万千商家帮你免费找货
0 人在求购买到急需产品
- 详细信息
- 技术资料
- 供应商:
一研
- 库存:
47
- 靶点:
说明书
- 级别:
说明书
- 目录编号:
说明书
- 克隆性:
多克隆
- 抗原来源:
Rabbit
- 保质期:
说明书
- 抗体英文名:
Cyclin A1
- 抗体名:
周期素A1蛋白抗体
- 标记物:
Unconjugated
- 宿主:
说明书
- 适应物种:
说明书
- 免疫原:
KLH conjugated synthetic peptide derived from human Cyclin A1
- 亚型:
LgG
- 形态:
液体
- 应用范围:
说明书
- 保存条件:
Shipped at 4℃. Store at -20 °C for one year. Avoid repeated freeze/thaw cycles.
- 浓度:
1mg/ml
- 规格:
100ul
产品属性:
产品介绍:
一、准备好试剂与仪器:
磷酸盐缓冲盐水、荧光标记的抗体溶液、缓冲甘油、搪瓷桶三只、有盖搪瓷盒一只、荧光显微镜、玻片架、滤纸、37℃温箱等。
二、实验步骤
1.滴加0.01mol/L,pH7.4的PBS于待检标本片上,十分钟后弃去,使标本保持一定湿度。
2.滴加适当稀释的荧光标记的抗体溶液,使其完全覆盖标本,置于有盖搪瓷盒内,保温一定时间以三十分钟为参考。
3.取出玻片,置玻片架上,先用0.01mol/L,pH7.4的PBS冲洗后,再按顺序过0.01mol/L,pH7.4的PBS三缸浸泡,每缸三到五分钟,并不停地摇晃振荡。
4.取出玻片,用滤纸吸去多余水分,但不使标本干燥,加一滴缓冲甘油,以盖玻片覆盖。
5.立即用荧光显微镜观察。观察标本的特异性荧光强度。
抗体的生活习性:
(1)结合特异性抗原:抗体与其他免疫球蛋白分子区别,就在于抗体能与相应抗原发生特异性结合,在体内导致生理或病理效应;在体外产生各种直接或间接的可见的抗原抗体结合反应。抗体是靠其分子上的特殊的结合部位与抗原结合的。
(2)激活补体:抗体与相应抗原结合后,借助暴露的补体结合点去激活补体系统、激发补体的溶菌、溶细胞等免疫作用。
(3)结合细胞:不同类别的免疫球蛋白,可结合不同种的细胞,产生不同的疚,参与免疫应答。
(4)可通过胎盘及粘膜:免疫球蛋白G(IgG)能通过胎盘进入胎儿血流中,使胎儿形成自然被动免疫。免疫球蛋白A(IgA)可通过消化道及呼吸道粘膜,是粘膜局部抗感染免疫的主要因素。
(5)具有抗原性:抗体分子是一种蛋白质,也具有刺激机体产生免疫应答的性能。不同的免疫球蛋白分子,各具有不同的抗原性。
(6)抗体对理化因子的抵抗力与一般球蛋白相同:不耐热,60~70℃即被破坏。各种酶及能使蛋白质凝固变性的物质,均能破坏抗体的作用。抗体可被中性盐类沉淀。在上常可用硫酸铵或硫酸钠从免疫血清中沉淀出含有抗体的球蛋白,再经透析法将其纯化。
Anti-EphB6R/Eph receptor B6/FITC 荧光素标记激酶受体B6抗体IgGMulti-class antibodies规格: 0.2ml
Anti-MSLN /FITC 荧光素标记间皮素抗体IgGMulti-class antibodies规格: 0.2ml
Rhesus antibody Rh C1orf2/COTE1 1号染色体开放阅读框2抗体 规格 0.2ml
TGF- Beta R2 peptide 转移生长β受体2(多肽抗原) 0.5mg
H1N1+H5N1+H3N2 nucleocapsid protein A型毒核衣壳抗体 0.2ml
Rhesus antibody Rh Rsk2/MAPKAP Kinase 1b 核糖体S6激酶RSK2抗体 规格 0.2ml
Anti-MSLN /FITC 荧光素标记间皮素抗体IgGMulti-class antibodies规格: 0.2ml
Anti-ISR- Beta /FITC 荧光素标记胰岛素受体-β抗体IgGMulti-class antibodies规格: 0.2ml
