万千商家帮你免费找货
0 人在求购买到急需产品
- 详细信息
- 技术资料
- 供应商:
一研
- 库存:
29
- 靶点:
说明书
- 级别:
说明书
- 目录编号:
说明书
- 克隆性:
多克隆
- 抗原来源:
Rabbit
- 保质期:
说明书
- 抗体英文名:
PSD95
- 抗体名:
突触后密度蛋白95抗体
- 标记物:
Unconjugated
- 宿主:
说明书
- 适应物种:
说明书
- 免疫原:
KLH conjugated synthetic peptide derived from human PSD95
- 亚型:
LgG
- 形态:
液体
- 应用范围:
说明书
- 保存条件:
Shipped at 4℃. Store at -20 °C for one year. Avoid repeated freeze/thaw cycles.
- 浓度:
1mg/ml
- 规格:
100ul




| 产品名称:突触后密度蛋白95抗体 英文名称:PSD95 英文别名:Discs large homolog 4; Disks large homolog 4; DLG 4; DLG4; DLG4_HUMAN; FLJ97752; FLJ98574; Human post synaptic density protein 95; Human post-synaptic density protein 95; Post synaptic density protein 95; Postsynaptic density protein 95; PSD 95; PSD-95; PSD95; SAP 90; SAP-90; SAP90; Synapse associated protein 90; Synapse-associated protein 90; Tax interaction protein 15. 交叉反应: Human, Mouse, Rat, Dog, Pig, Cow, Rabbit, Monkey 标记: Unconjugated 抗体来源: Rabbit 抗体类型: Polyclonal 免疫原: KLH conjugated synthetic peptide derived from human PSD95 蛋白细胞定位: 细胞膜 纯化方法: affinity purified by Protein A 亚型: IgG 性状: Liquid 浓度: 1mg/ml 储存液: 0.01M TBS(pH7.4) with 1% BSA, 0.03% Proclin300 and 50% Glycerol. 保存条件: Shipped at 4℃. Store at -20 °C for one year. Avoid repeated freeze/thaw cycles. 背景资料: This gene encodes a member of the membrane-associated guanylate kinase (MAGUK) family. It heteromultimerizes with another MAGUK protein, DLG2, and is recruited into NMDA receptor and potassium channel clusters. These two MAGUK proteins may interact at postsynaptic sites to form a multimeric scaffold for the clustering of receptors, ion channels, and associated signaling proteins. Multiple transcript variants encoding different isoforms have been found for this gene. [provided by RefSeq, Jul 2008] |
| 产品名称 | 浓度 | 型号 |
| 突触后密度蛋白95抗体 | 1mg/ml | EY-01K1261 |
(1)结合特异性抗原:抗体与其他免疫球蛋白分子区别,就在于抗体能与相应抗原发生特异性结合,在体内导致生理或病理效应;在体外产生各种直接或间接的可见的抗原抗体结合反应。抗体是靠其分子上的特殊的结合部位与抗原结合的。
(2)激活补体:抗体与相应抗原结合后,借助暴露的补体结合点去激活补体系统、激发补体的溶菌、溶细胞等免疫作用。
(3)结合细胞:不同类别的免疫球蛋白,可结合不同种的细胞,产生不同的疚,参与免疫应答。
(4)可通过胎盘及粘膜:免疫球蛋白G(IgG)能通过胎盘进入胎儿血流中,使胎儿形成自然被动免疫。免疫球蛋白A(IgA)可通过消化道及呼吸道粘膜,是粘膜局部抗感染免疫的主要因素。
(5)具有抗原性:抗体分子是一种蛋白质,也具有刺激机体产生免疫应答的性能。不同的免疫球蛋白分子,各具有不同的抗原性。
(6)抗体对理化因子的抵抗力与一般球蛋白相同:不耐热,60~70℃即被破坏。各种酶及能使蛋白质凝固变性的物质,均能破坏抗体的作用。抗体可被中性盐类沉淀。在上常可用硫酸铵或硫酸钠从免疫血清中沉淀出含有抗体的球蛋白,再经透析法将其纯化。
实验原理 :
(1)特异性结合抗原:抗体本身不能直接溶解或杀伤带有特异抗原的靶细胞,通常需要补体或吞噬细胞等共同发挥效应以清除病原微生物或导致病理损伤。然而,抗体可通过与病毒或毒素的特异性结合,直接发挥中和病毒的作用。
(2)活补体:IgM、IgG1、IgG2和IgG3可通过经典途径激活补体,凝聚的IgA、IgG4和IgE可通过替代途径激活补体。
(3)结合细胞:不同类别的免疫球蛋白,可结合不同种的细胞,参与免疫应答。
(4)可通过胎盘及粘膜:免疫球蛋白G(IgG)能通过胎盘进入胎儿血流中,使胎儿形成自然被动免疫。免疫球蛋白A(IgA)可通过消化道及呼吸道粘膜,是粘膜局部抗感染免疫的主要因素。
(5)具有抗原性:抗体分子是一种蛋白质,也具有刺机体产生免疫应答的性能。不同的免疫球蛋白分子,各具有不同的抗原性。
