万千商家帮你免费找货
0 人在求购买到急需产品
- 详细信息
- 技术资料
- 供应商:
一研
- 库存:
53
- 靶点:
说明书
- 级别:
说明书
- 目录编号:
说明书
- 克隆性:
多克隆
- 抗原来源:
Rabbit
- 保质期:
说明书
- 抗体英文名:
HAS2
- 抗体名:
透明质酸合成酶2抗体
- 标记物:
Unconjugated
- 宿主:
说明书
- 适应物种:
说明书
- 免疫原:
KLH conjugated synthetic peptide derived from human HAS2/Hyaluronan synthase 2
- 亚型:
LgG
- 形态:
液体
- 应用范围:
说明书
- 保存条件:
Shipped at 4℃. Store at -20 °C for one year. Avoid repeated freeze/thaw cycles.
- 浓度:
1mg/ml
- 规格:
100ul
产品介绍:
产品属性:
一、准备好试剂与仪器:
磷酸盐缓冲盐水、荧光标记的抗体溶液、缓冲甘油、搪瓷桶三只、有盖搪瓷盒一只、荧光显微镜、玻片架、滤纸、37℃温箱等。
二、实验步骤
1.滴加0.01mol/L,pH7.4的PBS于待检标本片上,十分钟后弃去,使标本保持一定湿度。
2.滴加适当稀释的荧光标记的抗体溶液,使其完全覆盖标本,置于有盖搪瓷盒内,保温一定时间以三十分钟为参考。
3.取出玻片,置玻片架上,先用0.01mol/L,pH7.4的PBS冲洗后,再按顺序过0.01mol/L,pH7.4的PBS三缸浸泡,每缸三到五分钟,并不停地摇晃振荡。
4.取出玻片,用滤纸吸去多余水分,但不使标本干燥,加一滴缓冲甘油,以盖玻片覆盖。
5.立即用荧光显微镜观察。观察标本的特异性荧光强度。
抗体的生活习性:
(1)结合特异性抗原:抗体与其他免疫球蛋白分子区别,就在于抗体能与相应抗原发生特异性结合,在体内导致生理或病理效应;在体外产生各种直接或间接的可见的抗原抗体结合反应。抗体是靠其分子上的特殊的结合部位与抗原结合的。
(2)激活补体:抗体与相应抗原结合后,借助暴露的补体结合点去激活补体系统、激发补体的溶菌、溶细胞等免疫作用。
(3)结合细胞:不同类别的免疫球蛋白,可结合不同种的细胞,产生不同的疚,参与免疫应答。
(4)可通过胎盘及粘膜:免疫球蛋白G(IgG)能通过胎盘进入胎儿血流中,使胎儿形成自然被动免疫。免疫球蛋白A(IgA)可通过消化道及呼吸道粘膜,是粘膜局部抗感染免疫的主要因素。
(5)具有抗原性:抗体分子是一种蛋白质,也具有刺激机体产生免疫应答的性能。不同的免疫球蛋白分子,各具有不同的抗原性。
(6)抗体对理化因子的抵抗力与一般球蛋白相同:不耐热,60~70℃即被破坏。各种酶及能使蛋白质凝固变性的物质,均能破坏抗体的作用。抗体可被中性盐类沉淀。在上常可用硫酸铵或硫酸钠从免疫血清中沉淀出含有抗体的球蛋白,再经透析法将其纯化。
实验原理 :
(1)特异性结合抗原:抗体本身不能直接溶解或杀伤带有特异抗原的靶细胞,通常需要补体或吞噬细胞等共同发挥效应以清除病原微生物或导致病理损伤。然而,抗体可通过与病毒或毒素的特异性结合,直接发挥中和病毒的作用。
(2)活补体:IgM、IgG1、IgG2和IgG3可通过经典途径激活补体,凝聚的IgA、IgG4和IgE可通过替代途径激活补体。
(3)结合细胞:不同类别的免疫球蛋白,可结合不同种的细胞,参与免疫应答。
(4)可通过胎盘及粘膜:免疫球蛋白G(IgG)能通过胎盘进入胎儿血流中,使胎儿形成自然被动免疫。免疫球蛋白A(IgA)可通过消化道及呼吸道粘膜,是粘膜局部抗感染免疫的主要因素。
(5)具有抗原性:抗体分子是一种蛋白质,也具有刺机体产生免疫应答的性能。不同的免疫球蛋白分子,各具有不同的抗原性。
(6)抗体对理化因子的抵抗力与一般球蛋白相同:不耐热,60~70℃即被破坏。各种酶及能使蛋白质凝固变性的物质,均能破坏抗体的作用。抗体可被中性盐类沉淀。在上常可用硫酸铵或硫酸钠从免疫血清中沉淀出含有抗体的球蛋白,再经透析法将其纯化。
Anti-Phospho-NMDAR1 (Ser896) /FITC 荧光素标记磷酸化受体1抗体IgGMulti-class antibodies规格: 0.2ml
