相关产品推荐更多 >
万千商家帮你免费找货
0 人在求购买到急需产品
- 详细信息
- 技术资料
- 形态:
液体
- 保存条件:
冷冻(-20℃)
- 克隆性:
单克隆
- 适应物种:
小鼠
- 保质期:
一年
- 抗原来源:
BRK1
- 库存:
200
- 供应商:
上海酶联生物科技有限公司
- 宿主:
Mouse
- 应用范围:
仅供科研使用
- 抗体英文名:
Anti-BRK1mousemonoclonalantibody
- 抗体名:
小鼠抗BRK1单克隆抗体
- 规格:
100ul
中文名称: 小鼠抗BRK1单克隆抗体
英文名称:Anti-BRK1mousemonoclonalantibody
相关类别:一抗
储存:冷冻(-20℃)
宿主:Mouse
抗原:BRK1
反应种属:Human
标记物:Unconjugate
克隆类型:mousemonoclonal
技术规格
英文名称:Anti-BRK1mousemonoclonalantibody
相关类别:一抗
储存:冷冻(-20℃)
宿主:Mouse
抗原:BRK1
反应种属:Human
标记物:Unconjugate
克隆类型:mousemonoclonal
技术规格
| Background: | Involvedinregulationofactinandmicrotubuleorgani zation.PartofaWAVEcomplexthatactivatestheArp2 /3complex.AscomponentoftheWAVE1complex, requiredforBDNF-NTRK2endocytictraffickingandsignalingfromearl yendosomes. |
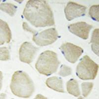
| Applications: | ELISA,WB |
| Nameofantibody: | BRK1 |
| Immunogen: | FusionproteinofhumanBRK1 |
| Fullname: | BRICK1,SCAR/WAVEactinnucleatingcomplexsubunit |
| Synonyms: | MDS027;hHBrk1;C3orf10;HSPC300 |
| SwissProt: | Q8WUW1 |
| WBPredictedbandsize: | 9kDa |
| WBPositivecontrol: | H520wholecelllysate |
| WBRecommendeddilution: | 200-1000 |
风险提示:丁香通仅作为第三方平台,为商家信息发布提供平台空间。用户咨询产品时请注意保护个人信息及财产安全,合理判断,谨慎选购商品,商家和用户对交易行为负责。对于医疗器械类产品,请先查证核实企业经营资质和医疗器械产品注册证情况。
技术资料小鼠抗BRK1单克隆抗体
¥2000









