相关产品推荐更多 >
万千商家帮你免费找货
0 人在求购买到急需产品
- 详细信息
- 文献和实验
- 技术资料
- 抗体名:
CD31抗体
- 抗体英文名:
Platelet endothelial cell adhesion molecule, PECAM-1, EndoCAM, GPIIA', PECA1, CD31, PECAM1,PECAM1
- 靶点:
-
- 浓度:
-
- 应用范围:
-
- 宿主:
-
- 适应物种:
-
- 保质期:
-
- 抗原来源:
-
- 目录编号:
-
- 级别:
-
- 库存:
现货
- 供应商:
爱必信(上海)生物科技有限公司
- 标记物:
-
- 克隆性:
-
- 保存条件:
Maintain refrigerated at 2-8°C for up to 2 weeks. For long term storage store at -20°C in small aliquots to prevent freeze-thaw cycles.
- 形态:
-
- 亚型:
-
- 免疫原:
-
- 规格:
50ul
| 别名 | CD31抗体;Platelet endothelial cell adhesion molecule, PECAM-1, EndoCAM, GPIIA', PECA1, CD31, PECAM1,PECAM1 |
| 宿主 | Rabbit |
| 特异性 | This CD31 antibody is generated from rabbits immunized with a KLH conjugated synthetic peptide between 690-718 amino acids from the C-terminal region of human CD31. |
| 反应种属 | Human |
| 应用 | FC~~1:25 WB~~1:1000 IHC-P~~1:10~50 |
| 分子量 | Predicted molecular weight: 83kD Disclaimer note: The observed molecular weight of the protein may vary from the listed predicted molecular weight due to post translational modifications, post translation cleavages, relative charges, and other experimental factors. |
| 类型 | Polyclonal Antibody |
| 同种型 | Rabbit Ig |
| 储存/保存方法 | Maintain refrigerated at 2-8°C for up to 2 weeks. For long time storage store at -20°C in small aliquots to prevent freeze-thaw cycles. |
| 存储溶液 | Purified polyclonal antibody supplied in PBS with 0.09% (W/V) sodium azide. This antibody is prepared by Saturated Ammonium Sulfate (SAS) precipitation followed by dialysis against PBS. |
| 研究领域 | Cancer Antibodies;Cardiovascular;Signal Transduction;Immunology;Stem Cells;Others |
| 背景说明 | Induces susceptibility to atherosclerosis (By similarity). Cell adhesion molecule which is required for leukocyte transendothelial migration (TEM) under most inflammatory conditions. Tyr-690 plays a critical role in TEM and is required for efficient trafficking of PECAM1 to and from the lateral border recycling compartment (LBRC) and is also essential for the LBRC membrane to be targeted around migrating leukocytes. Prevents phagocyte ingestion of closely apposed viable cells by transmitting 'detachment' signals, and changes function on apoptosis, promoting tethering of dying cells to phagocytes (the encounter of a viable cell with a phagocyte via the homophilic interaction of PECAM1 on both cell surfaces leads to the viable cell's active repulsion from the phagocyte. During apoptosis, the inside-out signaling of PECAM1 is somehow disabled so that the apoptotic cell does not actively reject the phagocyte anymore. The lack of this repulsion signal together with the interaction of the eat-me signals and their respective receptors causes the attachment of the apoptotic cell to the phagocyte, thus triggering the process of engulfment). Isoform Delta15 is unable to protect against apoptosis. Modulates BDKRB2 activation. Regulates bradykinin- and hyperosmotic shock-induced ERK1/2 activation in human umbilical cord vein cells (HUVEC). |
| 细胞定位 | Isoform Long: Cell membrane; Single-pass type I membrane protein. Cell membrane; Lipid-anchor. Cell junction. Note=Localizes to the lateral border recycling compartment (LBRC) and recycles from the LBRC to the junction in resting endothelial cells |
| UniProt | P16284 |
| 参考文献 | Simmons D.L., Walker C.J. Exp. Med. 171:2147-2152(1990) Stockinger H., Gadd S.J.J. Immunol. 145:3889-3897(1990) Newman P.J., Berndt M.C.Science 247:1219-1222(1990) |
Overlay histogram showing THP-1 cells stained with AP7465b (green line). The cells were fixed with 2% paraformaldehyde (10 min). The cells were then icubated in 2% bovine serum albumin to block non-specific protein-protein interactions followed by the antibody (AP7465b, 1:25 dilution) for 60 min at 37ºC. The secondary antibody used was Goat-Anti-Rabbit IgG, DyLight® 488 Conjugated Highly Cross-Adsorbed(OH191631) at 1/200 dilution for 40 min at 37ºC. Isotype control antibody (blue line) was rabbit IgG (1μg/1x10^6 cells) used under the same conditions. Acquisition of >10, 000 events was performed.
All lanes : Anti-CD31 Antibody (C-term) at 1:2000 dilution Lane 1: Jurkat whole cell lysate Lane 2: human lung lysate Lane 3: THP-1 whole cell lysate Lysates/proteins at 20 µg per lane. Secondary Goat Anti-Rabbit IgG, (H+L), Peroxidase conjugated at 1/10000 dilution. Predicted band size : 83 kDa Blocking/Dilution buffer: 5% NFDM/TBST.
Western blot analysis of CD31 antibody (C-term) (Cat.#AP7465b) in HL60 cell line lysates (35ug/lane). CD31 (arrow) was detected using the purified Pab.
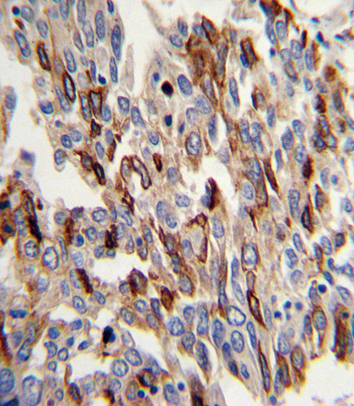
Formalin-fixed and paraffin-embedded human lung carcinoma with CD31 Antibody (C-term), which was peroxidase-conjugated to the secondary antibody, followed by DAB staining. This data demonstrates the use of this antibody for immunohistochemistry; clinical relevance has not been evaluated.
风险提示:丁香通仅作为第三方平台,为商家信息发布提供平台空间。用户咨询产品时请注意保护个人信息及财产安全,合理判断,谨慎选购商品,商家和用户对交易行为负责。对于医疗器械类产品,请先查证核实企业经营资质和医疗器械产品注册证情况。
文献和实验该产品被引用文献
- BAP31 regulates the expression of ICAM-1/VCAM-1 via MyD88/NF-κB pathway in acute lung injury mice modelGuoxun Li, Xiaohan Jiang, Xiaoyu Liang, Yue Hou, Jingnan Zang, Benzhi Zhu, Congcong Jia, Kunwei Niu, Xia Liu, Xiaoli Xu, Rui Jiang, Bing Wang
LIFE SCIENCES. 2022 Dec 20 .
影响因子: 6.78
技术资料暂无技术资料 索取技术资料
文献支持
Rabbit anti-CD31 (C-term) Polyclonal Antibody,CD31抗体
¥1500






