万千商家帮你免费找货
0 人在求购买到急需产品
- 详细信息
- 文献和实验
- 技术资料
- 供应商:
一研
- 库存:
56
- 靶点:
说明书
- 级别:
说明书
- 目录编号:
说明书
- 克隆性:
单克隆
- 抗原来源:
Mouse
- 保质期:
说明书
- 抗体英文名:
beta-Actin (Loading Control)
- 抗体名:
β-肌动蛋白/β-Actin(内参)单克隆抗体
- 标记物:
Unconjugated
- 宿主:
说明书
- 适应物种:
说明书
- 免疫原:
Synthetic MAP peptide derived from human beta-Actin
- 亚型:
LgG
- 形态:
液体
- 应用范围:
说明书
- 保存条件:
Shipped at 4℃. Store at -20 °C for one year. Avoid repeated freeze/thaw cycles.
- 浓度:
1mg/ml
- 规格:
100ul
| 产品名称:β-肌动蛋白/β-Actin(内参)单克隆抗体 英文名称:beta-Actin (Loading Control) 英文别名:Beta Actin; beta-Actin; ACTB; Actin cytoplasmic 1; Actin, beta; Beta actin; beta cytoskeletal actin;A X actin like protein; ACTB; Actin cytoplasmic 1; alpha sarcomeric Actin; Actx; Beta cytoskeletal actin; Melanoma X actin; PS1TP5BP1; ACTB_HUMAN. 交叉反应: Human, Mouse, Rat, Chicken, Dog, Pig, Cow, Sheep, Fish, GuineaPig, Hamster, Cat 标记: Unconjugated 抗体来源: Mouse 抗体类型: Monoclonal 克隆号: 1A2 免疫原: Synthetic MAP peptide derived from human beta-Actin 蛋白细胞定位: 细胞浆 纯化方法: Affinity purified by Protein G 亚型: IgG 性状: Liquid 浓度: 1mg/ml 储存液: 0.01M TBS(pH7.4) with 1% BSA, 0.03% Proclin300 and 50% Glycerol. 保存条件: Shipped at 4℃. Store at -20 °C for one year. Avoid repeated freeze/thaw cycles. 背景资料: Loading Control This gene encodes one of six different actin proteins. Actins are highly conserved proteins that are involved in cell motility, structure, and integrity. This actin is a major constituent of the contractile apparatus and one of the two nonmuscle cytoskeletal actins. [provided by RefSeq, Jul 2008]. |
| 产品名称 | 浓度 | 型号 |
| β-肌动蛋白/β-Actin(内参)单克隆抗体 | 1mg/ml | EY-01K1055 |




一、准备好试剂与仪器:
磷酸盐缓冲盐水、荧光标记的抗体溶液、缓冲甘油、搪瓷桶三只、有盖搪瓷盒一只、荧光显微镜、玻片架、滤纸、37℃温箱等。
二、实验步骤
1.滴加0.01mol/L,pH7.4的PBS于待检标本片上,十分钟后弃去,使标本保持一定湿度。
2.滴加适当稀释的荧光标记的抗体溶液,使其完全覆盖标本,置于有盖搪瓷盒内,保温一定时间以三十分钟为参考。