Anti-Shank1/FITC 荧光素标记shank-1抗体IgGMulti-class antibodies规格: 0.2ml
Rhesus antibody Rh AMY2A 胰腺α抗体 规格 0.1ml
Rabbit Anti-mouse IgG-Fc/PE PE标记的兔抗小鼠IgG-Fc 0.1ml
GOSR1 高尔基SNAP受体复合物1抗体 0.2ml
Rhesus antibody Rh Rabbit Anti-horse IgG/RBITC 罗丹明标记的兔抗马IgG 规格 0.3ml
Anti-Shank1/FITC 荧光素标记shank-1抗体IgGMulti-class antibodies规格: 0.2ml
PP(Human Pepsin) ELISA Kit 人Multi-class antibodies规格: 48T
Anti-N-Ras 原基因抗体Multi-class antibodies规格: 0.1ml
Rhesus antibody Rh IGF1R/CD221 胰岛素样生长I受体抗体 规格 0.1ml
LKM(Human liver kidney microsome autoantibody) ELISA Kit 人抗肝肾微粒体抗体 96T
PP1A 磷酸酶2Cα抗体 0.1ml
c-Abl 非受体酪酸激酶c-Abl抗体 0.1ml
Anti-N-Ras 原基因抗体Multi-class antibodies规格: 0.1ml
ADM (Adrenomedullin)(22-52) 肾上腺髓质素(22-52) 0.1mg
Guanylin 鸟苷酸环化酶激活1抗体 0.2ml
Rhesus antibody Rh B MyB 转录MYB相关B抗体 规格 0.2ml
Anti-HER2 receptor/FITC 荧光素标记抗HER2受体抗体IgGMulti-class antibodies规格: 0.2ml
Rhesus antibody Rh Rabbit Anti-pig IgG/Alexa Fluor 350 Alexa Fluor 350标记的兔抗猪IgG 规格 0.1ml
Anti-peripherin/FITC 荧光素标记外周抗体IgGMulti-class antibodies规格: 0.2ml
周期素A1蛋白抗体Bacillus circulansβ葡萄糖酸苷酶
Bacillus circulansβ葡糖苷酶
Bacillus circulansβ内酰酶
Bacillus circulansβ甘露糖苷酶
Bacillus circulansβ半乳糖苷酶
Bacillus circulansαL艾杜糖苷酸酶
Bacillus circulansα2抗纤溶酶
套膜(iNV)检测酶联免疫试剂盒Anti-CLOCK Antibody包装1g
脊髓灰质受体相关分子1(PVRL1)检测酶联免疫试剂盒Anti-CL Antibody包装25g
S100钙结合A4(S100A4)检测酶联免疫试剂盒Anti-CLPX Antibody包装5g
泛素结合酶E2C结合E2L3(UBE2L3)检测酶联免疫试剂盒Anti-CLPX Antibody包装100g
法尼酯X受体(FXR)检测酶联免疫试剂盒Anti-CLU Antibody包装25g
鞘氨-1-磷酸磷酸酶1(SGPP1)检测酶联免疫试剂盒Anti-CMA1 Antibody包装1g
Ⅵ型胶原α1(COL6α1)检测酶联免疫试剂盒Anti-CMA1 Antibody(0032)包装5g
神经调节素2(NRG2)检测酶联免疫试剂盒Anti-CNN1 Antibody包装25g
实验原理 :
(1)特异性结合抗原:抗体本身不能直接溶解或杀伤带有特异抗原的靶细胞,通常需要补体或吞噬细胞等共同发挥效应以清除病原微生物或导致病理损伤。然而,抗体可通过与病毒或毒素的特异性结合,直接发挥中和病毒的作用。
(2)活补体:IgM、IgG1、IgG2和IgG3可通过经典途径激活补体,凝聚的IgA、IgG4和IgE可通过替代途径激活补体。
(3)结合细胞:不同类别的免疫球蛋白,可结合不同种的细胞,参与免疫应答。