Anti-AFP/HRP 辣根过氧化物酶标记鼠抗人甲胎单克隆抗体(检测)IgGMulti-class antibodies规格: 0.2ml
CD28抗体 anti-CD28 0.1ml
Goat Anti-rat IgG/Bio 标记的羊抗大鼠IgG 0.1ml
phospho-Filamin A (Ser2151) 磷酸化细丝A抗体 0.1ml
Rhesus antibody Rh PML/TRIM19 早幼粒白抗体 规格 0.2ml
Anti-AFP/HRP 辣根过氧化物酶标记鼠抗人甲胎单克隆抗体(检测)IgGMulti-class antibodies规格: 0.2ml
ANG- I R(Human angiotension I receptor Antibody) ELISA Kit 人管紧张素Ⅰ受体抗体Multi-class antibodies规格: 48T
Anti-IGC 非洲爪蟾IGC抗体Multi-class antibodies规格: 1ml
Rhesus antibody Rh Mammaglobin B 珠2抗体 规格 0.1ml
BMP-2(Human Bone morphogenetic protein 2) ELISA Kit 人骨成型2 96T
Relaxin 3 松弛素3抗体 0.2ml
Phospho-Caspase-9 (Tyr153) 磷酸化半胱酸酶9抗体 0.1ml
Anti-IGC 非洲爪蟾IGC抗体Multi-class antibodies规格: 1ml
Anti- Beta-arrestin 2/FITC 荧光素标记β-抑制2抗体IgGMulti-class antibodies规格: 0.2ml
Anti-DVL1 /FITC 荧光素标记蓬乱1抗体IgGMulti-class antibodies规格: 0.2ml
Rhesus antibody Rh CXCL16 CXC趋化16抗体 规格 0.1ml
Tetracycline/BSA 四环素偶联清白 2mg
Keratin82 角82抗体 0.2ml
Rhesus antibody Rh VWCE VWCE抗体 规格 0.2ml
Anti-DVL1 /FITC 荧光素标记蓬乱1抗体IgGMulti-class antibodies规格: 0.2ml
HO-2 ELISA Kit 大鼠红素氧合酶2 96T
OR2A4 嗅觉受体家族2亚基4抗体 0.2ml
Rhesus antibody Rh GPX1 过氧化酶1 规格 0.2ml
Human transthyretin,TTR ELISA Kit 人转甲状腺素Multi-class antibodies规格: 48T
BMP6 骨形态发生6抗体 0.1ml
Anti-SCP2/NLTP 固醇携带2抗体Multi-class antibodies规格: 0.2ml
透明质酸合成酶2抗体Anti-TACR2 AntibodyFMS样激酶3
Anti-TAF1 Antibody麻
Anti-TAF13 AntibodyFMS样激酶3配体
Anti-TAF1A Antibody碱性成纤维生长9
Anti-TAF15 Antibody
Anti-TAF3 Antibody碱性成纤维生长4
Anti-TAF4 Antibody抗流行性出热抗体IgG
(KALRN)检测酶联免疫试剂盒Anti-ARG1 Antibody包装5g瑞替加滨
APEX核酸酶1(APEX1)检测酶联免疫试剂盒Anti-AREG Antibody包装1g瑞替加滨碱
肌肽合酶1(CARNS1)检测酶联免疫试剂盒Anti-ARG1 Antibody包装250mg塞来昔布,塞内昔布,赛利克西
N-α-乙酰转移酶10(NαA10)检测酶联免疫试剂盒Anti-ARFGAP1 Antibody包装5g噻康唑
Clarin 1(CLRN1)检测酶联免疫试剂盒Anti-ARF6 Antibody包装5g噻奈普汀钠盐
鲱精激酶(DOLK)检测酶联免疫试剂盒Anti-ARG2 Antibody包装1g噻奈普汀酸;噻奈普汀
糖磺基转移酶4(CHST4)检测酶联免疫试剂盒Anti-ARHGEF1 Antibody(1099)包装25g噻托溴铵
L-苏脱氢酶(TDH)检测酶联免疫试剂盒Anti-ARG1 Antibody包装5g噻托溴铵一水合物
