万千商家帮你免费找货
0 人在求购买到急需产品
- 详细信息
- 技术资料
- 形态:
液体
- 保存条件:
冷冻(-20℃)避光
- 克隆性:
多克隆
- 保质期:
一年
- 抗原来源:
FBXO11
- 库存:
200
- 供应商:
上海酶联生物科技有限公司
- 宿主:
Rabbit
- 应用范围:
仅供科研使用
- 抗体英文名:
Anti-FBXO11rabbitpolyclonalantibody
- 抗体名:
兔抗FBXO11多克隆抗体
- 规格:
100ul/200ul/25ul
| 规格: | 100ul | 产品价格: | ¥1560.0 |
|---|---|---|---|
| 规格: | 200ul | 产品价格: | ¥2500.0 |
| 规格: | 25ul | 产品价格: | ¥420.0 |
中文名称: 兔抗FBXO11多克隆抗体
英文名称:Anti-FBXO11rabbitpolyclonalantibody
别名:F-boxprotein11;UBR6;VIT1;FBX11;PRMT9;IDDFBA;UG063H01
相关类别:一抗
储存:冷冻(-20℃)
宿主:Rabbit
抗原:FBXO11
反应种属:Human,Mouse,Rat
标记物:Unconjugate
克隆类型:rabbitpolyclonal
技术规格
英文名称:Anti-FBXO11rabbitpolyclonalantibody
别名:F-boxprotein11;UBR6;VIT1;FBX11;PRMT9;IDDFBA;UG063H01
相关类别:一抗
储存:冷冻(-20℃)
宿主:Rabbit
抗原:FBXO11
反应种属:Human,Mouse,Rat
标记物:Unconjugate
克隆类型:rabbitpolyclonal
技术规格
| Background: | ThisgeneencodesamemberoftheF-boxproteinfamilywhichisch aracterizedbyanapproximately40aminoacidmotif,theF-box.Th eF-boxproteinsconstituteoneofthefoursubunitsofubiquitinpro teinligasecomplexcalledSCFs(SKP1-cullin-F-box),whichfunctio ninphosphorylation-dependentubiquitination.TheF-boxprotei nsaredividedinto3classes:FbwscontainingWD-40domains,Fblsc ontainingleucine-richrepeats,andFbxscontainingeitherdifferent protein-proteininteractionmodulesornorecognizablemotifs.The proteinencodedbythisgenebelongstotheFbxsclass.Itcanfunctio nasanargininemethyltransferasethatsymmetricallydimethylates arginineresidues,anditactsasanadaptorproteintomediatethene ddylationofp53,whichleadstothesuppressionofp53function.This geneisknowntobedown-regulatedinmelanocytesfrompatients withvitiligo,askindisorder thatresultsindepigmentation.Polymorphismsinthisgeneareass ociatedwithchronicotitismediawitheffusionandrecurrentotitism edia(COME/ROM),ahearinglossdisorder,andtheknockoutoftheh omologousmousegeneresultsinthedeafmousemutantJeff(Jf),asi nglegenemodelofotitismedia.Alternativelysplicedtranscriptvarian tsencodingdistinctisoformshavebeenidentifiedforthisgene.[providedbyRefSeq,Jun2010] |
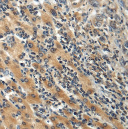
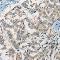
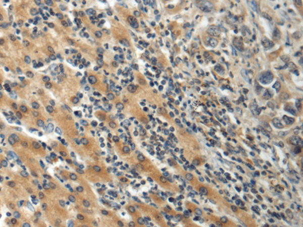
| Applications: | ELISA,IHC |
| Nameofantibody: | FBXO11 |
| Immunogen: | FusionproteinofhumanFBXO11 |
| Fullname: | F-boxprotein11 |
| Synonyms: | UBR6;VIT1;FBX11;PRMT9;IDDFBA;UG063H01 |
| SwissProt: | Q86XK2 |
| ELISARecommendeddilution: | 5000-10000 |
| IHCpositivecontrol: | Humanlivercancer |
| IHCRecommenddilution: | 100-300 |
风险提示:丁香通仅作为第三方平台,为商家信息发布提供平台空间。用户咨询产品时请注意保护个人信息及财产安全,合理判断,谨慎选购商品,商家和用户对交易行为负责。对于医疗器械类产品,请先查证核实企业经营资质和医疗器械产品注册证情况。
技术资料兔抗FBXO11多克隆抗体
¥420 - 2500