(4)可通过胎盘及粘膜:免疫球蛋白G(IgG)能通过胎盘进入胎儿血流中,使胎儿形成自然被动免疫。免疫球蛋白A(IgA)可通过消化道及呼吸道粘膜,是粘膜局部抗感染免疫的主要因素。
(5)具有抗原性:抗体分子是一种蛋白质,也具有刺机体产生免疫应答的性能。不同的免疫球蛋白分子,各具有不同的抗原性。
(6)抗体对理化因子的抵抗力与一般球蛋白相同:不耐热,60~70℃即被破坏。各种酶及能使蛋白质凝固变性的物质,均能破坏抗体的作用。抗体可被中性盐类沉淀。在上常可用硫酸铵或硫酸钠从免疫血清中沉淀出含有抗体的球蛋白,再经透析法将其纯化。
| 产品名称 | 浓度 | 型号 |
| 周期素A1蛋白抗体 | 1mg/ml | EY-01K1317 |
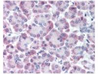
| 产品名称:周期素A1蛋白抗体 英文名称:Cyclin A1 英文别名:CCN A1; Cyclin-A1; CCNA 1; CCNA1; CyclinA1; MGC132235; MGC159139. 交叉反应: Human, Mouse, Rat, Dog, Pig, Cow, Horse, Rabbit 标记: Unconjugated 抗体来源: Rabbit 抗体类型: Polyclonal 免疫原: KLH conjugated synthetic peptide derived from human Cyclin A1 蛋白细胞定位: 细胞核 纯化方法: affinity purified by Protein A 亚型: IgG 性状: Liquid 浓度: 1mg/ml 储存液: 0.01M TBS(pH7.4) with 1% BSA, 0.03% Proclin300 and 50% Glycerol. 保存条件: Shipped at 4℃. Store at -20 °C for one year. Avoid repeated freeze/thaw cycles. 背景资料: Cyclin A1 belongs to the highly conserved cyclin family, whose members are characterized by a dramatic periodicity in protein abundance through the cell cycle. Cyclins function as regulators of CDK kinases. Different cyclins exhibit distinct expression and degradation patterns which contribute to the temporal coordination of each mitotic event. Cyclin A1 is expressed in testis and brain, as well as in several leukemic cell lines, and is thought to primarily function in the control of the germline meiotic cell cycle. It binds both CDK2 and CDC2 kinases, which give two distinct kinase activities, one appearing in S phase, the other in G2, and thus regulate separate functions in cell cycle. Cyclin A1 was found to bind to important cell cycle regulators, such as Rb family proteins, transcription factor E2F-1, and the p21 family proteins. |




一、准备好试剂与仪器:
