万千商家帮你免费找货
0 人在求购买到急需产品
- 详细信息
- 技术资料
- 形态:
液体
- 保存条件:
冷冻(-20℃)
- 克隆性:
多克隆
- 适应物种:
兔
- 保质期:
一年
- 抗原来源:
ARNT
- 库存:
200
- 供应商:
上海酶联生物科技有限公司
- 宿主:
Rabbit
- 应用范围:
仅供科研使用
- 抗体英文名:
Anti-ARNTrabbitpolyclonalantibody
- 抗体名:
兔抗ARNT多克隆抗体
- 规格:
100ul/200ul/25ul
| 规格: | 100ul | 产品价格: | ¥1560.0 |
|---|---|---|---|
| 规格: | 200ul | 产品价格: | ¥2500.0 |
| 规格: | 25ul | 产品价格: | ¥500.0 |
中文名称: 兔抗ARNT多克隆抗体
英文名称:Anti-ARNTrabbitpolyclonalantibody
别名:ARNT;HIF-1beta;HIF1B;HIF1BETA;TANGO;bHLHe2
相关类别:一抗
储存:冷冻(-20℃)避光
宿主:Rabbit
抗原:ARNT
反应种属:Human,Mouse,Rat
标记物:Unconjugate
克隆类型:rabbitpolyclonal
技术规格
英文名称:Anti-ARNTrabbitpolyclonalantibody
别名:ARNT;HIF-1beta;HIF1B;HIF1BETA;TANGO;bHLHe2
相关类别:一抗
储存:冷冻(-20℃)避光
宿主:Rabbit
抗原:ARNT
反应种属:Human,Mouse,Rat
标记物:Unconjugate
克隆类型:rabbitpolyclonal
技术规格
| Background: | Hypoxia-induciblefactor1(HIF1)isaheterodimerictran scriptionfactorthatplaysacriticalroleinthecellularres ponsetohypoxia.TheHIF1complexconsistsoftwosub units,HIF-1αandHIF-1β,whicharebasichelix-loop-heli xproteinsofthePAS(Per,ARNT,Sim)family.HIF1reg ulatesthetranscriptionofabroadrangeofgenesthatfac ilitateresponsestothehypoxicenvironment,including genesregulatingangiogenesis,erythropoiesis,cellcycl e,metabolismandapoptosis.ThewidelyexpressedHIF- 1αistypicallydegradedrapidlyinnormoxiccellsbytheubi quitin/proteasomalpathway.Undernormoxiccondition s,HIF1αisprolinehydroxylatedleadingtoaconformation alchangethatpromotesbindingtothevonHippelLindaup rotein(VLH)E3ligasecomplex;ubiquitinationandproteas omaldegradationfollows.Bothhypoxicconditionsandch emicalhydroxylaseinhibitors(suchasdesferrioxaminean dcobalt)inhibitHIF-1αdegradationandleadtoitsstabiliza tion.Inaddition,HIF-1αcanbeinducedinanoxygen-indep endentmannerbyvariouscytokinesthroughthePI3K-AKT mTORpathway.HIF1βisalsoknownasAhRnucleartransloca tor(ARNT)duetoitsabilitytopartnerwiththearylhydrocar bonreceptor(AhR)toformaheterodimerictranscriptionfact orcomplex.TogetherwithAhR,HIF-1βplaysanimportantrolei nxenobioticsmetabolism.Inaddition,achromosomaltransloca tionleadingtoaTELARNTfusionproteinisassociatedwithacutem yeloblasticleukemia.StudiesalsofoundthatARNT/HIF1βexpres sionlevelsdecreasesignificantlyinpancreaticisletsfrompatients withtype2diabetes,suggestingthatHIF-1βplaysanimportantroleinpancreaticβ-cellfunction. |
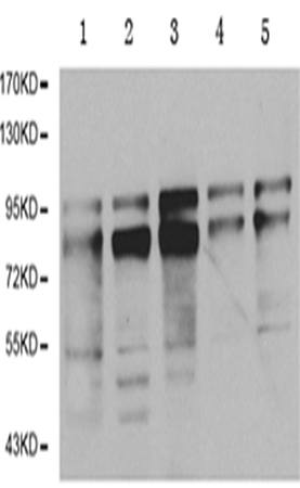
| Applications: | WB |
| Nameofantibody: | ARNT |
| Immunogen: | FusionproteinofhumanARNT |
| Fullname: | arylhydrocarbonreceptornucleartranslocator |
| Synonyms: | ARNT;HIF-1beta;HIF1B;HIF1BETA;TANGO;bHLHe2 |
| SwissProt: | P27540 |
| WBPredictedbandsize: | 87kDa |
| WBPositivecontrol: | Hepg2,MCF7,NIH3T3,U20SandHelacells |
| WBRecommendeddilution: | 500-2000 |
风险提示:丁香通仅作为第三方平台,为商家信息发布提供平台空间。用户咨询产品时请注意保护个人信息及财产安全,合理判断,谨慎选购商品,商家和用户对交易行为负责。对于医疗器械类产品,请先查证核实企业经营资质和医疗器械产品注册证情况。
技术资料兔抗ARNT多克隆抗体
¥500 - 2500









