万千商家帮你免费找货
0 人在求购买到急需产品
- 详细信息
- 技术资料
- 形态:
液体
- 保存条件:
冷冻(-20℃)避光
- 克隆性:
多克隆
- 保质期:
一年
- 抗原来源:
DAAM1
- 库存:
200
- 供应商:
上海酶联生物科技有限公司
- 宿主:
Rabbit
- 应用范围:
仅供科研使用
- 抗体英文名:
Anti-DAAM1rabbitpolyclonalantibody
- 抗体名:
兔抗DAAM1多克隆抗体
- 规格:
100ul/200ul/25ul
| 规格: | 100ul | 产品价格: | ¥1560.0 |
|---|---|---|---|
| 规格: | 200ul | 产品价格: | ¥2500.0 |
| 规格: | 25ul | 产品价格: | ¥420.0 |
中文名称: 兔抗DAAM1多克隆抗体
英文名称:Anti-DAAM1rabbitpolyclonalantibody
相关类别:一抗
储存:冷冻(-20℃)
宿主:Rabbit
抗原:DAAM1
反应种属:Human,Mouse
标记物:Unconjugate
克隆类型:rabbitpolyclonal
技术规格
英文名称:Anti-DAAM1rabbitpolyclonalantibody
相关类别:一抗
储存:冷冻(-20℃)
宿主:Rabbit
抗原:DAAM1
反应种属:Human,Mouse
标记物:Unconjugate
克隆类型:rabbitpolyclonal
技术规格
| Background: | Cellmotility,adhesion,cytokinesis,andotherfunctionsof thecellcortexaremediatedbyreorganizationoftheactincy toskeletonandseveralforminhomology(FH)proteinshave beenassociatedwiththeseprocesses.Theproteinencoded bythisgenecontainstwoFHdomainsandbelongstoanovel FHproteinsubfamilyimplicatedincellpolarity.Akeyregula torofcytoskeletalarchitecture,thesmallGTPaseRho,isac tivatedduringdevelopmentbyWnt/Fzsignalingtocontro lcellpolarityandmovement.Theproteinencodedbythis geneisthoughttofunctionasascaffoldingproteinforthe Wnt-inducedassemblyofadisheveled(Dvl)-Rhocomplex. |
| Applications: | ELISA,WB,IHC |
| Nameofantibody: | DAAM1 |
| Immunogen: | SyntheticpeptideofhumanDAAM1 |
| Fullname: | dishevelledassociatedactivatorofmorphogenesis1 |
| SwissProt: | Q9Y4D1 |
| ELISARecommendeddilution: | 1000-2000 |
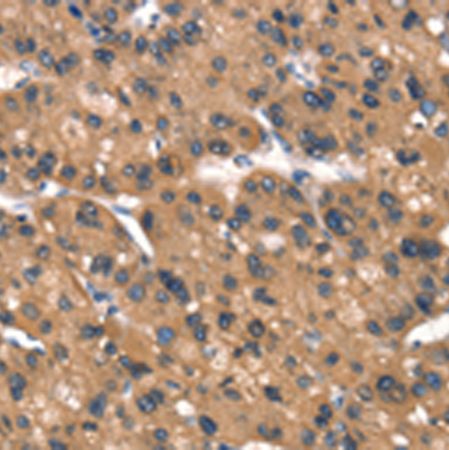
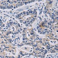
| IHCpositivecontrol: | HumanlivercancerandHumangastriccancer |
| IHCRecommenddilution: | 50-200 |
| WBPredictedbandsize: | 123kDa |
| WBPositivecontrol: | Helaand293Tcells |
| WBRecommendeddilution: | 200-1000 |
风险提示:丁香通仅作为第三方平台,为商家信息发布提供平台空间。用户咨询产品时请注意保护个人信息及财产安全,合理判断,谨慎选购商品,商家和用户对交易行为负责。对于医疗器械类产品,请先查证核实企业经营资质和医疗器械产品注册证情况。
技术资料兔抗DAAM1多克隆抗体
¥420 - 2500