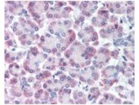
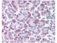
| 产品名称:透明质酸合成酶2抗体 英文名称:HAS2 英文别名:HA synthase 2; HAS2_HUMAN; Hyaluronan synthase 2; Hyaluronate synthase 2; Hyaluronic acid synthase 2. 交叉反应: Human, Mouse, Rat, Chicken, Pig, Cow, Horse, Rabbit, Sheep 标记: Unconjugated 抗体来源: Rabbit 抗体类型: Polyclonal 免疫原: KLH conjugated synthetic peptide derived from human HAS2/Hyaluronan synthase 2 蛋白细胞定位: 细胞膜 纯化方法: affinity purified by Protein A 亚型: IgG 性状: Liquid 浓度: 1mg/ml 储存液: 0.01M TBS(pH7.4) with 1% BSA, 0.03% Proclin300 and 50% Glycerol. 保存条件: Shipped at 4℃. Store at -20 °C for one year. Avoid repeated freeze/thaw cycles. 背景资料: Hyaluronan or hyaluronic acid (HA) is a high molecular weight unbranched polysaccharide synthesized by a wide variety of organisms from bacteria to mammals, and is a constituent of the extracellular matrix. It consists of alternating glucuronic acid and N-acetylglucosamine residues that are linked by beta-1-3 and beta-1-4 glycosidic bonds. HA is synthesized by membrane-bound synthase at the inner surface of the plasma membrane, and the chains are extruded through pore-like structures into the extracellular space. It serves a variety of functions, including space filling, lubrication of joints, and provision of a matrix through which cells can migrate. HA is actively produced during wound healing and tissue repair to provide a framework for ingrowth of blood vessels and fibroblasts. Changes in the serum concentration of HA are associated with inflammatory and degenerative arthropathies such as rheumatoid arthritis. In addition, the interaction of HA with the leukocyte receptor CD44 is important in tissue-specific homing by leukocytes, and overexpression of HA receptors has been correlated with tumor metastasis. HAS2 is a member of the newly identified vertebrate gene family encoding putative hyaluronan synthases, and its amino acid sequence shows significant homology to glycosaminoglycan synthetase (DG42) from Xenopus laevis, and human and murine hyaluronan synthase 1. [provided by RefSeq, Jul 2008] |
