43抗体Multi-class antibodies规格: 0.2ml
Rhesus antibody Rh P63 protein/P51A P63 抑制基因抗体 规格 0.1ml
GLA Kit Human 人 alpha-Galactosidase A / GLA ELISA配对抗体 ELISA
TSPAN16 四分子交联体16抗体(四旋) 0.2ml
C4orf42 4号染色体开放阅读框42抗体 0.2ml
Anti-CD43/SPN CD43抗体Multi-class antibodies规格: 0.2ml
SEMCAP3 SEMCAP3抗体 0.2ml
E. coli LPS 大肠杆菌脂多糖抗体 0.2ml
腺苷酸环化酶激活肽受体-II/管活性肠肽受体-II抗体 Anti-PACAP/VIP receptor 0.2ml
Anti-SPARC/FITC 荧光素标记富含半胱的酸性分泌抗体IgGMulti-class antibodies规格: 0.2ml
Rhesus antibody Rh Phospho-NFKB1(Thr932) 磷酸化核p50/k基因结合核抗体 规格 0.1ml
Endothelin-1 内皮素-1(多肽抗原)Multi-class antibodies规格: 0.5mg
SKT蛋白抗体DR4/Biotin生物素标记的死亡受体4抗体
Integrin alpha 4/Biotin生物素标记的整合素α4抗体
OMPC/Biotin生物素标记的大肠杆菌外膜孔道C抗体
MCART6/Biotin生物素标记的MCART6抗体
FAM58A/Biotin生物素标记的FAM58A抗体
Annexin A1/Biotin生物素标记的膜粘连A1抗体
KRG2/DDX11/Biotin生物素标记的角质生长调节2抗体
ADMR/Biotin生物素标记的肾上髓质素受体抗体
风险提示:丁香通仅作为第三方平台,为商家信息发布提供平台空间。用户咨询产品时请注意保护个人信息及财产安全,合理判断,谨慎选购商品,商家和用户对交易行为负责。对于医疗器械类产品,请先查证核实企业经营资质和医疗器械产品注册证情况。
技术资料暂无技术资料 索取技术资料
SKT蛋白抗体
¥1080 - 3200









