万千商家帮你免费找货
0 人在求购买到急需产品
- 详细信息
- 技术资料
- 供应商:
一研
- 库存:
26
- 靶点:
说明书
- 级别:
说明书
- 目录编号:
说明书
- 克隆性:
多克隆
- 抗原来源:
Rabbit
- 保质期:
说明书
- 抗体英文名:
INPP5B
- 抗体名:
聚磷酸肌醇磷酸酶5B抗体
- 标记物:
Unconjugated
- 宿主:
说明书
- 适应物种:
说明书
- 免疫原:
KLH conjugated synthetic peptide derived from human INPP5B
- 亚型:
LgG
- 形态:
液体
- 应用范围:
说明书
- 保存条件:
Shipped at 4℃. Store at -20 °C for one year. Avoid repeated freeze/thaw cycles.
- 浓度:
1mg/ml
- 规格:
100ul
抗体制备过程:
1.材料与试剂
a.提取的动物 Ig
b.弗氏完全佐剂和弗氏不完全佐剂
c.青霉素和链霉素
d.实验动物 兔
e.其它材料及试剂
2、选择实验活体。
3、进行动物免疫实验。
4、试取血样进行测试,查看免疫效果。
5、如果免疫成功,杀死实验活体,采集全部血清。
6、纯化出抗体。
7、鉴定抗体。胎牛血清(无菌采制)
产品属性:
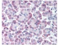
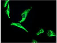
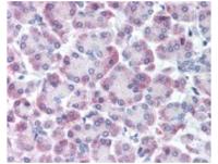
产品名称:聚磷酸肌醇磷酸酶5B抗体
英文名称:INPP5B
英文别名:5-trisphosphate 5-phosphatase;
5PTase;
75 kDa inositol polyphosphate 5 phosphatase;
75 kDa inositol polyphosphate-5-phosphatase;
75kDa;
EC 3.1.3.36;
I5P2_HUMAN;
Inositol polyphosphate 5-phosphatase II;
Inositol polyphosphate-5-phosphatase B;
Inositol polyphosphate-5-phosphatase, 75kDa;
INPP5B;
Inpp5b protein;
INPP5P;
MGC65156;
MGC71303;
OTTHUMP00000004726;
OTTHUMP00000004727;
OTTHUMP00000004728;
Phosphoinositide 5 phosphatase;
Phosphoinositide 5-phosphatase;
Type II inositol 1,4,5 trisphosphate 5 phosphatase;
Type II inositol-1.
交叉反应: Human, Mouse, Rat, Pig, Cow, Horse, Rabbit
标记: Unconjugated
抗体来源: Rabbit
抗体类型: Polyclonal
免疫原: KLH conjugated synthetic peptide derived from human INPP5B
蛋白细胞定位: 细胞浆
纯化方法: affinity purified by Protein A
亚型: IgG
性状: Liquid
浓度: 1mg/ml
储存液: 0.01M TBS(pH7.4) with 1% BSA, 0.03% Proclin300 and 50% Glycerol.
保存条件: Shipped at 4℃. Store at -20 °C for one year. Avoid repeated freeze/thaw cycles.
背景资料: Cellular calcium signaling is controlled by the production of inositol phosphates (IPs) by phospholipase C in response to extracellular signals. The IP signaling molecules are inactivated by a family of inositol polyphosphate-5-phosphatases (5-phosphatases). This gene encodes the type II 5-phosphatase. The protein is localized to the cytosol and mitochondria, and associates with membranes through an isoprenyl modification near the C-terminus. Several alternatively spliced transcript variants of this gene have been described, but the full-length nature of some of these variants has not been determined. [provided by RefSeq, Jul 2008]
Anti-HO-1/HSP32/FITC 荧光素标记红素氧合酶-1/热休克-32抗体IgGMulti-class antibodies规格: 0.2ml