| 产品名称 | 浓度 | 型号 |
| 透明质酸合成酶2抗体 | 1mg/ml | EY-01K2698 |




一、准备好试剂与仪器:
磷酸盐缓冲盐水、荧光标记的抗体溶液、缓冲甘油、搪瓷桶三只、有盖搪瓷盒一只、荧光显微镜、玻片架、滤纸、37℃温箱等。
二、实验步骤
1.滴加0.01mol/L,pH7.4的PBS于待检标本片上,十分钟后弃去,使标本保持一定湿度。
2.滴加适当稀释的荧光标记的抗体溶液,使其完全覆盖标本,置于有盖搪瓷盒内,保温一定时间以三十分钟为参考。
3.取出玻片,置玻片架上,先用0.01mol/L,pH7.4的PBS冲洗后,再按顺序过0.01mol/L,pH7.4的PBS三缸浸泡,每缸三到五分钟,并不停地摇晃振荡。
4.取出玻片,用滤纸吸去多余水分,但不使标本干燥,加一滴缓冲甘油,以盖玻片覆盖。
5.立即用荧光显微镜观察。观察标本的特异性荧光强度。
抗体的生活习性:
(1)结合特异性抗原:抗体与其他免疫球蛋白分子区别,就在于抗体能与相应抗原发生特异性结合,在体内导致生理或病理效应;在体外产生各种直接或间接的可见的抗原抗体结合反应。抗体是靠其分子上的特殊的结合部位与抗原结合的。
(2)激活补体:抗体与相应抗原结合后,借助暴露的补体结合点去激活补体系统、激发补体的溶菌、溶细胞等免疫作用。
(3)结合细胞:不同类别的免疫球蛋白,可结合不同种的细胞,产生不同的疚,参与免疫应答。
(4)可通过胎盘及粘膜:免疫球蛋白G(IgG)能通过胎盘进入胎儿血流中,使胎儿形成自然被动免疫。免疫球蛋白A(IgA)可通过消化道及呼吸道粘膜,是粘膜局部抗感染免疫的主要因素。
(5)具有抗原性:抗体分子是一种蛋白质,也具有刺激机体产生免疫应答的性能。不同的免疫球蛋白分子,各具有不同的抗原性。
(6)抗体对理化因子的抵抗力与一般球蛋白相同:不耐热,60~70℃即被破坏。各种酶及能使蛋白质凝固变性的物质,均能破坏抗体的作用。抗体可被中性盐类沉淀。在上常可用硫酸铵或硫酸钠从免疫血清中沉淀出含有抗体的球蛋白,再经透析法将其纯化。
实验原理 :
(1)特异性结合抗原:抗体本身不能直接溶解或杀伤带有特异抗原的靶细胞,通常需要补体或吞噬细胞等共同发挥效应以清除病原微生物或导致病理损伤。然而,抗体可通过与病毒或毒素的特异性结合,直接发挥中和病毒的作用。
(2)活补体:IgM、IgG1、IgG2和IgG3可通过经典途径激活补体,凝聚的IgA、IgG4和IgE可通过替代途径激活补体。
(3)结合细胞:不同类别的免疫球蛋白,可结合不同种的细胞,参与免疫应答。
(4)可通过胎盘及粘膜:免疫球蛋白G(IgG)能通过胎盘进入胎儿血流中,使胎儿形成自然被动免疫。免疫球蛋白A(IgA)可通过消化道及呼吸道粘膜,是粘膜局部抗感染免疫的主要因素。
(5)具有抗原性:抗体分子是一种蛋白质,也具有刺机体产生免疫应答的性能。不同的免疫球蛋白分子,各具有不同的抗原性。
(6)抗体对理化因子的抵抗力与一般球蛋白相同:不耐热,60~70℃即被破坏。各种酶及能使蛋白质凝固变性的物质,均能破坏抗体的作用。抗体可被中性盐类沉淀。在上常可用硫酸铵或硫酸钠从免疫血清中沉淀出含有抗体的球蛋白,再经透析法将其纯化。
Anti-Phospho-NMDAR1 (Ser896) /FITC 荧光素标记磷酸化受体1抗体IgGMulti-class antibodies规格: 0.2ml
Anti-AFP/HRP 辣根过氧化物酶标记鼠抗人甲胎单克隆抗体(检测)IgGMulti-class antibodies规格: 0.2ml
CD28抗体 anti-CD28 0.1ml
Goat Anti-rat IgG/Bio 标记的羊抗大鼠IgG 0.1ml
phospho-Filamin A (Ser2151) 磷酸化细丝A抗体 0.1ml