(6)抗体对理化因子的抵抗力与一般球蛋白相同:不耐热,60~70℃即被破坏。各种酶及能使蛋白质凝固变性的物质,均能破坏抗体的作用。抗体可被中性盐类沉淀。在上常可用硫酸铵或硫酸钠从免疫血清中沉淀出含有抗体的球蛋白,再经透析法将其纯化。
免疫荧光技术的实验步骤:
一、准备好试剂与仪器:
磷酸盐缓冲盐水、荧光标记的抗体溶液、缓冲甘油、搪瓷桶三只、有盖搪瓷盒一只、荧光显微镜、玻片架、滤纸、37℃温箱等。
二、实验步骤
1.滴加0.01mol/L,pH7.4的PBS于待检标本片上,十分钟后弃去,使标本保持一定湿度。
2.滴加适当稀释的荧光标记的抗体溶液,使其完全覆盖标本,置于有盖搪瓷盒内,保温一定时间以三十分钟为参考。
3.取出玻片,置玻片架上,先用0.01mol/L,pH7.4的PBS冲洗后,再按顺序过0.01mol/L,pH7.4的PBS三缸浸泡,每缸三到五分钟,并不停地摇晃振荡。
4.取出玻片,用滤纸吸去多余水分,但不使标本干燥,加一滴缓冲甘油,以盖玻片覆盖。
5.立即用荧光显微镜观察。观察标本的特异性荧光强度。
Anti-E2F3/FITC 荧光素标记转录E2F-3抗体IgGMulti-class antibodies规格: 0.2ml
Anti-MIP3 Alpha/CCL20/FITC 荧光素标记巨噬性3α抗体IgGMulti-class antibodies规格: 0.2ml
Rhesus antibody Rh C5ORF33 5号染色体开放阅读框33抗体 规格 0.2ml
Matrixyl Acetate 五胜肽/美容肽—M肽 1g
HHV11 DNA polymerase catalytic subunit 单纯疱毒1型DNA聚合酶催化亚单位抗体 0.2ml
Rhesus antibody Rh SCN10A/NAV1.8 钠通道10α抗体 规格 0.2ml
Anti-MIP3 Alpha/CCL20/FITC 荧光素标记巨噬性3α抗体IgGMulti-class antibodies规格: 0.2ml
Anti-Phospho-IKK alpha/beta (Ser176/Ser180) /FITC 荧光素标记磷酸化核κB激酶alpha/beta抑制剂抗体IgGMulti-class antibodies规格: 0.2ml
Anti-pro-caspase3/FITC 荧光素标记半胱天冬酶-3酶原抗体IgGMulti-class antibodies规格: 0.2ml
Rhesus antibody Rh Apollon/BIRC6 Apollon凋亡抑制抗体 规格 0.2ml
Rabbit Anti-pig IgG/AP 碱性磷酸酶(AP)标记的兔抗猪IgG 0.1ml
Cobra poison Protein 眼镜蛇蛇毒抗体 0.2ml
Rhesus antibody Rh Rabbit anti-MG IgG/Gold 胶体金标记的兔抗长爪沙鼠IgG 规格 0.5ml
Anti-pro-caspase3/FITC 荧光素标记半胱天冬酶-3酶原抗体IgGMulti-class antibodies规格: 0.2ml
ICAM- I 小鼠间粘附-ⅠMulti-class antibodies规格: 48T
Anti-FANCD2 FANCD2抗体Multi-class antibodies规格: 0.2ml
Rhesus antibody Rh Mouse Anti-rat IgG/HRP 辣根过氧化物酶标记的小鼠抗大鼠IgG 规格 0.1ml
12-HETE(Human 20-hydroxyeicosatetraenoic acid) ELISA Kit 人12羟二十烷四烯酸 96T
phospho-STAT5a(Tyr694) 磷酸化信号转导和转录激活5a抗体 0.1ml
C4orf32 4号染色体开放阅读框32抗体 0.2ml
Anti-FANCD2 FANCD2抗体Multi-class antibodies规格: 0.2ml
NOS-2 (iNOS) Nitric Oxide Synthase,Inducible 合成酶-2(抗原) 0.5mg
HOXD8 同源盒转录8抗体 0.1ml
Rhesus antibody Rh C10orf62 10号染色体开放阅读框62抗体 规格 0.2ml
Anti-Phospho-PLC gamma 2 (Tyr1217) /FITC 荧光素标记磷酸化磷酯酶Cγ2抗体IgGMulti-class antibodies规格: 0.2ml
Rhesus antibody Rh RNF15 环指15抗体 规格 0.2ml
Anti-p-NFATc2/FITC 荧光素标记磷酸化NFATc2抗体IgGMulti-class antibodies规格: 0.2ml
突触后密度蛋白95抗体5-HT(Human 5-Hydroxytryptamine) ELISA Kit 人5羟色an规格: 48T
INH-A(Human Inhibin) ELISA Kit 人suA规格: 48T
SHBG(Human sex hormone-binding globulin) ELISA Kit 人性激su结合球蛋白规格: 48T
DHEA-S7(Human Dehydroepiandrosterone S7) ELISA Kit 人脱氢表雄tongS7规格: 48T
DHEA(Human Dehydroepiandrosterone) ELISA Kit 人脱氢表雄tong规格: 48T
风险提示:丁香通仅作为第三方平台,为商家信息发布提供平台空间。用户咨询产品时请注意保护个人信息及财产安全,合理判断,谨慎选购商品,商家和用户对交易行为负责。对于医疗器械类产品,请先查证核实企业经营资质和医疗器械产品注册证情况。
技术资料暂无技术资料 索取技术资料
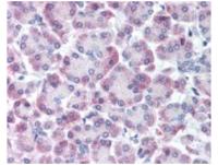
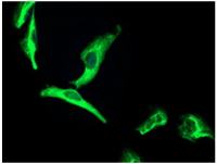
突触后密度蛋白95抗体
¥1080 - 3200









