万千商家帮你免费找货
0 人在求购买到急需产品
- 详细信息
- 技术资料
- 供应商:
一研
- 库存:
40
- 靶点:
说明书
- 级别:
说明书
- 目录编号:
说明书
- 克隆性:
多克隆
- 抗原来源:
Rabbit
- 保质期:
说明书
- 抗体英文名:
beta 2 Microglobulin
- 抗体名:
β2-微球蛋白抗体
- 标记物:
Unconjugated
- 宿主:
说明书
- 适应物种:
说明书
- 免疫原:
KLH conjugated synthetic peptide derived from human beta 2 Microglobulin
- 亚型:
LgG
- 形态:
液体
- 应用范围:
说明书
- 保存条件:
Shipped at 4℃. Store at -20 °C for one year. Avoid repeated freeze/thaw cycles.
- 浓度:
1mg/ml
- 规格:
100ul
产品介绍:
产品属性:
一、准备好试剂与仪器:
磷酸盐缓冲盐水、荧光标记的抗体溶液、缓冲甘油、搪瓷桶三只、有盖搪瓷盒一只、荧光显微镜、玻片架、滤纸、37℃温箱等。
二、实验步骤
1.滴加0.01mol/L,pH7.4的PBS于待检标本片上,十分钟后弃去,使标本保持一定湿度。
2.滴加适当稀释的荧光标记的抗体溶液,使其完全覆盖标本,置于有盖搪瓷盒内,保温一定时间以三十分钟为参考。
3.取出玻片,置玻片架上,先用0.01mol/L,pH7.4的PBS冲洗后,再按顺序过0.01mol/L,pH7.4的PBS三缸浸泡,每缸三到五分钟,并不停地摇晃振荡。
4.取出玻片,用滤纸吸去多余水分,但不使标本干燥,加一滴缓冲甘油,以盖玻片覆盖。
5.立即用荧光显微镜观察。观察标本的特异性荧光强度。
抗体的生活习性:
(1)结合特异性抗原:抗体与其他免疫球蛋白分子区别,就在于抗体能与相应抗原发生特异性结合,在体内导致生理或病理效应;在体外产生各种直接或间接的可见的抗原抗体结合反应。抗体是靠其分子上的特殊的结合部位与抗原结合的。
(2)激活补体:抗体与相应抗原结合后,借助暴露的补体结合点去激活补体系统、激发补体的溶菌、溶细胞等免疫作用。
(3)结合细胞:不同类别的免疫球蛋白,可结合不同种的细胞,产生不同的疚,参与免疫应答。
(4)可通过胎盘及粘膜:免疫球蛋白G(IgG)能通过胎盘进入胎儿血流中,使胎儿形成自然被动免疫。免疫球蛋白A(IgA)可通过消化道及呼吸道粘膜,是粘膜局部抗感染免疫的主要因素。
(5)具有抗原性:抗体分子是一种蛋白质,也具有刺激机体产生免疫应答的性能。不同的免疫球蛋白分子,各具有不同的抗原性。
(6)抗体对理化因子的抵抗力与一般球蛋白相同:不耐热,60~70℃即被破坏。各种酶及能使蛋白质凝固变性的物质,均能破坏抗体的作用。抗体可被中性盐类沉淀。在上常可用硫酸铵或硫酸钠从免疫血清中沉淀出含有抗体的球蛋白,再经透析法将其纯化。
实验原理 :
(1)特异性结合抗原:抗体本身不能直接溶解或杀伤带有特异抗原的靶细胞,通常需要补体或吞噬细胞等共同发挥效应以清除病原微生物或导致病理损伤。然而,抗体可通过与病毒或毒素的特异性结合,直接发挥中和病毒的作用。
(2)活补体:IgM、IgG1、IgG2和IgG3可通过经典途径激活补体,凝聚的IgA、IgG4和IgE可通过替代途径激活补体。
(3)结合细胞:不同类别的免疫球蛋白,可结合不同种的细胞,参与免疫应答。
(4)可通过胎盘及粘膜:免疫球蛋白G(IgG)能通过胎盘进入胎儿血流中,使胎儿形成自然被动免疫。免疫球蛋白A(IgA)可通过消化道及呼吸道粘膜,是粘膜局部抗感染免疫的主要因素。
(5)具有抗原性:抗体分子是一种蛋白质,也具有刺机体产生免疫应答的性能。不同的免疫球蛋白分子,各具有不同的抗原性。
(6)抗体对理化因子的抵抗力与一般球蛋白相同:不耐热,60~70℃即被破坏。各种酶及能使蛋白质凝固变性的物质,均能破坏抗体的作用。抗体可被中性盐类沉淀。在上常可用硫酸铵或硫酸钠从免疫血清中沉淀出含有抗体的球蛋白,再经透析法将其纯化。
Anti-ADAM10/MADM/CD156c/FITC 荧光素标记去整合素样金属酶10抗体IgGMulti-class antibodies规格: 0.2ml
Anti-EP3/FITC 荧光素标记素E受体3抗体IgGMulti-class antibodies规格: 0.2ml
Rhesus antibody Rh CRLR/CGRPR1 降钙素基因相关肽1型受体抗体 规格 0.1ml
