相关产品推荐更多 >
万千商家帮你免费找货
0 人在求购买到急需产品
- 详细信息
- 文献和实验
- 技术资料
- 品系:
人源细胞株
- 细胞类型:
表皮样细胞
- 肿瘤类型:
详询
- 供应商:
IMMOCELL
- 库存:
9999
- 英文名:
NCI-H3122人非小细胞肺癌细胞
- 生长状态:
贴壁生长
- 年限:
详询
- 运输方式:
顺丰快递
- 器官来源:
肺
- 是否是肿瘤细胞:
详询
- 细胞形态:
表皮样细胞
- 免疫类型:
详询
- 物种来源:
人源细胞株
- 相关疾病:
详询
- 组织来源:
肺
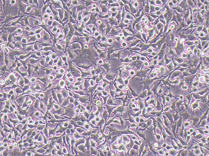
人非小细胞肺癌细胞NCI-H3122
产品基本信息
细胞名称:NCI-H3122,人非小细胞肺癌细胞
种属来源:人
组织来源:肺
细胞形态:表皮样细胞
生长特性:贴壁生长
培养基:90% 1640+10% FBS+PS
生长条件:气相:95%空气+5%二氧化碳;温度:37℃
传代方法:1:2至1:3,每周 2-3次
冻存条件:无血清冻存液,液氮储存
支原体检测:无
细胞培养操作
1)复苏细胞:将含有1 mL细胞悬液的冻存管在 37℃水浴中迅速摇晃解冻,加4 mL培养基混合均匀。在1000 rpm条件下离心3 min,弃去上清液,加1-2 mL培养基后吹匀。然后将所有细胞悬液加入含适量培养基的培养瓶中培养过夜(或将细胞悬液加入6 cm皿中,加入约4 mL培养基,培养过夜)。第二天换液并检查细胞密度。
2)细胞传代:如果细胞密度达80%-90%,即可进行传代培养。
a、弃去培养上清,用不含钙、镁离子的PBS润洗细胞1-2次。
b、加1 mL消化液(0.25%Trypsin-0.02% EDTA)于培养瓶中,使消化液浸润所有细胞,将培养瓶置于37℃培养箱中消化1-3min(视细胞情况而定),然后在显微镜下观察细胞消化情况,若细胞大部分变圆并脱落,迅速拿回操作台,加2-3ml完全培养基终止消化。轻轻打匀后装入无菌离心管中,1000 rpm离心5 min,弃去上清液,补加1-2 mL培养液后吹匀。
c、将细胞悬液按1:2比例分到新的含8 mL培养基的新皿中或者瓶中,置于培养箱中培养。
3)细胞冻存:待细胞生长状态良好时,可进行细胞冻存。下面 T25 瓶为例;
a、收集细胞及细胞培养液,装入无菌离心管中,1000 rpm条件下离心4 min,弃去上清液,用PBS清洗一遍,弃尽PBS,进行细胞计数。
b、根据细胞数量加入无血清细胞冻存液,使细胞密度5×106~1×107/mL,轻轻混匀,每支冻存管冻存1mL细胞悬液,注意冻存管做好标识。
c、将冻存管放入-80℃冰箱,24 h后转入液氮灌储存。记录冻存管位置以便下次拿取。




风险提示:丁香通仅作为第三方平台,为商家信息发布提供平台空间。用户咨询产品时请注意保护个人信息及财产安全,合理判断,谨慎选购商品,商家和用户对交易行为负责。对于医疗器械类产品,请先查证核实企业经营资质和医疗器械产品注册证情况。
文献和实验。 1. 分泌蛋白质的 O-糖基化 对植物分泌蛋白的 O-糖基化的了解还很少。只有少数几篇文章报道了与植物糖蛋白上的一些丝氨酸或苏氨酸残基连接的 O-聚糖。一些糖蛋白,如细胞壁伸展蛋白和液泡中的甘薯贮藏蛋白(sporamin) 都被认为是一类含有一个单半乳糖 O-糖基化的丝氨酸残基的糖蛋白 [ 2,3] 。分析鉴定水稻被转运到液泡的谷蛋白也是为了证明哺乳动物黏蛋白型糖基化的存在,植物中这一类型 O-糖基化依然存在争议 [4] 。第二种类型的分泌蛋白 O-糖基化要求糖蛋白脯氨酸残基的羟基化,我们已发
6-4-3 目前常见微生物鉴定系统 生产厂商 系统名称 可鉴定的微生物 孵育时间及条件 ANI 厌氧菌 4h;需氧 API20A 厌氧菌 24h;厌氧 API An-IDENT 厌氧菌 4h;需氧 API Staph(STAPH-Trac) 葡萄球菌、微球菌 24h GPI 革兰阳性球菌和杆菌 2~15h ID32 Staph 葡萄球菌 24h API Coryne(Rapid CORYNE) 棒状杆菌及相关菌 24h API 20Strep(Rapid
(0.85±0.64%) PK9* 0.4% PK45H 1.3% 乳腺癌 MCF7 SK-BR-3 MCF-7 (重复) 2.0% 前列腺癌 LAPC-9 胶质瘤 4-37% SK-N-SH IMR-32 LAN-1 LAN-5 JF U373 U87MG HS 683 B104大鼠成神经细胞瘤 0.4% C6大鼠胶质瘤 0.4% 卵巢癌 SK-OV-3 小细胞肺癌 NCI-H146