3.取出玻片,置玻片架上,先用0.01mol/L,pH7.4的PBS冲洗后,再按顺序过0.01mol/L,pH7.4的PBS三缸浸泡,每缸三到五分钟,并不停地摇晃振荡。
4.取出玻片,用滤纸吸去多余水分,但不使标本干燥,加一滴缓冲甘油,以盖玻片覆盖。
5.立即用荧光显微镜观察。观察标本的特异性荧光强度。
抗体的生活习性:
(1)结合特异性抗原:抗体与其他免疫球蛋白分子区别,就在于抗体能与相应抗原发生特异性结合,在体内导致生理或病理效应;在体外产生各种直接或间接的可见的抗原抗体结合反应。抗体是靠其分子上的特殊的结合部位与抗原结合的。
(2)激活补体:抗体与相应抗原结合后,借助暴露的补体结合点去激活补体系统、激发补体的溶菌、溶细胞等免疫作用。
(3)结合细胞:不同类别的免疫球蛋白,可结合不同种的细胞,产生不同的疚,参与免疫应答。
(4)可通过胎盘及粘膜:免疫球蛋白G(IgG)能通过胎盘进入胎儿血流中,使胎儿形成自然被动免疫。免疫球蛋白A(IgA)可通过消化道及呼吸道粘膜,是粘膜局部抗感染免疫的主要因素。
(5)具有抗原性:抗体分子是一种蛋白质,也具有刺激机体产生免疫应答的性能。不同的免疫球蛋白分子,各具有不同的抗原性。
(6)抗体对理化因子的抵抗力与一般球蛋白相同:不耐热,60~70℃即被破坏。各种酶及能使蛋白质凝固变性的物质,均能破坏抗体的作用。抗体可被中性盐类沉淀。在上常可用硫酸铵或硫酸钠从免疫血清中沉淀出含有抗体的球蛋白,再经透析法将其纯化。
实验原理 :
(1)特异性结合抗原:抗体本身不能直接溶解或杀伤带有特异抗原的靶细胞,通常需要补体或吞噬细胞等共同发挥效应以清除病原微生物或导致病理损伤。然而,抗体可通过与病毒或毒素的特异性结合,直接发挥中和病毒的作用。
(2)活补体:IgM、IgG1、IgG2和IgG3可通过经典途径激活补体,凝聚的IgA、IgG4和IgE可通过替代途径激活补体。
(3)结合细胞:不同类别的免疫球蛋白,可结合不同种的细胞,参与免疫应答。
(4)可通过胎盘及粘膜:免疫球蛋白G(IgG)能通过胎盘进入胎儿血流中,使胎儿形成自然被动免疫。免疫球蛋白A(IgA)可通过消化道及呼吸道粘膜,是粘膜局部抗感染免疫的主要因素。
(5)具有抗原性:抗体分子是一种蛋白质,也具有刺机体产生免疫应答的性能。不同的免疫球蛋白分子,各具有不同的抗原性。
(6)抗体对理化因子的抵抗力与一般球蛋白相同:不耐热,60~70℃即被破坏。各种酶及能使蛋白质凝固变性的物质,均能破坏抗体的作用。抗体可被中性盐类沉淀。在上常可用硫酸铵或硫酸钠从免疫血清中沉淀出含有抗体的球蛋白,再经透析法将其纯化。
Anti-Collagen V /FITC 荧光素标记抗Ⅴ型胶原抗体IgGMulti-class antibodies规格: 0.2ml
Anti-Kif14 protein /FITC 荧光素标记驱动家族Member14抗体IgGMulti-class antibodies规格: 0.2ml
Rhesus antibody Rh CCDC46 卷曲螺旋结构域46抗体 规格 0.2ml
HER2 receptor(NT)(erbB-2 isoform 2 receptor N-Terminus) c-erbB-2受体抗原(N端) 0.5mg
HP1 alpha 异染色质1-α(HP1α)抗体 0.1ml
Rhesus antibody Rh Smoothened/SMO 跨膜Smoothened抗体 规格 0.1ml
Anti-Kif14 protein /FITC 荧光素标记驱动家族Member14抗体IgGMulti-class antibodies规格: 0.2ml
Lp- Alpha ELISA Kit 大鼠脂αMulti-class antibodies规格: 48T
Anti-Phospho-WNK1 (Thr60) 赖缺陷型激酶1抗体Multi-class antibodies规格: 0.1ml
Rhesus antibody Rh GABRA3/GABA A Receptor alpha 3 G氨基丁酸受体α3抗体 规格 0.2ml
大鼠Smad1 ELISA Kit 大鼠Smad1 96T
H1N1 Nucleoprotein A型毒核抗体 0.2ml