GSK-3 Beta, (Glycogen Synthase Kinase-3) 糖原合酶激酶-3 beta(多肽) 0.5mg
Ku-70 DNA修复酶Ku70抗体 0.1ml
Rhesus antibody Rh USP28 泛素特异性酶28抗体 规格 0.2ml
Anti-EP3/FITC 荧光素标记素E受体3抗体IgGMulti-class antibodies规格: 0.2ml
Anti-ATF6/FITC 荧光素标记活化转录6抗体IgGMulti-class antibodies规格: 0.2ml
Anti-phospho-GAB2 (Tyr643) /FITC 荧光素标记磷酸化接头Gab2抗体IgGMulti-class antibodies规格: 0.2ml
Rhesus antibody Rh CMG1 毛细管形态发生1抗体 规格 0.2ml
NKR(Neuromedin B Receptor) 神经激肽B受体(抗原) 0.5mg
ICT1 肽酰tRNA水解酶ICT1抗体 0.2ml
Rhesus antibody Rh TRPM8 “冷”TRPM8抗体 规格 0.2ml
Anti-phospho-GAB2 (Tyr643) /FITC 荧光素标记磷酸化接头Gab2抗体IgGMulti-class antibodies规格: 0.2ml
Anti-Phospho-SMC1 (Ser957)/FITC 荧光素标记磷酸化染色体结构维持质1抗体IgGMulti-class antibodies规格: 0.2ml
ChAT(Choline Acetyltransferase) 乙酰转移酶(抗原)Multi-class antibodies规格: 0.5mg
骨保护/护骨素抗体 Anti-OPG 0.1ml
SRRM1 丝酸/精酸相关核基质1抗体 0.2ml
phospho-EGFR (Ser768) 磷酸化表皮生长受体抗体 0.1ml
Rhesus antibody Rh Phospho-NMDAR2B (Tyr1252) 磷酸化受体2B抗体 规格 0.1ml
ChAT(Choline Acetyltransferase) 乙酰转移酶(抗原)Multi-class antibodies规格: 0.5mg
HCCR-1(BRI3 binding protein) 人基因/bri3结合(抗原) 0.5mg
IL-12 白介素12抗体 0.1ml
Rhesus antibody Rh CKMT2 肌酸磷酸激酶2抗体 规格 0.2ml
Anti-Bassoon/BSN /FITC 荧光素标记锌指231抗体IgGMulti-class antibodies规格: 0.2ml
Rhesus antibody Rh TREM2 髓系触发受体2抗体 规格 0.1ml
Anti-GFP/FITC 荧光素标记绿色荧光抗体IgGMulti-class antibodies规格: 0.2ml
β2-微球蛋白抗体豚鼠色素P450氧化还原酶(CPR)试剂盒 Anti-NTF3 Antibody丝/苏激酶36融合同源蛋白抗体
豚鼠TATA框结合蛋白相关因子2(TAF2)试剂盒Anti-NTN1 AntibodyS100P结合蛋白抗体
豚鼠甲状腺过氧化物酶(TPO)试剂盒Anti-NTRK1 AntibodySAMD14抗体
豚鼠降钙素(CT)试剂盒 Anti-NTN1 Antibody模块化钙结合蛋白2抗体(平滑肌相关蛋白2)
豚鼠胸腺表达趋化因子(TECK/CCL25)试剂盒 Anti-NTRK1 Antibody钠单独转运蛋白SLC26A4抗体
豚鼠磷脂酶B(PLB)试剂盒Anti-NTRK1 Antibody快速发育生长因子同源蛋白2抗体
豚鼠亚甲基四氢叶酸还原酶(MTHFR)试剂盒Anti-NTRK1 AntibodySPNS1抗体
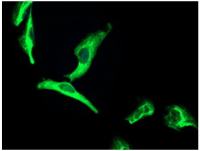
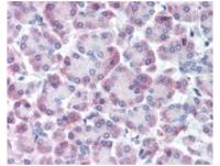