磷酸盐缓冲盐水、荧光标记的抗体溶液、缓冲甘油、搪瓷桶三只、有盖搪瓷盒一只、荧光显微镜、玻片架、滤纸、37℃温箱等。
二、实验步骤
1.滴加0.01mol/L,pH7.4的PBS于待检标本片上,十分钟后弃去,使标本保持一定湿度。
2.滴加适当稀释的荧光标记的抗体溶液,使其完全覆盖标本,置于有盖搪瓷盒内,保温一定时间以三十分钟为参考。
3.取出玻片,置玻片架上,先用0.01mol/L,pH7.4的PBS冲洗后,再按顺序过0.01mol/L,pH7.4的PBS三缸浸泡,每缸三到五分钟,并不停地摇晃振荡。
4.取出玻片,用滤纸吸去多余水分,但不使标本干燥,加一滴缓冲甘油,以盖玻片覆盖。
5.立即用荧光显微镜观察。观察标本的特异性荧光强度。
抗体的生活习性:
(1)结合特异性抗原:抗体与其他免疫球蛋白分子区别,就在于抗体能与相应抗原发生特异性结合,在体内导致生理或病理效应;在体外产生各种直接或间接的可见的抗原抗体结合反应。抗体是靠其分子上的特殊的结合部位与抗原结合的。
(2)激活补体:抗体与相应抗原结合后,借助暴露的补体结合点去激活补体系统、激发补体的溶菌、溶细胞等免疫作用。
(3)结合细胞:不同类别的免疫球蛋白,可结合不同种的细胞,产生不同的疚,参与免疫应答。
(4)可通过胎盘及粘膜:免疫球蛋白G(IgG)能通过胎盘进入胎儿血流中,使胎儿形成自然被动免疫。免疫球蛋白A(IgA)可通过消化道及呼吸道粘膜,是粘膜局部抗感染免疫的主要因素。
(5)具有抗原性:抗体分子是一种蛋白质,也具有刺激机体产生免疫应答的性能。不同的免疫球蛋白分子,各具有不同的抗原性。
(6)抗体对理化因子的抵抗力与一般球蛋白相同:不耐热,60~70℃即被破坏。各种酶及能使蛋白质凝固变性的物质,均能破坏抗体的作用。抗体可被中性盐类沉淀。在上常可用硫酸铵或硫酸钠从免疫血清中沉淀出含有抗体的球蛋白,再经透析法将其纯化。
Anti-EphB6R/Eph receptor B6/FITC 荧光素标记激酶受体B6抗体IgGMulti-class antibodies规格: 0.2ml
Anti-MSLN /FITC 荧光素标记间皮素抗体IgGMulti-class antibodies规格: 0.2ml
Rhesus antibody Rh C1orf2/COTE1 1号染色体开放阅读框2抗体 规格 0.2ml
TGF- Beta R2 peptide 转移生长β受体2(多肽抗原) 0.5mg
H1N1+H5N1+H3N2 nucleocapsid protein A型毒核衣壳抗体 0.2ml
Rhesus antibody Rh Rsk2/MAPKAP Kinase 1b 核糖体S6激酶RSK2抗体 规格 0.2ml
Anti-MSLN /FITC 荧光素标记间皮素抗体IgGMulti-class antibodies规格: 0.2ml
Anti-ISR- Beta /FITC 荧光素标记胰岛素受体-β抗体IgGMulti-class antibodies规格: 0.2ml
Anti-Shank1/FITC 荧光素标记shank-1抗体IgGMulti-class antibodies规格: 0.2ml
Rhesus antibody Rh AMY2A 胰腺α抗体 规格 0.1ml
Rabbit Anti-mouse IgG-Fc/PE PE标记的兔抗小鼠IgG-Fc 0.1ml
GOSR1 高尔基SNAP受体复合物1抗体 0.2ml
Rhesus antibody Rh Rabbit Anti-horse IgG/RBITC 罗丹明标记的兔抗马IgG 规格 0.3ml
Anti-Shank1/FITC 荧光素标记shank-1抗体IgGMulti-class antibodies规格: 0.2ml
PP(Human Pepsin) ELISA Kit 人Multi-class antibodies规格: 48T
Anti-N-Ras 原基因抗体Multi-class antibodies规格: 0.1ml
Rhesus antibody Rh IGF1R/CD221 胰岛素样生长I受体抗体 规格 0.1ml
