万千商家帮你免费找货
0 人在求购买到急需产品
- 详细信息
- 技术资料
- 形态:
液体
- 保存条件:
冷冻(-20℃)
- 克隆性:
单克隆
- 适应物种:
小鼠
- 保质期:
一年
- 抗原来源:
APEX1
- 库存:
200
- 供应商:
上海酶联生物科技有限公司
- 宿主:
Mouse
- 应用范围:
仅供科研使用
- 抗体英文名:
Anti-APEX1mousemonoclonalantibody
- 抗体名:
小鼠抗APEX1单克隆抗体
- 规格:
100ul
中文名称:小鼠抗APEX1单克隆抗体
英文名称:Anti-APEX1mousemonoclonalantibody
别名:APE;APE1;APEN;APEX;APX;HAP1;REF1
抗原:APEX1
储存:冷冻(-20℃)避光
宿主:Mouse
反应种属:Human,Dog,Rat,Monkey,Mouse
相关类别:一抗
标记物:Unconjugate
克隆类型:mousemonoclonal
技术规格
英文名称:Anti-APEX1mousemonoclonalantibody
别名:APE;APE1;APEN;APEX;APX;HAP1;REF1
抗原:APEX1
储存:冷冻(-20℃)避光
宿主:Mouse
反应种属:Human,Dog,Rat,Monkey,Mouse
相关类别:一抗
标记物:Unconjugate
克隆类型:mousemonoclonal
技术规格
| Background: | Apurinic/apyrimidinic(AP)sitesoccurfrequentlyi nDNAmoleculesbyspontaneoushydrolysis,byDNA damagingagentsorbyDNAglycosylasesthatremov especificabnormalbases.APsitesarepre-mutagenic lesionsthatcanpreventnormalDNArepli cationsothecellcontainssystemstoidentifyandrep airsuchsites.ClassIIAPendonucleasescleavetheph osphodiesterbackbone5'totheAPsite.Thisgeneen codesthemajorAPendonucleaseinhumancells.Spli cevariantshavebeenfoundforthisgene;allencodethe sameprotein.[providedbyRefSeq,Jul2008]. |
| Applications: | WB,IHC |
| Nameofantibody: | APEX1 |
| Immunogen: | FusionproteinofhumanAPEX1 |
| Fullname: | APEXnuclease(multifunctionalDNArepairenzyme)1(APEX1),transcriptvariant1 |
| Synonyms: | APE;APE1;APEN;APEX;APX;HAP1;REF1 |
| SwissProt: | P27695 |
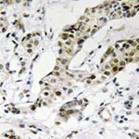
| IHCpositivecontrol: | humancolontissue |
| IHCRecommenddilution: | 30-150 |
| WBPredictedbandsize: | 36kDa |
| WBPositivecontrol: | HepG2,Hela,SVT2,A549,COS7,Jurkat,MDCK,MCF-7celllysates |
| WBRecommendeddilution: | 1000-5000 |
风险提示:丁香通仅作为第三方平台,为商家信息发布提供平台空间。用户咨询产品时请注意保护个人信息及财产安全,合理判断,谨慎选购商品,商家和用户对交易行为负责。对于医疗器械类产品,请先查证核实企业经营资质和医疗器械产品注册证情况。
技术资料小鼠抗APEX1单克隆抗体
¥2000