Anti-phospho-c-Raf (Ser296) /FITC 荧光素标记磷酸化原基因c-Raf抗体IgGMulti-class antibodies规格: 0.2ml
Rhesus antibody Rh ATF1 活化转录1抗体 规格 0.1ml
Mouse Anti-human IgG(3D3)/PE-Cy7 PE-Cy7标记的鼠抗人IgG单克隆抗体 0.1ml
GOT2 谷草转酶2抗体 0.1ml
Rhesus antibody Rh Rabbit Anti-mouse IgG-Fc/Cy7 Cy7标记的兔抗小鼠IgG-Fc 规格 0.1ml
Anti-phospho-c-Raf (Ser296) /FITC 荧光素标记磷酸化原基因c-Raf抗体IgGMulti-class antibodies规格: 0.2ml
PGR ELISA Kit 大鼠孕酮受体Multi-class antibodies规格: 48T
Anti-TANK TANK抗体Multi-class antibodies规格: 0.1ml
Rhesus antibody Rh Goat Anti-Chicken IgG/Gold 胶体金标记的羊抗鸡IgG 规格 0.5ml
Human CA724 ELISA Kit 人标志物 96T
NARF 核纤层A识别抗体 0.2ml
BMP10 骨形态发生10抗体 0.2ml
Anti-TANK TANK抗体Multi-class antibodies规格: 0.1ml
gp210(Human Anti-glucoprotein 210) ELISA Kit 人抗核膜糖210抗体Multi-class antibodies规格: 48T
Anti-IL-12RB1/CD212 白介素-12受体β1抗体Multi-class antibodies规格: 0.2ml
Rhesus antibody Rh MAD1 Mad1抗体 规格 0.1ml
GFAP(Human glial fibrillary acidic protein) ELISA Kit 人神经胶质纤维酸性 96T
Rad23 DNA修复Rad23抗体 0.2ml
COPS8 信号转导亚基8抗体 0.1ml
Anti-IL-12RB1/CD212 白介素-12受体β1抗体Multi-class antibodies规格: 0.2ml
Rabbit Anti-MK IgM/Alexa Fluor 488 Alexa Fluor 488标记的兔抗猴IgM 0.1ml
Glucagon 胰高糖素抗体 0.1ml
Rhesus antibody Rh ANKRD17 锚重复结构域17抗体 规格 0.2ml
Anti-Integrin Beta5/FITC 荧光素标记整合素β5抗体IgGMulti-class antibodies规格: 0.2ml
Rhesus antibody Rh Rabbit Anti-human IgG F(ab')2/Alexa Fluor 647 Alexa Fluor 647标记的兔抗人IgG F(ab')2 规格 0.1ml
Anti-SARS S-protein/FITC 荧光素标记毒表面S抗体IgGMulti-class antibodies规格: 0.2ml
聚磷酸肌醇磷酸酶5B抗体Derlin 3(DERL3)检测酶联免疫试剂盒Human PRR13 ELISA Kit包装5g防己诺林碱(标准品)
白喉素合酶(DPH5)检测酶联免疫试剂盒Human C13orf33(Uncharacterized protein C13orf33) ELISA Kit包装1g防已(标准品)
DR1关联1(DRAP1)检测酶联免疫试剂盒Human PRUNE ELISA Kit包装5g飞龙掌根皮(标准品)
乙基二酸脑基因1(ETHE1)检测酶联免疫试剂盒Human PRPF8 ELISA Kit包装25g飞扬草(标准品)
延长4(ELP4)检测酶联免疫试剂盒Human PRPH2 ELISA Kit包装100mg非洲防己碱(标准品)
延长3(ELP3)检测酶联免疫试剂盒Human PRMT6 ELISA Kit包装1g榧子(标准品)
Myoferlin(MYOF)检测酶联免疫试剂盒Human PRMT8 ELISA Kit包装500mg粉萆薢(标准品)
Kindlin 2(KIND2)检测酶联免疫试剂盒Human PAEP(Glycodelin) ELISA Kit包装5g粉防己碱;汉防己甲素(标准品)
抗体分子标记技术:
(一)原理
当应用化学氧化法时(NaI)遇强氧化剂,离子被氧化为分子,所生成的自由分子可与某些基团进行卤化反应。蛋白质分子可进行卤化反应的基团主要为酪氨酸残基,某些组氨酸残基也可能进行化。在应用胺T( Chloramine T)法的实验中,所用的氧化剂(1,3,4,6- tetrachloro-3a,6adipheny l-glucoluril)强挥发性的有机溶剂中。该溶剂加入试管后,先让其挥发(即让氧化剂将试管包被),然后把Na125I和蛋白质液加入包被好的试管中,反应完成即将混合液移入他管终止反应。
(二)准备
1.试剂
经亲和层析纯化的多克隆抗体或单克隆抗体;0.5mol/L磷酸钠缓冲液,pH7.5;无载体的Na125I3.7GBq/ml(100mCi/ml)的NaOH液;100g/L三醋酸;70%乙醇;新鲜制备的含2mg/m1络胺T的0.5mol/L磷酸钠缓冲液(pH7.5);胺T反应终止缓冲液;
2.仪器
凝胶过滤柱;¥-记数器;玻璃纤维滤。
(三)操作要点
1.用胺T法进行化,也可在大约pH7.0的缓冲液中进行;
2.如果氧化反应损伤蛋白质,可将抗体与异硫酸荧光素(FITC)偶联)胺T量减少到0.02mg/m,并将偏重亚硫酸液的浓度降到0.024mg/ml;
