万千商家帮你免费找货
0 人在求购买到急需产品
- 详细信息
- 技术资料
- 供应商:
一研
- 库存:
34
- 靶点:
说明书
- 级别:
说明书
- 目录编号:
说明书
- 克隆性:
多克隆
- 抗原来源:
Rabbit
- 保质期:
说明书
- 抗体英文名:
SLC7A9
- 抗体名:
离子转运相关蛋白SLC7A9抗体
- 标记物:
Unconjugated
- 宿主:
说明书
- 适应物种:
说明书
- 免疫原:
KLH conjugated synthetic peptide derived from human SLC7A9
- 亚型:
LgG
- 形态:
液体
- 应用范围:
说明书
- 保存条件:
Shipped at 4℃. Store at -20 °C for one year. Avoid repeated freeze/thaw cycles.
- 浓度:
1mg/ml
- 规格:
100ul
产品属性:
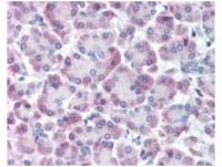
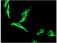
产品名称:离子转运相关蛋白SLC7A9抗体
英文名称:SLC7A9
英文别名:B(0+) type amino acid transporter 1; BAT1; CSNU3; Glycoprotein associated amino acid transporter b0+AT1; Solute carrier family 7 (cationic amino acid transporter y+ system) member 9; BAT1_HUMAN; B(0,+)-type amino acid transporter 1; B(0,+)AT; Glycoprotein-associated amino acid transporter b0,+AT1; Solute carrier family 7 member 9.
交叉反应: Human, Mouse, Rat, Dog, Pig, Rabbit
标记: Unconjugated
抗体来源: Rabbit
抗体类型: Polyclonal
免疫原: KLH conjugated synthetic peptide derived from human SLC7A9
蛋白细胞定位: 细胞膜
纯化方法: affinity purified by Protein A
亚型: IgG
性状: Liquid
浓度: 1mg/ml
储存液: 0.01M TBS(pH7.4) with 1% BSA, 0.03% Proclin300 and 50% Glycerol.
保存条件: Shipped at 4℃. Store at -20 °C for one year. Avoid repeated freeze/thaw cycles.
背景资料: SLC7A9 belongs to the amino acid-polyamine-organocation (APC) superfamily. It is a disulfide linked heterodimer with the amino acid transport protein SLC3A1. SLC7A9 is involved in the high affinity, sodium independent transport of cystine and neutral and dibasic amino acids (system b(0,+)-like activity). Thought to be responsible for the high affinity reabsorption of cystine in the kidney tubule. Defects in SLC7A9 are a cause of non type I cystinuria (CSNU). CSNU arises from impaired transport of cystine and dibasic amino acids through the epithelial cells of the renal tubule and gastrointestinal tract. Three types of cystinuria have been described: type I (fully recessive or silent); type II (high excretor); type III (moderate excretor). Defects in SLC7A9 are associated with type II and type III cystinuria. They also might account for some non classic type I cystinuria cases.
