相关产品推荐更多 >
万千商家帮你免费找货
0 人在求购买到急需产品
- 详细信息
- 技术资料
- 形态:
液体
- 保存条件:
冷冻(-20℃)避光保存
- 克隆性:
多克隆
- 保质期:
一年
- 抗原来源:
UQCRC2
- 库存:
200
- 供应商:
上海酶联生物科技有限公司
- 宿主:
Rabbit
- 应用范围:
仅供科研使用
- 抗体英文名:
Anti-UQCRC2rabbitpolyclonalantibody
- 抗体名:
兔抗UQCRC2多克隆抗体
- 规格:
100ul/200ul/25ul
| 规格: | 100ul | 产品价格: | ¥1560.0 |
|---|---|---|---|
| 规格: | 200ul | 产品价格: | ¥2500.0 |
| 规格: | 25ul | 产品价格: | ¥420.0 |
中文名称:兔抗UQCRC2多克隆抗体
英文名称:Anti-UQCRC2rabbitpolyclonalantibody
别名:QCR2;UQCR2;MC3DN5
储存:冷冻(-20℃)
抗原:UQCRC2
宿主:Rabbit
反应种属:Human,Mouse,Rat
相关类别:一抗
标记物:Unconjugate
克隆类型:rabbitpolyclona
技术规格
| Background: | Thisisacomponentoftheubiquinol -cytochromecreductasecomplex (complexIIIorcytochromeb-c1comp lex),whichispartofthemi tochondrialrespiratorychain.Theco reprotein2isrequiredfortheassemb lyofthecomplex. |
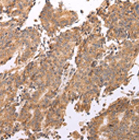
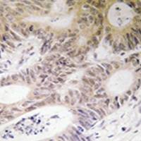
| Applications: | ELISA,WB,IHC |
| Nameofantibody: | UQCRC2 |
| Immunogen: | FusionproteinofhumanUQCRC2 |
| Fullname: | ubiquinol-cytochromecreductasecoreproteinII |
| Synonyms: | QCR2;UQCR2;MC3DN5 |
| SwissProt: | P22695 |
| ELISARecommendeddilution: | 2000-10000 |
| IHCpositivecontrol: | HumanprostatecancerandHumanbrain |
| IHCRecommenddilution: | 25-100 |
| WBPredictedbandsize: | 48kDa |
| WBPositivecontrol: | Jurkat,Raji,hepg2,A431andHT-29cell |
| WBRecommendeddilution: | 1000-5000 |
风险提示:丁香通仅作为第三方平台,为商家信息发布提供平台空间。用户咨询产品时请注意保护个人信息及财产安全,合理判断,谨慎选购商品,商家和用户对交易行为负责。对于医疗器械类产品,请先查证核实企业经营资质和医疗器械产品注册证情况。
兔抗UQCRC2多克隆抗体
¥420 - 2500










