相关产品推荐更多 >
万千商家帮你免费找货
0 人在求购买到急需产品
- 详细信息
- 文献和实验
- 技术资料
- 形态:
液体
- 保存条件:
冷冻(-20℃)避光保存
- 克隆性:
单克隆
- 保质期:
一年
- 抗原来源:
EGFR
- 库存:
200
- 供应商:
上海酶联生物科技有限公司
- 宿主:
Mouse
- 应用范围:
仅供科研使用
- 抗体英文名:
Anti-EGFRmousemonoclonalantibody
- 抗体名:
小鼠抗EGFR单克隆抗体
- 规格:
100ul
英文名称:Anti-EGFRmousemonoclonalantibody
别名:epidermalgrowthfactorreceptor;ERBB;HER1;mENA;ERBB1;PIG61;NISBD2
相关类别:一抗
储存:冷冻(-20℃)
宿主:Mouse
抗原:EGFR
反应种属:Human
标记物:Unconjugate
克隆类型:mousemonoclonal
技术规格
| Background: | Theproteinencodedbythisgeneisatransme mbraneglycoproteinthatisamemberofthep roteinkinasesuperfamily.Thisproteinisarecept orformembersoftheepidermalgrowthfactorfa mily.EGFRisacellsurfaceproteinthatbindstoepid ermalgrowthfactor.Bindingoftheproteintoaligan dinducesreceptordimerizationandtyrosineautopho sphorylationandleadstocellproliferation.Mutationsin thisgeneareassociatedwithlungcancer. |
| Applications: | WB,IHC |
| Nameofantibody: | EGFR |
| Immunogen: | FusionproteinofhumanEGFR |
| Fullname: | epidermalgrowthfactorreceptor |
| Synonyms: | ERBB;HER1;mENA;ERBB1;PIG61;NISBD2 |
| SwissProt: | P00533 |
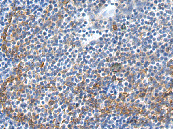
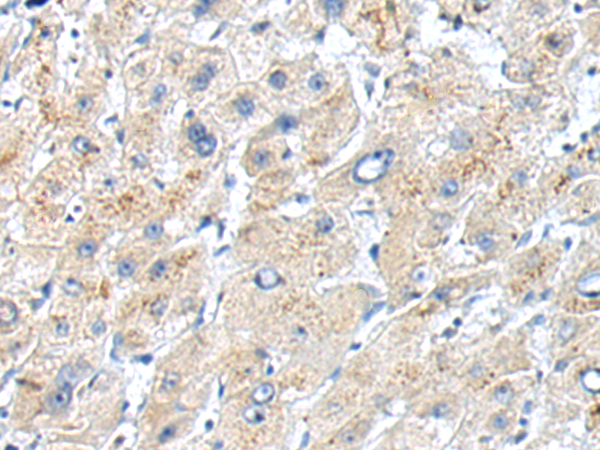
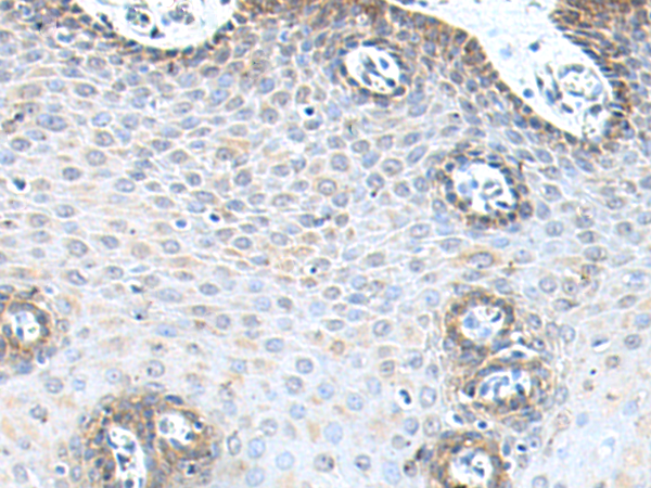
| IHCpositivecontrol: | HumantonsilandHumanlivercancer;Humanesop haguscancer |
| IHCRecommenddilution: | 100-500 |
| WBPredictedbandsize: | 134kDa |
| WBPositivecontrol: | SKOV3andPC3celllysates |
| WBRecommendeddilution: | 1000-5000 |
风险提示:丁香通仅作为第三方平台,为商家信息发布提供平台空间。用户咨询产品时请注意保护个人信息及财产安全,合理判断,谨慎选购商品,商家和用户对交易行为负责。对于医疗器械类产品,请先查证核实企业经营资质和医疗器械产品注册证情况。
文献和实验相同的抗表皮生长因子(EGFR-1、Her-1)受体药物 a. 古巴分子免疫学中心(CIM)的抗EGFR人源化单克隆抗体h-R3重组人源化单克隆抗体h-R3是采用基因 工程、单细胞克隆等现代生物技术研制的高科技生物药品,是一种专门治疗表皮生长因子受体(EGF-R)高表达肿瘤的人源化单克隆抗体,也就是人们常说的“生物导弹”。可用来治疗头颈部、胃、肺、乳腺、结肠、直肠、食道、宫颈等器官的上皮源性肿瘤。该产品的人源化程度高达98%,人源化的技术水平超出美国英克隆(ImClone
小鼠总抗氧化能力的测定 刘小美 宋菊敏 (2006-10-24) 一、原理 机体中有许多抗氧化物质,能使Fe3 + 还原成Fe2 + ,后者可与菲啉类物质形成稳固的络合物,通过比色可测出其抗氧化能力的高低。 二、目的 1.掌握总抗
密切相关。七十年代,研究人员用凝胶梯度电泳等 生物 化学方法发现了几十种血小板表面膜蛋白,其中一组被称为糖蛋白I(glycoprotein I, GPⅠ)复合物的膜蛋白与血小板“粘附”功能有关。这组复合物又可分为GPⅠb-Ⅸ复合物和GPⅠa-Ⅱa 复合物两类。1979年,笔者赴法进修血液学,有机会通过杂交瘤技术,鉴定出国际上第一个抗血小板膜糖蛋白I的单克隆抗体(AN51)。这株单克隆抗体(以下简称“单抗” ),与正常血小板特异性结合后,血小板就不能通过vW因子“粘附”到破损