抗体制备过程:
1.材料与试剂
a.提取的动物 Ig
b.弗氏完全佐剂和弗氏不完全佐剂
c.青霉素和链霉素
d.实验动物 兔
e.其它材料及试剂
2、选择实验活体。
3、进行动物免疫实验。
4、试取血样进行测试,查看免疫效果。
5、如果免疫成功,杀死实验活体,采集全部血清。
6、纯化出抗体。
7、鉴定抗体。胎牛血清(无菌采制)
抗体分子标记技术:
(一)原理
当应用化学氧化法时(NaI)遇强氧化剂,离子被氧化为分子,所生成的自由分子可与某些基团进行卤化反应。蛋白质分子可进行卤化反应的基团主要为酪氨酸残基,某些组氨酸残基也可能进行化。在应用胺T( Chloramine T)法的实验中,所用的氧化剂(1,3,4,6- tetrachloro-3a,6adipheny l-glucoluril)强挥发性的有机溶剂中。该溶剂加入试管后,先让其挥发(即让氧化剂将试管包被),然后把Na125I和蛋白质液加入包被好的试管中,反应完成即将混合液移入他管终止反应。
(二)准备
1.试剂
经亲和层析纯化的多克隆抗体或单克隆抗体;0.5mol/L磷酸钠缓冲液,pH7.5;无载体的Na125I3.7GBq/ml(100mCi/ml)的NaOH液;100g/L三醋酸;70%乙醇;新鲜制备的含2mg/m1络胺T的0.5mol/L磷酸钠缓冲液(pH7.5);胺T反应终止缓冲液;
2.仪器
凝胶过滤柱;¥-记数器;玻璃纤维滤。
(三)操作要点
1.用胺T法进行化,也可在大约pH7.0的缓冲液中进行;
2.如果氧化反应损伤蛋白质,可将抗体与异硫酸荧光素(FITC)偶联)胺T量减少到0.02mg/m,并将偏重亚硫酸液的浓度降到0.024mg/ml;
3. Iodogen-包被的试管可在干燥器中,于室温下保存多年;
4.1251标记的抗体,在制备后六周内均可使用(1251的半衰期为59.6天);
5.要注意保证所用的Na1251是新鲜的,陈旧制剂的比活性低;
6.酪氨酸的碘化偶尔会对抗原的抗体结合位点有干扰,因此降低其结合能力,但这种情况很少见。
Anti-ICAD/FITC 荧光素标记Caspase 激活的脱氧核糖核酸酶抑制剂抗体IgGMulti-class antibodies规格: 0.2ml
Anti-Phospho-PRAS40 (Thr246)/FITC 荧光素标记磷酸化激酶AKT底物1抗体IgGMulti-class antibodies规格: 0.2ml
Rhesus antibody Rh ARTS1 脂肪源性亮氨基肽酶抗体(管内皮生长诱导) 规格 0.2ml
Donkey Anti-rabbit IgG/Cy7 Cy7标记的驴抗兔IgG 0.1ml
Gcn1l1 广泛控制基酸合成1样1抗体 0.2ml
Rhesus antibody Rh Rabbit anti-Monkey IgM whole serum 兔抗猴IgM抗清 规格 1ml
Anti-Phospho-PRAS40 (Thr246)/FITC 荧光素标记磷酸化激酶AKT底物1抗体IgGMulti-class antibodies规格: 0.2ml
Anti-mucin-3/Muc-3 /FITC 荧光素标记粘-3抗体IgGMulti-class antibodies规格: 0.2ml
Anti-UMOD/FITC 荧光素标记UMOD抗体IgGMulti-class antibodies规格: 0.2ml
管紧张素转换酶抗体 Anti-ACE1 0.1ml
Mouse Anti-rabbit IgG/PE-Cy3 PE-Cy3标记的小鼠抗兔IgG 0.1ml
GRK5 G偶联受体激酶5抗体 0.2ml
Rhesus antibody Rh PRS3/PRE7 酶体复合物C5抗体 规格 0.1ml
Anti-UMOD/FITC 荧光素标记UMOD抗体IgGMulti-class antibodies规格: 0.2ml
AT2R-Ab(Human Angiotensin II Receptor 2 antibody) ELISA Kit 人管紧张素Ⅱ受体2抗体Multi-class antibodies规格: 48T
Anti-IFNGR1/CD119 干扰素-gamma受体1抗体Multi-class antibodies规格: 0.2ml
Rhesus antibody Rh MAOA 单氨氧化酶A抗体 规格 0.1ml
MASP(Human mannan binding lectin associated serine protease) ELISA Kit 人甘露聚糖结合凝集素相关丝酸酶 96T
RPE65 视网膜色素上皮特异性65抗体 0.2ml
Phospho-Beta Catenin (Ser45) 磷酸化β 连环素抗体 0.1ml
Anti-IFNGR1/CD119 干扰素-gamma受体1抗体Multi-class antibodies规格: 0.2ml
Mouse Anti-Bov IgG/Bio 标记的小鼠抗IgG 0.1ml
GPR18 G偶联受体18抗体 0.2ml
Rhesus antibody Rh ABC2/C17orf71 增强2抗体 规格 0.2ml
Anti-MMP-3/FITC 荧光素标记基质金属酶-3抗体IgGMulti-class antibodies规格: 0.2ml
Rhesus antibody Rh R Cadherin R Cadherin/CDH4 规格 0.2ml
Anti-TRPM2 /FITC 荧光素标记瞬时受体电位离子通道抗体(M亚家族)IgGMulti-class antibodies规格: 0.2ml
离子转运相关蛋白SLC7A9抗体Anti-RBAK AntibodyⅠ型前胶原羧基端肽
Anti-RBM6 Antibody透明质酸
Anti-RBM34 Antibodyβ内啡肽
