万千商家帮你免费找货
0 人在求购买到急需产品
- 详细信息
- 技术资料
- 形态:
液体
- 保存条件:
冷冻(-20℃)避光
- 克隆性:
多克隆
- 保质期:
一年
- 抗原来源:
B3GALTL
- 库存:
200
- 供应商:
上海酶联生物科技有限公司
- 宿主:
Rabbit
- 应用范围:
仅供科研使用
- 抗体英文名:
Anti-B3GALTLrabbitpolyclonalantibody
- 抗体名:
兔抗B3GALTL多克隆抗体
- 规格:
100ul/200ul/25ul
| 规格: | 100ul | 产品价格: | ¥1560.0 |
|---|---|---|---|
| 规格: | 200ul | 产品价格: | ¥2500.0 |
| 规格: | 25ul | 产品价格: | ¥680.0 |
中文名称: 兔抗B3GALTL多克隆抗体
英文名称:Anti-B3GALTLrabbitpolyclonalantibody
别名:B3GTL;Gal-T;B3GLCT;B3Glc-T;beta3Glc-T
抗原:B3GALTL
储存:冷冻(-20℃)避光
宿主:Rabbit
反应种属:Human
相关类别:一抗
标记物:Unconjugate
克隆类型:Unconjugate
技术规格
英文名称:Anti-B3GALTLrabbitpolyclonalantibody
别名:B3GTL;Gal-T;B3GLCT;B3Glc-T;beta3Glc-T
抗原:B3GALTL
储存:冷冻(-20℃)避光
宿主:Rabbit
反应种属:Human
相关类别:一抗
标记物:Unconjugate
克隆类型:Unconjugate
技术规格
| Background: | Theproteinencodedbythisgeneisabeta-1,3-glucosyltransferasethattr ansfersglucosetoO-linkedfucosylglycansonthrombospondintype-1repeats(TSRs)ofseveralproteins.TheencodedproteinisatypeIImembr aneprotein.DefectsinthisgeneareacauseofPeters-plussyndrome(PPS). |
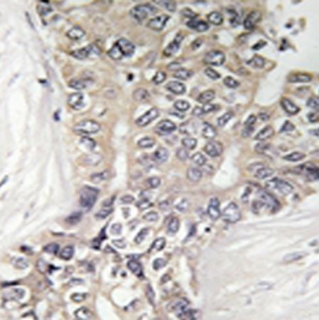
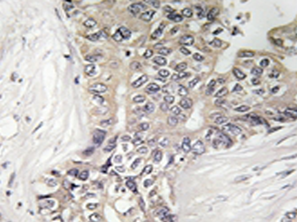
| Applications: | WB,IHC |
| Nameofantibody: | B3GALTL |
| Immunogen: | SynthesizedpeptidederivedfromC-terminalofhumanB3GALTL. |
| Fullname: | beta1,3-galactosyltransferase-like |
| Synonyms: | B3GTL;Gal-T;B3GLCT;B3Glc-T;beta3Glc-T |
| SwissProt: | Q6Y288 |
| IHCpositivecontrol: | Humanlivercarcinomatissue |
| IHCRecommenddilution: | 50-100 |
| WBPredictedbandsize: | 57kDa |
| WBPositivecontrol: | HepG2cells,Jurkatcells,MCF-7cellsandHuveccellslysates |
| WBRecommendeddilution: | 500-3000 |
风险提示:丁香通仅作为第三方平台,为商家信息发布提供平台空间。用户咨询产品时请注意保护个人信息及财产安全,合理判断,谨慎选购商品,商家和用户对交易行为负责。对于医疗器械类产品,请先查证核实企业经营资质和医疗器械产品注册证情况。
技术资料兔抗B3GALTL多克隆抗体
¥680 - 2500