ART1 抑制相关PHEMX抗体 0.2ml
Anti-Phospho-WNK1 (Thr60) 赖缺陷型激酶1抗体Multi-class antibodies规格: 0.1ml
PBP/CXCL7(Human platelet basic protein) ELISA Kit 人小板碱性Multi-class antibodies规格: 48T
Anti-PS-1 早老素-1抗体Multi-class antibodies规格: 0.2ml
Rhesus antibody Rh HCV-NS1 丙型毒-NS1抗体 规格 0.1ml
PL-A2 ELISA Kit 大鼠磷脂酶A2 96T
Phospho-PPAR Gamma (ser112) 磷酸化过氧化酶活化增生受体γ抗体 0.1ml
BRD2 BRD2抗体 0.2ml
Anti-PS-1 早老素-1抗体Multi-class antibodies规格: 0.2ml
CD24 CD24抗原 0.5mg
Hemopexin 糖β-1B抗体 0.1ml
Rhesus antibody Rh C3orf54 3号染色体开放阅读框54抗体 规格 0.2ml
Anti-ECE1/FITC 荧光素标记内皮素转化酶1抗体IgGMulti-class antibodies规格: 0.2ml
Rhesus antibody Rh Scavenger Receptor BII 清道夫受体B2抗体 规格 0.2ml
Anti-Phospho-MK6 (Ser207)/FITC 荧光素标记磷酸化原活化激酶MKK6抗体IgGMulti-class antibodies规格: 0.2ml
β-肌动蛋白/β-Actin(内参)单克隆抗体Oxytoxin 大鼠催产su规格: 48T
UPAR 大鼠凝mei受体规格: 48T
progesterone 大鼠孕tong规格: 48T
prolactin 大鼠催乳su规格: 48T
Substance P 大鼠P物质规格: 48T
风险提示:丁香通仅作为第三方平台,为商家信息发布提供平台空间。用户咨询产品时请注意保护个人信息及财产安全,合理判断,谨慎选购商品,商家和用户对交易行为负责。对于医疗器械类产品,请先查证核实企业经营资质和医疗器械产品注册证情况。
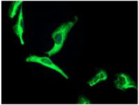
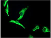
文献和实验小鼠β-肌动蛋白(β-actin)酶联免疫分析(ELISA)
小鼠β- 肌动蛋白 ( β -actin) 酶联免疫 分析( ELISA ) 试剂 盒使用说明书 本试剂仅供研究使用 目的:本试剂盒用于测定小鼠血清,血浆及相关液体样本中 β-肌动蛋白(β-actin) 含量。 实验原理 : 本试剂盒应用双抗体夹心法测定 标本 中 小鼠β- 肌动蛋白 ( β -actin) 水平。用纯化的 小鼠β- 肌动蛋白 ( β -actin) 抗体包被微孔板,制成固相抗体,往包被单抗的微孔
Q1: 要做real-time pcr,而该种的β-actin未确定,我知道一般用持家基因作内参,但似乎其他基因各有缺点,有的作者用他们做内参时被SCI杂志要求用两个内参以证实,我想知道的是除了β-actin,哪个基因是SCI公认的内参基因(不用作两个内参了)? A1: 28S和18S rRNA 甘油醛-3-磷酸脱氢酶 还有α-tublin,ubiquitin,GAPDH,histone Q2: 做相对定量real
【求助】急急急急,***犬类TGF-β1和内参照β-actin基因大小(bp数)~~
zx13763431 小弟新人,现在***犬类TGF-β1mRNA和内参照β-actin基因大小(bp数)?? 小弟谢过了~把引物序列放在下面。谢谢各位大虾~~ TGF-β1引物 上游引物序列为:5’-GCTCCACGGAGAA-GAACAGGCTG-3’, 下游引物序列为: 5’-CTGCTCCAC-CTTGGGCTTGC-3’; 内参照β-actin引物 上游
技术资料暂无技术资料 索取技术资料