LKM(Human liver kidney microsome autoantibody) ELISA Kit 人抗肝肾微粒体抗体 96T
PP1A 磷酸酶2Cα抗体 0.1ml
c-Abl 非受体酪酸激酶c-Abl抗体 0.1ml
Anti-N-Ras 原基因抗体Multi-class antibodies规格: 0.1ml
ADM (Adrenomedullin)(22-52) 肾上腺髓质素(22-52) 0.1mg
Guanylin 鸟苷酸环化酶激活1抗体 0.2ml
Rhesus antibody Rh B MyB 转录MYB相关B抗体 规格 0.2ml
Anti-HER2 receptor/FITC 荧光素标记抗HER2受体抗体IgGMulti-class antibodies规格: 0.2ml
Rhesus antibody Rh Rabbit Anti-pig IgG/Alexa Fluor 350 Alexa Fluor 350标记的兔抗猪IgG 规格 0.1ml
Anti-peripherin/FITC 荧光素标记外周抗体IgGMulti-class antibodies规格: 0.2ml
周期素A1蛋白抗体Bacillus circulansβ葡萄糖酸苷酶
Bacillus circulansβ葡糖苷酶
Bacillus circulansβ内酰酶
Bacillus circulansβ甘露糖苷酶
Bacillus circulansβ半乳糖苷酶
Bacillus circulansαL艾杜糖苷酸酶
Bacillus circulansα2抗纤溶酶
套膜(iNV)检测酶联免疫试剂盒Anti-CLOCK Antibody包装1g
脊髓灰质受体相关分子1(PVRL1)检测酶联免疫试剂盒Anti-CL Antibody包装25g
S100钙结合A4(S100A4)检测酶联免疫试剂盒Anti-CLPX Antibody包装5g
泛素结合酶E2C结合E2L3(UBE2L3)检测酶联免疫试剂盒Anti-CLPX Antibody包装100g
法尼酯X受体(FXR)检测酶联免疫试剂盒Anti-CLU Antibody包装25g
鞘氨-1-磷酸磷酸酶1(SGPP1)检测酶联免疫试剂盒Anti-CMA1 Antibody包装1g
Ⅵ型胶原α1(COL6α1)检测酶联免疫试剂盒Anti-CMA1 Antibody(0032)包装5g
神经调节素2(NRG2)检测酶联免疫试剂盒Anti-CNN1 Antibody包装25g
实验原理 :
(1)特异性结合抗原:抗体本身不能直接溶解或杀伤带有特异抗原的靶细胞,通常需要补体或吞噬细胞等共同发挥效应以清除病原微生物或导致病理损伤。然而,抗体可通过与病毒或毒素的特异性结合,直接发挥中和病毒的作用。
(2)活补体:IgM、IgG1、IgG2和IgG3可通过经典途径激活补体,凝聚的IgA、IgG4和IgE可通过替代途径激活补体。
(3)结合细胞:不同类别的免疫球蛋白,可结合不同种的细胞,参与免疫应答。
(4)可通过胎盘及粘膜:免疫球蛋白G(IgG)能通过胎盘进入胎儿血流中,使胎儿形成自然被动免疫。免疫球蛋白A(IgA)可通过消化道及呼吸道粘膜,是粘膜局部抗感染免疫的主要因素。
(5)具有抗原性:抗体分子是一种蛋白质,也具有刺机体产生免疫应答的性能。不同的免疫球蛋白分子,各具有不同的抗原性。
(6)抗体对理化因子的抵抗力与一般球蛋白相同:不耐热,60~70℃即被破坏。各种酶及能使蛋白质凝固变性的物质,均能破坏抗体的作用。抗体可被中性盐类沉淀。在上常可用硫酸铵或硫酸钠从免疫血清中沉淀出含有抗体的球蛋白,再经透析法将其纯化。
风险提示:丁香通仅作为第三方平台,为商家信息发布提供平台空间。用户咨询产品时请注意保护个人信息及财产安全,合理判断,谨慎选购商品,商家和用户对交易行为负责。对于医疗器械类产品,请先查证核实企业经营资质和医疗器械产品注册证情况。
技术资料暂无技术资料 索取技术资料
周期素A1蛋白抗体
¥1080 - 3200









