相关产品推荐更多 >
万千商家帮你免费找货
0 人在求购买到急需产品
- 详细信息
- 技术资料
- 形态:
液体
- 保存条件:
冷冻(-20℃)
- 克隆性:
多克隆
- 适应物种:
兔
- 保质期:
一年
- 抗原来源:
MECR
- 库存:
200
- 供应商:
上海酶联生物科技有限公司
- 宿主:
Rabbit
- 应用范围:
仅供科研使用
- 抗体英文名:
Anti-MECRrabbitpolyclonalantibody
- 抗体名:
兔抗MECR多克隆抗体
- 规格:
100ul/200ul/25ul
| 规格: | 100ul | 产品价格: | ¥1560.0 |
|---|---|---|---|
| 规格: | 200ul | 产品价格: | ¥2500.0 |
| 规格: | 25ul | 产品价格: | ¥420.0 |
中文名称: 兔抗MECR多克隆抗体
英文名称: Anti-MECR rabbit polyclonal antibody
别 名: mitochondrial trans-2-enoyl-CoA reductase; ETR1; NRBF1; CGI-63; FASN2B; DYTOABG
抗 原: MECR
储 存: 冷冻(-20℃)
宿 主: Rabbit
反应种属: Human, Mouse, Rat
相关类别: 一抗
标 记 物: Unconjugate
克隆类型: rabbit polyclonal
技术规格
| Background: | The protein encoded by this gene is an oxidoreductase that catalyzes the last step in mitochondrial fatty acid synthesis. Defects in this gene are a cause of childhood-onset dystonia and optic atrophy. |
| Applications: | ELISA, WB, IHC |
| Name of antibody: | MECR |
| Immunogen: | Fusion protein of human MECR |
| Full name: | mitochondrial trans-2-enoyl-CoA reductase |
| Synonyms: | ETR1; NRBF1; CGI-63; FASN2B; DYTOABG |
| SwissProt: | Q9BV79 |
| ELISA Recommended dilution: | 5000-10000 |
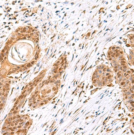
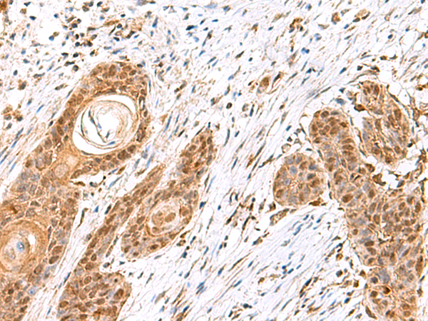
| IHC positive control: | Human breast cancer |
| IHC Recommend dilution: | 50-300 |
| WB Predicted band size: | 40 kDa |
| WB Positive control: | Human fetal brain tissue lysate |
| WB Recommended dilution: | 1000-5000 |
风险提示:丁香通仅作为第三方平台,为商家信息发布提供平台空间。用户咨询产品时请注意保护个人信息及财产安全,合理判断,谨慎选购商品,商家和用户对交易行为负责。对于医疗器械类产品,请先查证核实企业经营资质和医疗器械产品注册证情况。
兔抗MECR多克隆抗体
¥420 - 2500