| 产品名称:β2-微球蛋白抗体 英文名称:beta 2 Microglobulin 英文别名: B2M; Beta 2 microglobulin precursor; Beta-2 Microglobulin; Beta chain of mhc class 1 proteins; Hdcma22p; B2MG_HUMAN; Beta 2 microglobin; Beta 2 microglobulin precursor; Beta chain of mhc class 1 proteins; Beta chain of MHC class I molecules; Beta-2-microglobulin form pI 5.3; CDABP0092. 中文别名: β2 Microglobulin; β2-Microglobulin; β-2-Microglobulin; 交叉反应: Human, Mouse, Rat 标记: Unconjugated 抗体来源: Rabbit 抗体类型: Polyclonal 免疫原: KLH conjugated synthetic peptide derived from human beta 2 Microglobulin 蛋白细胞定位: 分泌型蛋白 纯化方法: affinity purified by Protein A 亚型: IgG 性状: Liquid 浓度: 1mg/ml 储存液: 0.01M TBS(pH7.4) with 1% BSA, 0.03% Proclin300 and 50% Glycerol. 保存条件: Shipped at 4℃. Store at -20 °C for one year. Avoid repeated freeze/thaw cycles. |
| 产品名称 | 浓度 | 型号 |
| β2-微球蛋白抗体 | 1mg/ml | EY-01K0445 |




一、准备好试剂与仪器:
磷酸盐缓冲盐水、荧光标记的抗体溶液、缓冲甘油、搪瓷桶三只、有盖搪瓷盒一只、荧光显微镜、玻片架、滤纸、37℃温箱等。
二、实验步骤
1.滴加0.01mol/L,pH7.4的PBS于待检标本片上,十分钟后弃去,使标本保持一定湿度。
2.滴加适当稀释的荧光标记的抗体溶液,使其完全覆盖标本,置于有盖搪瓷盒内,保温一定时间以三十分钟为参考。
3.取出玻片,置玻片架上,先用0.01mol/L,pH7.4的PBS冲洗后,再按顺序过0.01mol/L,pH7.4的PBS三缸浸泡,每缸三到五分钟,并不停地摇晃振荡。
4.取出玻片,用滤纸吸去多余水分,但不使标本干燥,加一滴缓冲甘油,以盖玻片覆盖。
5.立即用荧光显微镜观察。观察标本的特异性荧光强度。
抗体的生活习性:
(1)结合特异性抗原:抗体与其他免疫球蛋白分子区别,就在于抗体能与相应抗原发生特异性结合,在体内导致生理或病理效应;在体外产生各种直接或间接的可见的抗原抗体结合反应。抗体是靠其分子上的特殊的结合部位与抗原结合的。
(2)激活补体:抗体与相应抗原结合后,借助暴露的补体结合点去激活补体系统、激发补体的溶菌、溶细胞等免疫作用。
(3)结合细胞:不同类别的免疫球蛋白,可结合不同种的细胞,产生不同的疚,参与免疫应答。
(4)可通过胎盘及粘膜:免疫球蛋白G(IgG)能通过胎盘进入胎儿血流中,使胎儿形成自然被动免疫。免疫球蛋白A(IgA)可通过消化道及呼吸道粘膜,是粘膜局部抗感染免疫的主要因素。
(5)具有抗原性:抗体分子是一种蛋白质,也具有刺激机体产生免疫应答的性能。不同的免疫球蛋白分子,各具有不同的抗原性。
(6)抗体对理化因子的抵抗力与一般球蛋白相同:不耐热,60~70℃即被破坏。各种酶及能使蛋白质凝固变性的物质,均能破坏抗体的作用。抗体可被中性盐类沉淀。在上常可用硫酸铵或硫酸钠从免疫血清中沉淀出含有抗体的球蛋白,再经透析法将其纯化。
实验原理 :
(1)特异性结合抗原:抗体本身不能直接溶解或杀伤带有特异抗原的靶细胞,通常需要补体或吞噬细胞等共同发挥效应以清除病原微生物或导致病理损伤。然而,抗体可通过与病毒或毒素的特异性结合,直接发挥中和病毒的作用。
(2)活补体:IgM、IgG1、IgG2和IgG3可通过经典途径激活补体,凝聚的IgA、IgG4和IgE可通过替代途径激活补体。
(3)结合细胞:不同类别的免疫球蛋白,可结合不同种的细胞,参与免疫应答。
(4)可通过胎盘及粘膜:免疫球蛋白G(IgG)能通过胎盘进入胎儿血流中,使胎儿形成自然被动免疫。免疫球蛋白A(IgA)可通过消化道及呼吸道粘膜,是粘膜局部抗感染免疫的主要因素。
(5)具有抗原性:抗体分子是一种蛋白质,也具有刺机体产生免疫应答的性能。不同的免疫球蛋白分子,各具有不同的抗原性。
(6)抗体对理化因子的抵抗力与一般球蛋白相同:不耐热,60~70℃即被破坏。各种酶及能使蛋白质凝固变性的物质,均能破坏抗体的作用。抗体可被中性盐类沉淀。在上常可用硫酸铵或硫酸钠从免疫血清中沉淀出含有抗体的球蛋白,再经透析法将其纯化。
Anti-ADAM10/MADM/CD156c/FITC 荧光素标记去整合素样金属酶10抗体IgGMulti-class antibodies规格: 0.2ml
