相关产品推荐更多 >
万千商家帮你免费找货
0 人在求购买到急需产品
- 详细信息
- 技术资料
- 形态:
液体
- 保存条件:
冷冻(-20℃)避光
- 克隆性:
多克隆
- 适应物种:
兔
- 保质期:
一年
- 抗原来源:
MIEN1
- 库存:
200
- 供应商:
上海酶联生物科技有限公司
- 宿主:
Rabbit
- 应用范围:
仅供科研使用
- 抗体英文名:
Anti-MIEN1rabbitpolyclonalantibody
- 抗体名:
兔抗MIEN1多克隆抗体
- 规格:
100ul/200ul/25ul
| 规格: | 100ul | 产品价格: | ¥1560.0 |
|---|---|---|---|
| 规格: | 200ul | 产品价格: | ¥2500.0 |
| 规格: | 25ul | 产品价格: | ¥420.0 |
中文名称: 兔抗MIEN1多克隆抗体
英文名称: Anti-MIEN1 rabbit polyclonal antibody
级 别: C35; ORB3; XTP4; RDX12; C17orf37
抗 原: MIEN1
相关类别: 一抗
储 存: 冷冻(-20℃)
宿 主: Rabbit
反应种属: Human, Mouse
标 记 物: Unconjugate
克隆类型: rabbit polyclonal
技术规格
| Background: | Increases cell migration by inducing filopodia formation at the leading edge of migrating cells. Plays a role in regulation of apoptosis, possibly through control of CASP3. May be involved in a redox-related process. |
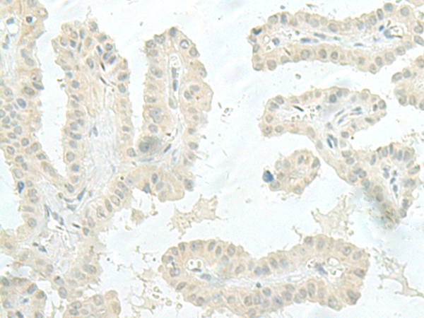
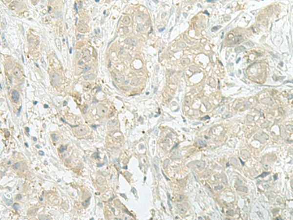
| Applications: | ELISA, IHC |
| Name of antibody: | MIEN1 |
| Immunogen: | Synthetic peptide of human MIEN1 |
| Full name: | migration and invasion enhancer 1 |
| Synonyms: | C35; ORB3; XTP4; RDX12; C17orf37 |
| SwissProt: | Q9BRT3 |
| ELISA Recommended dilution: | 5000-10000 |
| IHC positive control: | Human prostate cancer |
| IHC Recommend dilution: | 20-100 |
风险提示:丁香通仅作为第三方平台,为商家信息发布提供平台空间。用户咨询产品时请注意保护个人信息及财产安全,合理判断,谨慎选购商品,商家和用户对交易行为负责。对于医疗器械类产品,请先查证核实企业经营资质和医疗器械产品注册证情况。
兔抗MIEN1多克隆抗体
¥420 - 2500










