相关产品推荐更多 >
万千商家帮你免费找货
0 人在求购买到急需产品
- 详细信息
- 技术资料
- 形态:
液体
- 保存条件:
冷冻(-20℃)避光
- 克隆性:
多克隆
- 保质期:
一年
- 抗原来源:
FOXQ1
- 库存:
200
- 供应商:
上海酶联生物科技有限公司
- 宿主:
Rabbit
- 应用范围:
仅供科研使用
- 抗体英文名:
Anti-FOXQ1rabbitpolyclonalantibody
- 抗体名:
兔抗FOXQ1多克隆抗体
- 规格:
100ul/200ul/25ul
| 规格: | 100ul | 产品价格: | ¥1560.0 |
|---|---|---|---|
| 规格: | 200ul | 产品价格: | ¥2500.0 |
| 规格: | 25ul | 产品价格: | ¥420.0 |
中文名称: 兔抗FOXQ1多克隆抗体
英文名称:Anti-FOXQ1rabbitpolyclonalantibody
别名:forkheadboxQ1;HFH1
抗原:FOXQ1
相关类别:一抗
储存:冷冻(-20℃)
宿主:Rabbit
反应种属:Human
标记物:Unconjugate
克隆类型:rabbitpolyclonal
英文名称:Anti-FOXQ1rabbitpolyclonalantibody
别名:forkheadboxQ1;HFH1
抗原:FOXQ1
相关类别:一抗
储存:冷冻(-20℃)
宿主:Rabbit
反应种属:Human
标记物:Unconjugate
克隆类型:rabbitpolyclonal
技术规格
| Background: | FOXQ1 is a member of the FOX gene family, which is characterized by a conserved 110-amino acid DNA-binding motif called the forkhead or winged helix domain. FOX genes are involved in embryonic development, cell cycle regulation, tissue-specific gene expression, cell signaling, and tumorigenesis (Bieller et al., 2001 [PubMed 11747606]). |
| Applications: | ELISA, WB, IHC |
| Name of antibody: | FOXQ1 |
| Immunogen: | Synthetic peptide of human FOXQ1 |
| Full name: | forkhead box Q1 |
| Synonyms: | HFH1 |
| SwissProt: | Q9C009 |
| ELISA Recommended dilution: | 5000-10000 |
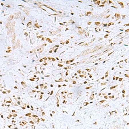
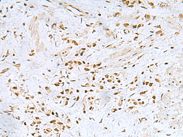
| IHC positive control: | Human gastric cancer and Human ovarian cancer |
| IHC Recommend dilution: | 25-50 |
| WB Predicted band size: | 42 kDa |
| WB Positive control: | Mouse kidney tissue lysate |
| WB Recommended dilution: | 500-2000 |
风险提示:丁香通仅作为第三方平台,为商家信息发布提供平台空间。用户咨询产品时请注意保护个人信息及财产安全,合理判断,谨慎选购商品,商家和用户对交易行为负责。对于医疗器械类产品,请先查证核实企业经营资质和医疗器械产品注册证情况。
技术资料兔抗FOXQ1多克隆抗体
¥420 - 2500