Anti-RBM26 Antibody抗心磷脂抗体IgA
Anti-RBM5 Antibody抗心磷脂抗体IgM
Anti-RBMS3 Antibody生长抑素
Anti-RBP5 AntibodyⅣ型胶原
动力激活5(DCTN5)检测酶联免疫试剂盒Human MYD88(Myeloid differentiation primary response protein MyD88) ELISA Kit包装1g鹰嘴豆芽素A(标准品)
动力激活6(DCTN6)检测酶联免疫试剂盒Human KLK10/NES1(Kallikrein-10) ELISA Kit包装5g硬飞燕草碱(标准品)
网状4受体(RTN4R)检测酶联免疫试剂盒Human NGF/NGFβ(Beta-nerve growth factor) ELISA Kit包装25g油菜花粉(标准品)
网状2(RTN2)检测酶联免疫试剂盒Human NID-1(Nidogen-1/Entactin) ELISA Kit包装5g柚皮苷(标准品)
网状3(RTN3)检测酶联免疫试剂盒Human MFGE8(Lactadherin) ELISA Kit包装250mg柚皮苷二氢查尔酮
网状4(RTN4)检测酶联免疫试剂盒Human MMP-9(Matrix Metalloproteinase 9) ELISA Kit包装100ml柚皮苷二氢查尔酮(标准品)
神经肽B(N)检测酶联免疫试剂盒Human MYD88(Myeloid differentiation primary response protein MyD88) ELISA Kit包装25ml柚皮素(标准品)
生长抑素受体2(SSTR2)检测酶联免疫试剂盒Human Mer/MERTK(Tyrosine-protein kinase Mer) ELISA Kit包装500ml右旋蛇菰宁
| 产品名称 | 离子转运相关蛋白SLC7A9抗体 |
| 浓度 | 1mg/ml |
| 型号 | EY-01K1699 |
英文名称:SLC7A9
英文别名:B(0+) type amino acid transporter 1; BAT1; CSNU3; Glycoprotein associated amino acid transporter b0+AT1; Solute carrier family 7 (cationic amino acid transporter y+ system) member 9; BAT1_HUMAN; B(0,+)-type amino acid transporter 1; B(0,+)AT; Glycoprotein-associated amino acid transporter b0,+AT1; Solute carrier family 7 member 9.
交叉反应: Human, Mouse, Rat, Dog, Pig, Rabbit
标记: Unconjugated
抗体来源: Rabbit
抗体类型: Polyclonal
免疫原: KLH conjugated synthetic peptide derived from human SLC7A9
蛋白细胞定位: 细胞膜
纯化方法: affinity purified by Protein A
亚型: IgG
性状: Liquid
浓度: 1mg/ml
储存液: 0.01M TBS(pH7.4) with 1% BSA, 0.03% Proclin300 and 50% Glycerol.
保存条件: Shipped at 4℃. Store at -20 °C for one year. Avoid repeated freeze/thaw cycles.
背景资料: SLC7A9 belongs to the amino acid-polyamine-organocation (APC) superfamily. It is a disulfide linked heterodimer with the amino acid transport protein SLC3A1. SLC7A9 is involved in the high affinity, sodium independent transport of cystine and neutral and dibasic amino acids (system b(0,+)-like activity). Thought to be responsible for the high affinity reabsorption of cystine in the kidney tubule. Defects in SLC7A9 are a cause of non type I cystinuria (CSNU). CSNU arises from impaired transport of cystine and dibasic amino acids through the epithelial cells of the renal tubule and gastrointestinal tract. Three types of cystinuria have been described: type I (fully recessive or silent); type II (high excretor); type III (moderate excretor). Defects in SLC7A9 are associated with type II and type III cystinuria. They also might account for some non classic type I cystinuria cases.
