万千商家帮你免费找货
0 人在求购买到急需产品
- 详细信息
- 技术资料
- 形态:
液体
- 保存条件:
冷冻(-20℃)
- 克隆性:
多克隆
- 适应物种:
兔
- 保质期:
一年
- 抗原来源:
GAR1
- 库存:
200
- 供应商:
上海酶联生物科技有限公司
- 宿主:
Rabbit
- 应用范围:
仅供科研使用
- 抗体英文名:
Anti-GAR1rabbitpolyclonalantibody
- 抗体名:
兔抗GAR1多克隆抗体
- 规格:
100ul/200ul/25ul
| 规格: | 100ul | 产品价格: | ¥1560.0 |
|---|---|---|---|
| 规格: | 200ul | 产品价格: | ¥2500.0 |
| 规格: | 25ul | 产品价格: | ¥420.0 |
中文名称:兔抗GAR1多克隆抗体
英文名称: Anti-GAR1 rabbit polyclonal antibody
别 名: NOLA1
相关类别: 一抗
储 存: 冷冻(-20℃)
宿 主: Rabbit
抗 原: GAR1
反应种属: Human
标 记 物: Unconjugate
克隆类型: rabbit polyclonal
技术规格
| Background: | This gene is a member of the H/ACA snoRNPs (small nucleolar ribonucleoproteins) gene family. snoRNPs are involved in various aspects of rRNA processing and modification and have been classified into two families: C/D and H/ACA. The H/ACA snoRNPs also include the DKC1, NOLA2 and NOLA3 proteins. These four H/ACA snoRNP proteins localize to the dense fibrillar components of nucleoli and to coiled (Cajal) bodies in the nucleus. Both 18S rRNA production and rRNA pseudouridylation are impaired if any one of the four proteins is depleted. These four H/ACA snoRNP proteins are also components of the telomerase complex. The encoded protein of this gene contains two glycine- and arginine-rich domains and is related to Saccharomyces cerevisiae Gar1p. Two splice variants have been found for this gene. |
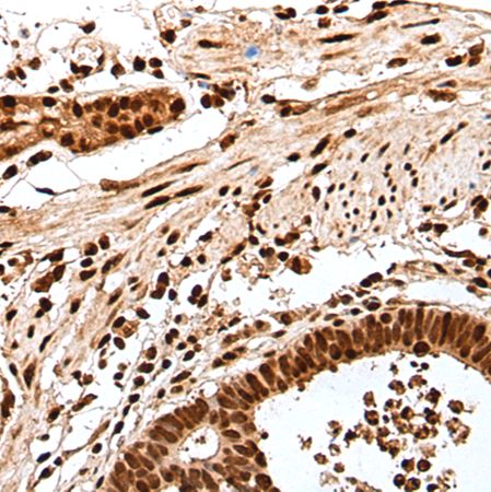
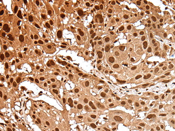
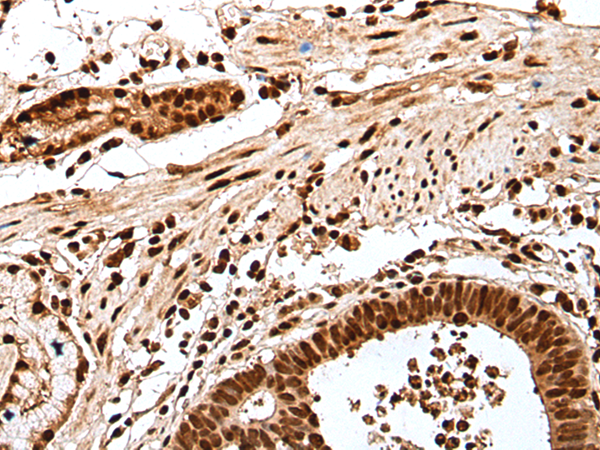
| Applications: | ELISA, IHC |
| Name of antibody: | GAR1 |
| Immunogen: | Full length fusion protein |
| Full name: | GAR1 homolog, ribonucleoprotein |
| Synonyms: | NOLA1 |
| SwissProt: | Q9NY12 |
| ELISA Recommended dilution: | 5000-10000 |
| IHC positive control: | Human esophagus cancer and human gastric cancer |
| IHC Recommend dilution: | 25-100 |
风险提示:丁香通仅作为第三方平台,为商家信息发布提供平台空间。用户咨询产品时请注意保护个人信息及财产安全,合理判断,谨慎选购商品,商家和用户对交易行为负责。对于医疗器械类产品,请先查证核实企业经营资质和医疗器械产品注册证情况。
兔抗GAR1多克隆抗体
¥420 - 2500