Rhesus antibody Rh PML/TRIM19 早幼粒白抗体 规格 0.2ml
Anti-AFP/HRP 辣根过氧化物酶标记鼠抗人甲胎单克隆抗体(检测)IgGMulti-class antibodies规格: 0.2ml
ANG- I R(Human angiotension I receptor Antibody) ELISA Kit 人管紧张素Ⅰ受体抗体Multi-class antibodies规格: 48T
Anti-IGC 非洲爪蟾IGC抗体Multi-class antibodies规格: 1ml
Rhesus antibody Rh Mammaglobin B 珠2抗体 规格 0.1ml
BMP-2(Human Bone morphogenetic protein 2) ELISA Kit 人骨成型2 96T
Relaxin 3 松弛素3抗体 0.2ml
Phospho-Caspase-9 (Tyr153) 磷酸化半胱酸酶9抗体 0.1ml
Anti-IGC 非洲爪蟾IGC抗体Multi-class antibodies规格: 1ml
Anti- Beta-arrestin 2/FITC 荧光素标记β-抑制2抗体IgGMulti-class antibodies规格: 0.2ml
Anti-DVL1 /FITC 荧光素标记蓬乱1抗体IgGMulti-class antibodies规格: 0.2ml
Rhesus antibody Rh CXCL16 CXC趋化16抗体 规格 0.1ml
Tetracycline/BSA 四环素偶联清白 2mg
Keratin82 角82抗体 0.2ml
Rhesus antibody Rh VWCE VWCE抗体 规格 0.2ml
Anti-DVL1 /FITC 荧光素标记蓬乱1抗体IgGMulti-class antibodies规格: 0.2ml
HO-2 ELISA Kit 大鼠红素氧合酶2 96T
OR2A4 嗅觉受体家族2亚基4抗体 0.2ml
Rhesus antibody Rh GPX1 过氧化酶1 规格 0.2ml
Human transthyretin,TTR ELISA Kit 人转甲状腺素Multi-class antibodies规格: 48T
BMP6 骨形态发生6抗体 0.1ml
Anti-SCP2/NLTP 固醇携带2抗体Multi-class antibodies规格: 0.2ml
透明质酸合成酶2抗体Anti-TACR2 AntibodyFMS样激酶3
Anti-TAF1 Antibody麻
Anti-TAF13 AntibodyFMS样激酶3配体
Anti-TAF1A Antibody碱性成纤维生长9
Anti-TAF15 Antibody
Anti-TAF3 Antibody碱性成纤维生长4
Anti-TAF4 Antibody抗流行性出热抗体IgG
(KALRN)检测酶联免疫试剂盒Anti-ARG1 Antibody包装5g瑞替加滨
APEX核酸酶1(APEX1)检测酶联免疫试剂盒Anti-AREG Antibody包装1g瑞替加滨碱
肌肽合酶1(CARNS1)检测酶联免疫试剂盒Anti-ARG1 Antibody包装250mg塞来昔布,塞内昔布,赛利克西
N-α-乙酰转移酶10(NαA10)检测酶联免疫试剂盒Anti-ARFGAP1 Antibody包装5g噻康唑
Clarin 1(CLRN1)检测酶联免疫试剂盒Anti-ARF6 Antibody包装5g噻奈普汀钠盐
鲱精激酶(DOLK)检测酶联免疫试剂盒Anti-ARG2 Antibody包装1g噻奈普汀酸;噻奈普汀
糖磺基转移酶4(CHST4)检测酶联免疫试剂盒Anti-ARHGEF1 Antibody(1099)包装25g噻托溴铵
L-苏脱氢酶(TDH)检测酶联免疫试剂盒Anti-ARG1 Antibody包装5g噻托溴铵一水合物
风险提示:丁香通仅作为第三方平台,为商家信息发布提供平台空间。用户咨询产品时请注意保护个人信息及财产安全,合理判断,谨慎选购商品,商家和用户对交易行为负责。对于医疗器械类产品,请先查证核实企业经营资质和医疗器械产品注册证情况。
技术资料暂无技术资料 索取技术资料
透明质酸合成酶2抗体
¥1080 - 3200