抗体制备过程:
1.材料与试剂
a.提取的动物 Ig
b.弗氏完全佐剂和弗氏不完全佐剂
c.青霉素和链霉素
d.实验动物 兔
e.其它材料及试剂
2、选择实验活体。
3、进行动物免疫实验。
4、试取血样进行测试,查看免疫效果。
5、如果免疫成功,杀死实验活体,采集全部血清。
6、纯化出抗体。
7、鉴定抗体。胎牛血清(无菌采制)
抗体分子标记技术:
(一)原理
当应用化学氧化法时(NaI)遇强氧化剂,离子被氧化为分子,所生成的自由分子可与某些基团进行卤化反应。蛋白质分子可进行卤化反应的基团主要为酪氨酸残基,某些组氨酸残基也可能进行化。在应用胺T( Chloramine T)法的实验中,所用的氧化剂(1,3,4,6- tetrachloro-3a,6adipheny l-glucoluril)强挥发性的有机溶剂中。该溶剂加入试管后,先让其挥发(即让氧化剂将试管包被),然后把Na125I和蛋白质液加入包被好的试管中,反应完成即将混合液移入他管终止反应。
(二)准备
1.试剂
经亲和层析纯化的多克隆抗体或单克隆抗体;0.5mol/L磷酸钠缓冲液,pH7.5;无载体的Na125I3.7GBq/ml(100mCi/ml)的NaOH液;100g/L三醋酸;70%乙醇;新鲜制备的含2mg/m1络胺T的0.5mol/L磷酸钠缓冲液(pH7.5);胺T反应终止缓冲液;
2.仪器
凝胶过滤柱;¥-记数器;玻璃纤维滤。
(三)操作要点
1.用胺T法进行化,也可在大约pH7.0的缓冲液中进行;
2.如果氧化反应损伤蛋白质,可将抗体与异硫酸荧光素(FITC)偶联)胺T量减少到0.02mg/m,并将偏重亚硫酸液的浓度降到0.024mg/ml;
3. Iodogen-包被的试管可在干燥器中,于室温下保存多年;
4.1251标记的抗体,在制备后六周内均可使用(1251的半衰期为59.6天);
5.要注意保证所用的Na1251是新鲜的,陈旧制剂的比活性低;
6.酪氨酸的碘化偶尔会对抗原的抗体结合位点有干扰,因此降低其结合能力,但这种情况很少见。
Anti-ICAD/FITC 荧光素标记Caspase 激活的脱氧核糖核酸酶抑制剂抗体IgGMulti-class antibodies规格: 0.2ml
Anti-Phospho-PRAS40 (Thr246)/FITC 荧光素标记磷酸化激酶AKT底物1抗体IgGMulti-class antibodies规格: 0.2ml
Rhesus antibody Rh ARTS1 脂肪源性亮氨基肽酶抗体(管内皮生长诱导) 规格 0.2ml
Donkey Anti-rabbit IgG/Cy7 Cy7标记的驴抗兔IgG 0.1ml
Gcn1l1 广泛控制基酸合成1样1抗体 0.2ml
Rhesus antibody Rh Rabbit anti-Monkey IgM whole serum 兔抗猴IgM抗清 规格 1ml
Anti-Phospho-PRAS40 (Thr246)/FITC 荧光素标记磷酸化激酶AKT底物1抗体IgGMulti-class antibodies规格: 0.2ml
Anti-mucin-3/Muc-3 /FITC 荧光素标记粘-3抗体IgGMulti-class antibodies规格: 0.2ml
Anti-UMOD/FITC 荧光素标记UMOD抗体IgGMulti-class antibodies规格: 0.2ml
管紧张素转换酶抗体 Anti-ACE1 0.1ml
Mouse Anti-rabbit IgG/PE-Cy3 PE-Cy3标记的小鼠抗兔IgG 0.1ml
GRK5 G偶联受体激酶5抗体 0.2ml
Rhesus antibody Rh PRS3/PRE7 酶体复合物C5抗体 规格 0.1ml
Anti-UMOD/FITC 荧光素标记UMOD抗体IgGMulti-class antibodies规格: 0.2ml
AT2R-Ab(Human Angiotensin II Receptor 2 antibody) ELISA Kit 人管紧张素Ⅱ受体2抗体Multi-class antibodies规格: 48T