3. Iodogen-包被的试管可在干燥器中,于室温下保存多年;
4.1251标记的抗体,在制备后六周内均可使用(1251的半衰期为59.6天);
5.要注意保证所用的Na1251是新鲜的,陈旧制剂的比活性低;
6.酪氨酸的碘化偶尔会对抗原的抗体结合位点有干扰,因此降低其结合能力,但这种情况很少见。
1.材料与试剂
a.提取的动物 Ig
b.弗氏完全佐剂和弗氏不完全佐剂
c.青霉素和链霉素
d.实验动物 兔
e.其它材料及试剂
2、选择实验活体。
3、进行动物免疫实验。
4、试取血样进行测试,查看免疫效果。
5、如果免疫成功,杀死实验活体,采集全部血清。
6、纯化出抗体。
7、鉴定抗体。胎牛血清(无菌采制)
产品属性:
| 产品名称 | 聚磷酸肌醇磷酸酶5B抗体 |
| 浓度 | 1mg/ml |
| 型号 | EY-01K1652 |
英文名称:INPP5B
英文别名:5-trisphosphate 5-phosphatase;
5PTase;
75 kDa inositol polyphosphate 5 phosphatase;
75 kDa inositol polyphosphate-5-phosphatase;
75kDa;
EC 3.1.3.36;
I5P2_HUMAN;
Inositol polyphosphate 5-phosphatase II;
Inositol polyphosphate-5-phosphatase B;
Inositol polyphosphate-5-phosphatase, 75kDa;
INPP5B;
Inpp5b protein;
INPP5P;
MGC65156;
MGC71303;
OTTHUMP00000004726;
OTTHUMP00000004727;
OTTHUMP00000004728;
Phosphoinositide 5 phosphatase;
Phosphoinositide 5-phosphatase;
Type II inositol 1,4,5 trisphosphate 5 phosphatase;
Type II inositol-1.
交叉反应: Human, Mouse, Rat, Pig, Cow, Horse, Rabbit
标记: Unconjugated
抗体来源: Rabbit
抗体类型: Polyclonal
免疫原: KLH conjugated synthetic peptide derived from human INPP5B
蛋白细胞定位: 细胞浆
纯化方法: affinity purified by Protein A
亚型: IgG
性状: Liquid
浓度: 1mg/ml
储存液: 0.01M TBS(pH7.4) with 1% BSA, 0.03% Proclin300 and 50% Glycerol.
保存条件: Shipped at 4℃. Store at -20 °C for one year. Avoid repeated freeze/thaw cycles.
背景资料: Cellular calcium signaling is controlled by the production of inositol phosphates (IPs) by phospholipase C in response to extracellular signals. The IP signaling molecules are inactivated by a family of inositol polyphosphate-5-phosphatases (5-phosphatases). This gene encodes the type II 5-phosphatase. The protein is localized to the cytosol and mitochondria, and associates with membranes through an isoprenyl modification near the C-terminus. Several alternatively spliced transcript variants of this gene have been described, but the full-length nature of some of these variants has not been determined. [provided by RefSeq, Jul 2008]
Anti-HO-1/HSP32/FITC 荧光素标记红素氧合酶-1/热休克-32抗体IgGMulti-class antibodies规格: 0.2ml
Anti-phospho-c-Raf (Ser296) /FITC 荧光素标记磷酸化原基因c-Raf抗体IgGMulti-class antibodies规格: 0.2ml
Rhesus antibody Rh ATF1 活化转录1抗体 规格 0.1ml
Mouse Anti-human IgG(3D3)/PE-Cy7 PE-Cy7标记的鼠抗人IgG单克隆抗体 0.1ml
GOT2 谷草转酶2抗体 0.1ml
Rhesus antibody Rh Rabbit Anti-mouse IgG-Fc/Cy7 Cy7标记的兔抗小鼠IgG-Fc 规格 0.1ml
Anti-phospho-c-Raf (Ser296) /FITC 荧光素标记磷酸化原基因c-Raf抗体IgGMulti-class antibodies规格: 0.2ml