Anti-EP3/FITC 荧光素标记素E受体3抗体IgGMulti-class antibodies规格: 0.2ml
Rhesus antibody Rh CRLR/CGRPR1 降钙素基因相关肽1型受体抗体 规格 0.1ml
GSK-3 Beta, (Glycogen Synthase Kinase-3) 糖原合酶激酶-3 beta(多肽) 0.5mg
Ku-70 DNA修复酶Ku70抗体 0.1ml
Rhesus antibody Rh USP28 泛素特异性酶28抗体 规格 0.2ml
Anti-EP3/FITC 荧光素标记素E受体3抗体IgGMulti-class antibodies规格: 0.2ml
Anti-ATF6/FITC 荧光素标记活化转录6抗体IgGMulti-class antibodies规格: 0.2ml
Anti-phospho-GAB2 (Tyr643) /FITC 荧光素标记磷酸化接头Gab2抗体IgGMulti-class antibodies规格: 0.2ml
Rhesus antibody Rh CMG1 毛细管形态发生1抗体 规格 0.2ml
NKR(Neuromedin B Receptor) 神经激肽B受体(抗原) 0.5mg
ICT1 肽酰tRNA水解酶ICT1抗体 0.2ml
Rhesus antibody Rh TRPM8 “冷”TRPM8抗体 规格 0.2ml
Anti-phospho-GAB2 (Tyr643) /FITC 荧光素标记磷酸化接头Gab2抗体IgGMulti-class antibodies规格: 0.2ml
Anti-Phospho-SMC1 (Ser957)/FITC 荧光素标记磷酸化染色体结构维持质1抗体IgGMulti-class antibodies规格: 0.2ml
ChAT(Choline Acetyltransferase) 乙酰转移酶(抗原)Multi-class antibodies规格: 0.5mg
骨保护/护骨素抗体 Anti-OPG 0.1ml
SRRM1 丝酸/精酸相关核基质1抗体 0.2ml
phospho-EGFR (Ser768) 磷酸化表皮生长受体抗体 0.1ml
Rhesus antibody Rh Phospho-NMDAR2B (Tyr1252) 磷酸化受体2B抗体 规格 0.1ml
ChAT(Choline Acetyltransferase) 乙酰转移酶(抗原)Multi-class antibodies规格: 0.5mg
HCCR-1(BRI3 binding protein) 人基因/bri3结合(抗原) 0.5mg
IL-12 白介素12抗体 0.1ml
Rhesus antibody Rh CKMT2 肌酸磷酸激酶2抗体 规格 0.2ml
Anti-Bassoon/BSN /FITC 荧光素标记锌指231抗体IgGMulti-class antibodies规格: 0.2ml
Rhesus antibody Rh TREM2 髓系触发受体2抗体 规格 0.1ml
Anti-GFP/FITC 荧光素标记绿色荧光抗体IgGMulti-class antibodies规格: 0.2ml
β2-微球蛋白抗体豚鼠色素P450氧化还原酶(CPR)试剂盒 Anti-NTF3 Antibody丝/苏激酶36融合同源蛋白抗体
豚鼠TATA框结合蛋白相关因子2(TAF2)试剂盒Anti-NTN1 AntibodyS100P结合蛋白抗体
豚鼠甲状腺过氧化物酶(TPO)试剂盒Anti-NTRK1 AntibodySAMD14抗体
豚鼠降钙素(CT)试剂盒 Anti-NTN1 Antibody模块化钙结合蛋白2抗体(平滑肌相关蛋白2)
豚鼠胸腺表达趋化因子(TECK/CCL25)试剂盒 Anti-NTRK1 Antibody钠单独转运蛋白SLC26A4抗体
豚鼠磷脂酶B(PLB)试剂盒Anti-NTRK1 Antibody快速发育生长因子同源蛋白2抗体
豚鼠亚甲基四氢叶酸还原酶(MTHFR)试剂盒Anti-NTRK1 AntibodySPNS1抗体
风险提示:丁香通仅作为第三方平台,为商家信息发布提供平台空间。用户咨询产品时请注意保护个人信息及财产安全,合理判断,谨慎选购商品,商家和用户对交易行为负责。对于医疗器械类产品,请先查证核实企业经营资质和医疗器械产品注册证情况。
技术资料暂无技术资料 索取技术资料
β2-微球蛋白抗体
¥1080 - 3200