Anti-IFNGR1/CD119 干扰素-gamma受体1抗体Multi-class antibodies规格: 0.2ml
Rhesus antibody Rh MAOA 单氨氧化酶A抗体 规格 0.1ml
MASP(Human mannan binding lectin associated serine protease) ELISA Kit 人甘露聚糖结合凝集素相关丝酸酶 96T
RPE65 视网膜色素上皮特异性65抗体 0.2ml
Phospho-Beta Catenin (Ser45) 磷酸化β 连环素抗体 0.1ml
Anti-IFNGR1/CD119 干扰素-gamma受体1抗体Multi-class antibodies规格: 0.2ml
Mouse Anti-Bov IgG/Bio 标记的小鼠抗IgG 0.1ml
GPR18 G偶联受体18抗体 0.2ml
Rhesus antibody Rh ABC2/C17orf71 增强2抗体 规格 0.2ml
Anti-MMP-3/FITC 荧光素标记基质金属酶-3抗体IgGMulti-class antibodies规格: 0.2ml
Rhesus antibody Rh R Cadherin R Cadherin/CDH4 规格 0.2ml
Anti-TRPM2 /FITC 荧光素标记瞬时受体电位离子通道抗体(M亚家族)IgGMulti-class antibodies规格: 0.2ml
离子转运相关蛋白SLC7A9抗体Anti-RBAK AntibodyⅠ型前胶原羧基端肽
Anti-RBM6 Antibody透明质酸
Anti-RBM34 Antibodyβ内啡肽
Anti-RBM26 Antibody抗心磷脂抗体IgA
Anti-RBM5 Antibody抗心磷脂抗体IgM
Anti-RBMS3 Antibody生长抑素
Anti-RBP5 AntibodyⅣ型胶原
动力激活5(DCTN5)检测酶联免疫试剂盒Human MYD88(Myeloid differentiation primary response protein MyD88) ELISA Kit包装1g鹰嘴豆芽素A(标准品)
动力激活6(DCTN6)检测酶联免疫试剂盒Human KLK10/NES1(Kallikrein-10) ELISA Kit包装5g硬飞燕草碱(标准品)
网状4受体(RTN4R)检测酶联免疫试剂盒Human NGF/NGFβ(Beta-nerve growth factor) ELISA Kit包装25g油菜花粉(标准品)
网状2(RTN2)检测酶联免疫试剂盒Human NID-1(Nidogen-1/Entactin) ELISA Kit包装5g柚皮苷(标准品)
网状3(RTN3)检测酶联免疫试剂盒Human MFGE8(Lactadherin) ELISA Kit包装250mg柚皮苷二氢查尔酮
网状4(RTN4)检测酶联免疫试剂盒Human MMP-9(Matrix Metalloproteinase 9) ELISA Kit包装100ml柚皮苷二氢查尔酮(标准品)
神经肽B(N)检测酶联免疫试剂盒Human MYD88(Myeloid differentiation primary response protein MyD88) ELISA Kit包装25ml柚皮素(标准品)
生长抑素受体2(SSTR2)检测酶联免疫试剂盒Human Mer/MERTK(Tyrosine-protein kinase Mer) ELISA Kit包装500ml右旋蛇菰宁
风险提示:丁香通仅作为第三方平台,为商家信息发布提供平台空间。用户咨询产品时请注意保护个人信息及财产安全,合理判断,谨慎选购商品,商家和用户对交易行为负责。对于医疗器械类产品,请先查证核实企业经营资质和医疗器械产品注册证情况。
技术资料暂无技术资料 索取技术资料
离子转运相关蛋白SLC7A9抗体
¥1080 - 3200