PGR ELISA Kit 大鼠孕酮受体Multi-class antibodies规格: 48T
Anti-TANK TANK抗体Multi-class antibodies规格: 0.1ml
Rhesus antibody Rh Goat Anti-Chicken IgG/Gold 胶体金标记的羊抗鸡IgG 规格 0.5ml
Human CA724 ELISA Kit 人标志物 96T
NARF 核纤层A识别抗体 0.2ml
BMP10 骨形态发生10抗体 0.2ml
Anti-TANK TANK抗体Multi-class antibodies规格: 0.1ml
gp210(Human Anti-glucoprotein 210) ELISA Kit 人抗核膜糖210抗体Multi-class antibodies规格: 48T
Anti-IL-12RB1/CD212 白介素-12受体β1抗体Multi-class antibodies规格: 0.2ml
Rhesus antibody Rh MAD1 Mad1抗体 规格 0.1ml
GFAP(Human glial fibrillary acidic protein) ELISA Kit 人神经胶质纤维酸性 96T
Rad23 DNA修复Rad23抗体 0.2ml
COPS8 信号转导亚基8抗体 0.1ml
Anti-IL-12RB1/CD212 白介素-12受体β1抗体Multi-class antibodies规格: 0.2ml
Rabbit Anti-MK IgM/Alexa Fluor 488 Alexa Fluor 488标记的兔抗猴IgM 0.1ml
Glucagon 胰高糖素抗体 0.1ml
Rhesus antibody Rh ANKRD17 锚重复结构域17抗体 规格 0.2ml
Anti-Integrin Beta5/FITC 荧光素标记整合素β5抗体IgGMulti-class antibodies规格: 0.2ml
Rhesus antibody Rh Rabbit Anti-human IgG F(ab')2/Alexa Fluor 647 Alexa Fluor 647标记的兔抗人IgG F(ab')2 规格 0.1ml
Anti-SARS S-protein/FITC 荧光素标记毒表面S抗体IgGMulti-class antibodies规格: 0.2ml
聚磷酸肌醇磷酸酶5B抗体Derlin 3(DERL3)检测酶联免疫试剂盒Human PRR13 ELISA Kit包装5g防己诺林碱(标准品)
白喉素合酶(DPH5)检测酶联免疫试剂盒Human C13orf33(Uncharacterized protein C13orf33) ELISA Kit包装1g防已(标准品)
DR1关联1(DRAP1)检测酶联免疫试剂盒Human PRUNE ELISA Kit包装5g飞龙掌根皮(标准品)
乙基二酸脑基因1(ETHE1)检测酶联免疫试剂盒Human PRPF8 ELISA Kit包装25g飞扬草(标准品)
延长4(ELP4)检测酶联免疫试剂盒Human PRPH2 ELISA Kit包装100mg非洲防己碱(标准品)
延长3(ELP3)检测酶联免疫试剂盒Human PRMT6 ELISA Kit包装1g榧子(标准品)
Myoferlin(MYOF)检测酶联免疫试剂盒Human PRMT8 ELISA Kit包装500mg粉萆薢(标准品)
Kindlin 2(KIND2)检测酶联免疫试剂盒Human PAEP(Glycodelin) ELISA Kit包装5g粉防己碱;汉防己甲素(标准品)
抗体分子标记技术:
(一)原理
当应用化学氧化法时(NaI)遇强氧化剂,离子被氧化为分子,所生成的自由分子可与某些基团进行卤化反应。蛋白质分子可进行卤化反应的基团主要为酪氨酸残基,某些组氨酸残基也可能进行化。在应用胺T( Chloramine T)法的实验中,所用的氧化剂(1,3,4,6- tetrachloro-3a,6adipheny l-glucoluril)强挥发性的有机溶剂中。该溶剂加入试管后,先让其挥发(即让氧化剂将试管包被),然后把Na125I和蛋白质液加入包被好的试管中,反应完成即将混合液移入他管终止反应。
(二)准备
1.试剂
经亲和层析纯化的多克隆抗体或单克隆抗体;0.5mol/L磷酸钠缓冲液,pH7.5;无载体的Na125I3.7GBq/ml(100mCi/ml)的NaOH液;100g/L三醋酸;70%乙醇;新鲜制备的含2mg/m1络胺T的0.5mol/L磷酸钠缓冲液(pH7.5);胺T反应终止缓冲液;
2.仪器
凝胶过滤柱;¥-记数器;玻璃纤维滤。
(三)操作要点
1.用胺T法进行化,也可在大约pH7.0的缓冲液中进行;
2.如果氧化反应损伤蛋白质,可将抗体与异硫酸荧光素(FITC)偶联)胺T量减少到0.02mg/m,并将偏重亚硫酸液的浓度降到0.024mg/ml;
3. Iodogen-包被的试管可在干燥器中,于室温下保存多年;
4.1251标记的抗体,在制备后六周内均可使用(1251的半衰期为59.6天);
5.要注意保证所用的Na1251是新鲜的,陈旧制剂的比活性低;
6.酪氨酸的碘化偶尔会对抗原的抗体结合位点有干扰,因此降低其结合能力,但这种情况很少见。
风险提示:丁香通仅作为第三方平台,为商家信息发布提供平台空间。用户咨询产品时请注意保护个人信息及财产安全,合理判断,谨慎选购商品,商家和用户对交易行为负责。对于医疗器械类产品,请先查证核实企业经营资质和医疗器械产品注册证情况。
技术资料暂无技术资料 索取技术资料
聚磷酸肌醇磷酸酶5B抗体
¥1080 - 3200









